The patient is a 26-year-old woman with a complex oncologic history. At 1 year of age, she was diagnosed with a stage III abdominal neuroblastoma, which was treated, and again at age 9, she had a recurrence of neuroblastoma in the left axilla. She was in her usual state of good health until 18 months ago, when she presented with hematuria and was found to have a right-sided kidney mass.
SECOND OPINION
Multidisciplinary Consultations on Challenging Cases
The University of Colorado Denver School of Medicine faculty holds weekly second opinion conferences focusing on cancer cases that represent most major cancer sites. Patients seen for second opinions are evaluated by an oncologic specialist. Their history, pathology, and radiographs are reviewed during the multidisciplinary conference, and then specific recommendations are made. These cases are usually challenging, and these conferences provide an outstanding educational opportunity for staff, fellows, and residents in training.
The second opinion conferences include actual cases from genitourinary, lung, melanoma, breast, neurosurgery, gastrointestinal, and medical oncology.
E. David Crawford, MD
Thomas W. Flaig, MD
Guest Editors
University of Colorado Denver School of Medicine
and University of Colorado Cancer Center
Aurora, Colorado
The patient is a 26-year-old woman with a complex oncologic history. At 1 year of age, she was diagnosed with a stage III abdominal neuroblastoma, which was treated with surgery and combination chemotherapy (vincristine, cyclophosphamide, and dacarbazine [DTIC]). A right adrenalectomy was performed subsequent to this initial surgery for a suspicious lesion, although no malignancy was identified in the sample. At age 9, she had a recurrence of neuroblastoma in the left axilla. After surgical resection, she received postoperative radiation therapy and an extended course of combination chemotherapy (cyclophosphamide, vincristine, doxorubicin, and dacarbazine). She was in her usual state of good health until 18 months ago, when she presented with hematuria and was found to have a right-sided kidney mass. A radical nephrectomy was performed via a laparoscopy.
Currently, she is being followed closely both clinically and radiographically. She continues to remain asymptomatic. Imaging has demonstrated several areas of note including multiple lesions in her remaining kidney and small, nonspecific lung nodules. Her past medical history is otherwise unremarkable. In her family history, there are no first degree relatives with a diagnosis of cancer. She has never used tobacco.
Dr. Thomas W. Flaig: Her temperature was 99.5°F, pulse was 90 beats per minute, respiratory rate was 16 per minute, and blood pressure was 140/88 mm Hg. She is in no acute distress. Her lungs are clear to auscultation bilaterally. She has a regular heart rate without murmur. Her abdomen is soft, not tender and without mass or organomegaly. Her Zubrod performance status was 0 (without limitations).
Creatinine was 0.97 mg/dL; sodium, 138 mmol/L; calcium, 9.4 mg/ dL; total bilirubin, 0.7 mg/dL; alanine aminotransferase, 29 U/L; albumin, 3.8 g/dL; white blood cell count, 5.7 × 109; hemoglobin, 14.9 g/ dL; and platelets, 242 × 109.
Dr. Flaig: Dr. La Rosa, will you review the patient’s pathology?
FIGURE 1

Renal Cell Carcinoma-
High-grade renal cell carcinoma seen on
(A)
H&E staining, 40× objective;
(B)
Immunostaining for RCC antigen, 40× objective. H&E = hematoxylin and eosin.
Dr. Francisco G. La Rosa: We received from an outside hospital, for our review and second opinion diagnosis, 19 glass slides accompanied by their corresponding pathology report. The patient’s specimen corresponds to a right radical nephrectomy performed 18 months ago. The slides show a high-grade renal cell carcinoma, clear cell type, bifocal (8–9 × 1.1 cm by outside report), with a Fuhrman nuclear grade 4 of 4. We found no definitive evidence of extension into the renal capsule or perinephric fat and no evidence of involvement of the renal vein or lymphovascular invasion. However, according to the outside pathology report, the tumors were very friable during the gross examination; thus, the histologic preparations show renal parenchyma and perirenal adipose tissue with extensive contamination artifact by tumor cells, making it difficult to determine whether malignant infiltration of perinephric tissue and/or lymphovascular invasion are present.
