The patient is an otherwise healthy male transferred from an outside hospital with a newly diagnosed melanoma from an unknown primary presenting as a large, left axillary mass.
SECOND OPINION
Multidisciplinary Consultations on Challenging Cases
The University of Colorado Health Sciences Center holds weekly second opinion conferences focusing on cancer cases that represent most major sites of the disease. Patients seen for second opinions are evaluated by an oncologist. Their history, pathology, and radiographs are reviewed during the multidisciplinary conference, and then specific recommendations are made. These cases are usually challenging, and these conferences provide an outstanding educational opportunity for staff, fellows, and residents in training.
The second opinion conferences include actual cases from genitourinary, lung, melanoma, breast, neurosurgery, and medical oncology. On an occasional basis, ONCOLOGY will publish the more interesting case discussions and the resultant recommendations. We would appreciate your feedback on the series; please contact us at
second.opinion@uchsc.edu
.
E. David Crawford, MD
Al Barqawi, MD
Guest Editors
University of Colorado Sciences Center
and University of Colorado Cancer Center
Denver, Colorado
The patient is an otherwise healthy male transferred from an outside hospital with a newly diagnosed melanoma from an unknown primary presenting as a large, left axillary mass.
Approximately 1 month before presentation to an outside hospital, this 40-year-old gentleman noted a firm, mildly painful mass in the left axilla measuring approximately 3 cm. A brief trial of antibiotics was unsuccessful in shrinking the mass, and he subsequently underwent an excisional biopsy. The pathology from the biopsy was inconclusive, showing a lymph node with hyperplasia. The postoperative course was complicated by significant bleeding, and the mass rapidly returned.
Approximately 3 weeks after the initial biopsy, a second procedure was performed. This time an 8-cm mass was removed, demonstrating a "large cell undifferentiated malignant neoplasm" by outside pathology review. The residual mass continued to grow rapidly, and 1 week after the second operation a computed tomography (CT) scan was obtained, revealing a 5.7 X 6.7 cm left axillary mass with possible invasion into the chest wall. No other sites of metastatic disease were identified. Eight days after the second procedure, a third attempt was made to obtain tissue for diagnosis. At that time, a 10-cm mass was removed and pathologically found to be S100- and MART1-positive and most consistent with malignant melanoma.
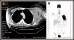
FIGURE 1

Postoperative CT and PET Scans
The patient's postoperative course was complicated by significant bleeding, requiring numerous transfusions. The mass continued to grow very rapidly and a follow-up CT scan, done 3 weeks after the third surgery, showed the left axillary mass to now measure 9.9 X 9.5 cm (Figure 1A). A positron-emission tomography (PET) scan at that time showed hypermetabolic uptake only in the left axilla (Figure 1B).
The man was treated by his outside physicians with a taxane analog as part of a clinical trial. Despite two cycles of the experimental therapy, the mass continued to grow rapidly. He presented to an outside hospital with acute bleeding from the growing left axillary mass. On physical exam, he was found to be febrile and pale, and the mass now clinically measured 25 X 12 X 30 cm. Laboratory studies showed a white blood cell (WBC) count of 78 X 109/L with predominate neutrophils and a hemoglobin value of 8.8 g/dL. The patient underwent embolization of the bleeding mass in an attempt to control the bleeding. He was subsequently transferred to the University of Colorado Health Sciences Center for further evaluation and care.
FIGURE 2

Large Fungating Mass in Left Axilla
On physical exam, the patient was pale but in no acute distress. He was febrile to 38.2°C. His cardiac, pulmonary, and abdominal exams were unremarkable. His skin exam revealed multiple clinically dysplastic-appearing nevi. No lesion suggestive of a primary melanoma was identified. No lymphadenopathy was palpable in the cervical, supraclavicular, or inguinal regions. There was no right axillary adenopathy. The left axilla contained a large (approximately 30 cm) fungating mass with serosanguinous drainage (Figure 2).
