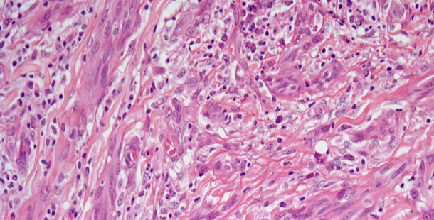
A 90-year-old woman presents with a lesion in the right forearm. After further assessment, a biopsy is performed. What is your diagnosis?
A 90-year-old woman presents with a lesion in the right forearm. According to the histopathology image below, what is your diagnosis?

What is your diagnosis?