Because of the previous history of abdominal neuroblastoma, some special immunohistochemical stains were performed. The tumor cells were positive for renal cell carcinoma (RCC) antigen, CD10 antigen, e-cadherin, and cytokeratin 20 (CK 20), which further confirmed the nature of a renal cell carcinoma. Images of this carcinoma are presented in Figure 1A (hematoxylin and eosin [H&E] staining) and Figure 1B (immunostaining for RCC antigen). This tumor is at least American Joint Committee on Cancer (AJCC) stage II (pT2, Nx, Mx).
Dr. Flaig: Dr. Kondo, will you review the patient’s radiographic findings?
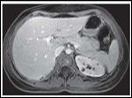
FIGURE 2

Central Posterior Medial Lesion-
Central posterior medial lesion in the midportion of the left kidney revealed by
(A)
axial post–contrast CT;
(B)
T1 pre-Vibe axial fat sat MRI;
(C)
T1 post-Vibe axial fat sat MRI. CT = computed tomography; MRI = magnetic resonance imaging.
Dr. Kimi L. Kondo: On the patient’s most recent computed tomography (CT) and magnetic resonance imaging (MRI) scans, there are multiple cystic, complex cystic, and solid masses in the left kidney. The dominant solid enhancing mass is located in the posterior medial midkidney, extends centrally, and measures 27 × 18 mm (Figure 2). In the posterior inferior pole, there is a 15 × 11 mm complex cystic lesion that is hypointense on T1 and becomes isointense postcontrast. Another complex cystic lesion is observed in the posterior superior pole and demonstrates peripheral nodular enhancement (Figure 3). All three of these lesions have slowly increased in size since the perioperative imaging performed approximately 18 months ago; the dominant lesion has increased from 17 × 14 mm to 27 × 18 mm. A fourth subcentimeter complex cyst in the superior pole has a peripheral nodule but is stable in size. The right kidney and adrenal gland are absent, which is consistent with the history of surgical resection.
Multiple subcentimeter nonspecific nodules are present in both lungs (Figure 4). The largest nodule measures 6 mm. On the most recent chest CT, a 3-mm right lung nodule might be new or not seen previously due to the nodule’s small size and differences in slice selection.
FIGURE 3

Complex Cystic Lesion-
Complex cystic lesion with peripheral nodular enhancement in the posterior superior pole of the left kidney T1 post- Vibe axial fat sat MRI. MRI = magnetic resonance imaging.
Multiple subcentimeter hypovascular and hypervascular foci in the liver are nonspecific and grossly unchanged. One hypodense lesion in the left lobe measures 12 × 8 mm, has mild peripheral enhancement, and is more conspicuous on the most recent CT but has not appreciably changed in size. This lesion is indeterminate.
Dr. Flaig: A potential association between renal cell carcinoma (RCC) and neuroblastoma has been reported, with the diagnosis of RCC following the identification and treatment of the neuroblastoma. A large series of over 13,000 survivors of childhood cancer from the Childhood Cancer Survivor Study found a 329-fold increased risk of RCC in those with a history of neuroblastoma.[1] A significant time interval commonly passes between the diagnosis of neuroblastoma and RCC, averaging 15 years in one series and ranging from 2 to 34 years.[2]
Earlier reports suggested a potential link between cyclophosphamide[3] or radiation treatment[4] for neuroblastoma in the development of RCC; however, other case series describe RCC developing in those without radiation or chemotherapy treatment for their neuroblastoma.[1,2] This suggests that the association between neuroblastoma and RCC may not be that of a classic treatment-related secondary malignancy, but rather, may be the result of an underlying genetic link. A potential genetic relationship between neuroblastoma and RCC has been raised by two case reports of a translocation of Xp11 and associated immunoreactivity for the TFE3 protein observed in neuroblastoma patients who later developed RCC.[5,6]
Dr. Flaig: Dr. Crawford, is this woman a candidate for a partial nephrectomy or would you recommend continued close observation?
