FERTILITY AND GISTs
Abigail Delaney, MD discusses fertility in the setting of GISTs at
https://www.cancernetwork.com/view/fertility-in-the-setting-of-gists
ABSTRACT Gastrointestinal stromal tumors (GISTs) are rare neoplasms of the gastrointestinal tract. They commonly present with nonspecific symptoms and thus are often discovered incidentally. They are best identified by CT scan and most stain positive for CD117 (C-Kit), CD34, and/or DOG-1. Several risk stratification classification systems have been developed based on tumor size, mitotic rate, location, and perforation. Traditional chemotherapy and radiation therapy have been very ineffective, making surgery the mainstay of treatment. The discovery of mutations associated with these tumors has revolutionized the treatment approach. Imatinib mesylate, a selective tyrosine kinase receptor inhibitor, used as adjuvant or neoadjuvant therapy, has greatly improved the morbidity and mortality associated with GISTs. As the survival of patients has increased with the long-term use of targeted therapies, quality-of-life issues now have become much more relevant and have come to the forefront of care. We present a young woman who was successfully treated for GIST but now faces associated long-term adverse effects of imatinib, including the challenge of preserving fertility and the potential for childbearing.
Copur is a medical oncologist/hematologist at Morrison Cancer Center, Mary Lanning Healthcare in Hastings, Nebraska, and is a professor at the University of Nebraska Medical Center. He is also an Editorial Advisory Board member at ONCOLOGY®.

Cushman-Vokoun is the medical director of the Molecular Diagnostics Laboratory at University of Nebraska Medical Center, and associate professor at the University of Nebraska Medical Center Department of Pathology and Microbiology, with research interest in the molecular pathology and testing of GI-based malignancies.

Delaney is a double board certi ed obstetrician/gynecologist and reproductive endocrinologist. She is currently in private practice at Omaha Reproductive Health Specialists, affliated with Women’s Methodist Hospital.

Wedel is a staff pathologist at Mary Lanning Healthcare.

Padussis is assistant professor, Department of Surgical Oncology, University of Nebraska Medical Center, Omaha, Nebraska.

Lauer is a pathologist and Associate Professor in the Department of Pathology and Microbiology at the University of Nebraska Medical Center, where he holds the James M.D. Distinguished Pathology Residency Program Director Chair.

Talmon is a professor in the Department of Pathology and Microbiology at the University of Nebraska Medical Center, specializing in gastrointestinal, renal, and placental pathology.

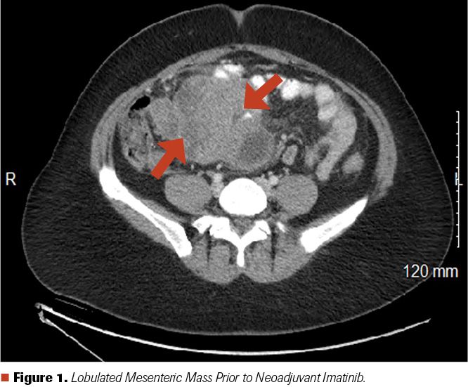
A 33-year-old White woman had been having some nonspecific intermittent abdominal pain for the past 2 years, which had been attributed to various different conditions including uterine fibroids, irritable bowel syndrome, fibromyalgia, and pelvic floor dysfunction. After visits to several different health care provider, a CT scan of the abdomen and pelvis eventually revealed a large lobulated mesenteric mass measuring 13.5 x 9.5 cm (Figure 1). A CT-guided biopsy of this mass revealed proliferation of epithelioid to spindled cells with moderate eosinophilic cytoplasm (Figures 2A and 2B). Immunohistochemical stains of the biopsy specimen were strongly positive for DOG1 (Figure 2C), CKIT, and CAM5.2; weakly positive for cytokeratin AE1/AE3; and negative for CK7, CK20, S100 protein, desmin, chromogranin, synaptophysin, CDX2, TTF1, PAX8, calretinin, and ER. WT1 was positive with cytoplasmic staining but negative with nuclear staining. The mitotic rate was estimated to be at least 2 per 50 high-power fields (HPF). No necrosis was identified.
Figure 1. Lobulated Mesenteric Mass Prior to Neoadjuvant Imatinib.

