Mantle cell lymphoma (MCL) accounts for approximately 6% of non-Hodgkin’s lymphomas. Patients usually present with advanced disease, with a tendency for extranodal involvement. MCL is an aggressive lymphoma with moderate chemosensitivity, but it remains one of the most difficult therapeutic challenges. Complete response rates to chemotherapy range from 20% to 40%, with median survivals of 2½ to 3 years. Anthracycline-containing regimens do not prolong survival compared with nonanthracycline regimens. Single-agent rituximab (Rituxan) has produced response rates of about 30%, and when combined with an anthracycline-containing regimen, response rates increase to above 90%; however, an impact on survival has not yet been demonstrated. More intensive regimens such as hyperCVAD (hyperfractionated cyclophosphamide [Cytoxan, Neosar], vincristine, doxorubicin [Adriamycin], dexamethasone, methotrexate, cytarabine) with either stem cell transplant or rituximab have been associated with promising results.
ABSTRACT: Mantle cell lymphoma (MCL) accounts for approximately 6% of non-Hodgkin’s lymphomas. Patients usually present with advanced disease, with a tendency for extranodal involvement. MCL is an aggressive lymphoma with moderate chemosensitivity, but it remains one of the most difficult therapeutic challenges. Complete response rates to chemotherapy range from 20% to 40%, with median survivals of 2½ to 3 years. Anthracycline-containing regimens do not prolong survival compared with nonanthracycline regimens. Single-agent rituximab (Rituxan) has produced response rates of about 30%, and when combined with an anthracycline-containing regimen, response rates increase to above 90%; however, an impact on survival has not yet been demonstrated. More intensive regimens such as hyperCVAD (hyperfractionated cyclophosphamide [Cytoxan, Neosar], vincristine, doxorubicin [Adriamycin], dexamethasone, methotrexate, cytarabine) with either stem cell transplant or rituximab have been associated with promising results.
The term mantle is derived from the Latin word mantellum, which means external covering or symbol of preeminence. The mantle zone is the outer covering of the secondary follicle located in the lymph node cortex. It engulfs the germinal center of the secondary follicle and is, in turn, surrounded by the marginal zone area. Mantle cell lymphoma (MCL) was previously called centrocytic lymphoma or intermediately differentiated lymphoma and was initially included in the Working Formulation along with diffuse small cleaved-cell lymphoma.[1] With further characterization of this lymphoma as a separate entity, its aggressive behavior became more apparent.[2] Pathologic and Biologic CharacteristicsMorphology
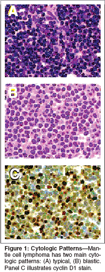
MCL has several architectural and cytologic patterns that differ in their biologic behavior.[3-5] Cytologically, two main variants are recognized- typical, or classic, and blastoid, or blastic (Figure 1). The typical MCL variant is composed of small to medium-sized lymphocytes with scanty cytoplasm, irregular nuclei, and condensed chromatin. In a minority of cases, the atypical lymphocytes may have round nuclei with little atypia, mimicking chronic lymphocytic lymphoma, or abundant pale cytoplasm, mimicking marginal zone lymphoma. In the blastoid category, two subgroups are recognized-classic blastoid and pleomorphic blastoid. The classic blastoid variant is characterized by medium-sized lymphocytes with scanty cytoplasm and round nuclei with finely dispersed chromatin and high mitotic index, resembling lymphoblasts. The pleomorphic blastoid variant is composed of heterogeneous large cells with irregular cleaved nuclei, finely dispersed chromatin, and small distinct nucleoli.[5,6] Architecturally, three different patterns are recognized in nodes involved by MCL: mantle zone, nodular, or

diffuse (Figure 2). The mantle zone pattern (3%-26% of cases) resembles a normal node with expansion of the mantle zone with malignant cells. This pattern is considered a low-grade subtype of MCL. The nodular pattern (13%-39% of cases) has ill-defined follicle-like nodules with neoplastic cells blending with the nonneoplastic cells, and germinal centers are absent. The diffuse pattern (28%-78% of cases) is composed of small neoplastic