Dr. E. David Crawford: This is an extremely challenging case in which there are a number of alternatives that can be used to treat these masses. Complete surgical extirpation remains the mainstay of therapy of localized and, to some extent, metastatic renal cancers. While there has been tremendous progress in the responses achieved with a number of new drugs recently approved for renal cancer, to my knowledge none are curative.
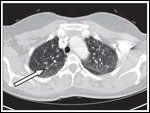
FIGURE 4

Pulmonary Nodules-
Pulmonary nodules seen on chest CT including 6-mm right upper lobe nodule (arrow). CT = computed tomography.
I have little doubt that the central lesion reviewed by Dr. Kondo is a renal cancer. In addition, I suspect that the lesion is the same high Fuhrman grade as the previous lesion removed 18 months ago in the right kidney. I did recommend that the patient have a consult with our colleagues at the National Cancer Institute. They felt that she did not have a specific syndrome, and also recommended that we attempt a partial nephrectomy to treat these masses. While this would be the ideal method of treatment, she is not the ideal candidate because of the central position of the main mass. There is significant risk of injury to major renal vessels and the collecting system. Additionally, there are multiple other lesions which require assessment.
Another option would be to perform a nephrectomy and then a renal transplant at a later date. Obviously, this would require a period of dialysis. The patient adamantly refuses to consider dialysis. Perhaps she could discuss with the transplant team the possibility of an immediate transplant following the nephrectomy. She has identified a potential living related donor. The etiology of the small pulmonary nodules is of concern in this case, and therefore, I suspect there would be reluctance to pursue the latter approach.
Other approaches would be to percutaneously ablate with cryotherapy or radiofrequency ablation (RFA), or a laparoscopic procedure with these modalities. If an open or laparoscopic approach is chosen, intraoperative ultrasound will be necessary to guide treatment.
Several weeks ago, I presented this case at a large urology conference where an audience response system was available. There were 129 physicians who responded to this question: What would you recommend in this case? The responses included nephrectomy (37%), attempt a partial nephrectomy (14%), tyrosine kinase inhibitor (TKI) or some other form of systemic therapy (3%), focal radiation (23%), observe (0%), and biopsy (23%). It seems that the majority present recognized that a partial nephrectomy would be difficult and even futile.
Dr. Flaig: Dr. Kondo, would you offer her percutaneous cryotherapy?
Dr. Kondo: Three lesions in the left kidney are concerning for renal cell carcinoma. The 27 × 18 mm solid mass is most suspicious. Percutaneous cryoablation has been shown to be safe and efficacious in the treatment of renal cell carcinoma less than 4 cm in size, although long-term data are not yet available.[7,8] Advantages include preservation of renal parenchyma and function, shorter hospitalization, and quicker convalescence as the procedure can be performed with conscious sedation and on an outpatient basis.
In this patient, the central location of the solid mass is not ideal as there is risk of injury to the ureter and collecting system. Additionally, there is the potential for incomplete ablation of the margin adjacent to central vessels due to a “cold sink” effect, when the heat of the vessels warms the tissues and limits the cooling effect of the cryoablation probe. Because of the young age of this patient, history of high-grade renal cell carcinoma, and right nephrectomy, I would offer her percutaneous cryoablation of the solid mass as an alternative, and most likely palliative treatment with a left nephrectomy and subsequent dialysis. For protection of the collecting system, a retrograde ureteral stent could be placed for infusion of warm saline. If a urine leak did still occur, it could be treated with percutaneous nephrostomy placement.
