Scientists at UCLA’s Jonsson Comprehensive Cancer Center and the Eli and Edythe Broad Center of Regenerative Medicine and Stem Cell Research have identified that squamous cell carcinomas can originate from hair follicle stem cells.
Scientists at UCLA’s Jonsson Comprehensive Cancer Center and the Eli and Edythe Broad Center of Regenerative Medicine and Stem Cell Research have identified that squamous cell carcinomas can originate from hair follicle stem cells. Previously, the origin of these cancers and the precise molecular events of tumor initiation among epidermal SCC were unknown. Because permanent treatment and prevention of SCC requires knowledge about the mechanism of transformation and the cell type from which the cancer cell originates, this finding may be very important for developing new strategies to treat and prevent the disease.

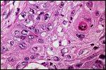
Well differentiated squamous cell carcinoma shows prominent intercellular bridges and focal keratinization (upper right)
SCC is a common type of non-melanoma skin cancer that has a significant risk of metastasis. SCC forms in squamous cells, the lining of hollow organs, and within the respiratory and digestive tracts. These cancers occur in the skin, lips, mouth, esophagus, bladder, prostate, lungs, vagina, anus and cervix. Although they have a common name, they are actually very diverse, have unique development and metastatic properties, and are treated quite differently.
One oncogene implicated in development of SCC is Ras; Ras has been shown to be sufficient to drive tumorigenesis in epidermal cells in mouse models. A previous research article (Brown et al. Current Biology 8:516-524) had identified that SCC can arise from hair follicle cells, however, the hair follicle contains numerous cell types and it is still unclear which types can give rise to SCC.
The current study uses a mouse model to demonstrate that SCCs can originate from inside the hair follicle stem cell (SC) niche or from the immediate progenitor cells of these stem cells. The study also shows that the further-differentiated progeny of these stem cells, the transit amplifying (TA) cells, are unable to generate squamous cell tumors. "It appears that these TA cells cannot be stimulated by the oncogenic Ras protein, providing a molecular explanation for their inability to form squamous cell cancers. Further studying why these TA cells can’t develop cancer could provide vital clues to how squamous cell cancers originate," said William Lowry, the senior author of the study. "This is the first time two distinct cell types in the skin have been compared and contrasted for their ability to develop squamous cell cancers," said Lowry.
“It was surprising that the progeny of these stem cells, which are developmentally more restricted, could not develop cancers when the mother stem cells could,” said Lowry. “There is something fundamentally different between the two, and it’s important that we figure out why one type of cell was able to develop cancer and the other was not. The insights we gain will tell us how these cancers arise in the first place, and could provide us with a wealth of novel targets we could go after to prevent the cancer before it starts.”
The research was was published in an online-first edition of the PNAS on April 18, 2011 (www.pnas.org/cgi/doi/10.1073/pnas.1012670108).
Further studies for these researchers include further delineating the molecular profile of both the SC and the TA cells of the hair follicle to see how these cells react to different oncogenic stimuli. “We hope that this will lead to much more specific therapies that target cancer initiation, rather than treating the disease once it’s established,” Lowry said. “If we’re lucky, a drug may already exist that will hit a target we identify.”