Primary carcinoma of the vagina accounts for 1% to 3% of all gynecologic malignancies, with 70% of cases occurring in women over age 60.[1] Hematogenous dissemination is rare at diagnosis but is more common in patients with advanced, neglected lesions.
ABSTRACT: The incidence of distant recurrent metastatic primary vaginal carcinoma is rare. The prognosis in such cases is poor, with cure being extremely rare. We report the case of a young woman, with distant recurrent metastatic primary vaginal carcinoma in which the patient remains disease-free 5 years after completing salvage radical radiotherapy. The clinical management of recurrent metastatic primary vaginal carcinoma must be tailored to the site of recurrence and the patient’s performance status. Complete clinical remission and long-term survival without evidence of disease may be achieved in rare cases with radical radiotherapy.
Primary carcinoma of the vagina accounts for 1% to 3% of all gynecologic malignancies, with 70% of cases occurring in women over age 60.[1] Hematogenous dissemination is rare at diagnosis but is more common in patients with advanced, neglected lesions. The 5-year overall survival in such cases, for stage III and IV disease has been reported as 30% and < 10%, respectively.[2]
The lymphatic drainage of the proximal one-third of the vagina parallels that of the cervix, along the path of the obturator lymph nodes to the hypogastric lymph nodes, and then to the external and common iliac lymph nodes. The distal one-third of the vagina may follow the vulvar lymphatic drainage pattern to the femoral lymph nodes and subsequently to the pelvic lymph nodes. However, the pattern of lymphatic metastases is not reliably predicted by the location of the primary tumor within the vagina.
We present the rare case of a young woman with distant recurrent, metastatic primary vaginal carcinoma to the subcarinal and right hilar lymph node regions, in which the patient remains disease-free 5 years after completing salvage radical radiotherapy.
Case Report
The patient originally presented in 1999 at the age of 28, pregnant with her first child at 21 weeks’

gestation. She presented with a 3- to 4-week history of progressive vaginal bleeding and pelvic pain. On speculum examination, she was found to have a large exophytic mass extending from the anterior vaginal fornix down the anterior vaginal wall. The cervix was not involved, and the mass did not appear to invade any other structures. Pathology from biopsies of the mass was consistent with well-differentiated squamous cell carcinoma. Prior to becoming pregnant, the patient reported a 2- to 3-month history of intermittent vaginal spotting and vaginal discharge, which resolved without treatment. She was otherwise healthy, but did have a history of a cervical intraepithelial neoplasia (CIN I) cervical lesion treated with laser therapy 8 years earlier.
The patient was advised that termination of her pregnancy and immediate initiation of therapy offered her the best prognosis. The recommended management consisted of radical external-beam radiation therapy to the pelvis, followed by intracavitary and/ or interstitial implant brachytherapy. She was aware that such treatment would potentially leave her unable to become pregnant in the future. After much deliberation, the patient elected to continue her pregnancy to a viable gestation. With the patient’s consent, a staging magnetic resonance imaging scan of the abdomen and pelvis was performed at this time, revealing no prominent lymphadenopathy.

At 32 weeks’ gestation, a planned cesarean section was performed without major complications. The baby spent a short period in the neonatal intensive care unit and was discharged to home after 12 days. He continues to do well. At the time of the cesarean section, an examination under anesthetic revealed modest progression of the intravaginal malignancy. The mass now extended circumferentially from the 9 o’clock position through to the 1 o’clock position. The mainly exophytic mass extended from the anterior vaginal fornix, measured 6 cm in length, and was 1.5 to 2 cm thick.
Exploration of the regional lymph nodes was performed by a gynecologic oncologist. This revealed no apparent involvement of the paraortic lymph nodes, but did identify clinically enlarged bilateral pelvic lymph nodes. A pelvic lymph node dissection was performed, and pathology was consistent with metastases from the vaginal mass involving 6 of the 14 lymph nodes removed.
Given the extent of disease and delay in treatment, the patient was treated using a combined-modality approach. She received 4,480 cGy in 28 daily fractions directed toward the vaginal mass plus the pelvic and paraortic lymph node regions using a four-field technique. This dose was delivered concurrently with weekly cisplatin chemotherapy at 40 mg/m2 via IV bolus. External-beam radiotherapy was followed by an intracavitary/interstitial low–dose rate brachytherapy iridium implant 3 weeks later. Brachytherapy was delivered using a specially constructed intravaginal cylinder with custom-made shielding, secured with a perineal template, and a single-plane intersititial implant. A total of 2,500 cGy was delivered with a prescribed dose rate of 50 cGy/h.
