In this installment of Clinical Quandaries, Bendu Konneh, BS, and colleagues present a case of a 21-year-old male with a 4-month history of progressive swelling in the right testicle.
Oncology (Williston Park). 2022;36(6):375-377.
DOI: 10.46883/2022.25920962
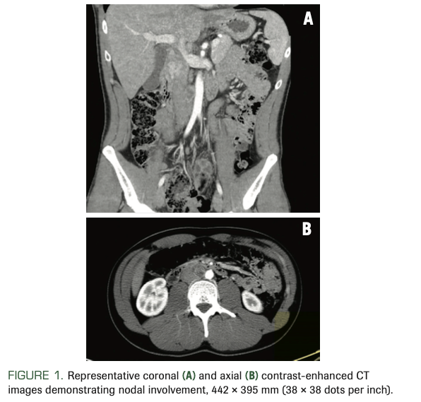
A man, aged 21 years, presented with a 4-month history of progressive swelling of the right testicle. Ultrasound revealed a heterogenous solid mass in the right testicle suspicious for malignancy. Further work-up included CT scans, which identified a 2-cm retroperitoneal lymph node; there was no evidence of thoracic metastases (Figure 1). Serum tumor markers revealed a mildly elevated α-fetoprotein (AFP) and normal lactate dehydrogenase (LDH) and human chorionic gonadotropin (hCG).
FIGURE 1. Representative coronal (A) and axial (B) contrast-enhanced CT images demonstrating nodal involvement, 442 × 395 mm (38 × 38 dots per inch).

The patient underwent right radical inguinal orchiectomy. Pathology evaluation demonstrated 1% teratoma with extensive secondary somatic-type malignant components of embryonal rhabdomyosarcoma and chondrosarcoma. No lymphovascular invasion was identified. Repeat tumor markers showed normal AFP, LDH, and hCG. Follow-up short-interval CT scans confirmed a dominant 2-cm interaortocaval lymph node with no evidence of distant metastases. The patient underwent retroperitoneal lymph node dissection, which revealed 1 of 24 lymph nodes positive for similar somatic-type malignancy composed of rhabdomyosarcoma and chondrosarcoma as well as undifferentiated spindle cell sarcoma with extranodal extension. Immunohistochemistry revealed that tumor cells were positive for myogenin and desmin and negative for SALL4 (Figure 2).
FIGURE 2. Lymph node immunohistochemical staining positive for myogenin and desmin, 286 × 194 mm (300 × 300 dots per inch).

Introduction
Testicular germ cell tumors (TGCTs) account for the greatest incidence of testicular cancer among young adult men. TGCTs are a type of solid neoplasm with diverse histological subtypes that inform clinical management.1 TGCTs are divided into 2 categories: seminomas and nonseminomas. Nonseminomas include choriocarcinomas, embryonal carcinomas, yolk sac tumors, and teratomas.
Testicular teratomas have further been subclassified as either postpubertal type or prepubertal type. Prepubertal-type teratomas are biologically indolent and are not associated with germ cell neoplasia in situ (GCNIS), but postpubertal-type teratomas are associated with GCNIS and are malignant.2 Additionally, postpubertal-type teratomas have a propensity to metastasize to extragonadal sites like the retroperitoneal lymph nodes. Rarely, testicular postpubertal-type teratomas can develop a somatic-type malignancy, which is generally treated via surgical resection.
In this report, we present a molecular characterization of a rare case of teratoma with somatic-type malignant components in the testis and lymph nodes. Historically, TGCTs with somatic-type malignancy have responded poorly to radiation and traditional platinum-based chemotherapies; therefore, answer A is incorrect.3,4 Attempts to target chemotherapy toward transformed histology within metastatic teratomas have yielded mixed outcomes, with some studies showing durable positive responses and others showing no response.5-7 Notably, Alessia C. Donadio, MD, and colleagues demonstrated responses in patients with malignancies of a single histologic subtype, whereas our patient presented with 3 subtypes: rhabdomyosarcoma, chondrosarcoma, and undifferentiated spindle cell sarcoma. Further research must be conducted to evaluate response to TGCT-directed and somatic-type malignant histology-directed chemotherapy in the metastatic setting, particularly in patients with multiple histologic subtypes. Thus, answer B is incorrect.
