In this edition of Clinical Quandaries, Regina Barragan-Carrillo, MD, and colleagues present a case of an 18-year-old man who has a 1-month history of nonpainful right testicular enlargement.
Oncology (Williston Park). 2021;35(12):816-819.
DOI: 10.46883/2021.25920932
An 18-year-old man presented with a one-month history of a nonpainful right testicular enlargement. He had no family history of neoplasia, nor any relevant past medical history.
The physical examination was only remarkable for an enlarged right testicle. A testicular ultrasound revealed a 2.5-cm tumor, and serum tumor markers revealed an elevated β-human chorionic gonadotropin (β-HCG), 22 mUI/L (normal, <0.06 mUI/L); elevated alpha-fetoprotein (AFP), 329 ng/mL (normal, 0-9 ng/mL); and normal lactate dehydrogenase (LDH), 135 /L (normal, 179 U/L).
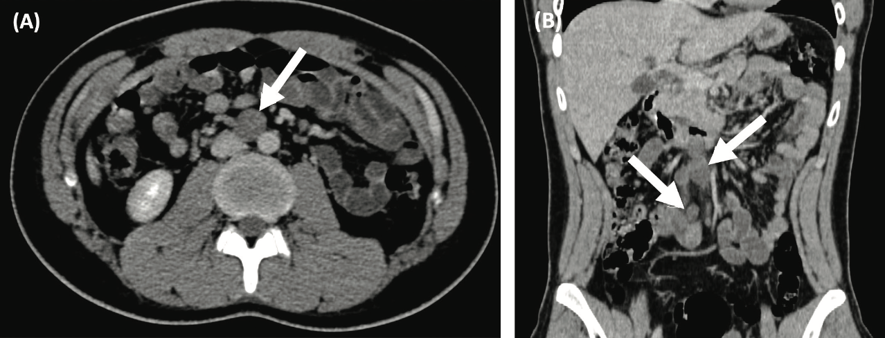
A right radical inguinal orchiectomy was performed. Pathological examination revealed a 2.4 cm by 2 cm embryonal carcinoma with tumor invasion into the tunica albuginea. Postsurgical tumor markers obtained 3 weeks after orchiectomy were β-hCG, 100.5 mUI/L (normal, <0.06 mUI/L); AFP, 1075 ng/mL (normal, 0-9 ng/mL); and LDH, 180 U/L (normal, 179 U/L). A chest, abdomen, and pelvis CT scan showed a 2.7-cm retroperitoneal lymph node enlargement, without visceral metastasis (Figure 1A and B).
Figure 1. Baseline and Follow-up Contrast Enhanced CT scans of a Nonseminomatous Germ Cell Tumor Before and After Systemic Treatment. Baseline axial (A) and coronal (B) CT scans show a 2.07-cm retroperitoneal lymph node enlargement.

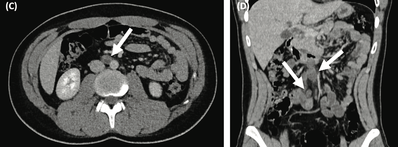
Given the presence of node-positive disease with S2 serum markers, the diagnosis of a stage IIIB intermediate risk nonseminomatous germ cell tumor (NSGCT) was determined, and the patient underwent sperm banking. The patient was started on chemotherapy with 4 cycles of BEP (bleomycin, etoposide, and cisplatin), with a favorable tumor marker decline according to the Gustave-Roussy nomogram. After completion of the fourth chemotherapy cycle, serum tumor markers were negative, and 8 weeks after chemotherapy, the follow-up CT showed a 1.6-cm residual retroperitoneal lymph node conglomerate (Figure 1C and D).
(C, D) Follow-up axial and coronal CT scans after 4 cycles of bleomycin, etoposide, and cisplatin (BEP) show a partial response to systemic therapy with a residual retroperitoneal disease of 1.64 cm (arrow).