The warm saline could also create a cold sink effect with incomplete ablation. However, any foci of residual or recurrent tumor could possibly be reablated. The other two posterior complex cystic lesions could also be ablated in the future if they continue to grow.
Dr. Crawford: Dr. Kavanagh, is there evidence to support the use of high-dose radiation therapy in this setting?
Dr. Brian Kavanagh: A growing amount of literature documents that tumor-ablative doses of radiation therapy can be given safely and effectively to a wide variety of tumor sites and histologies. The technique is called stereotactic body radiation therapy, or SBRT, and it involves the use of sophisticated technology to deliver the entire treatment in just three to five individual high doses of radiation, on the order of 10 Gy or more per treatment. Our experience here has been focused mainly on lung and liver metastases,[9,10] where we have achieved 2-year actuarial rates of tumor control greater than 90% in a multi-institutional prospective trial, and others have reported similar high levels of local tumor control for spine lesions.
In our SBRT trial of lung metastases, 7 of the 38 patients had renal cell carcinoma, and no local failures were observed in that group. The group at the Karolinska Institute also published an interesting report, using SBRT to treat renal cancers in seven patients with only one functioning kidney.[11] They used a dose of 30 to 40 Gy in 3 to 4 fractions. At a median follow-up interval of 49 months, only one patient had had a local failure, and that individual was re-treated with SBRT, with the disease still controlled 1 year later. There was no significant acute toxicity, and none of the patients required dialysis at any time after treatment. The serum creatinine was unchanged in five patients and increased only slightly (approximately 20%) in two patients at the time of last follow-up.
There is one other interesting item here. I took the liberty of measuring the left kidney volume on the prenephrectomy CT scan and postnephrectomy scan obtained 1 year later. On the first scan, the left kidney volume was 170 cc, and 1 year later it was 227 cc. Only approximately 6.5 cc of the new volume was accounted for by the new solid tumor, so it is clear that there has been compensatory hypertrophy of the parenchyma. The median normal kidney volume in this case is actually slightly larger than what was described in the Karolinska series, and the tumor volume is lower than their median value. So I do think SBRT is an attractive option here, since it is noninvasive and should yield a good chance of durable control and low risk of toxicity. We could treat the dominant solid lesion now and follow the others closely, and maybe treat them later if their appearance began to suggest malignancy more clearly.
Dr. Flaig: In order for this patient to fully evaluate her options, including the possibility of the loss of kidney function with surgery, the patient has met with the kidney transplant team. After this discussion, she has been concerned about the risk associated with transplant and the required posttransplant immunosuppression. While it is difficult to quantify the consequences of this approach in an individual case, evidence suggests that the risk of cancer after kidney transplant is increased, as compared to the general population.[12] Interestingly, one class of immunosuppressive medication used with kidney transplantation (mTOR inhibitors) also has antivascular and antineoplastic properties. Two mTOR inhibitors (temsirolimus [Torisel] and everolimus [Afinitor]) have now been approved by the US Food and Drug Administration for the treatment of advanced renal cell carcinomas and could potentially be used in a posttransplant situation.[13,14]
FIGURE 5

Images on SBRT-
Axial, sagittal, and coronal images of the cumulative radiation dose distribution given during the SBRT. The central red region represents the volume that received more than 45 Gy. The volume outside the light blue boundary received less than 12.5 Gy total dose. SBRT = stereotactic body radiation therapy.
Dr. Flaig: In summary, this patient has a complex oncologic history with our current discussion focused on the treatment of the growing lesions in her remaining kidney. Clearly the kidney lesions are complex and will be difficult to follow over time. The “safest” course in terms of her cancer management would be a radical nephrectomy, and this has been discussed. However, the patient is concerned about the impact of hemodialysis on her current quality of life. Other options discussed here include a partial nephrectomy, percutaneous cryotherapy, and stereotactic radiosurgery-all to the largest solid lesion. There is also an oncologic concern about the potential risks of immunosuppression if she should undergo a kidney transplant, considering her cancer history. At this point, I will discuss the conference’s recommendations with her and arrange for a visit with radiation oncology.