RNA-seq and Transcriptome Sequencing of Tumor Sample
To explore the genomic and transcriptomic landscape of this cancer and identify potential therapeutic targets, a tumor–normal next-generation sequencing (NGS) assay integrated with whole transcriptome RNA sequencing was conducted on specimens collected from the patient’s interaortocaval lymph node metastasis. Transcriptomic profiling by RNA sequencing indicated ERBB3 to be the only overexpressed gene. The ERBB3 gene, located on chromosome 12, codes for HER3, a tyrosine kinase receptor typically expressed in membranes of epithelial cells. Somatic mutation of ERBB3 has been reported in certain digestive tract carcinomas and urothelial carcinomas.8
The NGS-based assay consisted of a targeted panel of 648 genes (xT 648 panel) that have commonly been associated with both solid and hematological cancers. The xT 648 panel indicated no pathogenic germline variants. However, a KRAS (p.G12C) missense variant in exon 2 was identified as the sole somatic mutation, with a variant allele fraction of 59.7%. The KRAS gene is 1 of the 3 members in the RAS family of oncogenes that are responsible for mediating a myriad of cellular processes related to growth and differentiation through GTPase signaling.9
Although KRAS G12C mutations are most prevalent in non–small cell lung cancer (NSCLC) and colorectal cancer, KRAS mutations have also been reported in TGCTs at different codons.10,11 The fact that KRAS G12C was the sole mutation found in this panel suggests that this mutation might be a driver for the malignant transformation process. Further, this detail presents a possible avenue for treating platinum-resistant TGCTs like teratoma. Of late, the drug sotorasib (Lumakras) has been presented as the first-of-its kind KRAS G12C inhibitor to target KRAS G12C–mutant tumors. In 2021, the FDA granted approval of sotorasib for the treatment of NSCLC. No data exist to support the use of adjuvant transformed histology–directed targeted therapy for TGCTs with somatic-type malignant components. Further research must be conducted to evaluate transformed histology response to targeted therapy. Therefore, answer C is incorrect. However, salvage therapy with sotorasib may be offered, with research potential, should the patient relapse with similar somatic components.
Regarding immunotherapy markers, results revealed a microsatellite stable (MSS) tumor with a mutational burden (TMB) of 3.7 m/MB (50th percentile). Given that TGCTs are not known to have high TMB, it is not surprising that this case would be in the 50th percentile compared with other tumors.12 Given the tumor’s low TMB and MSS status, there is decreased likelihood of triggering an immune response; the tumor would likely not respond to immune checkpoint inhibitor therapy.13,14 Thus, answer E is incorrect.
Circulating miR-371a-3p Levels From Collected Serum
Essential to diagnosis of TGCTs are serum tumor markers (STMs); they inform staging and risk stratification. Current conventional STMs utilized in clinical diagnosis include AFP, hCG, and LDH. Unfortunately, these 3 markers have limited performance in certain subtypes of TGCTs, including teratomas and seminomas.15 Recently, certain microRNAs (miRNAs) have been posited as potential biomarkers for some TGCT subtypes. miR-371a-3p has been proven to have enhanced capability in detecting several TGCT subtypes, with some publications presenting sensitivity and specificity values upward of 80% to 90%.16 Although these results are promising, miR-371a-3p is generally not elevated in typical cases of teratoma. A multicenter study by Klaus-Peter Dieckmann, MD, and colleagues revealed that in a cohort of 258 men, miR-371a-3p expression was minimally detectable in patients with pure teratoma.17 Despite miR-371a-3p’s failed performance in pure teratomas, the malignant transformation element in this case suggested potential for investigation. A miRNA assay was performed on serum collected from the patient both pre- and post lymphadenectomy. The target, miR-371a-3p, and the reference gene, miR-30b-5p, were included in the assay. miR-371a-3p expression was quantified via reverse transcription polymerase chain reaction. Results revealed that miR-371a-3p was minimally detected in pre- and postoperative serum samples, suggesting no utility as a tumor marker in this patient. The mean quantification cycle value for the preoperative sample was 36.56, and miR-371a-3p was undetected in the postoperative sample.
No adjuvant treatment was offered to the patient. The patient elected for active surveillance with guideline-compliant imaging of the chest, abdomen, and pelvis along with STMs. Thus, answer D is correct. One year after retroperitoneal lymph node dissection, there is no evidence of disease recurrence.
Disclosure: The authors have no significant financial interest in or other relationship with the manufacturer of any product or provider of any service mentioned in this article.
CORRESPONDING Author:
Aditya Bagrodia, MD
Associate Professor, Department of Urology
University of California San Diego
Suite 1-200, 9400 Campus Point Drive
La Jolla, CA 92037
Bagrodia@health.ucsd.edu
Author affiliations:
Bendu Konneh, BS1,2; Austin J. Leonard, BA3; John T. Lafin, PhD1; Liwei Jia, MD, PhD4; and Aditya Bagrodia, MD1,3
1Department of Urology, University of Texas Southwestern Medical Center, Dallas, TX
2Department of Pediatrics, University of Texas Southwestern Medical Center, Dallas, TX
3Department of Urology, University of California San Diego, La Jolla, CA
4Department of Pathology, University of Texas Southwestern Medical Center, Dallas, TX
