Despite a decreasing incidence in the United States, small-cell lung cancer (SCLC) remains a major clinical problem, with approximately 30,000 new cases each year. The diagnosis of SCLC is usually not difficult. The Veterans Administration Lung Study Group (VALSG) staging system is less accurate than the American Joint Committee of Cancer tumor-node-metastasis (TNM) system (7th edition) at predicting survival in SCLC, especially in lower stage disease. Surgery has not played a major part in the management of SCLC, but emerging data suggest that resection may have a role in earlier stage disease. While the frontline treatment of SCLC has not changed significantly in the past decade, newer agents that are currently being investigated provide hope for better treatment of relapsed/refractory disease for the future.
Despite a decreasing incidence in the United States, small-cell lung cancer (SCLC) remains a major clinical problem, with approximately 30,000 new cases each year. The diagnosis of SCLC is usually not difficult. The Veterans Administration Lung Study Group (VALSG) staging system is less accurate than the American Joint Committee of Cancer tumor-node-metastasis (TNM) system (7th edition) at predicting survival in SCLC, especially in lower stage disease. Surgery has not played a major part in the management of SCLC, but emerging data suggest that resection may have a role in earlier stage disease. While the frontline treatment of SCLC has not changed significantly in the past decade, newer agents that are currently being investigated provide hope for better treatment of relapsed/refractory disease for the future.
Small-cell lung cancer (SCLC) has a behavior distinct from its more common counterpart, non–small-cell lung cancer (NSCLC).[1] The incidence of SCLC is apparently decreasing in the United States. In 1993, SCLC comprised approximately 25% of all lung cancer,[2] but a recent Surveillance Epidemiology and End Results (SEER) database analysis found that since then the incidence had decreased to approximately 13%.[3] The explanation for this decline in incidence is likely multifactorial.[4] The disease occurs almost exclusively in smokers, and smoking habits have changed in the past few decades. Cigarettes have also changed, with filter cigarettes gaining considerably in popularity. Another, less well-recognized cause may be the changes in the World Health Organization (WHO) and International Association for the Study of Lung Cancer (IASLC) classifications of lung and pleural tumors that were published in 1999.[5] These revisions have made the criteria for a diagnosis of SCLC more restrictive. Nonetheless, SCLC continues to be a major clinical problem, with an aggressive clinical course and short disease-free duration after initial therapy. This review will focus on the diagnosis, staging, and role of surgery, as well as treatment in relapsed SCLC.
SCLC was considered to be either a form of lymphoid neoplasm or an unusual sarcoma until 1926, when Barnard characterized the tumor and called it “oat cell carcinoma.”[6] The disease is diagnosed with light microscopic assessment. According to the current 2004 WHO definition, SCLC is a “malignant epithelial tumour consisting of small cells with scant cytoplasm, ill-defined cell borders, finely granular nuclear chromatin, and absent or inconspicuous nucleoli. The cells are round, oval and spindle-shaped. Nuclear molding is prominent. Necrosis is typically extensive and the mitotic count is high.”[7] The WHO classification includes only one variant-combined small cell carcinoma-an SCLC with an admixed non–small-cell component (adenocarcinoma, squamous cell carcinoma, large cell carcinoma, or spindle cell or giant cell carcinoma). Although multiple synonyms (anaplastic small-cell carcinoma, small-cell undifferentiated carcinoma, small-cell neuroendocrine carcinoma, oat cell carcinoma, mixed small-cell/large-cell carcinoma) preceded the current terminology and classification, use of these terms is discouraged to avoid confusion.
