A 39-year-old Hispanic male presented with complaints of mucous stools, loss of appetite, rectal bleeding and a 30-pound weight loss within the past several months.
Figure 1-3

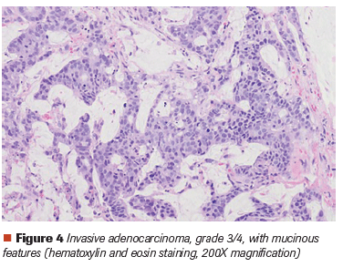
Figure 4

Figure 5

Dr. Wedel is a staff pathologist at Mary Lanning Healthcare.

Dr. Horn is a Medical Oncologist/ Hematologist at Morrison Cancer Center, Mary Lanning Healthcare in Hastings, Nebraska.

Dr. Jonglertham is a Medical Oncologist/Hematologist at Morrison Cancer Center, Mary Lanning Healthcare in Hastings, Nebraska.

Dr. Copur is a Medical Oncologist/ Hematologist at Morrison Cancer Center, Mary Lanning Healthcare in Hastings, Nebraska, and is a Professor at the University of Nebraska Medical Center in Omaha, Nebraska. He is also Editor-at-Large and a Community Oncology Advisory Board member at ONCOLOGY.

Dr. Zusag is a board-certi

Colorectal carcinoma is the second leading cause of cancer-related deaths in the United States, with rectal cancer accounting for approximately one-third of newly diagnosed cases. A comprehensive trimodality approach involving neoadjuvant chemoradiotherapy, total mesorectal excision, and systemic chemotherapy has been the standard of care for medically operable patients with nonmetastatic, locally advanced rectal cancer. Despite a marked reduction in local recurrence rates with good local control, systemic recurrence rates of as high as 35% constitute the leading cause of death in this population. This has led to increasing interest in neoadjuvant systemic therapy before or after neoadjuvant chemoradiation a new approach called total neoadjuvant therapy. This case study will review the current status of clinical stage II or III locally advanced rectal cancer (T3/4, N0, or node-positive) treatment regarding neoadjuvant therapy.
A 39-year-old Hispanic male presented with complaints of mucous stools, loss of appetite, rectal bleeding and a 30-pound weight loss within the past several months. Initial evaluation discovered iron deficiency anemia. A colonoscopy revealed a rectal mass starting 8 cm from the anal verge extending to 10 cm. Staging computed tomography scans revealed no abnormalities in the chest abdomen but an abnormal asymmetric mural thickening involving the rectum in the pelvis. Magnetic resonance imaging (MRI) of the pelvis confirmed a 9.4 x 4.5 x 3.4 cm large circumferential rectal mass involving the mucosa and submucosa with extension through the muscularis layer (Figures 1-3). A biopsy of the rectal mass showed grade 3/4 invasive adenocarcinoma of the rectum with mucinous features (Figure 4 and Figure 5).
Immunohistochemistry stains showed loss of nuclear staining for MLH1 and PMS2 indicative of a mismatch repair-deficient tumor. Additional testing for BRAF V600E mutation and MLH1 promoter hypermethylation was negative suggesting the presence of a germline mutation. After a genetic consultation and an informed consent, germline multigene Lynch syndrome panel testing was performed. Analyzed genes included MLH1, MSH2, MSH6 and PMS2 (sequencing and deletion/duplication), and EPCAM (deletion/duplication only). There were no pathogenic sequence variants or deletions/duplications. The patient is adopted and is not able to provide any detailed medical history for his parents and siblings. He is married and has 2 children.