The patient did extremely well, up until 3 years after her original treatment. Unfortunately, an atypical isolated mass in the right hilum was found incidentally on a chest x-ray. A staging computed tomography (CT) scan of the chest and abdomen revealed a right hilar mass measuring 3.5 cm × 2.6 cm, with extensive subcarinal lymphadenopathy measuring 4 cm × 2.2 cm. No other abnormalities were identified. Following a nondiagnostic bronchoscopy, which revealed no abnormalities in the lower trachea or bronchi, biopsies of the subcarinal mass were performed via a mediastinoscopy. Histologic and immunohistochemical evaluation (along with comparison to her previous primary vaginal carcinoma) were undertaken. Pathology of the subcarinal mass was reported as metastatic squamous cell carcinoma consistent with spread from her vaginal primary.
The mass was deemed to be inoperable due to its location. In discussion with the patient, it was decided to approach the treatment of this isolated recurrence with radical curative-intent radiotherapy. The patient was treated with 6 MV photons using a three-dimensional conformal external-beam technique. A total dose of 7,500 cGy was delivered in 35 equal daily fractions, employing a gradual shrinking-field technique. She did experience the expected acute side effects of radiation esophagitis and pneumonitis. The radiation-induced pneumonitis was slow to resolve. In addition, she was found to have fibrotic pulmonary changes on follow-up chest x-ray and chest CT scan, secondary to her treatment.
On posttreatment CT scan of the chest, the mass had decreased dramatically in size, measuring 1.5 cm in greatest dimension. On follow-up positron-emission tomography (PET)/CT scans, no focal abnormalities have been identified. She is now 5 years post–radical radiotherapy for her right hilar and subcarinal recurrence of her primary squamous cell carcinoma of the vagina. She continues to do well, without evidence of disease recurrence, having only mild reactive respiratory symptoms, which are stable. Her son is now 7 years old.
Discussion
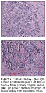
The clinical question remains: Does the subcarinal/hilar mass represent metastatic disease from the vaginal primary or perhaps a lung primary? Retrospectively, histologic and immunohistochemical evaluation and comparison of the three lesions-the subcarinal recurrence, pelvic obturator lymph nodes, and primary vaginal tumor-were independently performed by two pathologists. These physicians were in agreement that there was strong morphologic similarity between all three tissue samples.
In a case-control study of 156 women with vaginal intraepithelial neoplasia or invasive vaginal cancer, human papillomovirus (HPV) DNA was detected in 80% of patients with in situ disease and 60% of patients with invasive disease.[3] Molecular HPV subtype testing of the paraffin tissue blocks by polymerase chain reaction (PCR) assay were performed as a further attempt to answer this question. The specific PCR probes used were HPV 6, 11, 16, 18, 31, 33, and 51 subtypes. Unfortunately, all three tumor samples were negative for HPV, and the molecular testing was noncontributory in substantiating the link of the subcarinal mass to the pelvic primary.
Lung cancer is very rare in patients who have no history of significant exposure to cigarette smoke.[4,5] There are several reports of primary lung cancer occurring in young women without exposure to cigarette smoke, but these are normally HPV-associated.[6-8] It therefore seems likely that the subcarinal mass does represent metastatic disease from the vaginal primary, given the strong morphologic similarity and low incidence of primary lung carcinoma in young nonsmoking women. The right hilar and subcarinal recurrence most likely developed from micrometastases to the hilar and subcarinal lymph node regions from the patient’s primary vaginal carcinoma, which were probably present at the time of her first treatment.
Financial Disclosure: The authors have no significant financial interest or other relationship with the manufacturers of any products or providers of any service mentioned in this article.
References
1. Beller U, Maisonneuve P, Benedet JL, et al: Carcinoma of the vagina. Int J Gynecol Obstet 83(suppl 1):27-39, 2003.
2. Hansen E, Speight J: Vaginal cancer, in Hansen EK, Mack Roach III (eds): Handbook of Evidence-Based Radiation Oncology, pp 368-374. New York, Springer Science, 2007.
3. Daling JR, Madeleine MM, Schwarts SM, et al: A population based study of squamous cell vaginal cancer: HPV and cofactors. Gynecol Oncol 84:263-270, 2002.
4. Boyle P, Maissonneuve P: Lung cancer and tobacco smoking. Lung Cancer 12:167-181, 1995.
5. Mao L, Lee J, Kurie J, et al: Clonal genetic alterations in the lungs of current and former smokers. J Natl Cancer Inst 89:857-862, 1997.
6. Lam WK: Lung cancer in Asian women-the environment and genes. Respirology 10:408-417, 2005.
7. Cheng YW, Chiou HL, Sheu GT, et al: The association of human papillomovirus 16/18 infection with lung cancer among nonsmoking Taiwanese women. Cancer Res 61:2799-805, 2001.
8. Syrjanen KJ: HPV infections and lung cancer. J Clin Pathol 55:885-891, 2002.
Late Hepatic Recurrence From Granulosa Cell Tumor: A Case Report
Granulosa cell tumors exhibit late recurrence and rare hepatic metastasis, emphasizing the need for lifelong surveillance in affected patients.