Despite the appearance of the words “small cell” in the tumor’s name, size alone does not reliably separate SCLC from other lung tumors, including other neuroendocrine lung tumors. In addition to cell size (2 to 3 times the diameter of a resting lymphocyte), the neoplastic cells should have the proper array of characteristic nuclear features, which often include nuclear molding, and a high mitotic rate.[8,9] While there are exceptions, a diagnosis of SCLC is unlikely if the presentation is an isolated peripheral lung lesion without a central mass or if the patient is a lifelong nonsmoker.[8]
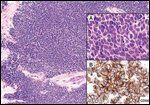
FIGURE 1

Surgical biopsy specimen of small-cell carcinoma (hemtoxylin & eosin stain, 200x magnification)
Since most SCLCs are metastatic at the time of presentation, in 90% of cases the primary diagnosis is made on the basis of a small biopsy and/or a cytologic specimen (Figure 1). With both approaches, there are quantitative and qualitative limitations in the resulting diagnosis that should be recognized. The tumor sample often has significant necrosis and “crush” artifact that limit the amount of intact tumor available for assessment. The crush artifact, although a frequent occurrence in SCLC, is nonspecific and may also be seen in a variety of benign and malignant lesions.[8] Ancillary studies performed on suboptimal specimens without morphologically intact cells are fraught with error. If the tumor does not qualify as a small-cell carcinoma on the basis of morphologic assessment of an appropriately stained slide, ancillary studies are unlikely to accurately establish the diagnosis.[10]
SCLC is the most common lung tumor in the spectrum of pulmonary neuroendocrine malignancies; the latter include typical carcinoid (TC), atypical carcinoid (AC), large-cell neuroendocrine carcinoma (LCNEC), and small-cell carcinoma (SCLC).[7,8] TC is at the low-grade end of the spectrum, while LCNEC and SCLC are biologically aggressive, high-grade neuroendocrine lung tumors. Five-year survival rates vary from 5% or less for SCLC to 95% for TC. SCLC is distinguished from TC and AC by the morphologic findings described above and by the substantial differences in mitotic activity and necrosis. TC has a low mitotic count (less than 2 mitoses/2 mm2), and AC has an intermediate count (2 to 10 mitoses/2 mm2) with punctate necrosis. SCLC is a high-grade tumor with ample mitotic activity (more than 10 mitoses/2 mm2), averaging 60 to 80 mitoses/2 mm2, and often with widespread necrosis.[7] Within the pulmonary neuroendocrine tumor group, the distinction of SCLC from LCNEC is the most problematic, and the highest reproducibility in diagnoses is found in the distinction of SCLC from TC.[11]
The reason for the difficulty in distinguishing SCLC from LCNEC is that the distinction is primarily based on morphologic assessment of routine stains/preparations.[10] The morphologic differences involve differences in cell size and, more importantly, nuclear characteristics. LCNECs are uncommon (1% to 3% of lung cancers worldwide), and 85% are large peripheral lesions, in contrast to SCLCs, which are centrally located in 95% or more of cases and are substantially more common (15% to 20% of lung cancers worldwide). Other entities in the differential of a mitotically active “small-cell” lesion include lymphoid lesions (benign or malignant), other lung cancers (squamous, basaloid, blastoma), metastatic lesions, and “small blue-cell tumors” (Ewing sarcoma/primitive neuroectodermal tumor [PNET)] Merkel cell carcinoma, rhabdomyosarcoma, neuroblastoma).
Of the immunoperoxidase antibody panels used in the assessment of SCLC, CD45/Leucocyte Common Antigen (LCA) and a keratin cocktail are perhaps the most useful. In a high-grade “small-cell” tumor with the proper morphologic features on light microscopy, a positive result on keratin staining (often demonstrating a perinuclear punctate pattern) and a negative result on testing for CD45/LCA support the diagnosis of SCLC and exclude lymphoid lesions.[12] Neuroendocrine markers (chromogranin, synaptophysin, CD56/Neural Cell Adhesion Molecule [NCAM]) (Figure 1), and thyroid transcription factor-1 (TTF-1) are also commonly used in potential cases of SCLC.[7] With the use of broad spectrum keratin cocktails, SCLCs yield positive results in 90% to 100% of cases and are positive for TTF-1 in 70% to 90% of cases.[8,10] Tests for individual neuroendocrine markers are positive in 50% to 60% of cases but results, even for a panel of markers, may be negative in a significant minority of cases (10% to 30%).[10] Positive results on tests for neuroendocrine markers are not specific for SCLC. Positive reactions may be seen in up to 30% of NSCLCs (including squamous cell carcinomas, adenocarcinomas, and some large-cell carcinomas). Likewise, testing for TTF-1 may be positive in small-cell carcinomas of non-pulmonary origin. In many cases with high-quality standard hematoxylin and eosin sections and well preserved tumor cells, a reliable diagnosis of SCLC can be made using routine preparations without immuno-morphologic studies.