Outcomes in advanced testicular germ cell tumors are one of the success stories in modern oncology. Even in the context of a widespread visceral disease, they are amenable to cure after platinum-based chemotherapy, with a 5-year overall survival ranging from 71% in patients with a poor prognosis to 94% in patients with a good prognosis, according to the International Germ Cell Consensus Classification (IGCCC).1
Following first-line systemic therapy, 70% of patients with a stage II or higher NSGCT reach a complete biochemical and radiographic response. This leaves up to 25% to 30% of patients with advanced NSGCT with a residual mass on imaging evaluation, justifying the need of a follow-up postchemotherapy thoracic, abdominal, and pelvic CT scan.2,3 It is important to note that in order to avoid any false positive findings on cross sectional imaging, the CT scan should be performed 6 to 8 weeks following the last chemotherapy cycle, with concomitant measurement of serum tumor markers. Rising levels of tumor markers suggest the presence of progressive disease, in which case, second-line chemotherapy should be promptly started.4-6
Lesions larger than 1 cm in the short axis in a cross-sectional imaging modality, with normal serum tumor markers could harbor 3 different histologies: 45% to 50% only have necrosis in the pathological examination, 40% are teratomas, and about 10% will persist with a viable tumor.7 Retroperitoneal nerve-sparing lymph node dissection (RPLND) is currently the standard of care for NSGCT residual masses equal to or larger than 1 cm, as the postchemotherapy histopathologic findings determine the need for further treatment or surveillance protocol.4-6,8,9 On the other hand, patients with lesions smaller than 1 cm can be only observed, as such patients have a very favorable prognosis with a 15-year cancer specific survival of up to 97%.10,11 Therefore answer A Surgical resection with retroperitoneal lymph node dissection is the best approach in this case.
Currently both the National Comprehensive Cancer Network and European Society for Medical Oncology guidelines recommend a full bilateral template lymph node dissection for postchemotherapy retroperitoneal residual disease. The anatomical borders for this type of resection are the renal hilar vessels, the ureters, and the common iliac arteries.4,5,12 The template-guided approach has been widely adopted in an effort to reduce the morbidity associated with this procedure, while also preserving the antegrade ejaculation and erectile function.13,14 Templates were developed under the rationale that retroperitoneal lymph drainage follow a characteristic lymph node spread, based on the laterality of the testicular primary, given the absence of crossover between the landing zones among patients with solitary metastases to either the left or right testicle.15
The main risk associated with a nonextended retroperitoneal dissection is a higher rate of locoregional recurrences. In the recently published RETROP cohort, the locoregional recurrence rate in patients with a 10 mm to 49 mm unilateral metastasis on CT scans was 0% for right-sided NSGCT and 4% for left-sided NSGCT; on the other hand, patients with a 10 to 49 mm bilateral metastasis should always undergo a bilateral templated RPLND, as the metastatic lesions do not follow a predictable pattern of spread.16
As previously stated, 4 in 10 patients could be found to have a teratoma on resection. Although such tumors have a very low potential for distant invasion, they could undergo malignant transformation to somatic-type malignancy, grow progressively, and lead to local invasion.17,18 The clinical entity referred to as growing teratoma syndrome has been described in 2% to 8% of all NSGCT cases, and is characterized by increasing tumor size during or after chemotherapy, despite normalized or decreasing tumor marker levels.19 Therefore, surveillance is not an option, as teratomas are highly chemoresistant and radioresistant tumors. In such cases, surgery is the most reliable curative therapy, with an excellent disease-free survival of 75% to 80%.19 Therefore, option B Start surveillance, would not be an adequate option.
The presence of a viable tumor in the resected specimens is associated with a worse disease-specific survival.20 Data from the sCR2 trial supports the use of adjuvant chemotherapy post-RPLND in IGCCC’s intermediate- and poor-risk NSGCT residual viable tumors.21 In addition, data arising from retrospective analysis have shown an improvement in the 5-year progression-free survival among patients with disseminated NSGCT and viable residual disease, who receive postsurgical chemotherapy in comparison with those who do not (69% vs 52% respectively).22 Nonetheless, there has not been consistent evidence on the benefit of this strategy on overall survival.22
Current guidelines recommend 2 further chemotherapy cycles with EP (etoposide and cisplatin), TIP (paclitaxel, ifosfamide and cisplatin), VIP (vinblastine, ifosfamide and cisplatin), or VeIP (vinblastine, etoposide, ifosfamide, and cisplatin) in cases of a residual tumor with greater than 10% of viable tumor cells, choriocarcinomas, endodermal sinus tumors or seminomas. This recommendation is based on the rationale that residual disease could be partially resistant to first-line chemotherapy with BEP, and could be sensitive to other cytotoxic agents such as vinca alkaloids and taxanes.4,5,8 Therefore, answer C Continue with second line chemotherapy, is also inadequate, as only a minority of patients will need additional systemic therapy.