A gastrointestinal stromal tumor (GIST) mutation panel (analyzing KIT, PDGFRα, and BRAF genes) was performed on DNA extracted from the biopsy using next-generation sequencing (50% estimated tumor cellularity). Two mutations were detected: KIT p.A502_Y503dup (c.1504_1509dupGCCTAT; exon 9; pathogenic; 48% variant allele frequency) and BRAF p.R444W (c.1330C>T; exon 11; likely pathogenic; 28% variant allele frequency). No PDGFRα mutations were identified.
Figure 2. Sections Demonstrate a Proliferation of Spindled to Epithelioid Cells (hematoxylin and eosin stain, 200x magnification) (A&B); DOG-1 Immunohistochemical Staining (C).

After 8 weeks of neoadjuvant therapy with imatinib 800 mg by mouth (po) daily, CT scans showed interval decrease in the patient’s mesenteric mass, down to 8.3 x 6.2 cm (Figure 3A). After another 4 weeks of neoadjuvant imatinib, CT scans did not show any further significant decrease in the size of the mass (8.1 x 6.2 cm) (Figure 3B).
She underwent exploratory laparotomy with omentectomy, appendectomy excision of mesenteric implants, small bowel resection, and uterine fibroid resection. Pathology of postoperative material showed a jejunal GIST tumor with central hyalinization and calcification, consistent with therapy effect. Greatest tumor dimension was 9.5 cm, mitotic rate was 0 mitoses/5mm2, and all margins were negative with no nodal involvement. Metastatic GIST was identified in omental nodules and colon-associated mesenteric nodules. She was staged as pathologic stage pyT3pyN0pyM1.
Figure 3. Interval Decrease of Mesenteric Mass after 8 Weeks of Neoadjuvant Imatinib (A); Stable Mesenteric Mass After 12 weeks of Neoadjuvant Imatinib (B); Three Months Post Surgery, Showing No Abdominal Disease (C).