cells replacing the node, with loss of normal architecture and absent follicles. The blastoid variant (up to 39% of cases) often causes a diffuse pattern.[ 5] Clinically, it is important to recognize mantle-zone-pattern MCL and blastoid MCL. The incidence of these subtypes of MCL has varied with different reports. Histologic progression between the different patterns is uncommon, although rare progression from typical MCL to the blastoid variant has been documented.[7,8] Bone marrow involvement is present in more than 50% of patients with MCL and may be nodular, diffuse, paratrabecular, or a combination of these patterns.[9,10] Immunophenotype
Neoplastic cells in MCL are related to the mature B-mantle cells of the follicular lymphoid cuff. These are monoclonal B cells expressing the Bcell markers CD19, CD20, CD22, CD79a, and intense surface immunoglobulin (Ig)M ± IgD with a tendency to express more lambda light chain than kappa light chain. In addition, the neoplastic cells express CD5, CD43, Bcl-2, and cyclin D1, and lack CD10, Bcl-6, and CD23 antigens useful in differentiating from follicular lymphoma and chronic lymphocytic leukemia (Table 1). Cytogenetics
The t(11;14)(q13;q32) is a characteristic alteration in MCL. In this translocation, the heavy-chain joining region in chromosome 14 is juxtaposed to the Bcl-1 region on 11q13 (Figure 3). The CCND1 gene encoding for cyclin D1 is positioned in t(11;14) chromosomal translocation adjacent to the enhancer region of the immunoglobulin heavy-chain gene, resulting in upregulation of the CCND1 gene (Bcl-1/ PRAD-1) and overexpression of cyclin D1 protein.[11] Cyclin D1 protein expression is universal in MCL and can be detected by immunohistochemical staining, polymerase chain reaction (PCR) analysis, or flow cytometry.[ 12-14] Translocation (11;14) is detected in 65% of MCL cases by classic cytogenetic analysis, and in nearly all cases, by fluorescent in situ hybridization (FISH).[15] Other chromosomal changes, particularly in blastoid variants of MCL, include gains in chromosomes 3q, 8q, and 12q, and losses in chromosomes 1p, 9p, 11q, and 13q.[16,17] The ataxia telangiectasia (ATM) gene has been described in a few MCL cases with 11q22-23 deletion.[18] Molecular Biology
Altered apoptosis pathways with downregulation of the apoptotic genes FADD, PDCD1, and PAIDD have been detected by oligonucleotide microarray in a few MCL patients.[19] Mutations in p53 and overexpression of p53 protein occur in blastoid MCL.[20] The frequency of chromosomal imbalances and DNA amplifications are higher in blastoid MCL than in the common variant.[17] Cyclin/cyclin-dependent kinase (CDK) complexes play an essential role in regulation of cell-cycle progression through various cell-cycle checkpoints (cell-cycle-positive regulators). In MCL, cyclin D1 binds to CDK4 and forms cyclin/CDK complex, which binds to the retinoblastoma protein, leading to its phosphorylation and the loss of its suppressor activity on cell-cycle progression through the release of transcription factors E2F that promote cell-cycle progression into the S phase.[21,22] Mutations in p53 and inactivation of CDK inhibitors (p16, p18, p21, p27)-both negative regulators of the cell cycle-have been reported mostly in the aggressive variants of MCL.[20] Proteosome activity might be responsible for the degradation of some of these CDK inhibitors.[23] Differential Diagnosis of MCL
MCL has been confused with other lymphomas due to morphologic similarities (Table 1). Nodular MCL with residual germinal centers may be morphologically similar to follicular lymphomas. However, follicular lymphomas are usually CD5-negative, CD43-negative, Bcl-6-positive, and CD10-positive, whereas MCL is the opposite. Both MCL and marginal zone lymphomas have a tendency to involve the gastrointestinal tract and bone marrow. Marginal zone lymphomas are usually CD5-negative and cyclin D1-negative. Small lymphocytic

lymphoma/chronic lymphocytic leukemia may resemble MCL morphologically. However, although both are CD5-positive and CD43-positive, usually small lymphocytic leukemia/ chronic lymphocytic leukemia is CD23-positive and MCL is CD23- negative. Blastoid MCL might also be confused with lymphoblastic lymphoma, which is terminal deoxynucleotidyl transferase (TdT)-positive.

Immunophenotype, cytogenetics, FISH, and flow cytometry are sensitive and useful tools for identifying t(11;14)(q13;q32) and cyclin D1 overexpression- both of which are characteristic of MCL-in tissue obtained from tumor sites and bone marrow biopsies.