In contrast to seminomas, there are no imaging modalities capable of distinguishing between necrosis/fibrosis, teratomas, or viable tumors in NSGCT. Even novel functional imaging techniques, such as 18F-FDG PET, does not yield an adequate diagnostic accuracy in the prediction of absent viable tumors after first-line cisplatin-based chemotherapy.23 Moreover, to date, no validated clinical nor biochemical parameters currently exist to predict the histology of residual tumor masses. Some unsuccessful attempts have been made to identify this clinical dilemma, by developing predictive models that include the histology of the primary tumor, risk group at diagnosis, initial and postchemotherapy tumor markers, retroperitoneal lesion diameter, and regression percentage during chemotherapy.24,25 As expected, these models have not shown any statistical power to differentiate between viable tumor, teratoma, or necrosis.24,26 The latter further justifies surgical resection as the only reliable option to tailor the patients’ need for further cytotoxic treatment. This emphasizes the fact that option A) Surgical resection with retroperitoneal lymph node dissection, is the correct management strategy for this case.
In the context of a NSGCT, radiation therapy has a limited role. In contrast to a classic seminoma, the NSGCT is considered a radioresistant tumor.27 There have been few case reports exploring stereotactic body radiation therapy (SBRT) as a salvage therapy in inoperable patients with recurrent chemorefractory NSGCT, with overall positive results.28-30 Currently, the use of radiation therapy should only be considered in chemorefractory inoperable disease or in patients with very high surgical risk as a salvage strategy. Thus, answer D Radiation therapy for the residual disease, is also incorrect in this context.
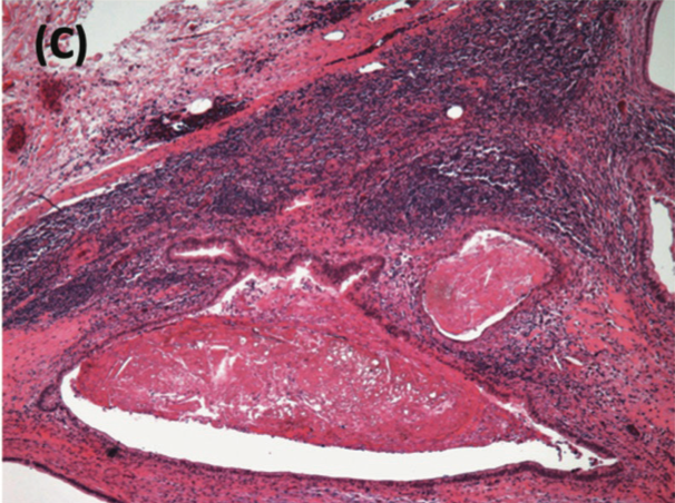
A bilateral nerve-sparing RPLND was performed without any surgical complications (Figure 2). The paracaval lymph nodes were resected, and pathological analysis was performed, which revealed a teratoma (Figure 2C). Further cytotoxic therapy was foregone, and the patient started 3-monthly surveillance per guideline recommendations.4
FIGURE 2. Bilateral Nerve-Sparing Retroperitoneal Lymph Node Dissection (RPLND) (A) Retroperitoneal view of the intraoperative site after nerve-sparing RPLND. (B) Surgical specimen of resected residual disease.

(C) H-E (Hematoxylin-eosin) stain from retroperitoneal lymph nodes showing numerous deposits of multicystic mature teratomas. The neoplasm is composed of cystic area lined by columnar and cuboidal epithelium, and other areas lined with squamous epithelium and keratinization, as well as focal mature cartilaginous tissue and fat.

1Hematology-Oncology Department, Instituto Nacional de Ciencias Médicas y Nutrición Salvador Zubirán, Mexico City, Mexico.
2Pathology Department, Hospital Médica Sur, Mexico City, Mexico.
3Radiology Department, Hospital Médica Sur, Mexico City, Mexico.
4Urology Department, Instituto Nacional de Ciencias Médicas y Nutrición Salvador Zubirán, Mexico City, Mexico.
5Genitourinary Unit. Instituto Alexander Fleming. CABA, Buenos Aires, Argentina.
6Urology Department, Hospital Country 2000, Guadalajara, Mexico.
7University of Colorado Denver, School of Medicine, Aurora, CO.