After surgery, she was placed on adjuvant imatinib 800 mg daily to be given for the next 3 to 5 years. Her most recent CT scan, done 3 months post surgery, showed no evidence of disease (Figure 3C). The patient expresses her strong desire to be able to conceive and have her own biologic children in the near future.
GISTsaccount for less than 1% of all gastrointestinal neoplasms, yet they constitute the most common soft-tissue sarcomas of the gastrointestinal tract.1 While the age-adjusted yearly incidence has been estimated at around 6.8 cases per million, based on a study utilizing Surveillance Epidemiology End Results data,2 the actual incidence is not known. This is partly due to lack of universal comprehensive testing for the characteristic KIT and/or PDGFRα gene mutations. Additionally, small, indolent GIST tumors—each only a few millimeters in diameter—do commonly occur in the general population, but they do not get included in cancer registries.3,4 The most common site for GIST tumors is the stomach (60%), followed by nonduodenal small intestine (30%), duodenum (5%), and rectum (4%); they appear much less commonly in the esophagus, colon, and appendix (1%).5 GISTs are equally distributed across all geographic and ethnic groups. Men and women are equally affected. Most patients present aged between 50 and 80 years.6
GISTs seem to be associated with no specific symptoms. Patients with a suspected GIST can present with a variety of symptoms, ranging from early satiety to abdominal pain, to gastrointestinal or intraperitoneal bleed with accompanying symptoms of fatigue and anemia. Neoplastic GIST cells appear to originate from a precursor cell lineage in the myenteric plexus of gastrointestinal tract that differentiates into the interstitial cells of Cajal (ICCs).7 Most tumors express the characteristic CD117 antigen, part of a tyrosine kinase receptor, which has been exploited for the development of novel therapeutic tyrosine kinase inhibitors (TKIs).
Biopsy is the mainstay of diagnosis. Endoscopic ultrasound-guided biopsies are preferred due to reduced possibility of bleeding and of intra-abdominal tumor spread risk. In advanced cases, image-guided percutaneous biopsies are appropriate. From incidentally discovered benign nodules that measure less than 10 mm to large sarcomas, GISTs represent a morphological and biological continuum. Despite clinicopathological differences, most GISTs share a similar genetic profile with KIT or PDGFRα gain‐of‐function mutations (oncogenic mutations).8,9 KIT (CD117) is expressed in more than 95% of GISTs; 80% of these patients have an activating mutation in the gene encoding for the KIT receptor tyrosine kinase, and in 5% to 10% the mutation is in the gene encoding the PDGFRα receptor tyrosine kinase. The remaining 10% to 15% of GISTs are KIT and PDGFRα wild-type, and in 10% to 15% of these tumors, BRAF p.V600E mutations can occur (<5% of GISTs overall).10-13 KIT mutation in GIST does not cause KIT expression—a fact that is occasionally misunderstood—but it modifies KIT function.5 Activation of KIT and PDGFRα by their ligands regulates important cell functions, including proliferation, apoptosis, chemotaxis, and adhesion. KIT function is also critical for the development and maintenance of different cell types, including hematopoietic cells, mast cells, melanocytes, gametocytes, and ICCs.14-16 Based on immunophenotypic, ultrastructural, and cell signaling similarities, GISTs are believed to originate from KIT-expressing progenitor ICCs through somatic KIT or PDGFRα mutations, which are believed to be an early step in GIST pathogenesis.
KIT and PDGFRα mutations can be categorized into 2 groups: mutations in the receptor regulatory domains (extracellular and juxtamembrane) and mutations in the tyrosine kinase enzymatic domains (TK1 and TK2). The majority of KIT mutations occur in the juxtamebrane domain (KIT exon 11), followed by mutations in the extracellular domain (KIT exon 9). Most of the PDGFRα mutations occur in exon 18 in TK2. While exon 11 mutations are common in all sites of GISTs, exon 9 mutations are more likely to be seen in intestinal sites. PDGFRα exon 18 mutations occur more commonly in gastric GISTs. Continuous ligand‐independent activation of KIT or PDGFRα kinases through these mutations leads to activation of downstream signal transduction pathways promoting cell survival and proliferation. BRAF is a serine-threonine kinase that functions downstream of receptor tyrosine kinases in the MAPK pathway, to activate cell proliferation.13
Immunohistochemical staining of biopsy specimens for CD117, DOG1, and/or CD34, and molecular genetic testing to identify KIT and/or PDGFRα mutations, help establish the diagnosis. Absence of KIT and/or PDGFRα mutations does not exclude the diagnosis of GIST; conversely, KIT positivity alone may not be sufficient to confirm the diagnosis. Tumors lacking KIT, PDGFRα, or BRAF mutations should be further evaluated with succinate dehydrogenase immunostaining and, if deficient, germline mutation testing should be considered.
Tumor size (ie, >10 cm) and mitotic rate (ie, >5 mitoses per 5mm2) have been the most widely used pathologic features to predict poor prognosis. Tumor site has been utilized as another important factor for risk stratification; a gastric location indicates less aggressive behavior compared with GIST tumors of intestinal or rectal origin.17,18 Tumor genotype is another independent prognostic factor, with KIT exon 11 deletions predicting higher risk of relapse after resection, but also excellent sensitivity to imatinib.19 Tumors with KIT exon 9 mutations may have better relapse-free survival (RFS) after curative resection, but they are less sensitive to imatinib therapy (requiring higher doses or alternative TKIs).19 PDGFRα exon 18 mutations have been associated with better prognosis; however, the most common mutation in exon 18 (p.D842V) predicts resistance to early-generation TKIs.18,20 Female sex has been implicated as an independent prognostic factor for better progression-free survival (PFS) and overall survival (OS).19