Clinical Presentation of MCL
MCL is diagnosed at a median age of 60 years, with a male-to-female ratio of 4:1 (Table 2). Patients usually present with advanced disease. Approximately 60% of patients fall into the intermediate-prognostic group (International Prognostic Index 2/3). The incidence of generalized lymphadenopathy is about 70%, and of B symptoms, 30%. Lactate dehydrogenase and beta-2-microglobulin levels are elevated in about 50% of patients. Bone marrow involvement is common and occurs in about 60% of patients, irrespective of peripheral blood involvement. Lymphocytosis and peripheral blood involvement occurs in 30% of cases, and extranodal involvement in more than one site, in about 10% of patients. The most common sites of extranodal involvement are the spleen, liver, and gastrointestinal tract. Extensive lymphomatous polyposis involvement of the bowel can occur, although nonmacroscopic involvement is more common. Central nervous system involvement is more common in blastoid MCL.[4,24-26] Prognostic Factors and Outcome
Tumor-associated prognostic features are mainly related to the morphologic pattern (Table 3). The mantle zone variant has an indolent behavior similar to that of low-grade lymphomas, while the blastoid variant has an aggressive clinical behavior.[25,27] High mitotic index and elevated Ki- 67 index have also been correlated with poor outcome.[27-29] Peripheral blood involvement at diagnosis predicts poor outcome, whereas bone marrow involvement does not.[10] In one small study, no difference in survival was seen between patients with t(11;14) and those with no detected translocation.[27] Mutations in p53 and abnormalities in the CDK inhibitors p16 and p21 are usually associated with aggressive MCL.[30,31] Mutated VH genes and low CD38 expression are described in a subset of mantle cell lymphoma with an indolent course.[32] Older age, male sex, poor performance status, B symptoms, advanced disease at presentation, lymphocytosis, elevated beta-2-microglobulin, and splenomegaly are also poor prognostic factors.[33] TreatmentChemotherapy
Since MCL was first recognized as a separate disease entity, response rates and overall survival have been noted to be poor. Fisher et al reported the results of a Southwest Oncology Group study designed to determine the natural history of patients with MCL and marginal zone lymphoma treated with the CHOP regimen (cyclophosphamide [Cytoxan, Neosar], doxorubicin HCl, vincristine [Oncovin], prednisone) between 1972 and 1983.[34] The failure-free survival was significantly shorter for the 36 MCL patients compared to the 348 remaining patients. The 10-year failure- free survival estimate for MCL patients was only 6%, compared to 25% for patients with other indolent lymphomas. Multiple chemotherapeutic regimens have been tested, but none has demonstrated a clear superiority (Table 4).[33-61] Reported overall response rates range from 30% to 90%, and complete response rates, from 10% to 90%.[35-38] Despite large differences in reported overall response rates, overall survival has remained essentially the same across many of the studies (range: 24 to 60 months).[4,8,33-46]
Rituximab
Rituximab (Rituxan), the chimeric murine/human monoclonal antibody to CD20, has been used in an increasing number of indications since it was approved by the US Food and Drug Administration in 1997 for relapsed and refractory follicular and low-grade lymphomas (Table 6).[54-68] Response rates to single-agent rituximab in B-cell lymphomas vary in the literature from 10% to 38%.[54-58] In 1998, Coiffier et al published data on the use of rituximab in 54 patients with relapsed or refractory aggressive lymphomas, including 12 MCL patients.[54] Single-agent rituximab administered at a dose of 375 mg/m2/wk * 8 weeks or 1 dose at 375 mg/m2 followed by 500 mg/m2/wk * 7 weeks resulted in a 33% response rate.

Howard et al recently published phase II data on the combination of rituximab and CHOP (R-CHOP) in 40 previously untreated MCL patients.[ 59] The complete response rates were impressive, with overall response rates of 96% (complete response, 48%; partial response, 48%). Unfortunately, this combination does not appear to induce a long-lived remission, as 28 of 48 patients had relapsed or developed progressive disease at the time of publication, and the median progression-free survival was 16.6 months. Although 9 of the 25 patients with PCR-detectable Bcl-1/IgH achieved a molecular remission after R-CHOP, there was no improvement in progression-free survival in these patients compared to those who did not achieve a molecular remission (16.5 vs 18.8 months, P = .51).