Colorectal carcinoma (CRC) is the second leading cause of cancer-related deaths in the United States, with an estimated 145,600 cases of CRC and an estimated 51,020 deaths in 2019.1 One-third of CRCs occur in the rectum, which starts at a virtual line from the sacral promontory to the upper edge of the symphysis pubis on MRI and ends at the superior border of the functional anal canal. The functional anal canal is defined as the palpable upper border of the anal sphincter and puborectalis muscles of the anorectal ring. The decision-making process for the optimal treatment of a patient with rectal cancer is usually complicated because of the 2 competing major outcome measures. Curative intent of surgery must be balanced against the functional results of treatment, which include the maintenance or restoration of normal bowel function/anal continence and preservation of genitourinary functions. Contrary to colon cancer, treatment of rectal cancer usually requires locoregional treatment due to the high risk of locoregional recurrence. The surgical technical difficulties in obtaining a wide surgical margin, proximity of the rectum to pelvic structures, and the absence of serosa surrounding the rectum makes rectal cancer a high-risk disease for local recurrence. Historically, radiation therapy has been a crucial part of rectal cancer treatment and has helped decrease the rates of local recurrence but with increased toxicity.2-4
Combined modality therapy consisting of concurrent fluoropyrimidine-based chemoradiation, surgery, and adjuvant chemotherapy has been utilized for the majority of patients with stage II or stage III rectal cancer. The National Comprehensive Cancer Network (NCCN) guidelines recommend trimodality treatment with neoadjuvant chemoradiotherapy, surgical resection with total mesorectal excision (TME), plus additional chemotherapy, most commonly in the adjuvant setting.5 Advances in all 3 treatment modalities (ie, the adoption of the TME surgical technique, optimized timing and dosimetry of radiotherapy, and the incorporation of modern chemotherapy drugs) have led to a marked reduction in local recurrence rates-from as high as 25% to less than 5% to 10% in the contemporary literature.6 Unfortunately, an estimated 5-year distant relapse rate of 35% remains as one of the main causes of death in this population. Suboptimal delivery of existing treatments due to poor patient compliance has stimulated the development of novel approaches in sequencing and effective utilization patterns.
The benefits of chemoradiation in stage II/III rectal cancer were originally established in the adjuvant setting by 2 prospective randomized trials demonstrating that postoperative chemoradiation significantly decreased local recurrence rate compared with observation or either modality alone.7,8 The German Rectal Cancer Study Group trial (CAO/ARO/AIO-94) compared neoadjuvant chemoradiation therapy to adjuvant chemoradiation.9 Pelvic relapse rates at 5 and 10 years were significantly lower in the neoadjuvant chemoradiation group compared with the adjuvant group (6% vs 13%; P = .006 and 7% vs 10%; P = .048, respectively). Although no significant differences in disease-free survival (DFS) or overall survival (OS) were apparent between the 2 groups, patients receiving neoadjuvant chemoradiation experienced considerably less acute and chronic greater than grade 3 toxicities (14% vs 24%; P = .01).10 These long-term follow-up results established the current standard role of neoadjuvant chemoradiation in stage II and III rectal cancer.10
Two different neoadjuvant chemoradiation approaches have been validated in randomized trials to be equally effective in reducing the risk of local disease recurrence in stage II/III rectal cancer compared with surgery alone. One approach, short-Âcourse radiotherapy, consists of 1 week of radiation (25 gray [Gy] in 5 fractions) typically followed by surgery in 1 week.11-14 The other approach, long-Âcourse chemoradiotherapy, consists of 45 to 50.4 Gy in 25 to 28 fractions with concurrent fluorouracilâ€Âbased chemotherapy followed by surgery in 4 to 8 weeks.15 Short-course radiation therapy is commonly used in northern Europe, whereas long-course chemoradiation remains the standard in the United States. While the potential benefits of the shortâ€Âcourse regimen may include improved patient convenience, lower rates of acute toxicity and lower cost, long-course chemoradiation has been associated with lower surgical morbidity, increased sphincter preservation, and a lower incidence of positive radial resection margins.16 Further research is needed to determine whether longer follow-up results will increase the adoption of short-course radiotherapy in the United States.