Laboratory studies revealed a WBC count of 16.7 X 109/L with predominant neutrophils, a hemoglobin of 7.1 g/dL, elevated lactate dehydrogenase at 853 U/L (normal: 98-192 U/L), albumin of 1.4 g/dL, and normal kidney and liver function tests. Chest x-ray showed no evidence of intrapulmonary disease and a large amorphous soft-tissue density in the left axilla. We were unable to obtain a CT or magnetic resonance imaging (MRI) scan, as the abduction of his arm from the large mass prevented him from fitting into the scanning machine.
Dr. Karl Lewis: Dr. Fitzpatrick, what is the gold standard for establishing the diagnosis of poorly differentiated malignancies that are suspected of being malignant melanoma?
Dr. James Fitzpatrick: At present, there is no gold standard that is universally accepted by all pathologists and dermatopathologists, and different cases require different evaluations. This case illustrates several issues and pitfalls. In most cases of malignant melanoma, the diagnosis is established by correlating the cytologic detail with the architecture (nested growth pattern) and location of the tumor (nests of cells at the dermoepidermal junction) with the production of melanin and appropriate immunohistochemical profile.
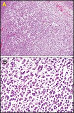
FIGURE 3

Atypical Appearance for Malignant Melanoma
In this case, since this involves metastasis to the lymph node, the tumor lacks the expected relationship to the epidermis that is used to support the diagnosis in primary malignant melanomas. The tumor is also composed of alternating sheets of atypical cells and areas of necrosis and lacks the characteristic nested-growth pattern seen in most malignant melanomas (Figure 3). Moreover, the tumor lacks melanin, another important distinguishing feature. In summary, from a purely histologic standpoint, the only features on routine stains that support the diagnosis of malignant melanoma are the large atypical epithelioid cells, and therefore, the diagnosis will be contingent on the results of the special stains and immunoperoxidase profile.
In the preimmunoperoxidase era, the only useful special stains in establishing the diagnosis were melanin stains such as the Fontana-Masson stain and the Warthin-Starry stain. These stains have been largely replaced by immunoperoxidase stains and are probably underutilized. However, they are still useful, as the demonstration of melanin within a tumor is very strong evidence that the tumor is a malignant melanoma, and it is more specific than many of the immunoperoxidase markers. The limitation of these stains is that some malignant melanomas are amelanotic, causing the stains to be negative.
Since the advent of reliable immunoperoxidase stains, the use of an initial screening panel of immunoperoxidase markers (eg, S-100, pancytokeratin, CD45) has become routine in poorly differentiated tumors to determine the cell lineage. This is followed by a second panel of immunoperoxidase markers to narrow the possibilities or confirm the diagnosis. In our experience, the most common mistake made in undifferentiated tumors is to use only a single marker to diagnose malignant melanoma. This approach is fraught with potential errors since malignant melanomas can occasionally express unexpected markers.
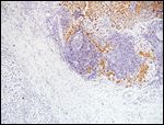
FIGURE 4

Mixed Staining Results
In some studies, for example, up to 2% of malignant melanomas can express pancytokeratin, which might suggest an epithelial-derived malignancy. Similarly, not all malignant melanomas express all of the commonly used melanoma markers, and a tumor that previously expressed one marker can lose this expression. The problem is clearly demonstrated in this case, where portions of the tumor strongly express S-100, while other portions of the tumor are negative for this marker (Figure 4).
In summary, poorly differentiated malignancies that are suspicious for malignant melanoma are best diagnosed by a screening panel of immunoperoxidase markers followed by a second panel to confirm the diagnosis. Our policy is that poorly differentiated tumors need to express at least two melanoma immunoperoxidase markers (ie, S-100, KBA-62, HMB-45, or melanin-A) before a firm diagnosis of malignant melanoma is rendered.
Dr. Lewis: What is the incidence of patients presenting with metastatic melanoma without evidence of a primary site?
Dr. Whitney High: Most large series of melanoma have documented a 4% to 10% incidence of metastatic disease with an occult primary lesion.[1-3] Since the 1960s, three mechanisms have been postulated to explain such cases, specifically: (1) the "metastatic" disease actually represents malignant transformation of ectopic nests of melanocytes within the involved tissue, (2) the primary lesion, often cutaneous, has undergone complete regression, or (3) the primary lesion, while still present, falls below the threshold for detection.