The GLSG also gathered prospective data comparing CHOP to R-CHOP.[60] The overall response rate was 69% for CHOP and 97% for R-CHOP, with an estimated median time to treatment failure of 435 days for CHOP, while the time to treatment failure for the R-CHOP group had not yet been reached. The GLSG conducted another prospective trial comparing FCM (fludarabine, cyclophosphamide, mitoxantrone) to rituximab plus FCM.[60] This study again showed improvement in the overall response rate with the addition of rituximab (58% vs 83%) and an increased progression-free survival; however, the overall survival data have not yet matured. Drach et al evaluated the interesting combination of rituximab and thalidomide (Thalomid) in the hopes that altering the microenvironment may have synergistic effects.[61] A total of 11 patients with relapsed or refractory MCL were treated with daily thalidomide and weekly rituximab at 375 mg/m2. Of the 11 evaluable patients, 10 achieved an objective response (3 complete responses, 7 partial responses). In the 3 patients with a complete response, time to progression was 20.5, 17, and 10 months. Other combinations of rituximab and chemotherapeutic agents such as mitoxantrone, fludarabine, and cladribine have been reported with good response rates.[62,63] Wilson et al reported using a doseadjusted, infusional EPOCH-R regimen (etoposide, prednisone, vincristine, cyclophosphamide, doxorubicin HCl, rituximab) in 25 MCL patients followed by an idiotype-KLH vaccine.[64] At 14 months' followup, the overall survival rate is 100%, and event-free survival is 87% at 18 months. Rituximab did not appear to significantly impair B-cell-mediated immune responses, as 9 of 13 patients were able to develop humoral responses to the Id-KLH vaccine. Romaguera et al recently reported the results of a trial of hyperCVAD in combination with rituximab (R-hyper- CVAD) in 75 MCL patients.[65] The data compared favorably with results from the Khouri trial, which investigated hyperCVAD followed by stem cell transplant. In patients under age 66, R-hyperCVAD without stem cell transplant (complete response, 89%; 2-year failure-free survival, 84%; 2-year overall survival, 87%) appears equivalent to hyperCVAD with stem cell transplant (complete response,

100%; 2-year failure-free survival, 75%; 2-year overall survival, 96%).[36] In patients over age 65, results favored R-hyperCVAD without stem cell transplant (complete response, 90%; 2-year failure-free survival, 60%; 2-year overall survival, 96%) compared to hyper- CVAD without stem cell transplant (complete response, 70%; 2-year failure- free survival, 41%; 2-year overall survival, 77%). These trials confirm rituximab's single-agent activity and suggest synergistic activity when used in combination with chemotherapy, as measured by improved overall response rate. In addition, rituximab has found a role in bone marrow transplantation as an in vitro and in vivo purging agent.[66-69] The data regarding long-term benefits as measured by overall survival need to mature before any conclusions can be drawn. Stem Cell Transplantation
Due to the improved survival seen in patients treated with stem cell transplant in other NHLs, this treatment modality has been applied to MCL (Table 7).[36,69-79] The majority of the data derive from small nonrandomized studies using various conditioning regimens (total-body irradiation [TBI], TBI/chemotherapy, or chemotherapy alone) and various stem cell purging protocols.[68-73]


The author(s) have no significant financial interest or other relationship with the manufacturers of any products or providers of any service mentioned in this article.
1. Harris NL, Jaffe ES, Stein H, et al: A revised European-American classification of lymphoid neoplasms: A proposal from the International Lymphoma Study Group. Blood 84:1361-1392, 1994.
2. Harris NL, Jaffe ES, Diebold J, et al: World Health Organization classification of neoplastic diseases of the hematopoietic and lymphoid tissues: Report of the Clinical Advisory Committee meeting-Airlie House, Virginia, November 1997. J Clin Oncol 17:3835-3849, 1999.
3. Campo E, Raffeld M, Jaffe ES: Mantlecell lymphoma. Semin Hematol 36:115-127, 1999.
4. Weisenburger DD, Vose JM, Greiner TC, et al: Mantle cell lymphoma. A clinicopathologic study of 68 cases from the Nebraska Lymphoma Study Group. Am J Hematol 64:190-196, 2000.
5. Jaffe ES, Campo E, Raffeld M: Mantle Cell Lymphoma: Biology and Diagnosis, pp 319-325. American Society of Hematology Educational Book, 1999.
6. Jaffe ES, Stein H, Vardiman JW, et al (eds): World Health Organization Classification of Tumors: Pathology, and Genetics of Hematopoietic Lymphoid Tissues, pp 168-170. Washington, DC, IARC Press, 2001.
