The patient is a 43-year-old man who was initially evaluated at an outside institution for unexplained anemia and who was found to have a large right kidney mass. He underwent a radical nephrectomy for a 19-cm large-cell, poorly differentiated neoplasm, consistent with pleomorphic, epithelioid angiomyolipoma (EAML) with extensive necrosis and cytologic atypia.
SECOND OPINION
Multidisciplinary Consultations on Challenging Cases
The University of Colorado Denver School of Medicine faculty holds weekly second opinion conferences focusing on cancer cases that represent most major cancer sites. Patients seen for second opinions are evaluated by an oncologic specialist. Their history, pathology, and radiographs are reviewed during the multidisciplinary conference, and then specific recommendations are made. These cases are usually challenging, and these conferences provide an outstanding educational opportunity for staff, fellows, and residents in training.
The second opinion conferences include actual cases from genitourinary, lung, melanoma, breast, neurosurgery, gastrointestinal, and medical oncology. On an occasional basis, ONCOLOGY will publish the more interesting case discussions and the resultant recommendations. We would appreciate your feedback; please contact us at
second.opinion@uchsc.edu
.
E. David Crawford, MD
Thomas W. Flaig, MD
Guest Editors
University of Colorado Denver School of Medicine
and University of Colorado Cancer Center
Aurora, Colorado
The patient is a 43-year-old man who was initially evaluated at an outside institution for unexplained anemia and who was found to have a large right kidney mass. He underwent a radical nephrectomy for a 19-cm large-cell, poorly differentiated neoplasm, consistent with pleomorphic, epithelioid angiomyolipoma (EAML) with extensive necrosis and cytologic atypia. A surveillance abdominal ultrasound was performed 6 months after surgery; this showed no evidence of disease. However, a second ultrasound performed 12 months after nephrectomy showed extensive involvement of his liver, with multiple large lesions. Fine-needle biopsy of one of the liver lesions confirmed the presence of epithelioid, pleomorphic cells consistent with EAML. Staging computed tomography (CT) scans of the chest, abdomen, and pelvis were also notable for several 2- to 4-mm pulmonary nodules. A CT scan of the head with contrast showed no intracranial lesions.
The patient presented to our cancer center 14 months after his nephrectomy for consultation and management of his recurrent metastatic disease. His main complaints at this time were fatigue, dyspnea, nausea, anorexia, and occasional right upper quadrant abdominal pain. The patient’s medical history was notable for hypercholesterolemia and for a Brugada-like syndrome, for which he had undergone prophylactic implantable cardioverter defibrillator placement. His family history was notable for a brother who died of sudden cardiac death at age 46, and a father who died of pancreatic cancer at age 72. On physical examination, he appeared fatigued and had palpable hepatomegaly and a hepatic mass just below the right costal margin. His lungs were clear, and he had no rashes or skin lesions. Laboratory evaluation revealed the following levels: creatinine, 1.09 mg/dL; calcium, 8.4 mg/dL; albumin, 2.5 g/dL; aspartate aminotransferase, 46 U/L; alanine aminotransferase, 23 U/L; total bilirubin, 2.0 mg/dL; direct bilirubin, 0.5 mg/dL; alkaline phosphatase, 169 U/L; lactate dehydrogenase, 449 U/L; and thyroid stimulating hormone, 1.58 μIU/mL. White blood cell count was 12.6 × 103/μL; hemoglobin level, 9.2 g/dL; platelet count, 313 × 103/μL; prothrombin time, 16.1 sec; international normalized ratio, 1.3; and activated partial thromboplastin time, 31.9 sec.
DR. ELAINE T. LAM, medical oncologist: Dr. La Rosa, would you review the patient's pathology?