Even in the hands of experienced lung pathologists, around 5% of cases of SCLC have morphologic and immuno-marker characteristics that are difficult to interpret.[8] Studies have repeatedly demonstrated a continuum between SCLC and other non–small-cell carcinomas with respect to morphometrically assessed tumor cell size and nuclear area.[13] That morphologic continuum, in combination with cytologic heterogeneity within the same tumor, limited tumor sampling, and fixation/processing/staining artifacts can make the diagnosis of SCLC challenging. Fortunately, with current methods the pathologic diagnosis of SCLC is reproducible; both SEER data and a prior study of Southwestern Cancer Study Group data suggest a greater than 90% agreement between the submitting pathologist and central review pathologists in the diagnosis of SCLC.[14,15]
Two systems are currently used to stage SCLC: the tumor-node-metastasis (TNM) classification,[16] and the Veterans Administration Lung Study Group (VALSG) limited disease–extensive disease (LD vs ED) system. For decades, the VALSG system was the basis for treatment recommendations.[17] According to this classification system, limited-stage disease is disease that is confined to the ipsilateral hemithorax and within a single radiation port (TNM stages I through IIIB), while extensive-stage disease includes metastatic disease outside the ipsilateral hemithorax. This schema is problematic since patients with extremely limited disease are grouped with those who have locoregionally advanced disease and a worse prognosis.[18] Patients with features of more locally advanced disease (eg, supraclavicular lymph nodes, isolated pleural effusion) are frequently excluded from protocols for limited stage disease, although the prognostic impact of these findings remains controversial.[17,19]
Recently, the IASLC conducted an analysis of 12,620 eligible cases of small-cell histology. TNM staging was available for 8088 of the patients.[20] Survival was directly correlated with both T and N status. Differences were more pronounced in patients without mediastinal or supraclavicular nodal involvement. The prognosis in patients with pleural effusion, regardless of cytology, was intermediate-between those for limited and extensive disease. In another analysis of 349 patients from the same IASLC database who had undergone surgical staging for SCLC, survival after resection correlated with both T and N status. The nodal status had a stronger influence on survival.[21]
Current treatment recommendations are based on the older staging system, but in view of the better correlation of survival with TNM staging, the IASLC currently recommends that the TNM staging system be adopted more uniformly. Future clinical trials for SCLC should also incorporate the staging system described in the seventh edition of the American Joint Committee on Cancer (AJCC) staging classification.[21,22]
Most patients in whom SCLC is diagnosed present with disease that has metastasized beyond the confines of the chest cavity. Even in patients with tumor confined to a single hemithorax, with limited-stage disease, the cancer may have progressed to mediastinal lymph node involvement. The role of surgery in the management of SCLC has continued to evolve and now can be considered a treatment option in three settings: in patients with SCLC presenting as a peripheral nodule, following induction chemotherapy, and as salvage therapy.[23,24]
Solitary small peripheral lesions are identified in a very small subpopulation of patients with limited-stage SCLC (5% of all SCLC).[25] The debate continues as to whether these are truly small-cell cancers, or whether they are on the spectrum of atypical carcinoids or well-differentiated neuroendocrine tumors. In contrast to SCLC as it presents in most patients, these lesions are usually asymptomatic and are identified incidentally in imaging studies done for other purposes. These patients often proceed to resection without a preoperative tissue diagnosis. Advocates of routine percutaneous needle biopsy of all solitary pulmonary nodules offer the possibility of an SCLC diagnosis as a reason to obtain a tissue diagnosis before surgical intervention; however, an excisional biopsy remains an appropriate option. If a preoperative tissue diagnosis suggests a small-cell cancer, cervical mediastinoscopy is the definitive procedure for staging mediastinal disease.[26] Positive N2 or N3 nodes would significantly decrease the benefits of surgical resection.
For patients proceeding directly to surgery, a wedge resection of a peripheral nodule that yields a diagnosis of SCLC should be completed with a lobectomy and mediastinal lymph node dissection. Those patients who are treated with only a wedge resection or segmentectomy have decreased survival compared with those who undergo lobectomy.[23] Patients who are pathologic stage I have been reported to have an average 5-year survival of 52%, which is better than that in other subgroups.[27,28] Given the high risk of recurrence, postoperative therapy could be considered. Some reports describe 5-year survivals of 40% to 70%. Although the scenario has been reported in limited numbers, patients who have required a pneumonectomy to encompass all disease have had a much lower survival than those with tumors amenable to lobectomy.[29,30] As with all complex cases, discussion at a multidisciplinary tumor conference is suggested.
