A 17-year-old girl at 13 weeks gestation presents with vaginal bleeding and cramping. After further evaluation, a biopsy is performed. What is your diagnosis?
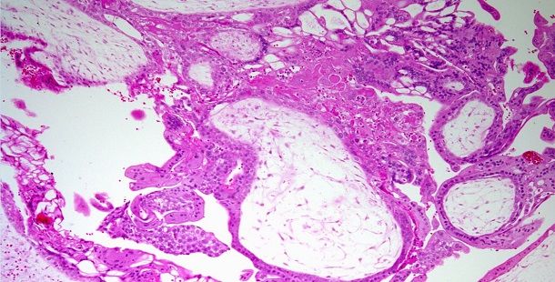
A 17-year-old girl at 13 weeks gestation presents with vaginal bleeding and cramping. According to the histopathology image below, what is your diagnosis?
.JPG?fit=crop&auto=format)
What is your diagnosis?