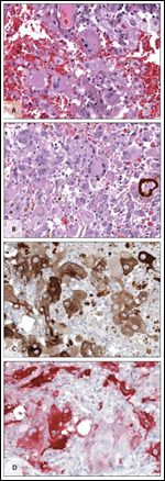
FIGURE 1

Right Kidney Nephrectomy Specimen
DR. FRANCISCO G. LA ROSA, pathologist: We reviewed the original slides (from an outside institution) of the right kidney nephrectomy specimen. The sections showed a tumor composed of medium- to large-sized polygonal epithelioid cells with eosinophilic cytoplasm, moderately pleomorphic nuclei, prominent nucleoli, and occasional mitotic figures. The tumor showed focal areas of hemorrhage and necrosis and was admixed with clusters of foamy macrophages, some with golden brown pigments consistent with hemosiderin deposits (Figure 1A and 1B). Special stains showed that the tumor cells were positive for Melan-A103 (Figure 1C), HMB-45 (MAA, Figure 1D), and CD68; weakly positive for desmin and CD117; and negative for pancytokeratin, epithelial membrane antigen (EMA), S100 antigen, carbonic anhydrase IX (CA-9), and alpha-methylacyl-CoA racemase (AMACR). Nonspecific staining was present with CK7, 34BE12, and CD10.
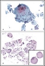
We also reviewed the outside slides of the fine-needle aspiration specimen from one of the lesions in the right lobe of the liver. The cytology smears and histological sections from the cell block showed pleomorphic epithelioid cells very similar to those described in the renal tumor, which were consistent with metastatic EAML (Figure 2A and 2B). Results of immunohistochemical staining performed at the outside institution were reported as positive for HMB-45 and desmin (focal) and negative for pancytokeratin, S100, Melan-A103, and smooth muscle actin (SMA).
HMB-45 and Melan-A103 are positive in EAML and negative in renal cell carcinomas. Thus, this specimen’s histopathologic and cytologic features and the tumor marker profile were consistent with the diagnosis of EAML. However, other than extrarenal fat tissue, some components (such as smooth muscle and mature adipose tissue) were not readily observed in the slides provided.[1,2]
DR. LAM: How is the EAML variant different from classic benign angiomyolipomas? Are there other factors that may predict for malignant transformation?
DR. LA ROSA: EAML consists of a predominant, exclusive population of pleomorphic epithelioid cells. Some reports have described these tumors as “atypical angiomyolipomas.”[3] Strict criteria for diagnosing malignant EAML on morphologic grounds have not been established; however, a potential for malignant behavior should be anticipated for EAMLs that are highly pleomorphic, that are mitotically active, and that contain areas of hemorrhage and necrosis-as in this case.
FIGURE 2

Fine-Needle Aspiration of One of the Liver Lesions
DR. L. MICHAEL GLOD, medical oncologist: How is hepatic angiomyolipoma (AML) different from renal AML? Can you tell in this case whether these lesions developed de novo in the liver, or whether they represented true metastasis from his renal epithelioid AML?
DR. LA ROSA: Because these tumors are so rare, and the majority of AMLs are of a benign nature, it is difficult to answer this question with absolute certainty. Some case reports mention the simultaneous presence of hepatic and renal EAML, and it is not very clear whether these lesions represent just a multifocal appearance of the AML tumors or real metastases. In our case, the hepatic tumor was discovered several months after the renal tumor, which strongly suggests a metastatic nature for the hepatic tumor. In addition, many case reports mention the presence of real metastatic liver and lung tumors several months after resection of the primary renal tumor.
DR. LAM: Dr. Suby-Long, what are the sensitivities of abdominal ultrasound and CT for surveillance of patients with resected renal lesions?
DR. THOMAS SUBY-LONG, radiologist: The sensitivities of both abdominal ultrasound and CT are high for surveillance. Both have advantages and disadvantages. The primary advantage of ultrasound over CT is the lack of ionizing radiation. The primary disadvantage of ultrasound is that it is operator-dependent.
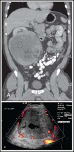
FIGURE 3

Images of the Original Right Kidney Tumor
DR. LAM: Would you review the patient’s radiographic findings?
DR. SUBY-LONG: Review of the initial outside CT revealed an 18-cm right renal mass with extensive heterogeneity and no demonstrable macroscopic fat. There were no liver lesions on the initial CT (Figure 3A). An ultrasound obtained within 10 days of the initial CT revealed an 18-cm solid, heterogeneous, moderately vascular mass with central necrosis (Figure 3B).