Systemic chemotherapy in rectal cancer has 2 main purposes; first, it provides a radiation sensitizer effect, and second, it serves to eliminate circulating micrometastases and distant organ involvement.17 Current professional consensus guidelines recommend 4 months of adjuvant fluoropyrimidine-based chemotherapy for all patients with rectal cancer who receive neoadjuvant chemoradiation followed by surgical resection.5 A systematic review and meta-analysis of individual patient data from 4 studies specifically examining the efficacy of adjuvant chemotherapy in rectal cancer showed a significant increase in DFS in a subgroup analysis of patients with proximal tumors (10-15 cm above the anal verge) and fewer distant recurrences.18 A recent National Cancer Database analysis investigating NCCN guideline adherence and associated survival benefit for adjuvant chemotherapy revealed improved OS across all pathologic stages, with the greatest survival benefit among patients with a pathologic complete response after surgery (hazard ratio, 0.40; 95% CI, 0.23-0.67). However, the reported rates of patients receiving adjuvant chemotherapy were remarkably low (32%), highlighting the poor compliance rate with planned chemotherapy.19
Several small studies have tested the utility of neoadjuvant chemotherapy before chemoradiation and surgery. In the Spanish GCR-3 randomized phase II trial, capecitabine and oxaliplatin (CAPOX) chemotherapy before chemoradiation or after surgery provided similar pathologic complete response (pCR) rates; however, patients in the neoadjuvant chemotherapy group experienced less toxicity.20,21 Another phase II trial randomized patients to neoadjuvant folinic acid, fluorouracil, and oxaliplatin (FOLFOX) chemotherapy prior to chemoradiation or chemoradiation alone followed by surgery. There were no differences in clinical outcomes with more toxicities in the neoadjuvant FOLFOX group.22 The phase II AVACROSS study assessed the safety and efficacy of adding bevacizumab to induction therapy with CAPOX prior to chemoradiation and surgery. This regimen was well tolerated with a pCR rate of 36%.23
Current national practice guidelines continue to recommend a 4-month systemic chemotherapy course before or after surgical resection for all patients, regardless of neoadjuvant chemoradiation.5, 24
Historically, treatment for clinical stage II or III locally advanced rectal cancer (T3/4, N0, or node-positive) consisted of preoperative chemoradiotherapy followed by TME and postoperative adjuvant chemotherapy with fluorouracil and oxaliplatin.25 A pragmatic approach to optimize delivery of trimodality therapy is the incorporation of systemic chemotherapy before or after neoadjuvant chemoradiation. This induction or consolidation chemotherapy with chemoradiation prior to surgery for stage II/III rectal cancer has been called total neoadjuvant therapy (TNT). Among several reported advantages of this approach are improved delivery of planned therapy, increased downstaging, earlier elimination of micrometastatic disease, and an opportunity for in vivo assessment of chemosensitivity. In addition, delivery of all chemotherapy preoperatively obviates the need for postoperative therapy, reducing duration with a diverting ileostomy and saving patients from undergoing chemotherapy with a stoma. Accumulating literature suggests that systemic neoadjuvant chemotherapy is a safe and feasible option. NCCN guidelines now include its use. Optimal scheduling of chemotherapy in relation to chemoradiation with respect to treatment efficacy, toxicity, and compliance has not been well studied; it is the subject of an ongoing randomized clinical trial.26 Results from the first randomized, phase II trial addressing this very question were recently published.27 In this study, chemoradiation followed by systemic chemotherapy resulted in higher compliance with chemoradiation but lower compliance with chemotherapy. A pCR in the intention-to-treat population was achieved in 17% of patients treated with systemic chemotherapy followed by chemoradiation versus 25% in patients treated with chemoradiation followed by systemic chemotherapy. Long-term follow-up will assess whether improved pCRs in the chemoradiation followed by systemic chemotherapy group translates to better outcomes.
The efficacy of TNT brings the high possibility of clinical complete response as determined by a combination of physical examination and radiologic and endoscopic surveillance methods. A subset of patients who achieved a complete clinical response will also have a pCR, thus they may not benefit from subsequent surgery. The challenge lies in the accurate determination and definition of a complete clinical response. Available information so far has demonstrated promising outcomes with nonoperative management.28-31 While a higher proportion of patients are reported to have local recurrence in the absence of surgical resection, this does not appear to compromise outcomes if salvage surgery was performed. Research is now focusing on improving patient selection, refining noninvasive MRI criteria for response determination, and incorporating more targeted therapies into TNT.