In patients with resectable mediastinal adenopathy, surgery followed by chemotherapy has produced 5-year survival rates of about 20%.[30,31] Mediastinoscopy has been quite useful in these circumstances. In patients with biopsy-proven, resectable mediastinal adenopathy, use of induction chemotherapy followed by surgical resection has been reported.[32] As with NSCLC, patients who are completely down-staged pathologically have the best long-term prognosis, [33,34] but even those with some residual tumor in the nodes have improved survival compared with patients undergoing primary surgical therapy. Patients who receive induction chemotherapy followed by surgical resection have typically completed their treatment with post-operative chemotherapy and radiation.
Patients treated with chemotherapy and radiation for limited-stage SCLC have a high risk of local relapse. In patients with residual or recurrent disease, options may be limited for delivering additional radiation therapy in the hope of achieving local control. Surgery may help provide local control in these circumstances. One retrospective study reported a 5-year survival of 23%, but 12 out of 28 patients required a pneumonectomy to remove all disease.[35]
Although the majority of patients in whom SCLC is diagnosed are not amenable to surgical intervention, as diagnostic, staging, and treatment strategies evolve-ultimately culminating in an individualized treatment plan for each patient-surgery does have the potential to have an impact on survival in a select group of patients.[36] Determining the exact role of surgery will require additional trials of combined-modality therapy in patients with minimal disease at diagnosis.
Chemotherapy is the mainstay of treatment for SCLC. A combination of etoposide and platinum (EP) is the current standard first-line therapy.[18] Current treatment of limited-stage SCLC involves concurrent thoracic radiation in combination with chemotherapy.[37-39] Unfortunately, the initial treatment approaches have not changed significantly for the past few years.[40] Two separate meta-analyses have demonstrated that prophylactic cranial irradiation improved survival in patients with limited-stage SCLC who responded to initial treatment, especially in those who achieved a complete response.[41,42] A randomized phase III trial showed similar results in patients with extensive-stage SCLC.[43]
Despite the excellent response rates seen with EP, the majority of patients relapse; many of these are candidates for second-line treatment. The factors predicting response to second-line treatment include performance status, relapsed or refractory disease status, and extent of the tumor (limited-stage vs extensive-stage).[44]
Prior to the approval of EP, CAV or CEV (cyclophosphamide, epirubicin, and vincristine) was considered first-line therapy for SCLC. Although EP has provided median, 2-year, and 5-year survivals superior to those seen with CEV in limited-stage disease (median survival, 14.5 vs 9.7 months [P=.001]; and 2- and 5-year survivals, 25% vs 8% and 10% vs 3%, respectively [P=.0001]), no significant survival differences have been noted in extensive-stage disease.[44,45] In small phase II trials of patients with relapsed SCLC, CAV demonstrated response rates of 13% to 28%.[39,46]
Topotecan (Hycamtin). This water-soluble, semi-synthetic derivative of camptothecin has demonstrated antitumor activity in relapsed SCLC.[47] Chemosensitive patients had response rates of 14% to 38%, with a median survival of 25 to 36 weeks, but response rates in patients with chemorefractory disease were lower (2% to 7%).[48,49] In a randomized phase III multi-center study comparing CAV and topotecan,[48-51] response rates (18.3% vs 24.3%), time to progression (12.3 vs 13.3 weeks), and median survival (24.7 vs 25 weeks) were similar. Patients treated with topotecan experienced greater symptom control and decreased interference with daily activities. Although severe neutropenia was less common with topotecan (38% vs 51%), severe thrombocytopenia and anemia were more frequent (9.8% vs 1.4% and 17.7% vs 7.2%, respectively).
To decrease the myelotoxicity associated with the standard topotecan dosage schedule (1.5 mg/m2/d by IV infusion for 5 days), alternate regimens have been tried. The efficacy of oral topotecan is equal to that of intravenous topotecan, but the oral version is better tolerated.[49] Results with weekly topotecan (4 mg/m2) were mixed. In a study of 103 patients, weekly topotecan resulted in a 6% response rate,[51] while in a smaller study, none of the 22 patients treated had a response.[52]
Irinotecan (Camptosar). This agent inhibits the enzyme topoisomerase I by binding to the topoisomerase I–DNA complex. This results in an arrest of DNA replication, which leads in turn to lethal double-strand DNA breaks.[53] Although data from Japan and the United States regarding the usefulness of irinotecan in treatment-nave patients are discordant with regard to its efficacy (compared with that of etoposide),[54,55] irinotecan is active against SCLC. In a multi-center phase II study in which a combination of irinotecan and gemcitabine was used in 31 patients with refractory or relapsed SCLC, partial responses were seen in 10% of patients and stable disease in 22%.[56] Toxicities were tolerable and there were no toxic deaths.