DR. LAM: Are there characteristic abnormalities seen with mesenchymal tumors such as AML? How does an AML differ from a primary renal cell or hepatocellular carcinoma?
DR. SUBY-LONG: Typically AMLs, whether in the kidney or the liver, are markedly echogenic on ultrasound and demonstrate macroscopic fat density (-30 to -100 HU) on CT. Approximately 5% of AMLs do not have detectable fat on CT and so cannot be distinguished from other solid masses, such as renal cell or hepatocellular carcinoma.
DR. LAM: Are there radiographic characteristics that would predict the risk for rupture of an AML lesion?
DR. SUBY-LONG: Size, multifocality, and vascular abnormalities are the main risk factors for bleeding.[4] Typically we treat AMLs that are symptomatic or larger than 4 cm. Among AMLs of 4 cm or larger, 46% to 94% are symptomatic and 50% to 60% bleed spontaneously.[5]
DR. LAM: Dr. Flaig, would you give us an overview of hereditary kidney cancers and the important signaling pathways involved in these cancers?
DR. THOMAS W. FLAIG, medical oncologist: Several familial kidney cancer syndromes are now believed to be linked to a specific genetic alteration.[6] Von Hippel-Lindau disease (VHL) is the most widely recognized of the familial kidney cancer syndromes, which also include hereditary papillary renal carcinoma and Birt-Hogg-Dub syndrome. Eugen von Hippel was a 19th-century ophthalmologist who described the retinal angioma manifestations of VHL.[7] Arvid Lindau was a Swedish pathologist who later linked kidney cancer, pancreatic cysts, and hemangioblastomas of the central nervous system (CNS) to the previous findings of von Hippel. With wild-type VHL, hypoxia-inducible transcription factor (HIF)-1α is carefully regulated and degraded in normoxic conditions. When VHL is dysfunctional, it is unable to regulate HIF-1α, which then inappropriately activates a number of hypoxia-related genes, despite normoxic conditions. These activated genes include the vascular-endothelial growth factor (VEGF) and platelet-derived growth factor, both believed to play a key role in the development of the VHL-associated clear-cell renal cell carcinoma. While VHL disease itself is rare, dysfunction of VHL has been observed in a significant proportion of spontaneous clear-cell renal cell carcinomas. Therefore, from an understanding of the pathogenesis of VHL disease, specific targets for a new generation of biologic agents have been identified that have relevance for the general treatment of clear-cell renal cell carcinoma.
Beyond VHL, the genetic basis of other familial kidney cancer syndromes has been elucidated.[8] While VHL disease is associated with clear-cell renal cell carcinoma, a familial pattern of inheritance of papillary renal cell carcinoma has been observed as a separate entity, without the ocular or CNS tumors noted in VHL. Analysis of involved families identified an area of abnormality on the long arm of chromosome 7, with subsequent description of c-Met as the causative defect. Manifestations of hereditary papillary renal cell carcinoma include multifocal, bilateral papillary carcinomas with malignant potential. Birt-Hogg-Dub is a third genetically defined familial kidney cancer syndrome. It is associated with mutation of the folliculin gene on the short arm of chromosome 17. Manifestations include mixed-histology kidney cancers (oncocytic and chromophobe features predominate), dermatological lesions (fibrofolliculomas), and pulmonary cysts with associated pneumothorax.
DR. LAM: Dr. Glod, would you consider renal AML to be a hereditary kidney cancer?
DR. GLOD: AML is in general a benign tumor containing abnormal blood vessels, smooth muscle cells, and adipose tissue. Most cases of renal AML occur in the sporadic setting and < 10% of all AMLs occur in patients with tuberous sclerosis complex (TSC), an autosomal dominant condition characterized by benign neoplasms of the brain, kidney, and skin. However, 52% to 89% of patients with TSC present with AML.[9-11] Clonal chromosomal aberrations, such as nonrandom inactivation of the X chromosome and loss of the TSC2 locus on chromosome 16p13, have been observed in sporadic AML.[12-14] In contrast to classic renal AMLs, which are commonly benign, the epithelioid variant of AML behaves much more aggressively and is capable of causing neoplastic progression, recurrence, distant metastasis, and death.[15-18]
DR. LAM: Dr. Wilson, what is your usual approach to patients with classic renal AML? What kind of follow-up is usually recommended?