While the incorporation of chemoradiation has dramatically improved local recurrence rates, the impact on OS has been difficult to demonstrate due to relapsing patients dying from systemic metastatic disease. With the improved surgical techniques and widespread utilization of TME, it is tempting to question if potential short- and long-term toxicities of pelvic radiotherapy can be avoided. A subset of patients, indeed, may be eligible for this approach. One particular group of patients are those with proximal tumors who may have a higher likelihood of negative circumferential radial margins at the time of surgery. Several ongoing studies (BACCHUS: NCT01650428, FOWARC: NCT01211210, and PROSPECT: NCT01515787) are investigating this strategy. Currently, the selective use of radiation therapy remains an investigational strategy and insufficient data exist to use this method outside of a clinical trial setting.
Outcomes for patients with locally advanced rectal cancer have improved considerably with the availability of combined modality therapy. However, the primary cause of death from locally advanced rectal cancer remains as the distant relapse rate, which far exceeds the rate of local recurrence. The necessity to optimally address micrometastatic disease has led to increasing interest in delivering chemotherapy in the neoadjuvant setting rather than the postoperative or adjuvant setting. As a result, the TNT concept was born, providing a promising platform for novel nonoperative or nonradiation protocols. The promise of this approach has been highlighted by the recent, rapidly increasing TNT literature, which gives additional support for the current NCCN guidelines that categorize TNT as a viable treatment strategy for rectal cancer. Long-term results of ongoing and future trials will continue to refine the role of TNT in providing selective exclusion of radiation and nonoperative management.
The patient was treated with 8 cycles of FOLFOX followed by 6 weeks of chemoradiation followed by surgery. Pathology revealed T3N1M0 disease. He is currently receiving follow-up.
Financial Disclosure: The authors have no significant financial interest in or other relationship with the manufacturer of any product or provider of any service mentioned in this article.
FIVE KEY REFERENCES
1. National Cancer Institute Surveillance, Epidemiology, and End Results Program. Cancer Stat Facts: Colorectal Cancer. SEER website. https://seer.cancer.gov/statfacts/html/colorect.html. Accessed January 12, 2020.
2. Baxter NN, Morris AM, Rothenberg DA, Tepper JE. Impact of preoperative radiation for rectal cancer on subsequent lymph node evaluation: a population-based analysis. Int J Radiat Oncol Biol Phys. 2005;61(2):426-431. doi: 10.1016/j.ijrobp.2004.06.259.
3. Peters KC, van de Velde CJ, Leer JW, et al. Late side effects of short-course preoperative radiotherapy combined with total mesorectal excision for rectal cancer: increased bowel dysfunction in irradiated patients--a Dutch colorectal cancer group study. J Clin Oncol. 2005;23(25):6199-6206. doi: 10.1200/JCO.2005.14.779.
4. Rahbari NN, Elbers H, Askoxylakis V et al. Neoadjuvant radiotherapy for rectal cancer: meta-anlysis of randomized controlled trials. Ann Surg Oncol. 2013;20(13):4169-4182. doi: 10.1245/s10434-013-3198-9.
5. National Comprehensive Care Network Clinical Practice Guidelines in Oncology: Rectal Cancer. Version 3.2019. www.NCCN.org
1. National Cancer Institute Surveillance, Epidemiology, and End Results Program. Cancer Stat Facts: Colorectal Cancer. SEER website. https://seer.cancer.gov/statfacts/html/colorect.html. Accessed January 12, 2020.
2. Baxter NN, Morris AM, Rothenberg DA, Tepper JE. Impact of preoperative radiation for rectal cancer on subsequent lymph node evaluation: a population-based analysis. Int J Radiat Oncol Biol Phys. 2005;61(2):426-431. doi: 10.1016/j.ijrobp.2004.06.259.
3. Peters KC, van de Velde CJ, Leer JW, et al. Late side effects of short-course preoperative radiotherapy combined with total mesorectal excision for rectal cancer: increased bowel dysfunction in irradiated patients--a Dutch colorectal cancer group study. J Clin Oncol. 2005;23(25):6199-6206. doi: 10.1200/JCO.2005.14.779.
4. Rahbari NN, Elbers H, Askoxylakis V et al. Neoadjuvant radiotherapy for rectal cancer: meta-anlysis of randomized controlled trials. Ann Surg Oncol. 2013;20(13):4169-4182. doi: 10.1245/s10434-013-3198-9.