7. Norton AJ, Matthews J, Pappa V, et al: Mantle cell lymphoma: Natural history defined in a serially biopsied population over a 20-year period. Ann Oncol 6:249-256, 1995.
8. Samaha H, Dumontet C, Ketterer N, et al: Mantle cell lymphoma: A retrospective study of 121 cases. Leukemia 12:1281-1287, 1998.
9. Cohen PL, Kurtin PJ, Donovan KA, et al: Bone marrow and peripheral blood involvement in mantle cell lymphoma. Br J Haematol 101:302-310, 1998.
10. Pittaluga S, Verhoef G, Criel A, et al: Prognostic significance of bone marrow trephine and peripheral blood smears in 55 patients with mantle cell lymphoma. Leuk Lymphoma 21:115-125, 1996.
11. Ott MM, Helbing A, Ott G, et al: Bcl-1 rearrangement and cyclin D1 protein expression in mantle cell lymphoma. J Pathol 179:238- 242, 1996.
12. Belaud-Rotureau MA, Parrens M, Dubus P, et al: A comparative analysis of FISH, RT-PCR, PCR, and immunohistochemistry for the diagnosis of mantle cell lymphomas. Mod Pathol 15:517-525, 2002.
13. Elnenaei MO, Jadayel DM, Matutes E, et al: Cyclin D1 by flow cytometry as a useful tool in the diagnosis of B-cell malignancies. Leuk Res 25:115-123, 2001.
14. Bosch F, Jares P, Campo E, et al: PRAD- 1/cyclin D1 gene overexpression in chronic lymphoproliferative disorders: A highly specific marker of mantle cell lymphoma. Blood 84:2726-2732, 1994.
15. Bigoni R, Negrini M, Veronese ML, et al: Characterization of t(11;14) translocation in mantle cell lymphoma by fluorescent in situ hybridization. Oncogene 13:797-802, 1996.
16. Bigoni R, Cuneo A, Milani R, et al: Secondary chromosome changes in mantle cell lymphoma: Cytogenetic and fluorescence in situ hybridization studies. Leuk Lymphoma 40:581-590, 2001.
17. Bea S, Ribas M, Hernandez JM, et al: Increased number of chromosomal imbalances and high-level DNA amplifications in mantle cell lymphoma are associated with blastoid variants. Blood 93:4365-4374, 1999.
18. Camacho E, Hernandez L, Hernandez S, et al: ATM gene inactivation in mantle cell lymphoma mainly occurs by truncating mutations and missense mutations involving the phosphatidylinositol-3 kinase domain and is associated with increasing numbers of chromosomal imbalances. Blood 99:238-244, 2002.
19. Hofmann WK, de Vos S, Tsukasaki K, et al: Altered apoptosis pathways in mantle cell lymphoma detected by oligonucleotide microarray. Blood 98:787-794, 2001.
20. Gronbaek K, Nedergaard T, Andersen MK, et al: Concurrent disruption of cell cycle associated genes in mantle cell lymphoma: A genotypic and phenotypic study of cyclin D1, p16, p15, p53 and pRb. Leukemia 12:1266- 1271, 1998.
21. Garcia-Conde J, Cabanillas F: Mantle cell lymphoma: A lymphoproliferative disorder associated with aberrant function of the cell cycle. Leukemia (10 suppl 2):s78-83, 1996. 22. Hartwell LH, Kastan MB: Cell cycle control and cancer. Science 266:1821-1828, 1994.
23. Chiarle R, Budel LM, Skolnik J, et al: Increased proteasome degradation of cyclindependent kinase inhibitor p27 is associated with a decreased overall survival in mantle cell lymphoma. Blood 95:619-626, 2000.
24. Press OW, Fisher RI: Evaluation and management of mantle cell lymphoma. Adv Leuk Lymphoma 6:3-11, 1996.
25. Majlis A, Pugh WC, Rodriguez MA, et al: Mantle cell lymphoma: Correlation of clinical outcome and biologic features with three histologic variants. J Clin Oncol 15:1664-1671, 1997.
26. Fisher RI: Mantle Cell Lymphoma: Prognostic Factors and Treatment Results, pp 325- 328. American Society of Hematology Educational Book, 1999.
27. Argatoff LH, Connors JM, Klasa RJ, et al: Mantle cell lymphoma: A clinicopathologic study of 80 cases. Blood 89:2067-2078, 1997.