BAY 38-3441. This compound is a topoisomerase I inhibitor that has a peptide-carbohydrate moiety attached to the camptothecin toxophore.[57].Compared with other topoisomerase inhibitors, BAY 38-3441 has increased water solubility and stability of the camptothecin lactone ring. Because BAY 38-3441 has a more stable lactone ring, its efficacy may be superior to that of topotecan or irinotecan.[58] Phase II studies are ongoing.
Paclitaxel. In preclinical models, response to paclitaxel has been observed in tumors with p53 mutations.[59] Since mutated p53 is one of the most common molecular mutations in SCLC, the correlation between p53 mutation and response to paclitaxel might serve to optimize the use of paclitaxel in this setting.
In a phase II study, Groen and colleagues treated 35 patients with refractory SCLC, using paclitaxel and carboplatin for five cycles.[60] They noted a complete response in 2 patients and partial responses in 23 patients (response rate, 73.5%). One-year survival was 9% and toxicities were tolerable. In a similar study, 32 patients with disease refractory to first-line therapy were treated with a combination of paclitaxel and carboplatin; the response rate was 25%.[61]
Amrubicin. This synthetic anthracycline has a shorter elimination half-life (2 to 4 hours) than doxorubicin. It is metabolized to amrubicinol, which is approximately 100 times more potent than amrubicin and has enhanced topoisomerase II inhibitory activity.[62,63] The drug is effective in the treatment of chemotherapy-nave and refractory SCLC.[64-67] Myelosuppression is the most common adverse effect: neutropenia was seen in 67% of patients, thrombocytopenia in 41%, anemia in 30%, and febrile neutropenia in 12%. High cumulative doses of amrubicin (more than 750 mg/m2) did not appear to affect cardiac function adversely.
References
1. Cohen MH, Matthews MJ. Small cell bronchogenic carcinoma: a distinct clinicopathologic entity. Semin Oncol. 1978;5:234-43.
2. Hinson JA, Jr., Perry MC. Small cell lung cancer. CA Cancer J Clin. 1993;43:216-25.
3. Govindan R, Page N, Morgensztern D, et al. Changing epidemiology of small-cell lung cancer in the United States over the last 30 years: analysis of the surveillance, epidemiologic, and end results database. J Clin Oncol. 2006;24:4539-44.
4. Ettinger DS, Aisner J. Changing face of small-cell lung cancer: real and artifact. J Clin Oncol. 2006;24:4526-7.
5. Travis WD, Colby TV, Corrin B. World Health Organization International Histological Classification of Tumours: Histological Typing of Lung and Pleural Tumours. Berlin, Springer Verlag, 3rd Ed. 1999.
6. Barnard WG. The nature of the “oat-celled sarcoma” of the mediastinum. J Pathol Bacteriol. 1926;29:241-4.
7. Travis WD, Brambilla E, Muller-Hermelink HK, Harris CC. World Health Organization Classification of Tumours: Tumours of the Lung, Pleura, Thymus and Heart. IARC Press, Lyon. 2004:31-4.
8. Travis WD. Lung tumours with neuroendocrine differentiation. Eur J Cancer. 2009;45 Suppl 1:251-66.
9. Corrin B. Carcinoma of the lung. In Pathology of the Lungs. Churchill Livingstone, London, England 2000:475-8.
10. Nicholson SA, Beasley MB, Brambilla E, et al. Small cell lung carcinoma (SCLC): a clinicopathologic study of 100 cases with surgical specimens. Am J Surg Pathol. 2002;26:1184-97.
11. Travis WD, Gal AA, Colby TV, et al. Reproducibility of neuroendocrine lung tumor classification. Hum Pathol. 1998;29:272-9.