1. van Dijk MR, Steyerberg EW, Habbema JDF. Survival of non-seminomatous germ cell cancer patients according to the IGCC classification: an update based on meta-analysis. Eur J Cancer. 2006;42(7):820-826. doi:10.1016/j.ejca.2005.08.043
2. Hendry WF, Norman AR, Dearnaley DP, et al. Metastatic nonseminomatous germ cell tumors of the testis: Results of elective and salvage surgery for patients with residual retroperitoneal masses. Cancer. 2002;94(6):1668-1676. doi:10.1002/cncr.10440
3. Shayegan B, Carver BS, Stasi J, Motzer RJ, Bosl GJ, Sheinfeld J. Clinical outcome following post-chemotherapy retroperitoneal lymph node dissection in men with intermediate- and poor-risk nonseminomatous germ cell tumour. BJU Int. 2007;99(5):993-997. doi:10.1111/j.1464-410X.2007.06740.x
4. NCCN. Clinical Practice Guidelines in Oncology. Testicular cancer, version 1.2021. Accessed March 24, 2021. https://www.nccn.org/professionals/physician_gls/pdf/testicular
5. Oldenburg J, Fosså SD, Nuver J, et al; ESMO Guidelines Working Group. Testicular seminoma and non-seminoma: ESMO clinical practice guidelines for diagnosis, treatment and follow-up. Ann Oncol. 2013;24(suppl 6):vi125-vi132. doi:10.1093/annonc/mdt304
6. Feldman DR. State-of-the-art management of germ cell tumors. Am Soc Clin Oncol Educ Book. 2018;38:319-323. doi:10.1200/EDBK_201139
7. Riggs SB, Burgess EF, Gaston KE, Merwarth CA, Raghavan D. Postchemotherapy surgery for germ cell tumors—what have we learned in 35 years? Oncologist. 2014;19(5):498-506. doi:10.1634/theoncologist.2013-0379
8. Aparicio J, Terrasa J, Durán I, et al. SEOM clinical guidelines for the management of germ cell testicular cancer (2016). Clin Transl Oncol. 2016;18(12):1187-1196. doi:10.1007/s12094-016-1566-1
9. Albers P, Albrecht W, Algaba F, et al; European Association of Urology. Guidelines on Testicular Cancer: 2015 Update. Eur Urol. 2015;68(6):1054-1068. doi:10.1016/j.eururo.2015.07.044
10. Ehrlich Y, Brames MJ, Beck SDW, Foster RS, Einhorn LH. Long-term follow-up of cisplatin combination chemotherapy in patients with disseminated nonseminomatous germ cell tumors: Is a postchemotherapy retroperitoneal lymph node dissection needed after complete remission? J Clin Oncol. 2010;28(4):531-536. doi:10.1200/JCO.2009.23.0714
11. Kollmannsberger C, Daneshmand S, So A, et al. Management of disseminated nonseminomatous germ cell tumors with risk-based chemotherapy followed by response-guided postchemotherapy surgery. J Clin Oncol. 2010;28(4):537-542. doi:10.1200/JCO.2009.23.0755
12. Masterson TA, Cary C. The use of modified templates in early and advanced stage nonseminomatous germ cell tumor. Adv Urol. April 5, 2018. doi:10.1155/2018/6783147
13. Gerdtsson A, Håkansson U, Törnblom M, et al. surgical complications in postchemotherapy retroperitoneal lymph node dissection for nonseminoma germ cell tumour: a population-based study from the Swedish Norwegian Testicular Cancer Group. Eur Urol Oncol. 2020;3(3):382-389. doi:10.1016/j.euo.2019.08.002
14. Luz MA, Kotb AF, Aldousari S, et al. Retroperitoneal lymph node dissection for residual masses after chemotherapy in nonseminomatous germ cell testicular tumor. World J Surg Oncol. 2010;8:97. doi:10.1186/1477-7819-8-97
15. Ray B, Hajdu SI, Whitmore WF Jr. Proceedings: Distribution of retroperitoneal lymph node metastases in testicular germinal tumors. Cancer. 1974;33(2):340-348. doi:10.1002/1097-0142(197402)33:2<340::aid-cncr2820330207>3.0.co;2-y
16. Gerdtsson A, Thor A, Grenabo Bergdahl A, et al. Unilateral or bilateral retroperitoneal lymph node dissection in nonseminoma patients with postchemotherapy residual tumour? results from RETROP, a population-based mapping study by the Swedish Norwegian Testicular Cancer Group. Published March 6, 2021. Eur Urol Oncol. 2021;S2588-9311(21)00036-5. doi:10.1016/j.euo.2021.02.002
17. Mano R, Di Natale R, Sheinfeld J. Current controversies on the role of retroperitoneal lymphadenectomy for testicular cancer. Urol Oncol. 2019;37(3):209-218. doi:10.1016/j.urolonc.2018.09.009
18. Heidenreich A, Paffenholz P, Nestler T, Pfister D. Management of residual masses in testicular germ cell tumors. Expert Rev Anticancer Ther. 2019;19(4):291-300. doi:10.1080/14737140.2019.1580146
19. Paffenholz P, Pfister D, Matveev V, Heidenreich A. Diagnosis and management of the growing teratoma syndrome: A single-center experience and review of the literature. Urol Oncol. 2018;36(12):529.e23-529.e30. doi:10.1016/j.urolonc.2018.09.012
20. Eggener SE, Carver BS, Loeb S, Kondagunta GV, Bosl GJ, Sheinfeld J. Pathologic findings and clinical outcome of patients undergoing retroperitoneal lymph node dissection after multiple chemotherapy regimens for metastatic testicular germ cell tumors. Cancer. 2007;109(3):528-535.