Between 15% to 50% of GIST patients present at an advanced stage at the time of diagnosis.21 Prior to the advent of imatinib, the lack of effective systemic treatment options meant surgery was the only recognized treatment for GIST. Notoriously dismal response rates of GISTs to conventional chemotherapy or radiation therapy (overall response rate, <5%) led to often-poor surgical outcomes in locally advanced disease, with an OS of 12 to 19 months and a 5-year survival rate of less than 5% to 10%.22,23 In patients with advanced GISTs, preoperative therapy with imatinib can significantly improve these outcomes in terms of both PFS and fewer intraoperative tumor ruptures and multivisceral resections.24 In a prospective study of potentially resectable GIST patients, the efficacy of preoperative 600 mg daily imatinib provided partial response in 7% and stable disease in 83% of the patients. The estimated 2-year PFS and OS rates were 83% and 93%, respectively.25 In another prospective study, preoperative imatinib improved resectability and reduced surgical morbidity in patients with primary resectable or unresectable GIST, providing a median tumor size reduction of 34% and an estimated 3-year PFS rate of 77%.26 While the efficacy and safety of preoperative imatinib has been well established, it is difficult to determine a definitive survival benefit of this approach since all patients have also been treated with postoperative imatinib for at least 2 years. One disadvantage of this approach is that the preoperative imatinib use can impede accurate assessment of recurrence risk. Thus, this approach should be considered only if surgical morbidity would be reduced by downstaging tumor size, as in the case presented here.
Primary treatment of localized or resectable GISTs is surgical resection. Perioperative imatinib has been utilized to decrease surgical morbidity prior to surgery or if residual tumor remains after surgery. GISTs are friable tumors with a propensity to rupture. The principal goal of surgery is to achieve complete resection with clear margins and an intact pseudocapsule. In the absence of pathologically enlarged nodes, lymphadenectomy is not necessary because of the low incidence of nodal involvement. For microscopically positive margins, re-resection is not required. If a complex surgical procedure will be needed due to extent of disease, a multidisciplinary tumor board discussion must be held regarding the use of neoadjuvant imatinib. Several case studies have shown the value of preoperative imatinib in enabling organ- and/or sphincter-sparing surgeries and in improving surgical outcomes.27
The role of laparoscopy in GIST is an expanding area of research. Despite the lack of prospective studies, some small case series and retrospective studies have revealed the feasibility and benefits of this approach with shorter hospital stays, decreased morbidity, and low recurrence rates.28,29 This approach has been most suitable for GISTs measuring less than 5 cm at favorable anatomic sites, such as the anterior wall of the stomach, jejunum, and ileum, and some small rectal locations.
In approximately 85% of patients with GIST, complete resection is possible; however, surgery is not always curative. Following complete resection, almost half of patients develop recurrence or metastatic disease, with a 5-year survival rate of 50%.30,31 Adjuvant imatinib therapy was first evaluated in ACOSOG Z9001, in which patients with 3 cm or larger primary localized GISTs were randomized to 400 mg daily imatinib or to placebo after complete resection of their tumors for a duration of 1 year.32 At a median follow-up of 74 months, RFS was significantly better in the imatinib arm; however, the OS rates were not different between the arms.33 Mutational analysis of all patients further revealed that while patients with KIT exon 11 deletions had a higher likelihood of RFS, patients with KIT exon 11 insertion or point mutation, KIT exon 9 mutation, PDGFRα mutation, or wild-type GIST did not. Tumor genotype did not affect RFS in the placebo arm. After the initial ACOSG Z9001, several other randomized studies investigated the optimal duration of adjuvant therapy. The EORTC-62024 study compared 2 years of adjuvant imatinib therapy with observation in patients with localized intermediate-risk or high-risk GISTs.34 While the RFS rate was significantly higher in the imatinib arm, the difference between arms in 5-year RFS did not reach statistical significance. In another study, the Scandinavian Sarcoma Group randomized high-risk GIST patients to 12 months vs 36 months of imatinib after curative intent surgery.35 This study was the first to show an OS advantage in addition to a RFS advantage. After a median follow-up of 90 months, 5-year RFS was 71.1% vs 52.3%, and 5-year OS was 91.9% vs 85.3%, both in favor of 36-month adjuvant imatinib. Nongastric GIST and high–mitotic count GIST patients were at a higher risk for recurrence. The most recent analysis of this trial (SSGXVIII/AIO) was presented at the American Society of Clinical Oncology 2020 Virtual Meeting. Over a median follow-up of 119 months, 53% of 1-year treatment patients experienced a recurrence event, 30% of those patients died, of whom 82% died as a result of metastatic GIST. In the 3-year treatment group, 44% experienced a recurrence event, and 18% of those patients died, of whom 83% died as a result of metastatic GIST. OS at 10 years was higher with longer imatinib treatment, at 79% with 3 years of therapy vs 65% with 1 year (HR, 0.55; P = .004).36 Finally, a single-arm phase 2 trial enrolled high-risk GIST patients onto 400 mg daily imatinib for 5 years or until progression, relapse, or intolerance.37 The primary end point was RFS. The 5- and 8-year estimated RFS rates were 90% and 81%, respectively, while the 5- and 8-year OS rates were both 95%. Nearly half of the patients discontinued treatment early, and most recurrences occurred after treatment discontinuation. Common reasons for early discontinuation included patient choice (20%), adverse effects (AEs) (17%), protocol deviation (4%), and loss of follow-up (4%). The most common AEs of all grades were nausea (71%), diarrhea (63%), fatigue (50%), muscle spasm (41%), vomiting (39%), and periorbital edema (34%).
