This case highlights the importance of early recognition and management of pleural effusion in patients with multiple myeloma and underscores the need for further research into optimal management strategies and underlying mechanisms.
We present a 65-year-old man with multiple myeloma who developed a rare complication of pleural effusion. Initial laboratory results showed elevated creatinine, calcium, and protein electrophoresis with an M spike. A bone marrow biopsy confirmed 80% plasma cells. Despite the rarity of pleural effusion in patients with multiple myeloma, our patient demonstrated significant improvement with targeted therapy and palliative care. This case highlights the importance of early recognition and management of pleural effusion in patients with multiple myeloma and underscores the need for further research into optimal management strategies and underlying mechanisms.
Multiple myeloma is a cancer of plasma cells that produces monoclonal proteins (M protein). The term multiple myeloma originates from the Greek words myelos, meaning “marrow,” and oma, meaning “tumor.”1 This refers to the tumors that develop in the bone marrow due to the malignant plasma cell proliferation, leading to bone destruction, anemia, and immune dysfunction.
Multiple myeloma is the second most common hematologic malignancy, accounting for approximately 1% of all cancers and 10% of hematologic malignancies.2 Pleural effusion in multiple myeloma is a rare manifestation occurring in less than 1% of patients and termed as myelomatous pleural effusion as a direct result of multiple myeloma.3 Despite advances in treatment, multiple myeloma remains a significant clinical challenge, with a median survival rate of 5 to 7 years.4
A 65-year-old man presented with fatigue, weight loss, bone pain, and shortness of breath. On examination the patient looked pale and had yellowish sclera and generalized bone tenderness. Chest auscultation revealed reduced breath sounds on the right side and an abdominal examination showed a tender right upper quadrant with hepatomegaly. Investigations revealed the following:
TABLE 1. Laboratory Findings of the Patient2-4

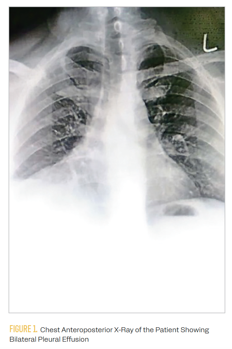
Table 12-4 indicates the laboratory findings of the patient. A chest x-ray confirmed pulmonary effusion, as shown in Figure 1.
FIGURE 1. Chest Anteroposterior X-Ray of the Patient Showing Bilateral Pleural Effusion

Table 2 indicates the pleural fluid analysis of the patient. Urine protein electrophoresis showed the presence of M protein. Additionally, serum protein electrophoresis and immunofixation electrophoresis detected M proteins. These findings were consistent with a diagnosis of multiple myeloma.
TABLE 2. Pleural Fluid Analysis of the Patient2-4

Therapeutic and diagnostic pleural tap showed exudative effusion with atypical cells with increased count and raised lactate dehydrogenase levels. A bone marrow biopsy confirmed plasma cell infiltration in 60% of total cells. Figures 2 and 3 show the bone marrow biopsy and indicate the abnormal myeloma cells.
FIGURES 2 AND 3. Abnormal Plasma Cells Confirmed by Bone Marrow Biopsy

The patient was treated with bortezomib, lenalidomide, and dexamethasone and underwent thoracentesis for pleural effusion management. Despite the rarity of pleural effusion in patients with multiple myeloma, limited research exists on optimal management strategies, highlighting the need for further investigation to improve patient outcomes. Additionally, the underlying mechanisms driving pleural effusion development in patients with multiple myeloma remain poorly understood, warranting further study.
Multiple myeloma is a complex and multifactorial disease and its pathophysiology is not fully understood. However, research has made significant progress in recent years, shedding light on the molecular mechanisms underlying multiple myeloma. For instance, studies have identified genetic mutations, such as translocations and deletions, that contribute to the development and progression of multiple myeloma.5 Additionally, the role of the bone marrow microenvironment in supporting multiple myeloma cell growth and survival has been elucidated.6
Multiple myeloma is characterized by a range of clinical features, including bone destruction, anemia, and immune dysfunction. The disease can also manifest in rare ways, such as pleural effusion, reported in less than 1% of cases.7 This highlights the importance of considering multiple myeloma in the differential diagnosis of patients presenting with unusual clinical features. Furthermore, the identification of genetic mutations and molecular mechanisms underlying multiple myeloma has led to the development of targeted therapies, improving treatment options for patients.4
Malignant effusions in patients with multiple myeloma are associated with poor prognosis. Affected patients are usually resistant to treatment and often relapse despite aggressive chemotherapy necessitating pleurodesis.8 Therefore, continued research is essential to improve our understanding of multiple myeloma and develop effective therapeutic strategies. This includes exploring new targets for therapy, such as the bone marrow microenvironment, and identifying biomarkers to predict treatment response. By advancing our knowledge of multiple myeloma, we can improve patient outcomes and quality of life. New studies are underway to enhance the treatment of pleural effusion in multiple myeloma.
This case highlights the rare complication of pleural effusion in multiple myeloma and the importance of early recognition and management. Despite the challenges, our patient showed significant improvement with targeted therapy and palliative care. This case underscores the need for further research into the optimal management of pleural effusion in patients with multiple myeloma and the underlying mechanisms driving this complication.
Corresponding Author
Abdul Baseer Wardak, MBBS
Institute: Razia Bahlol Hospital, Afghanistan
Phone: +93 79 542 1983
Email: a.baseer21@gmail.com
Address: Madina-Township Kabul, Afghanistan
ORCID id: 0000-0002-9929-6088
Consent
Written informed consent was obtained from the patient for publication and any accompanying images. A copy of the written consent is available for review from the editorial team of this journal on request.
Author contribution
The conceptualization was done by MHG and FF. The literature and drafting of the manuscript were conducted by FA and NS. The editing and supervision were performed by ABW and MZ. All authors have read and agreed to the final version of the manuscript.
Guarantor
Abdul Baseer Wardak.

Navigating AE Management for Cellular Therapy Across Hematologic Cancers
A panel of clinical pharmacists discussed strategies for mitigating toxicities across different multiple myeloma, lymphoma, and leukemia populations.
Navigating AE Management for Cellular Therapy Across Hematologic Cancers
A panel of clinical pharmacists discussed strategies for mitigating toxicities across different multiple myeloma, lymphoma, and leukemia populations.
2 Commerce Drive
Cranbury, NJ 08512