REFERENCE GUIDE
Therapeutic Agents
Mentioned in This Article
Bevacizumab (Avastin)
Everolimus (Afinitor
Pazopanib (Votrient)
Sirolimus (Rapamune
Sorafenib (Nexavar)
Sunitinib (Sutent)
Temsirolimus (Torisel)
Brand names are listed in parentheses only if a drug is not available generically and is marketed as no more than two trademarked or registered products. More familiar alternative generic designations may also be included parenthetically.
DR. SHANDRA WILSON, urologic oncologist: AMLs are generally treated by surgery or angioembolization. Depending on the size and location of these tumors, partial or total nephrectomies may be performed. Angioembolization may be chosen for cases of multifocal AML or acute hemorrhage. Surgery should be performed in cases of diagnostic uncertainty or complex vascular anatomy not amenable to angioembolization.[19] For patients with TSC, who may need mul tiple treatments over the course of their lifetimes, consideration should be given to medical management of AMLs that are asymptomatic and slowly enlarging, with surgery, embolization, and other ablative therapies reserved for symptomatic patients.[20]
Classic renal AMLs are thought to be benign, and patients without TSC generally do not need continuing follow-up after resection. However, patients with epithelioid AML have a higher incidence of local recurrence, lymph node involvement, and metastasis and should thus be followed over time with imaging.[9]
DR. LAM: Dr. Kondo, what is the role for angioembolization in the management of AMLs?
DR. KIMI L. KONDO, interventional radiologist: Selective transarterial AML embolization is a safe and effective treatment in emergent and elective management of renal AMLs, whether they are sporadic or related to TSC. Angioembolization has been used to treat symptomatic AMLs with associated hemorrhage, persistent or recurrent flank pain, or bulk symptoms. Indications for prophylactic angioembolization include asymptomatic AMLs 4 cm or larger (because of the increased risk of bleeding), radiologic evidence of large vascular abnormalities, anticipation of pregnancy (in women), and suspicion of malignancy.[21] As a minimally invasive procedure, angioembolization is performed in a selective manner and spares the normal renal parenchyma. It can be used for multiple lesions and repeated if necessary for the treatment of new or recurrent AMLs.
A review of the literature reveals that most reported cases of hepatic AMLs are in patients from China, and the standard treatment for hepatic AML in China is surgical resection.[22] There is one report of five patients who underwent transarterial embolization for hepatic AML; however, these procedures were performed prior to referral to the authors' institution and because of the suspicion of hepatocellular carcinoma.[23]
DR. LAM: Dr. Flaig, would you offer this patient treatment with a tyrosine kinase inhibitor, as you might a patient with metastatic renal cell carcinoma?
DR. FLAIG: There has been a dramatic increase in the number of available medical treatments for advanced renal cell carcinoma over the past 5 years.[24] These new drugs include three major classes: tyrosine kinase inhibitors (sorafenib [Nexavar], sunitinib [Sutent], and pazopanib [Votrient]); mammalian target of rapamycin (mTOR) inhibitors (temsirolimus [Torisel] and everolimus [Afinitor]); and monoclonal antibodies (bevacizumab [Avastin]). The large, randomized phase III studies that established the use of these drugs generally required the presence of clear-cell renal cell carcinoma or at least a component of clear-cell histology. One exception was the temsirolimus phase III trial, in which approximately 20% of the subjects had a non–clear-cell subtype. The sub-group analysis for those with non–clear-cell histology showed an overall survival advantage for temsirolimus.[25]
Epithelioid AML is a rare renal cancer for which there is little medical literature to guide treatment decisions. As noted, most of the large trials with the new generation of targeted therapies for renal cell carcinoma focused on clear-cell histology. While this lack of information doesn’t mean that these new drugs are inactive in patients with non–clear-cell histology, whether or not the new drugs are active remains a largely unanswered question. Medical management of benign AML has specifically been studied in relation to epithelioid AML and gives some insight into this case. Acknowledging the dysregulation of mTOR in some cases of AML, a possible role for mTOR inhibition in this setting emerges.
