Oral mucositis (OM), also referred to as stomatitis, can negatively impact radiation and chemotherapy treatment schedules and add to oncology patients’ emotional and physical distress. About 35% to 40% of patients treated with cytotoxic chemotherapy will develop OM, with higher rates occurring in bone marrow transplant patients.
Oral mucositis (OM), also referred to as stomatitis, can negatively impact radiation and chemotherapy treatment schedules and add to oncology patients’ emotional and physical distress. About 35% to 40% of patients treated with cytotoxic chemotherapy will develop OM, with higher rates occurring in bone marrow transplant patients.
OM occurs in 85% of patients receiving head/neck irradiation alone and in 95% of head and neck cancer patients treated with chemoradiation. The incidence and severity of OM vary with different treatment regimens, but all patients with OM share the same pathogenesis: an interference with normal epithelial cell turnover, leading to direct and indirect destruction of the mucosal lining.[1–4] Subsequently, OM can be exacerbated by bacterial, mycotic, and viral infections, compounding the symptomatology.
Two women diagnosed with different cancer sites (albeit both squamous cell in origin) began their oncology treatments with a high risk of developing OM.
Mrs. S., a 64-year-old Caucasian approaching retirement, presented to the emergency department with periodic rectal bleeding and pain over a 5-month period. Recently divorced and with financial concerns, she ignored these symptoms until the rectal pain became intense and she started having bloody, loose stools. She was examined under anesthesia, and biopsies confirmed squamous cell carcinoma of the anal canal. Staging PET/CT scan revealed a 6.0 cm by 4.8 cm tumor involving the anus and possibly adjacent skin and subcutaneous tissue, with one enlarged left inguinal lymph node but no other metastases. She had no risk factors or family history of cancer. With this presentation, Mrs. S. was determined to have stage IIIB disease (T4,N2,M0).
A central port-a-catheter was placed and the patient began treatment with mitomycin and infusion of 5-fluorouracil (5-FU). At the same time, radiation to the pelvis was initiated. She experienced hair loss, OM, and neutropenia after receiving her first initial dose of mitomycin/5-FU. As radiation continued, she developed a skin reaction in the perineal area, causing severe discomfort. She was also anxious about her next dose of chemotherapy because of the painful OM she had experienced with the first dose. Because she feared developing OM again and had perineal pain, Mrs. S. wanted to stop her combined chemoradiation after receiving 22 of her scheduled 33 fractions of radiation.
Mrs. J., a 48-year-old Caucasian, had no family history of cancer. She worked in the emergency department as a registered nurse, smoked, and occasionally drank wine with dinner. One day at work, she felt a lump on the side of her neck. When the area became painful she went to her primary care physician, and was prescribed antibiotics. She lost more than 6 pounds in 1 month and her pain did not go away.
She returned to her primary care physician and obtained a referral to an ear, nose, and throat physician. A biopsy revealed squamous cell carcinoma of the right tonsillar fossa, anterior tonsillar pillar, and glossotonsillar sulcus region. Imaging studies for the right jugulodigastric node, which was asymmetric and had minimal SUV uptake, were of possible concern. She was staged as T2,N0,M0. Owing to her young age and the possibility of nodal disease, she was given concurrent chemotherapy (weekly cisplatin) with radiation.
Early in her treatment course Mrs. J. experienced dry mouth and loss of taste. She was admitted to the hospital mid-treatment for abdominal pain and nausea, which resolved on its own. She eventually required a feeding tube when she developed confluent mucositis and required pain medications (oxycodone and topical oral treatments). Her last dose of chemotherapy was held because she developed ringing in her ears.