12. Wick MR, Leslie KO, Ritter JH, Mills SE. Neuroendocrine neoplasms of the lung. In Leslie KO, Wick MR (Ed) Practical Pulmonary Pathology Churchill Livingstone, London England. 2005:423-63.
13. Marchevsky AM, Gal AA, Shah S, Koss MN. Morphometry confirms the presence of considerable nuclear size overlap between “small cells” and “large cells” in high-grade pulmonary neuroendocrine neoplasms. Am J Clin Pathol. 2001;116:466-72.
14. Vollmer RT, Ogden L, Crissman JD. Separation of small-cell from non-small-cell lung cancer. The Southeastern Cancer Study Group pathologists’ experience. Arch Pathol Lab Med. 1984;108:792-4.
15. Field RW, Smith BJ, Platz CE, et al. Lung cancer histologic type in the surveillance, epidemiology, and end results registry versus independent review. J Natl Cancer Inst. 2004;96:1105-7.
16. Mountain CF. Revisions in the International System for Staging Lung Cancer. Chest. 1997;11:1710-7.
17. Argiris A, Murren JR. Staging and clinical prognostic factors for small-cell lung cancer. Cancer J. 2001;7:437-47.
18. Shepherd FA, Ginsberg RJ, Haddad R, et al. Importance of clinical staging in limited small-cell lung cancer: a valuable system to separate prognostic subgroups. The University of Toronto Lung Oncology Group. J Clin Oncol. 1993;11:1592-7.
19. Urban T, Chastang C, Vaylet F, et al. Prognostic significance of supraclavicular lymph nodes in small cell lung cancer: a study from four consecutive clinical trials, including 1,370 patients. “Petites Cellules” Group. Chest. 1998;114:1538-41.
20. Shepherd FA, Crowley J, Van Houtte P, et al. The International Association for the Study of Lung Cancer lung cancer staging project: proposals regarding the clinical staging of small cell lung cancer in the forthcoming (seventh) edition of the tumor, node, metastasis classification for lung cancer. J Thorac Oncol. 2007;2:1067-77.
21. Vallieres E, Shepherd FA, Crowley J, et al. The IASLC Lung Cancer Staging Project: proposals regarding the relevance of TNM in the pathologic staging of small cell lung cancer in the forthcoming (seventh) edition of the TNM classification for lung cancer. J Thorac Oncol. 2009;4:1049-59.
22. Ignatius Ou SH, Zell JA. The applicability of the proposed IASLC staging revisions to small cell lung cancer (SCLC) with comparison to the current UICC 6th TNM Edition. J Thorac Oncol. 2009;4:300-10.
23. Ginsberg RJ, Shepherd FA. Surgery for Small Cell Lung Cancer. Semin Radiat Oncol. 1995;5:40-3.
24. Szczesny TJ, Szczesna A, Shepherd FA, Ginsberg RJ. Surgical treatment of small cell lung cancer. Semin Oncol. 2003;30:47-56.
25. Quoix E, Fraser R, Wolkove N, et al. Small cell lung cancer presenting as a solitary pulmonary nodule. Cancer. 1990;66:577-82.
26. Inoue M, Miyoshi S, Yasumitsu T, et al. Surgical results for small cell lung cancer based on the new TNM staging system. Thoracic Surgery Study Group of Osaka University, Osaka, Japan. Ann Thorac Surg. 2000;70:1615-9.
27. Shields TW, Higgins GA, Jr., Matthews MJ, Keehn RJ. Surgical resection in the management of small cell carcinoma of the lung. J Thorac Cardiovasc Surg. 1982;84:481-8.
28. Badzio A, Kurowski K, Karnicka-Mlodkowska H, Jassem J. A retrospective comparative study of surgery followed by chemotherapy vs. non-surgical management in limited-disease small cell lung cancer. Eur J Cardiothorac Surg. 2004;26:183-8.
29. Muller LC, Salzer GM, Huber H, et al. Multimodal therapy of small cell lung cancer in TNM stages I through IIIa. Ann Thorac Surg. 1992;54:493-7.
30. Schreiber D, Rineer J, Weedon J, et al. Survival outcomes with the use of surgery in limited-stage small cell lung cancer: should its role be re-evaluated? Cancer. 2010;116:1350-7.
31. Lad T, Piantadosi S, Thomas P, et al. A prospective randomized trial to determine the benefit of surgical resection of residual disease following response of small cell lung cancer to combination chemotherapy. Chest. 1994;106 Suppl 6:320S-3S.