DR. LAM: Dr. Glod, are there any systemic therapies that you would offer this patient?
DR. GLOD: Recent evidence suggests that the TSC2 gene that is disrupted in patients with TSC may also be mutated in sporadic AML.[13] TSC1 and TSC2 genes encode for proteins that form a TSC1/TSC2 complex that negatively regulates mTOR complex 1 (mTORC1). Therefore, when the TSC1/TSC2 complex is abnormal, mTORC1 may be inappropriately activated, leading to dysregulation of cell growth and increase in VEGF as a result of mTORC1-dependent activation of HIF.[26,27] The efficacy of mTOR inhibitors such as sirolimus has been reported both in patients with sporadic and TSC-associated AML.[28,29] I would favor a trial of sirolimus in this patient.
DR. LAM: How long would you treat this patient?
DR. GLOD: Indefinitely-as long as he is tolerating treatment and his tumors are stable or shrinking. In the 25-patient study of sirolimus for AML in patients with TSC, sirolimus was given for 12 months and the dose was up-titrated to achieve serum trough levels of 10 to 15 ng/mL. At the end of treatment, 16 of 20 patients achieved at least a 30% reduction in AML volume (mean, 53.2% ± 26.6% of baseline). At 6 and 12 months after stopping sirolimus, the mean AML volume had increased to 76.8% ± 27.5% and 85.9% ± 28.5% of baseline, respectively, suggesting that continued administration of sirolimus may be beneficial.[29]
DR. LAM: This patient had an extremely rare and aggressive renal epithelioid AML for which there is no current standard of care. Because of the extensive tumor involvement of both lobes of the liver, he was not a candidate for surgical resection or angioembolization. Given some reported evidence of activity with mTOR inhibitors in sporadic and familial AML, we recommended treatment with sirolimus (Rapamune) along with close monitoring.
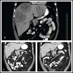
FIGURE 4

CT Coronal Images of the Metastatic Liver Lesions
The patient was started on sirolimus at 0.25mg/m2/day, with subsequent dose increases to achieve a target trough level between 15 and 20 ng/mL. One month after initiating sirolimus, the patient was titrated up to a dose of 2 mg daily. His transfusion-dependent anemia resolved, as did his symptoms of fatigue, dyspnea, nausea, anorexia, and abdominal pain. He was able to go back to work and able to travel. On restaging CT scans 2 months after starting treatment, he had a marked reduction of all his hepatic lesions, some by more than 50% (Figure 4A and 4B). There was no evidence of new disease and no change in the previously noted tiny 2- to 3-mm pulmonary nodules. Restaging CT scans at 4 months showed no further decrease in the size of the hepatic lesions, but continued disease stability (Figure 4C). At the present time, he continues on sirolimus at 3 mg per day and is tolerating treatment well.
Acknowledgements:We are very grateful to Dr. James Brugarolas, Dr. Thomas Olencki, Dr. Ana Molina, and Dr. Victor Reuter for their counsel on the diagnosis and management of this patient. We are also grateful to the Herbert Crane Endowment and to Mrs. Mimi Weil for their generous financial support, which made the write-up of this case possible.
Financial Disclosure:Dr. Kondo serves as a consultant to Pfizer and holds stock in Merck. The remaining authors have no significant financial interest or other relationship with the manufacturers of any products or providers of any service mentioned in this article.
1. Delgado R, de Leon Bojorge B, Albores-Saavedra J. Atypical angiomyolipoma of the kidney: a distinct morphologic variant that is easily confused with a variety of malignant neoplasms. Cancer. 1998;83:1581-92.
2. Mai KT, Perkins DG, Collins JP. Epithelioid cell variant of renal angiomyolipoma. Histopathology. 1996;
28:277-80.
3. Gronchi A, Diment J, Colecchia M, et al. Atypical pleomorphic epithelioid angiomyolipoma localized to the pelvis: a case report and review of the literature. Histopathology. 2004;44:292-5.