Imaging technology has greatly expanded over the ensuing years. CT, MRI, and PET scanning have resulted in improved detection, decreasing support for the last explanation. Coincidentally, recognition of ocular melanoma has increased and has shed light on some otherwise occult primary lesions. Of the remaining two possibilities, the concept of a completely regressed primary melanoma is particularly intriguing.
The incidence of histopathologic regression within melanoma is sixfold higher than that of many other cancers.[4] Partial regression is recognized in 10% to 35% of all cutaneous melanoma specimens.[5] Completely regressed cutaneous melanoma, while not extensively reported, is well recognized within the literature.
In the largest meta-analysis to date, we examined the world literature and discovered 38 well-documented cases of completely regressed cutaneous melanoma presenting with nodal or visceral metastases.[6] The majority of such patients reported a change in a preexisting nevus, such as enlargement, friability, bleeding, and eventual regression. These changes occurred 2 months to 14 years prior to the diagnosis of metastatic disease. Careful examination of the body surface identified macules, patches, papules, and plaques, both hypopigmented and hyperpigmented. Histologic examination has reliably detected attenuation of the epidermis, decreased epidermal melanocytes, papillary dermal fibrosis, a chronic inflammatory infiltrate, and increased telangiectasias.
It is likely that complete regression may explain a significant number of cases of metastatic melanoma with an occult primary lesion. Accordingly, in all such cases we advise: (1) a complete and thorough skin examination, (2) a complete ocular examination, (3) a biopsy of any lesion that may represent possible regression with examination by a dermatopathologist familiar with the corresponding histologic features, (3) a thorough history to identify any pigmented lesions undergoing past change, (4) reexamination of tissue from any prior removal of a pigmented lesion, even if the original diagnosis was thought to be benign.
Dr. Lewis: What is the role of surgical debulking?
Dr. Martin McCarter: Surgical debulking procedures are traditionally reserved for select tumors that produce symptoms that can be alleviated by decreasing tumor volume (eg, carcinoids) or that respond well to chemotherapy, where reducing the volume of tumor to be treated can improve overall cell-killing (eg, ovarian cancer).[7] Although melanoma is generally not one of the tumors we think of when we consider surgical debulking, there are some situations in which this may be the appropriate action. For example, debulking melanoma in the groin, neck, or other sites may prevent future complications should the tumor continue to grow into major nerves or blood vessels, or create a festering wound.
Another situation where "debulking" may have a role in melanoma is the patient with isolated metastatic deposits. Although melanoma is generally considered a systemic disease by the time remote sites are involved, an evolving literature supports metastasectomy for selected stage IV melanoma patients. In one large series, the overall 5-year survival rate for those selected to undergo resection of metastatic disease was 23%, which is significantly better than the 2% 5-year survival rate seen for those who did not undergo resection. Those with a single site of metastasis, long disease-free interval (> 36 months), and earlier-stage primary tumor had the best chance of benefiting from resection.[8,9]
Given the size and location of this patient's mass, it is unrealistic to think resection would be curative, but a case such as this one-with an isolated large bulky mass-is an example of a situation in which debulking the tumor would provide significant palliation.
Susan Dollarhide, rn: What is the role of radiation therapy? Is melanoma, as is widely believed, radioresistant?
Dr. Christine Olsen: Traditionally, melanoma has been described as radioresistant, with radiation therapy reserved solely for palliative efforts. Preclinical studies certainly demonstrate reduced sensitivity to standard-fraction radiation compared to results in other types of epithelial and hematologic malignancies. Part of the problem underlying this perception may lie in the fact that many patients are referred with lesions greater than 5 cm, and in instances where they have received a multitude of chemotherapeutic regimens, perhaps culling out the most resistant clonogens. Regardless of epithelial histology, significant responses under these circumstances would be suboptimal.
