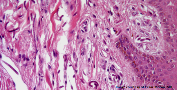
A 47-year-old man presents with an “atrophic” lesion of the skin in the right arm. After a biopsy is performed, what is your diagnosis?
A 47-year-old man presents with an “atrophic” lesion of the skin in the right arm. Looking at the pathology slide, what is your diagnosis?

What is your diagnosis?