28. Izban KF, Alkan S, Singleton TP, et al: Multiparameter immunohistochemical analysis of the cell cycle proteins cyclin D1, Ki-67, p21WAF1, p27KIP1, and p53 in mantle cell lymphoma. Arch Pathol Lab Med 124:1457- 1462, 2000.
29. Raty R, Franssila K, Joensuu H, et al: Ki-67 expression level, histological subtype, and the International Prognostic Index as outcome predictors in mantle cell lymphoma. Eur J Haematol 69:11-20, 2002.
30. Pinyol M, Hernandez L, Cazorla M, et al: Deletions and loss of expression of p16INK4a and p21Waf1 genes are associated with aggressive variants of mantle cell lymphomas. Blood 89:272-280, 1997.
31. Louie DC, Offit K, Jaslow R, et al: p53 overexpression as a marker of poor prognosis in mantle cell lymphomas with t(11;14) (q13;q32). Blood 86:2892-2899, 1995.
32. Garand R, Orchard JA, Davis Z, et al: A subset of mantle cell lymphoma exhibits stable disease and correlates with mutated VH genes and low CD 38 expression (abstract 3020). Blood 98:724a, 2001.
33. Bosch F, Lopez-Guillermo A, Campo E, et al: Mantle cell lymphoma: Presenting features, response to therapy, and prognostic factors. Cancer 82:567-575, 1998.
34. Fisher RI, Dahlberg S, Nathwani BN, et al: A clinical analysis of two indolent lymphoma entities: Mantle cell lymphoma and marginal zone lymphoma (including the mucosa-associated lymphoid tissue and monocytoid B-cell subcategories): A Southwest Oncology Group study. Blood 85:1075-1082, 1995.
35. Decaudin D, Bosq J, Tertian G, et al: Phase II trial of fludarabine monophosphate in patients with mantle-cell lymphomas. J Clin Oncol 16:579-583, 1998.
36. Khouri IF, Romaguera J, Kantarjian H, et al: Hyper-CVAD and high-dose methotrexate/ cytarabine followed by stem-cell transplantation: An active regimen for aggressive mantle-cell lymphoma. J Clin Oncol 16:3803- 3809, 1998.
37. Oinonen R, Franssila K, Teerenhovi L, et al: Mantle cell lymphoma: Clinical features, treatment and prognosis of 94 patients. Eur J Cancer 34:329-336, 1998.
38. Teodorovic I, Pittaluga S, Kluin-Nelemans JC, et al: Efficacy of four different regimens in 64 mantle-cell lymphoma cases: Clinicopathologic comparison with 498 other non-Hodgkin's lymphoma subtypes. European Organization for the Research and Treatment of Cancer Lymphoma Cooperative Group. J Clin Oncol 13:2819-2826, 1995.
39. Meusers P, Engelhard M, Bartels H, et al: Multicentre randomized therapeutic trial for advanced centrocytic lymphoma: Anthracycline does not improve the prognosis. Hematol Oncol 7:365-380, 1989.
40. Hiddemann W, Unterhalt M, Herrmann R, et al: Mantle-cell lymphomas have more widespread disease and a slower response to chemotherapy compared with follicle-center lymphomas: Results of a prospective comparative analysis of the German Low-Grade Lymphoma Study Group. J Clin Oncol 16:1922-1930, 1998.
41. Zucca E, Roggero E, Pinotti G, et al: Patterns of survival in mantle cell lymphoma. Ann Oncol 6:257-262, 1995.
42. Berger F, Felman P, Sonet A, et al: Nonfollicular small B-cell lymphomas: A heterogeneous group of patients with distinct clinical features and outcome. Blood 83:2829-2835, 1994.
43. Vandenberghe E, De Wolf-Peeters C, Vaughan Hudson G, et al: The clinical outcome of 65 cases of mantle cell lymphoma initially treated with nonintensive therapy by the British National Lymphoma Investigation Group. Br J Haematol 99:842-847, 1997.
44. Gressin R, Legouffe E, Leroux D, et al: Treatment of mantle-cell lymphomas with the VAD ± chlorambucil regimen with or without subsequent high-dose therapy and peripheral blood stem-cell transplantation. Ann Oncol (8 suppl 1):103-106, 1997.
45. Foran JM, Rohatiner AZ, Coiffier B, et al: Multicenter phase II study of fludarabine phosphate for patients with newly diagnosed lymphoplasmacytoid lymphoma, Waldenstrom’s macroglobulinemia, and mantle-cell lymphoma. J Clin Oncol 17:546-553, 1999.