5. National Comprehensive Care Network Clinical Practice Guidelines in Oncology: Rectal Cancer. Version 3.2019. www.NCCN.org
6. Gollins S, Sebag-Montefiore D. Neoadjuvant treatment strategies for locally advanced rectal cancer. Clin Oncol (R Coll Radiol). 2016; 28(2):146-151. doi: 10.1016/j.clon.2015.11.003.
7. Krook JE, Moertel CG, Gunderson LL, et al. Effective surgical adjuvant therapy for high-risk rectal carcinoma. N Engl J Med. 1991;324(11):709-715.
8. Douglass HO Jr, Moertel CG, Mayer RJ, et al; Gastrointestinal Tumor Study Group. Survival after postoperative combination treatment of rectal cancer. N Engl J Med. 1986; 315(20):1294-1295.
9. Sauer R, Becker H, Hohenberger W, et al; German Rectal Cancer Study Group. Preoperative versus postoperative chemoradiotherapy for rectal cancer. N Engl J Med. 2004;351(17):1731-1740. doi: 10.1056/NEJMoa040694.
10. Sauer R, Liersch T, Merkel S, et al. Preoperative versus postoperative chemoradiotherapy for locally advanced rectal cancer: results of the German CAO/ARO/AIO-94 randomized phase III trial after a median follow-up of 11 years. J Clin Oncol. 2012; 30(16):1926-1933. doi: 10.1200/JCO.2011.40.
11. van Gijn W, Marijnen CA, Nagtegaal ID, et al; Dutch Colorectal Cancer Group. Preoperative radiotherapy combined with total mesorectal excision for resectable rectal cancer: 12â€Âyear followâ€Âup of the multicentre, randomised controlled TME trial. Lancet Oncol. 2011;12(6):575-582. doi: 10.1016/S1470-2045(11)70097-3.
12. Improved survival with preoperative radiotherapy in resectable rectal cancer. Swedish Rectal Cancer Trial. N Engl J Med. 1997; 336: 980– 987.
13. Sebag-ÂMontefiore D, Stephens RJ, Steele R, et al. Preoperative radiotherapy versus selective postoperative chemoradiotherapy in patients with rectal cancer (MRC CR07 and NCICâ€ÂCTG C016): a multicentre, randomised trial. Lancet. 2009;373(9666):811-820. doi: 10.1016/S0140-6736(09)60484-0.
14. Peeters KC, Marijnen CA, Nagtegaal ID, et al; Dutch Colorectal Cancer Group. The TME trial after a median followâ€Âup of 6 years: increased local control but no survival benefit in irradiated patients with resectable rectal carcinoma. Ann Surg. 2007;246(5):693-701. doi: 10.1097/01.sla.0000257358.56863.ce.
15. Bosset JF, Collette L, Calais G, et al; EORTC Radiotherapy Group Trial 22921. Chemotherapy with preoperative radiotherapy in rectal cancer. N Engl J Med. 2006;355(11):1114-1123. doi: 10.1056/NEJMoa060829.
16. Bujko K, Nowacki MP, Nasierowskaâ€ÂGuttmejer A, Michalski W, Bebenek M, Kryj M. Longâ€Âterm results of a randomized trial comparing preoperative shortâ€Âcourse radiotherapy with preoperative conventionally fractionated chemoradiation for rectal cancer. Br J Surg. 2006;93(10):1215-1223. doi: 10.1002/bjs.5506.
17. Glynne-Jones R, Anyamene N, Moran B, Harrison, M. Neoadjuvant chemotherapy in MRI-staged high-risk rectal cancer in addition to or as an alternative to preoperative chemoradiation? Ann Oncol. 2012;23(10):2517-2526. doi: 10.1093/annonc/mds010.
18. Breugom AJ, Swets, M, Bosset, JF, et al. Adjuvant chemotherapy after preoperative (chemo)radiotherapy and surgery for patients with rectal cancer: a systematic review and meta-analysis of individual patient data. Lancet Oncol. 2015;16(2):200-207. doi: 10.1016/S1470-2045(14)71199-4.