However, an increasing number of clinical studies have refuted this notion. As early as 1983, Harwood demonstrated that lentigo maligna melanoma of the face could be treated with primary radiation therapy.[10] In the early 1970s, Barranco and colleagues reported the dose-survival curves of 300 melanoma cell lines.[11] As the single dose per fraction increased, from 2 Gy/fraction to 4 Gy/fraction, the melanoma cells accumulated increasing amounts of sublethal damage. This led to a number of clinical studies evaluating the effect of fraction size on the response rates of melanoma, revealing a trend that supported Barranco's findings of improved response with a hypofractionated regimen.[12-14]
Dr. David Raben: Further challenging the notion that melanomas are radioresistant, the Radiation Therapy Oncology Group (RTOG) evaluated different fractionation schemes in this setting.[15] RTOG 83-05 randomized patients with measurable lesions to 8 Gy/fraction for four treatments in 21 days or to 2.5 Gy/fraction 5 days per week for 20 treatments. A total of 137 patients were randomized, and 126 patients were evaluable: 62 patients received 8 Gy/fraction and 64 received 2.5 Gy/fraction. Stratification was performed based on lesions greater than or less than 5 cm. An impressive complete remission rate of 23.8% was reported, with an additional 34.9% of patients experiencing a partial response. The researchers found no difference in response rates between the two arms.
A common clinically used fractionation pattern incorporates a hypofractionated approach of 6 Gy/fraction for five treatments, two times per week for a total dose of 30 Gy, in comparison to conventional fractionation of 2 Gy/fraction, five times per week for a total dose of 30 Gy.[16-19] Thus, in instances where surgery is not a viable option at initial presentation, radiation alone or in conjunction with chemotherapy should be considered.
Dr. McCarter: What is the status of chemotherapy and/or immunotherapy for metastatic melanoma?
Dr. Lewis: The treatment of malignant melanoma continues to be very difficult. The therapies approved by the US Food and Drug Administration (FDA) for metastatic melanoma are single-agent dacarbazine and high-dose interleukin (IL)-2 (Proleukin). Both of these therapies leave much to be desired. Single-agent dacarbazine produces an overall response rate of at best 15% to 20%, with very few complete responders.[20] High-dose IL-2 is associated with a similar overall response rate, but in the approximately 5% of patients who achieve a complete response, it seems to be durable.[21] Therefore, improvements in systemic therapy for malignant melanoma are desperately needed.
Dr. Rene Gonzlaez: Biochemotherapy-the combination of cytotoxic agents with IL-2 and interferon-alfa-has been shown in numerous phase II studies to have response rates of about 40% to 60%.[22] These studies have also shown a complete response rate of about 10%. The difficulty with biochemotherapy, however, is its toxicity, which can be considerable. Therefore, it is generally not possible to give such therapy in the community setting. In addition, no randomized studies have shown biochemotherapy to improve survival in patients with metastatic melanoma. In fact, a recent Eastern Cooperative Oncology Group (ECOG) study, which has been presented only in abstract form, did not demonstrate an improvement in response or survival of biochemotherapy compared with chemotherapy alone.[23] That said, the full results of this study have yet to be published, and biochemotherapy remains a reasonable option in this situation because of the high response rate.
Dr. Fitzpatrick: What is the role of chemoradiation for the treatment of melanoma?
Dr. Raben: Interestingly, there has been a lack of studies investigating the efficacy of combined chemoradiation in patients with locally advanced melanoma, either as a definitive approach or preoperatively. Animal studies have suggested the potential cooperative effects of cisplatin-containing regimens with radiation in oral melanoma.[24] We recently explored this approach, combining hypofractionated radiation (30 Gy in five fractions or 24 Gy in three fractions administered over a 3-week period) with cisplatin and dacarbazine (unpublished). This strategy has been employed primarily in patients with very large, unresectable, locally advanced melanomas in a preoperative approach.
The role of radiation therapy in the treatment of melanoma is slowly evolving from a palliative tactic to a combined-modality approach with surgery and/or chemotherapy as a definitive strategy. As we understand more about the molecular abnormalities of melanoma, it makes sense to consider combining targeted agents that perturb specific aspects of the growth and angiogenic pathways with radiation to further enhance responses.