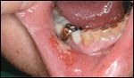
FIGURE 1

Chemotherapy-induced mucositis with ulcerations of the mucous membranes. Image courtesy of Christiane Querfeld, MD FIGURE 2

Oral mucositis occurring during week 4 of radiation treatment. (Dose was 45 Gy; patient did not receive chemotherapy.) Image courtesy of Sol Silverman, DDS
Signs and symptoms of chemotherapy- or radiation-induced OM are the same for Mrs. S. and Mrs. J. The physical appearance is indistinguishable (see Figures 1 and 2). Bright erythema of the oral mucosa, edema, patches of denuded epithelium, elevated white desquamative patches, and ulcers may be seen in the oral cavity.[5] All of these signs are dose-limiting. Patients may report pain or burning sensations in the oral cavity, and increased sensitivity to hot or spicy foods.[5]
In the cases presented, Mrs. S. and Mrs. J. initially had grade 2 clinical and functional OM mid-treatment, according to the National Comprehensive Cancer Network (NCCN) Common Toxicity Scale (Version 3.0). This means both women developed patchy ulcerations or pseudomembranes and were symptomatic when they ate and swallowed, requiring a modified diet. Mrs. S. experienced OM during the first chemotherapy cycle of her combined chemoradiation to the pelvis, and Mrs. J. experienced OM after the fourth week of chemoradiation to the head/neck. When OM interfered with their eating, comfort, and overall quality of life, depression was evident to their family members. Mrs. J. eventually developed grade 3 OM, and she required placement of a feeding tube.
Approaches to patient care should be consistent: It is important to keep the oral mucosa intact as long as possible, treat the symptoms aggressively, prevent treatment interruptions or dose reductions, prevent infections, lessen pain, minimize eating disturbances, and treat the patient’s depression. The prophylactic and therapeutic armamentarium for the management of OM includes locally and systemically applied nonpharmacologic measures and pharmacotherapeutics.
Nursing interventions for both women included basic oral hygiene (using a soft toothbrush, replacing toothbrushes routinely, flossing); salt/soda gargles (½ teaspoonful of salt and 1 teaspoonful of baking soda in a quart of water); dietary changes (frequent small, high-calorie, high-protein meals and supplemental drinks, with adequate fluid intake); avoidance of hot, spicy, coarse foods, beverages with a high acid content or carbonation, and alcoholic drinks; smoking cessation; and antidepressant medications. Support groups can be helpful during and after therapy.
Pharmacotherapeutics include prescription topical analgesic coating agents, prescription topical fluorides (varnishes, gels, rinses), and narcotics. Mrs. J. was given a supersaturated calcium/phosphate oral rinse (Caphosol, EUSA Pharma) at the beginning of her chemoradiation to alleviate oral discomfort and dryness, in addition to cleaning and lubricating the oral mucosa. Mrs. S. was given the same rinse before starting her second cycle of chemotherapy.
Direct stomatotoxic effects begin shortly after administration of either mucotoxic chemotherapy or within 2 weeks of beginning radiation. National Cancer Institute (NCI) clinical/functional OM toxicity grades categorize mild mucositis as grade 0–1, moderate as grade 2, and severe as grade 3–4.
Although most patients report clinical and functional grades of OM returning to normal after 1–3 months of radiation and shortly after stopping chemotherapy, delayed effects or impairments can linger. Oral discomfort such as dysphagia, dysgeusia, and odynophagia may continue for months and can have a negative impact on the patient’s quality of life.
At the conclusion of Mrs. J.’s combined chemoradiation for head/neck cancer, her NCI clinical/functional OM was grade 2. Mrs. J. followed the basic oral regimen previously described, including utilizing the calcium/phosphate rinse four times a day. She was able to maintain her nutritional status and her pain was controlled with minimal narcotics. Mrs. S. found that her OM was manageable after she utilized the calcium/phosphate oral rinse during her second cycle of therapy. She was able to focus on the radiation side effects associated with pelvic irradiation instead of side effects induced by chemotherapy (ie, OM).
FIGURE 3

Impact of Oral Mucositis--OM induced by chemotherapy and/or radiotherapy can have a negative impact on patients physically, nutritionally, psychologically, and socially, and caregivers may need support also.
Approximately 400,000 oncology patients experience treatment-related injury to the oral cavity.[6] The case studies described in this article illustrate how OM can develop in the course of treating different cancer sites and the different modalities that can precipitate OM-that is, acute toxicity of OM is associated not only with irradiation of the head and neck, but it also can result from certain cytotoxic chemotherapies. OM affected several quality of life domains in both patients, as shown in Figure 3.
Several risk factors have an impact on development of OM. The site of malignancy will determine radiation treatment fields and/or chemotherapy agents. Poor oral hygiene, caries with associated periapical pathology, and periodontal disease all are associated with an increased risk of developing OM.[7] Poor nutritional status has an impact on how treatment is tolerated by the patient and how quickly he or she recovers from therapy.
Education should begin with the first contact with the patient. Nutritional consults are essential. The patient must be shown how to brush and floss effectively, and must be evaluated by a dentist before, during, and after treatment.