32. Wada H, Yokomise H, Tanaka F, et al. Surgical treatment of small cell carcinoma of the lung: advantage of preoperative chemotherapy. Lung Cancer. 1995;13:45-56.
33. Williams CJ, McMillan I, Lea R, et al. Surgery after initial chemotherapy for localized small-cell carcinoma of the lung. J Clin Oncol. 1987;5:1579-88.
34. Rea F, Callegaro D, Favaretto A, et al. Long term results of surgery and chemotherapy in small cell lung cancer. Eur J Cardiothorac Surg. 1998;14:398-402.
35. Shepherd FA, Ginsberg R, Patterson GA, et al. Is there ever a role for salvage operations in limited small-cell lung cancer? J Thorac Cardiovasc Surg. 1991;101:196-200.
36. Brock MV, Hooker CM, Syphard JE, et al. Surgical resection of limited disease small cell lung cancer in the new era of platinum chemotherapy: Its time has come. J Thorac Cardiovasc Surg. 2005;129:64-72.
37. Evans WK, Shepherd FA, Feld R, et al. VP-16 and cisplatin as first-line therapy for small-cell lung cancer. J Clin Oncol. 1985;3:1471-7.
38. Roth BJ, Johnson DH, Einhorn LH, et al. Randomized study of cyclophosphamide, doxorubicin, and vincristine versus etoposide and cisplatin versus alternation of these two regimens in extensive small-cell lung cancer: a phase III trial of the Southeastern Cancer Study Group. J Clin Oncol. 1992;10:282-91.
39. Sundstrom S, Bremnes RM, Kaasa S, et al. Cisplatin and etoposide regimen is superior to cyclophosphamide, epirubicin, and vincristine regimen in small-cell lung cancer: results from a randomized phase III trial with 5 years’ follow-up. J Clin Oncol. 2002;20:4665-72.
40. Ganti AK, Zhen W, Kessinger A. Limited-stage small-cell lung cancer: therapeutic options. Oncology (Williston Park). 2007;21:303-12; discussion 12, 15-8, 23.
41. Meert AP, Paesmans M, Berghmans T, et al. Prophylactic cranial irradiation in small cell lung cancer: a systematic review of the literature with meta-analysis. BMC Cancer. 2001;1:5.
42. Auperin A, Arriagada R, Pignon JP, et al. Prophylactic cranial irradiation for patients with small-cell lung cancer in complete remission. Prophylactic Cranial Irradiation Overview Collaborative Group. N Engl J Med. 1999;341:476-84.
43. Slotman B, Faivre-Finn C, Kramer G, et al. Prophylactic cranial irradiation in extensive small-cell lung cancer. N Engl J Med. 2007;357:664-72.
44. Albain KS, Crowley JJ, Hutchins L, et al. Predictors of survival following relapse or progression of small cell lung cancer. Southwest Oncology Group Study 8605 report and analysis of recurrent disease data base. Cancer. 1993;72:1184-91.
45. Seifter EJ, Ihde DC. Therapy of small cell lung cancer: a perspective on two decades of clinical research. Semin Oncol. 1988;15:278-99.
46. Sculier JP, Klastersky J, Libert P, et al. Cyclophosphamide, doxorubicin and vincristine with amphotericin B in sonicated liposomes as salvage therapy for small cell lung cancer. Eur J Cancer. 1990;26:919-21.
47. Shepherd FA, Evans WK, MacCormick R, et al. Cyclophosphamide, doxorubicin, and vincristine in etoposide- and cisplatin-resistant small cell lung cancer. Cancer Treat Rep. 1987;71:941-4.
48. Ardizzoni A, Hansen H, Dombernowsky P, et al. Topotecan, a new active drug in the second-line treatment of small-cell lung cancer: a phase II study in patients with refractory and sensitive disease. The European Organization for Research and Treatment of Cancer Early Clinical Studies Group and New Drug Development Office, and the Lung Cancer Cooperative Group. J Clin Oncol. 1997;15:2090-6.
49. von Pawel J, Schiller JH, Shepherd FA, et al. Topotecan versus cyclophosphamide, doxorubicin, and vincristine for the treatment of recurrent small-cell lung cancer. J Clin Oncol. 1999;17:658-67.