For example, nuclear factor (NF)-kappaB has been shown to be overexpressed in melanoma cells.[25] Munshi et al recently discussed the issues underlying downstream activation of antiapoptotic elements such as bcl-xL and bcl-2 as well as vascular endothelial growth factor-all of which contribute to radioresistance-when NF-kappaB is overexpressed. Inhibition of this pathway results in marked enhancement of radiation cytotoxicity in preclinical studies.[26] It might make sense to conduct a clinical study of an agent such as a proteosome inhibitor related to NF-kappaB inhibition combined with radiation for locally advanced melanoma.
Dr. Lewis: If the tumor can be stabilized with chemotherapy or radiation, what about surgery as a palliative measure at that point?
FIGURE 5

Initial Treatment Results
Dr. McCarter: For patients with clearly defined symptoms related to metastatic melanoma, surgery can offer excellent durable palliation for selected patients with otherwise incurable disease. As with other tumors, however, it is often challenging to predict which patients will truly benefit from palliative surgery. In a prospective study from a cross section of metastatic tumor patients, 80% reported symptom improvement with significant morbidity (29%) and mortality (11%) in this high-risk group, indicating that comorbidities and patient selection are important factors to consider.[27] Melanoma patients most likely to benefit from palliative surgery are those with a relatively limited disease burden, a period of disease stabilization, a good performance status, and clearly defined goals and expectations of the palliative procedure.
FIGURE 6

Subsequent Treatment Results
The patient is an otherwise healthy man with a large mass consistent with metastatic melanoma to the left axilla. Urgent control of the disease is required secondary to the rapidity of its growth and bleeding.
Due to the significant size and bleeding of the mass, we needed to establish local control quickly. The patient was treated with concurrent chemoradiation using the regimen of cisplatin, 20 mg/m2 daily for 3 days, plus dacarbazine, 220 mg/m2 daily for 3 days. This was combined with a hypofractionated radiation regimen of 24 Gy in three fractions (days 1, 7, and 21). This strategy resulted in significant clinical improvement, as the patient was no longer actively bleeding from the area (Figure 5).
FIGURE 7

Long-Term Follow-up
Three weeks later, he was started on a concurrent biochemotherapy regimen consisting of cisplatin, vinblastine, dacarbazine, IL-2, and interferon-alfa. He received three cycles of this regimen given 21 days apart, with subsequent development of marked necrosis of the tumor mass (Figure 6). The patient did experience significant systemic toxicities from the biochemotherapy, however, and it was elected to send him for surgical debulking. That procedure removed a large mass, roughly 20 X 20 cm in size, and microscopically revealed no viable tumor. The patient recovered uneventfully from the surgery and remains without evidence of disease 18 months after his initial presentation (Figure 7).
Financial Disclosure:The authors and participants in this conference have no significant financial interest or other relationship with the manufacturers of any products or providers of any service mentioned in this article.
1. Vijuk G, Coates AS: Survival of patients with visceral metastatic melanoma from an occult primary lesion: A retrospective matched cohort study. Ann Oncol 9:419-422, 1998.
2. Klausner JM, Gutman M, Inbar M, et al: Unknown primary melanoma. J Surg Oncol 24:129-131,1983.
3. Milton GW, Shaw HM, McCarthy WH: Occult primary malignant melanoma: factors influencing survival. Br J Surg 64:805-808, 1977.
4. Caballos P, Barnhill R: Spontaneous regression of cutaneous tumors. Adv Dermatol 8:229-261,1993.
5. Blessing K, McLaren K: Histologic regression in primary cutaneous melanoma: Recognition, prevalence, and significance. Histopathology 20:315-322, 1992.
6. High WA, Steward D, Wilbers CR, et al: Completely regressed primary cutaneous malignant melanoma with nodal and/or visceral metastases: A report of 5 cases and assessment of the literature and diagnostic criteria. J Am Acad Dermatol 53:89-100, 2005.
7. McCarter MD, Fong Y: Role for surgical cytoreduction in multimodality treatments for cancer. Ann Surg Oncol 8:38-43, 2001.
8. Essner R, Lee JH, Wanek LA, et al: Contemporary surgical treatment of advanced-stage melanoma. Arch Surg 139:961-966, 2004.