46. Zinzani PL, Magagnoli M, Moretti L, et al: Randomized trial of fludarabine versus fludarabine and idarubicin as frontline treatment in patients with indolent or mantle-cell lymphoma. J Clin Oncol 18:773-779, 2000.
47. Weisenburger DD, Vose JM, Greiner TC, et al: Mantle cell lymphoma. A clinicopathologic study of 68 cases from the Nebraska Lymphoma Study Group. Am J Hematol 64:190-196, 2000.
48. Connors JM, Kouroukis C, Belch A: Flavopiridol for mantle cell lymphoma: Moderate activity and frequent disease stabilization (abstract 3355). Blood 98:807a, 2001.
49. Inwards D, Brown D, Fonseca R, et al: NCCTG phase II trial of 2-chlorodeoxyadenosine as initial therapy for mantle cell lymphoma: A well-tolerated treatment with promising activity (abstract 2930). Blood 94:660a, 1999.
50. Poynton C, Maughan T, Hasan F: Topotecan in mantle cell lymphoma-A 21 day continuous infusion regimen may have advantages over intermittent therapy (abstract 4711). Blood 98:245b, 2001.
51. Seymour JF, Grigg AP, Szer J, et al: Cisplatin, fludarabine, and cytarabine: A novel, pharmacologically designed salvage therapy for patients with refractory, histologically aggressive or mantle cell non-Hodgkin's lymphoma. Cancer 94:585-593, 2002.
52. Unterhalt M, Herrmann R, Tiemann M, et al: Prednimustine, mitoxantrone (PmM) vs cyclophosphamide, vincristine, prednisone (COP) for the treatment of advanced low-grade non-Hodgkin's lymphoma. German Low-Grade Lymphoma Study Group. Leukemia 10:836- 843, 1996.
53. Shah P, Ifthikharuddin J, Mintz M: 2- Chlorodeoxyadenosine (2-CDA) with weekly rituximab and granulocyte-macrophage colony stimulating factor (GM-CSF): A highly effective regimen for advanced B-cell lymphoproliferative disorders (BLPD) (abstract 4726). Blood 98:249b, 2001.
54. Coiffier B, Haioun C, Ketterer N, et al: Rituximab (anti-CD20 monoclonal antibody) for the treatment of patients with relapsing or refractory aggressive lymphoma: A multicenter phase II study. Blood 92:1927-1932, 1998.
55. Coiffier B: Rituximab in the treatment of diffuse large B-cell lymphomas. Semin Oncol 29(1 suppl 2):30-35, 2002.
56. Foran JM, Rohatiner AZ, Cunningham D, et al: European phase II study of rituximab (chimeric anti-CD20 monoclonal antibody) for patients with newly diagnosed mantle-cell lymphoma and previously treated mantle-cell lymphoma, immunocytoma, and small B-cell lymphocytic lymphoma. J Clin Oncol 18:317- 324, 2000.
57. Ghielmini M, Schmitz SF, Burki K, et al: The effect of Rituximab on patients with follicular and mantle-cell lymphoma. Swiss Group for Clinical Cancer Research (SAKK). Ann Oncol(11 suppl 1):123-126, 2000.
58. Nguyen DT, Amess JA, Doughty H, et al: IDEC-C2B8 anti-CD20 (rituximab) immunotherapy in patients with low-grade non- Hodgkin’s lymphoma and lymphoproliferative disorders: Evaluation of response on 48 patients. Eur J Haematol 62:76-82, 1999.
59. Howard OM, Gribben JG, Neuberg DS, et al: Rituximab and CHOP induction therapy for newly diagnosed mantle-cell lymphoma: Molecular complete responses are not predictive of progression-free survival. J Clin Oncol 20:1288-1294, 2002.
60. Hiddemann W, Unterhalt M, Dreylin M: The addition of rituximab (R) to combination chemotherapy (CT) significantly improves the treatment of mantle cell lymphomas (MCL): Results of two prospective randomized studies by the German Low Grade Lymphoma Study Group (GLSG) (abstract 339). Blood 100:92a, 2002.
61. Drach J, Kaufman H, Puespoek A: Marked anti-tumor activity of rituximab plus thalidomide in patients with relapsed/resistant mantle cell lymphoma (abstract 606). Blood 100:162a, 2002.