50. Perez-Soler R, Glisson BS, Lee JS, et al. Treatment of patients with small-cell lung cancer refractory to etoposide and cisplatin with the topoisomerase I poison topotecan. J Clin Oncol. 1996;14:2785-90.
51. von Pawel J, Gatzemeier U, Pujol JL, et al. Phase II comparator study of oral versus intravenous topotecan in patients with chemosensitive small-cell lung cancer. J Clin Oncol. 2001;19:1743-9.
52. Shipley DL, Hainsworth JD, Spigel DR, et al. Topotecan: Weekly intravenous (IV) schedule similar to standard 5-day IV schedule as second-line therapy for relapsed small cell lung cancer (SCLC)--A Minnie Pearl Cancer Research Network phase II trial. J Clin Oncol (Meeting Abstracts). 2006 ;24 Suppl 18:7083.
53. Shah C, Ready N, Perry M, et al. A multi-center phase II study of weekly topotecan as second-line therapy for small cell lung cancer. Lung Cancer. 2007;57:84-8.
54. Kawato Y, Aonuma M, Hirota Y, et al. Intracellular roles of SN-38, a metabolite of the camptothecin derivative CPT-11, in the antitumor effect of CPT-11. Cancer Res. 1991;51:4187-91.
55. Noda K, Nishiwaki Y, Kawahara M, et al. Irinotecan plus cisplatin compared with etoposide plus cisplatin for extensive small-cell lung cancer. N Engl J Med. 2002;346:85-91.
56. Hanna N, Bunn PA, Jr., Langer C, et al. Randomized phase III trial comparing irinotecan/cisplatin with etoposide/cisplatin in patients with previously untreated extensive-stage disease small-cell lung cancer. J Clin Oncol. 2006;24:2038-43.
57. Agelaki S, Syrigos K, Christophylakis C, et al. A multicenter phase II study of the combination of irinotecan and gemcitabine in previously treated patients with small-cell lung cancer. Oncology. 2004;66:192-6.
58. Ulukan H, Swaan PW. Camptothecins: a review of their chemotherapeutic potential. Drugs. 2002;62:2039-57.
59. Mross K, Richly H, Schleucher N, et al. A phase I clinical and pharmacokinetic study of the camptothecin glycoconjugate, BAY 38-3441, as a daily infusion in patients with advanced solid tumors. Ann Oncol. 2004;15:1284-94.
60. Wu GS, El-Diery WS. p53 and chemosensitivity. Nat Med. 1996;2:255-6.
61. Groen HJ, Fokkema E, Biesma B, et al. Paclitaxel and carboplatin in the treatment of small-cell lung cancer patients resistant to cyclophosphamide, doxorubicin, and etoposide: a non-cross-resistant schedule. J Clin Oncol. 1999;17:927-32.
62. Agelaki S, Veslemes M, Syrigos K, et al. A multicenter phase II study of the combination of gemcitabine and docetaxel in previously treated patients with small cell lung cancer. Lung Cancer. 2004;43:329-33.
63. Hainsworth JD, Carrell D, Drengler RL, et al. Weekly combination chemotherapy with docetaxel and gemcitabine as first-line treatment for elderly patients and patients with poor performance status who have extensive-stage small cell lung carcinoma: a Minnie Pearl Cancer Research Network phase II trial. Cancer. 2004;100:2437-41.
64. Hanada M, Noguchi T, Murayama T. [Profile of the anti-tumor effects of amrubicin, a completely synthetic anthracycline]. Nippon Yakurigaku Zasshi. 2003;122:141-50.
65. Inoue A, Ishimoto O, Fukumoto S, et al. A phase II study of amrubicin combined with carboplatin for elderly patients with small-cell lung cancer: North Japan Lung Cancer Study Group Trial 0405. Ann Oncol. 2010;21:800-3.
66. Onoda S, Masuda N, Seto T, et al. Phase II trial of amrubicin for treatment of refractory or relapsed small-cell lung cancer: Thoracic Oncology Research Group Study 0301. J Clin Oncol. 2006;24:5448-53.
67. Yana T, Negoro S, Takada M, et al. Phase II study of amrubicin in previously untreated patients with extensive-disease small cell lung cancer: West Japan Thoracic Oncology Group (WJTOG) study. Invest New Drugs. 2007;25:253-8.