After our discussion, the patient met again with the transplant team and with radiation oncology. She elected to pursue SBRT with close radiographic follow-up of the other lesions. Figure 5 is a schematic illustration of the treatment given. The prescription dose was 10 Gy per fraction for a total of three fractions. The percentage of normal kidney receiving a dose higher than 15 Gy was less than 30%.
Financial Disclosure: Dr. Crawford is an advisor or speaker for Sanofi-Aventis, Poinard, AstraZeneca, GlaxoSmithKline, Ferring, Indevus, and Soar BioDynamics, and has received research grants from Endocare, Oncura/Galil/Eigen, Bostwick, Genprobe, terna Zentaris, EDAP-HIFU, Ferring, and NIH/NCI. Dr. Kondo is a Merck stockholder.
References
1. Bassal M, Mertens AC, Taylor L, et al: Risk of selected subsequent carcinomas in survivors of childhood cancer: A report from the Childhood Cancer Survivor Study. J Clin Oncol 24:476-483, 2006.
2. Fleitz JM, Wootton-Gorges SL, Wyatt-Ashmead J, et al: Renal cell carcinoma in long-term survivors of advanced stage neuroblastoma in early childhood. Pediatr Radiol 33:540-545, 2003.
3. Donnelly LF, Rencken IO, Shardell K, et al: Renal cell carcinoma after therapy for neuroblastoma. AJR Am J Roentgenol 167:915-917, 1996.
4. Vogelzang NJ, Yang X, Goldman S, et al: Radiation induced renal cell cancer: A report of 4 cases and review of the literature. J Urol 160(6 pt 1):1987-1990, 1998.
5. Hedgepeth RC, Zhou M, Ross J: Rapid development of metastatic Xp11 translocation renal cell carcinoma in a girl treated for neuroblastoma. J Pediatr Hematol Oncol 31:602-604, 2009.
6. Altinok G, Kattar MM, Mohamed A, et al: Pediatric renal carcinoma associated with Xp11.2 translocations/TFE3 gene fusions and clinicopathologic associations. Pediatr Dev Pathol 8:168-180, 2005.
7. Littrup PJ, Ahmed A, Aoun HD, et al: CT-guided percutaneous cryotherapy of renal masses. J Vasc Interv Radiol 18:383-392, 20007.
8. Shingleton WB, Sewell PE Jr: Percutaneous renal cryoablation of renal tumors in patients with von Hippel-Lindau disease. J Urol 167:1268-1270, 2002.
9. Rusthoven KE, Kavanagh BD, Burri SH, et al: Multi-institutional phase I/II trial of stereotactic body radiation therapy for lung metastases. J Clin Oncol 27:1579-1584, 2009.
10. Rusthoven KE, Kavanagh BD, Cardenes H, et al: Multi-institutional phase I/II trial of stereotactic body radiation therapy for liver metastases. J Clin Oncol 27:1572-1578, 2009.
11. Svedman C, Karlsson K, Rutkowska E, et al: Stereotactic body radiotherapy of primary and metastatic renal lesions for patients with only one functioning kidney. Acta Oncol 47:1578-1583, 2008.
12. Agraharkar ML, Cinclair RD, Kuo YF, et al: Risk of malignancy with long-term immunosuppression in renal transplant recipients. Kidney Int 66:383-389, 2004.
13. Motzer RJ, Escudier B, Oudard S, et al: Efficacy of everolimus in advanced renal cell carcinoma: A double-blind, randomised, placebo-controlled phase III trial. Lancet 372:449-456, 2008.
14. Hudes G, Carducci M, Tomczak P, et al: Temsirolimus, interferon alfa, or both for advanced renal-cell carcinoma. N Engl J Med 356:2271-2281, 2007.