The most commonly reported AEs of imatinib are fluid retention, diarrhea, nausea, fatigue, muscle cramps, abdominal pain, and rash. All improve with prolonged therapy.38 Liver function abnormalities, low blood counts, gastrointestinal bleeding, lung toxicity, and congestive heart failure rarely have been reported.39
Modern social structure and medical advances have led to increasing numbers of women choosing childbearing at an older age. Increasing incidence of GISTs and its successful treatment now have brought the issues of preservation of fertility and childbearing potential in younger patients affected with this disease. Although contraception advice and termination of early pregnancy have been the standard practice in patients with this disease, cases of GIST during pregnancy have been reported.40
Tan et al presented a meta-analysis (N = 12) of women diagnosed with a GIST tumor in the perigestational period. Analysis of these cases demonstrated that 8 of 12 went on to deliver healthy infants. The majority (7 of 8) of these women were not initiated on imatinib therapy until they reached postpartum status. The study does report a single case of a woman who remained on imatinib therapy for a known GIST tumor throughout the pregnancy. She underwent a successful delivery and the infant had continued normal development up to 1 year later.41
Limited data are available regarding gestational exposure to imatinib; they consist mostly of case studies and series. Animal data indicate an increased risk of teratogenicity during organogenesis and an increased risk of fetal loss with exposure at equivalent recommended dosages.42,43
Abigail Delaney, MD discusses fertility in the setting of GISTs at
https://www.cancernetwork.com/view/fertility-in-the-setting-of-gists
The largest data set of women found to be gestationally exposed to imatinib (N = 180) demonstrates potential risk of fetal abnormalities and fetal loss. The majority of exposures in the data set occurred in the first trimester; of these women, 28% underwent elective termination secondary to treatment. Three of these terminations were performed following identification of multisystem fetal abnormalities on obstetric ultrasound. These study results cited a 14.4% risk of spontaneous abortion; however, they also demonstrated that normal infants were delivered in 50% of exposed pregnancies. Given limited evidence of fetal harm, best practices still include prevention of pregnancy while taking imatinib and consideration of termination should a pregnancy occur while taking the drug.44
While there are a paucity of data with regard to imatinib in pregnancy, data are even more scarce with regard to fertility while on imatinib therapy or fertility after cessation of therapy. Available literature demonstrates a single case report indicating that active treatment with imatinib can result in reversible diminished ovarian function when undergoing fertility preservation. Long-term data, however, are clearly lacking.45
GISTs are rare tumors that account for a small percentage of gastrointestinal neoplasms and they are usually discovered incidentally. While surgery remains the backbone of treatment, our understanding of aberrant molecular pathways in the pathogenesis of this disease and the rapid development of molecular therapies targeting these pathways have resulted in dramatic results redefining the management of these traditionally chemotherapy-resistant tumors. Neoadjuvant imatinib therapy—with the goal of shrinking the tumor and allowing organ preservation and less extensive surgery than would otherwise be required for some patients—and long-term adjuvant therapy—for patients with high risk of recurrence—now enable many GIST patients to live long, normal lives. Quality of life has now become an important issue for patients on long-term TKI therapy.
After successful curative-intent surgery, the patient remains on 800-mg adjuvant imatinib with a goal of 3 to 5 years of treatment. Discussions were held about her fertility while on imatinib, her options for healthy childbearing, her individual prognostic factors, and her predicted survival with the treatment options that are currently available. She also had a comprehensive consultation with a fertility expert (the third author). She was offered several options, including contraception until after completion of her treatments, oocyte cryopreservation, and embryo cryopreservation. Based on the data (although limited) indicating that the diminished ovarian reserve while on imatinib is reversible, she decided to pursue pregnancy after her adjuvant treatment is completed.
Financial Disclosure: The authors have no significant financial interest in or other relationship with the manufacturer of any product or provider of any service mentioned in this article.
References:

Oncology Peer Review On-The-Go: COVID-19, Cancer, and the Potential of mRNA Vaccines
March 30th 2021Mehmet Sitki Copur, MD, discussed his article in the Journal ONCOLOGY® focusing on COVID-19, messenger RNA vaccines, and the excitement surrounding its integration into the future of cancer treatment.
Late Hepatic Recurrence From Granulosa Cell Tumor: A Case Report
Granulosa cell tumors exhibit late recurrence and rare hepatic metastasis, emphasizing the need for lifelong surveillance in affected patients.