19. Xu Z, Mohile SG, Tejani MA, et al. Poor compliance with adjuvant chemotherapy use associated with poorer survival in patients with rectal cancer: an NCDB analysis. Cancer. 2017;123(1):52-61. doi: 10.1002/cncr.30261.
20. Fernandez-Martos C, Pericay C, Aparacio J, et al. Phase II randomized study of concomitant chemoradiotherapy followed by surgery and adjuvant capecitabine plus oxaliplation (CAPOX) compared with induction CAPOX followed by concomitant chemoradiotherapy and surgery in magnetic resonance imaging-defined locally advanced rectal cancer: Grupo cancer de recto 3 study. J Clin Oncol. 2010;28(5):859-865. doi: 10.1200/JCO.2009.25.8541.
21. Fernandez-Martos C, Garcia-Albeniz X, Pericay C, et al. Chemoradiation, surgery and adjuvant chemotherapy versus induction chemotherapy followed by chemoradiation and surgery: long-term results of the Spanish GCR-3 phase II randomized trial. Ann Oncol. 2015; 26(8):1722-1728. doi: 10.1093/annonc/mdv223.
22. Perez K, Safran H, Sikov W, et al. Complete neoadjuvant treatment for rectal cancer: The Brown University Oncology Group CONTRE study. Am J Clin Oncol. 2017; 40(3):283-287. doi: 10.1097/COC.0000000000000149.
23. Nogué M, Salud A, Vincente P, et al; AVACROSS Study Group. Addition of bevacizumab to XELOX induction therapy plus concomitant capecitabine-based chemoradiotherapy in magnetic resonance imaging-defined poor-prognosis locally advanced rectal cancer: the AVACROSS study. Oncologist. 2011;16(5):614-620. doi: 10.1634/theoncologist.2010-0285.
24. Glimelius B, Oliveira J. Rectal cancer: ESMO clinical recommendations for diagnosis, treatment and follow-up. Ann Oncol. 2009;20(suppl 4):54-56. doi: 10.1093/annonc/mdp128.
25. Cunningham D, Atkin W, Lenz HJ, et al. Colorectal cancer. Lancet. 2010;375(9719):1030-1047. doi: 10.1016/S0140-6736(10)60353-4.
26. Smith JJ, Chow OS, Gollub MJ, et al; Rectal Cancer Consortium. Organ Preservation in Rectal Adenocarcinoma: a phase II randomized controlled trial evaluating 3-year disease-free survival in patients with locally advanced rectal cancer treated with chemoradiation plus induction or consolidation chemotherapy, and total mesorectal excision or nonoperative management. BMC Cancer. 2015;15:767. doi: 10.1186/s12885-015-1632-z.
27. Fokas E, Allgäuer MP, Polat B, et al; German Rectal Cancer Study Group. Randomized phase II trial of chemoradiotherapy plus induction or consolidation chemotherapy as total neoadjuvant therapy for locally advanced rectal cancer: CAO/ARO/AIO-12. J Clin Oncol. 2019;37(34):3212-3222. doi: 10.1200/JCO.19.00308.
28. Araujo RO, Valadão M, Borges D, et al. Nonoperative management of rectal cancer after chemoradiation opposed to resection after complete clinical response. A comparative study. Eur J Surg Oncol. 2015;41(11):1456-1463. doi: 10.1016/j.ejso.2015.08.156.
29. Renehan AG, Malcomson L, Emsley R, et al. Watch-and-wait approach versus surgical resection after chemoradiotherapy for patients with rectal cancer (the OnCoRe project): a propensity-score matched cohort analysis. Lancet Oncol. 2016;17(2):174-183. doi: 10.1016/S1470-2045(15)00467-2.
30. LI J, Liu H, Yin J, et al. Wait-and-see or radical surgery for rectal cancer patients with a clinical complete response after neoadjuvant chemoradiotherapy: a cohort study. Oncotarget. 2015;6(39):42354-42361. doi: 10.18632/oncotarget.6093.
31. Maas M, Beets-Tan RG, Lambregts DM, et al. Wait-and-see policy for clinical complete responders after chemoradiation for rectal cancer. J Clin Oncol. 2011;29(35):4633-4640. doi: 10.1200/JCO.2011.37.7176.