Incorporating evidence into practice still remains challenging, as there are limited randomized controlled clinical trials with OM interventions. There are no guidelines from the NCCN or the American Society of Clinical Oncology (ASCO). The Multinational Association of Supportive Care in Cancer (MASCC) and the International Society for Oral Oncology offer general guidelines for OM.[1] The Oncology Nursing Society’s Putting Evidence into Practice (PEP) card provides additional OM resources for nurses and also is available in a new PEP Resources textbook.
Prophylactic approaches to prevent or minimize the severity of OM are important. Oral cryotherapy-intraoral administration of ice chips by swishing with the chips for 30 minutes-has shown efficacy when patients are receiving 5-FU. The largest clinical trial was reported by Sorensen and colleagues,[8] in which patients were randomized into three arms: cryotherapy (performed 10 minutes prior to administration of 5-FU and leucovorin and continuing for 35 minutes after treatment), chlorhexidine mouthwash, or a placebo mouthwash. Prevalence of grades 3 and 4 OM was significantly lower among patients using cryotherapy (11%, 13%, and 33% in the cryotherapy, chlorhexidine, and placebo arms, respectively).

Another double-blind, placebo-controlled trial was conducted in hematopoietic cell transplant patients using a regimen of a supersaturated calcium/phosphate oral rinse. Two arms of this study (the calcium phosphate rinse plus topical fluoride group and topical fluoride alone) demonstrated a statistically significant outcome with shorter days of OM, less pain, and less narcotic administration.[9] MASCC does not currently recommend systemic use of glutamine to prevent OM, owing to limited controlled studies.[1] Palifermin (keratinocyte growth factor-1; Kepivance) is recommended for prevention of OM in patients with hematologic malignancies who are receiving high-dose chemotherapy and total body irradiation with autologous stem cell transplantation,[1] and research in patients with solid tumors is planned.
OM is the principal oral side effect of chemotherapy, radiation, and chemoradiation. Altered mucosa can predispose patients to bacterial, fungal, and viral superinfection, and OM often results in physiological/functional impairment and psychological distress, producing a negative impact on quality of life. Oncology nurses need to continue to seek evidence-based interventions that can alleviate OM and its potential complications.
Financial Disclosure:Marilyn Haas serves as a consultant for EUSA.
1. Keefe D, Schubert M, Elting L, et al: Updated clinical practice guidelines for the prevention and treatment of mucositis. Cancer 109(5):820â831, 2007.
2. Sonis S, Elting L, Keefe D, et al: Perspectives on cancer therapy-induced mucosal injury: Pathogenesis, measurement, epidemiology, and consequences for patients. Cancer 100(suppl 9):1995â2025, 2004.
3. Elting L, Cooksley C, Chambers M, et al: Risk, outcomes, and costs of radiation-induced oral mucositis among patients with head-and-neck malignancies. Int J Radiat Oncol Biol Phys 68(4):1110â1120, 2007.
4. Sonis S: Mucositis as a biological process: A new hypothesis for the development of chemotherapy-induced stomatotoxicity. Oral Oncol 34(1):39â43, 1998.
5. Witt M: Mucositis, in Haas M, Hogle W, Moore-Higgs G, et al (eds): Radiation Therapy: A Guide to Patient Care, pp 563â573. Philadelphia, PA, Elsevier, 2007.
6. Trotti A, Bellm L, Epstein J, et al: Mucositis incidence, severity and associated outcomes in patients with head and neck cancer receiving radiotherapy with or without chemotherapy: A systematic literature review. Radiother Oncol 66(3):253â262, 2003.
7. Barasch A, Peterson D: Risk factors for ulcerative oral mucositis in cancer patients: Unanswered questions. Oral Oncol 39(2):91â100, 2003.
8. Sorensen J, Skovsgaard T, Bork E, et al: Double-blind, placebo-controlled, randomized study of chlorhexidine prophylaxis for 5-fluorouracil-based chemotherapy-induced oral mucositis with nonblinded randomized comparison to oral cooling (cryotherapy) in gastrointestinal malignancies. Cancer 112(7):1600â1606, 2008.
9. Papas A, Clark R, Martuscelli G, et al: A prospective, randomized trial for the prevention of mucositis in patients undergoing hematopoietic stem cell transplantation. Bone Marrow Transplant 31(8):705â712, 2003.