9. Meyer T, Merkel S, Goehl J, et al: Surgical therapy for distant metastases of malignant melanoma. Cancer 89:1983-1991, 2000.
10. Harwood AR: Conventional fractionated radiotherapy for patients with lentigo maligna and lentigo maligna melanoma. Int J Radiat Oncol Biol Phys 9:1019-1021, 1983.
11. Barranco Sc, Romsdahl MM, Humphrey RM: The radiation response of human melanoma cells grown in vitro. Cancer Res 31:830-833, 1971.
12. Overgaard J: The role of radiotherapy in recurrent and metastatic malignant melanoma: A clinical radiobiological study. Int J Radiat Oncol Biol Phys 12:867-872, 1986.
13. Habermalz HJ, Fischer JJ: Radiation therapy of malignant melanoma: Experience with high individual treatment doses. Cancer 38:2258-2262, 1976.
14. Trott KR: The optimal radiation dose per fraction for the treatment of malignant melanoma. Int J Radiat Oncol Biol Phys 7:131-133, 1981.
15. Sause WT, Cooper JS, Rush S, et al: Fraction size in external beam radiation therapy in the treatment of melanoma. Int J Radiat Oncol Biol Phys 20:429-432, 1991.
16. Ang KK, Byers RM, Peters LJ: Regional radiotherapy as adjuvant treatment for head and neck malignant melanoma. Arch Otolaryngol Head Neck Surg 116:169-172, 1990.
17. Morris KT, Marquez CM, Holand J, et al: Prevention of local recurrence after surgical debulking of nodal and subcutaneous melanoma deposits by hypofractionated radiation. Ann Surg Oncol 7:680-684, 2000.
18. Kienstra MA, Padhya TA: Head and neck melanoma. Cancer Control 12:242-247, 2005.
19. Stevens G, Thompson JF, Firth, et al: Locally advanced melanoma, results of postoperative hypofractionated radiation therapy. Cancer 88:88-94, 2000.
20. Eggermont AM, Kirkwood JM: Re-evaluating the role of dacarbazine in metastatic melanoma: What have we learned in 30 years? Eur J Cancer 40:1825-1836, 2004.
21. Atkins MB, Lotze MT, Dutcher JP, et al: High-dose recombinant interleukin 2 therapy for patients with metastatic melanoma: Analysis of 270 patients treated between 1985 and 1993. J Clin Oncol 17:2105-2116, 1999.
22. Buzaid AC: Management of metastatic cutaneous melanoma. Oncology 18:1443-1450, 2004.
23. Atkins MB, Lee S, Flaherty LE, et al: A prospective randomized phase III trial of concurrent biochemotherapy (BCT) with cisplatin, vinblastine, dacarbazine (CVD), IL-2 and interferon alpha-2b (IFN) versus CVD alone in patients with metastatic melanoma (E3695): An ECOG-coordinated intergroup trial (abstract 2847). Proc Am Soc Clin Oncol 22:708, 2003.
24. Freeman KP, Hahn KA, Harris FD, et al: Treatment of dogs with oral melanoma by hypofractionated radiation therapy and platinum-based chemotherapy. J Vet Intern Med 17:96-101, 2003.
25. Huang S, DeGuzman A, Bucana CD, et al: Nuclear factor-kappaB activity correlates with growth, angiogenesis and metastasis of human melanoma cells in nude mice. Clin Cancer Res 6:2573-2581, 2000.
26. Munshi A, Kurland JF, Nishikawa T, et al: Inhibition of constitutively activated nuclear factor-kappaB radiosensitizes human melanoma cells. Mol Cancer Ther 3:985-992, 2004.
27. Miner TJ, Brennan MF, Jaques DP: A prospective, symptom related, outcomes analysis of 1022 palliative procedures for advanced cancer. Ann Surg 240:719-726, 2004.
Late Hepatic Recurrence From Granulosa Cell Tumor: A Case Report
Granulosa cell tumors exhibit late recurrence and rare hepatic metastasis, emphasizing the need for lifelong surveillance in affected patients.