62. Venugopal P, Woolridge JE, Yunus F: Phase II study of rituximab in combination with CHOP chemotherapy and GMCSF (Leukine) in patients with previously untreated diffuse large cell lymphoma (DLCL) and mantle cell lymphoma (MCL) (abstract 4736). Blood 98:251b, 2001.
63. Levine A, Espina BM, Mohrbacher A: Fludarabine, mitoxantrone, and rituxan: An effective regimen for the treatment of mantle cell lymphoma (abstract 1399). Blood 100:361a, 2002.
64. Wilson W, Neelapu S, White T: Idiotype vaccine following EPOCH-rituximab treatment in untreated mantle cell lymphoma (abstract 608). Blood 100:162a, 2002.
65. Romaguera J, Cabanillas F, Dang N: Mantle cell lymphoma (MCL)-High rates of complete remission (CR) and prolonged failure- free survival (FFS) with Rituxan-Hyper- CVAD (R-HCVAD) without stem cell transplant (SCT) (abstract 3030). Blood 98:726a, 2001.
66. Magni M, Di Nicola M, Devizzi L, et al: Successful in vivo purging of CD34-containing peripheral blood harvests in mantle cell and indolent lymphoma: Evidence for a role of both chemotherapy and rituximab infusion. Blood 96:864-869, 2000.
67. Oinonen R, Jantunen E, Itala M, et al: Autologous stem cell transplantation in patients with mantle cell lymphoma. Leuk Lymphoma 43:1229-1237, 2002.
68. Mangel J, Buckstein R, Imrie K, et al: Immunotherapy with rituximab following highdose therapy and autologous stem-cell transplantation for mantle cell lymphoma. Semin Oncol 29(1 suppl 2):56-69, 2002.
69. Freedman AS, Neuberg D, Gribben JG, et al: High-dose chemoradiotherapy and anti- B-cell monoclonal antibody-purged autologous bone marrow transplantation in mantle-cell lymphoma: No evidence for long-term remission. J Clin Oncol 16:13-18, 1998.
70. Stewart DA, Vose JM, Weisenburger DD, et al: The role of high-dose therapy and autologous hematopoietic stem cell transplantation for mantle cell lymphoma. Ann Oncol 6:263-266, 1995.
71. Haas R, Brittinger G, Meusers P, et al: Myeloablative therapy with blood stem cell transplantation is effective in mantle cell lymphoma. Leukemia 10:1975-1979, 1996.
72. Dreger P, von Neuhoff N, Kuse R, et al: Sequential high-dose therapy and autologous stem cell transplantation for treatment of mantle cell lymphoma. Ann Oncol 8:401-403, 1997.
73. Gopal AK, Rajendran JG, Petersdorf SH, et al: High-dose chemo-radioimmunotherapy with autologous stem cell support for relapsed mantle cell lymphoma. Blood 99:3158-3162, 2002.
74. Molina A, Kraft D, Carter N, et al: Autologous stem cell transplantation (ASCT) for mantle cell lymphoma (MCL): A report of 69 patients from City of Hope (COH) and Stanford (abstract 680). Blood 100:182a, 2002.
75. Milpied N, Gaillard F, Moreau P, et al: High-dose therapy with stem cell transplantation for mantle cell lymphoma: Results and prognostic factors, a single center experience. Bone Marrow Transplant 22:645-650, 1998.
76. Decaudin D, Brousse N, Brice P, et al: Efficacy of autologous stem cell transplantation in mantle cell lymphoma: A 3-year followup study. Bone Marrow Transplant 25:251-256, 2000.
77. Ketterer N, Salles G, Espinouse D, et al: Intensive therapy with peripheral stem cell transplantation in 16 patients with mantle cell lymphoma. Ann Oncol 8:701-704, 1997.
78. Blay JY, Sebban C, Surbiguet C, et al: High-dose chemotherapy with hematopoietic stem cell transplantation in patients with mantle cell or diffuse centrocytic non-Hodgkin's lymphomas: A single center experience on 18 patients. Bone Marrow Transplant 21:51-54, 1998.
79. Kroger N, Hoffknecht M, Dreger P, et al: Long-term disease-free survival of patients with advanced mantle-cell lymphoma following high-dose chemotherapy. Bone Marrow Transplant 21:55-57, 1998.
Highlighting Insights From the Marginal Zone Lymphoma Workshop
Clinicians outline the significance of the MZL Workshop, where a gathering of international experts in the field discussed updates in the disease state.