21. Fizazi K, Oldenburg J, Dunant A, et al. Assessing prognosis and optimizing treatment in patients with postchemotherapy viable nonseminomatous germ-cell tumors (NSGCT): Results of the sCR2 international study. Ann Oncol. 2008;19(2):259-264. doi:10.1093/annonc/mdm472
22. Fizazi K, Tjulandin S, Salvioni R, et al. Viable malignant cells after primary chemotherapy for disseminated nonseminomatous germ cell tumors: prognostic factors and role of postsurgery chemotherapy—Results From an International Study Group. J Clin Oncol. 2001;19(10):2647-2657. doi:10.1200/JCO.2001.19.10.2647
23. Oechsle K, Hartmann M, Brenner W, et al. [18F]fluorodeoxyglucose positron emission tomography in nonseminomatous germ cell tumors after chemotherapy: The German Multicenter Positron Emission Tomography Study Group. J Clin Oncol. 2008;26(36):5930-5935. doi:10.1200/JCO.2008.17.1157
24. Oldenburg J, Alfsen GC, Lien HH, Aass N, Wæhre H, Fosså SD. Postchemotherapy retroperitoneal surgery remains necessary in patients with nonseminomatous testicular cancer and minimal residual tumor masses. J Clin Oncol. 2003;21(17):3310-3317. doi:10.1200/JCO.2003.03.184
25. Steyerberg EW, Gerl A, Fosså SD, et al. Validity of predictions of residual retroperitoneal mass histology in nonseminomatous testicular cancer. J Clin Oncol. 1998;16(1):269-274. doi:10.1200/JCO.1998.16.1.269
26. Medina-Polo J, Martínez-Silva V, Domínguez-Esteban M, et al. TUMORES TESTICULARES: CIRUGÍA DE MASAS RETROPERITONEALES RESIDUALES TRAS TRATAMIENTO QUIMIOTERÁPICO; ¿ES POSIBLE PREDECIR SU HISTOLOGÍA? Arch Españoles Urol. 2011;64(7):611-619. https://www.redalyc.org/articulo.oa?id=181022777005
27. Huang J, Tan Y, Zhen Z, et al. Role of post-chemotherapy radiation in the management of children and adolescents with primary advanced malignant mediastinal germ cell tumors. PLoS One. 2017;12(8):e0183219. doi:10.1371/journal.pone.0183219
28. Laflamme P, Doucet C, Sirois C, Kopek N, Vanhuyse M. Stereotactic radiation therapy for residual chemorefractory primary mediastinal non-seminomatous germ cell tumor after surgical thoracotomy. Pract Radiat Oncol. 2017;7(4):260-263. doi:10.1016/j.prro.2017.01.004
29. Gulia A, Anand AK, Punnakal AU, Kumar A, Patro CK, Bansal AK. Stereotactic ablative body radiotherapy (SABR) for inoperable, chemorefractory retroperitoneal lymph node relapse from non seminomatous germ cell tumour of testis: a case report. BJR Case Rep. 2018;4(3):20160114. doi:10.1259/bjrcr.20160114
30. Kita Y, Imamura M, Mizowaki T, et al. Late recurrence of nonseminomatous germ cell tumor successfully treated with intensity-modulated radiation therapy. Jpn J Clin Oncol. 2013;43(8):835-837. doi:10.1093/jjco/hyt090

Late Hepatic Recurrence From Granulosa Cell Tumor: A Case Report
Granulosa cell tumors exhibit late recurrence and rare hepatic metastasis, emphasizing the need for lifelong surveillance in affected patients.