4. Kothary N, Soulen MC, Clark TW, et al. Renal angiomyolipoma: long-term results after arterial embolization. J Vasc Interv Radiol. 2005;16:45-50.
5. Lee W, Kim TS, Chung JW, et al. Renal angiomyolipoma: embolotherapy with a mixture of alcohol and iodized oil. J Vasc Interv Radiol. 1998;9:255-61.
6. Linehan WM, Pinto PA, Bratslavsky G, et al. Hereditary kidney cancer: unique opportunity for disease-based therapy. Cancer. 2009;115:2252-61.
7. Richard S, Graff J, Lindau J, Resche F. Von Hippel-Lindau disease. Lancet. 2004;363:1231-4.
8. Sudarshan S, Linehan WM. Genetic basis of cancer of the kidney. Semin Oncol. 2006;33:544-51.
9. Koo KC, Kim WT, Ham WS, et al. Trends of presentation and clinical outcome of treated renal angiomyolipoma. Yonsei Med J. 2010;51:728-34.
10. Arbiser JL, Brat D, Hunter S, et al. Tuberous sclerosis-associated lesions of the kidney, brain, and skin are angiogenic neoplasms. J Am Acad Dermatol. 2002;
46:376-80.
11. Aydin H, Magi-Galluzzi C, Lane BR, et al. Renal angiomyolipoma: clinicopathologic study of 194 cases with emphasis on the epithelioid histology and tuberous sclerosis association. Am J Surg Pathol. 2009;33:289-97.
12. Paradis V, Laurendeau I, Vieillefond A, et al. Clonal analysis of renal sporadic angiomyolipomas. Hum Pathol. 1998;29:1063-7.
13. Henske EP, Neumann HP, Scheithauer BW, et al. Loss of heterozygosity in the tuberous sclerosis (TSC2) region of chromosome band 16p13 occurs in sporadic as well as TSC-associated renal angiomyolipomas. Genes Chromosomes Cancer. 1995;13:295-8.
14. Kattar MM, Grignon DJ, Eble JN, et al. Chromosomal analysis of renal angiomyolipoma by comparative genomic hybridization: evidence for clonal origin. Hum Pathol. 1999;30:295-9.
15. Varma S, Gupta S, Talwar J, et al. Renal epithelioid angiomyolipoma: a malignant disease. J Nephrol. 2011;24:18-22.
16. Kawaguchi K, Oda Y, Nakanishi K, et al. Malignant transformation of renal angiomyolipoma: a case report. Am J Surg Pathol. 2002;26:523-9.
17. Bing Z, MacLennan GT. Renal epithelioid angiomyolipoma. J Urol. 2009;182:2468-9.
18. Yamamoto T, Ito K, Suzuki K, et al. Rapidly progressive malignant epithelioid angiomyolipoma of the kidney. J Urol. 2002;168:190-1.
19. Faddegon S, So A. Treatment of angiomyolipoma at a tertiary care centre: the decision between surgery and angioembolization. Can Urol Assoc J. 2011:1-4.
20. Hadley DA, Bryant LJ, Ruckle HC. Conservative treatment of renal angiomyolipomas in patients with tuberous sclerosis. Clin Nephrol. 2006;65:22-7.
21. Seyam RM, Bissada NK, Kattan SA, et al. Changing trends in presentation, diagnosis and management of renal angiomyolipoma: comparison of sporadic and tuberous sclerosis complex-associated forms. Urology. 2008;72:1077-82.
22. Chang Z, Zhang JM, Ying JQ, Ge YP. Characteristics and treatment strategy of hepatic angiomyolipoma: a series of 94 patients collected from four institutions. J Gastrointestin Liver Dis. 2011;20:65-9.
23. Ding GH, Liu Y, Wu MC, et al. Diagnosis and treatment of hepatic angiomyolipoma. J Surg Oncol. 2011;103:807-12.
24. Di Lorenzo G, Buonerba C, Biglietto M, et al. The therapy of kidney cancer with biomolecular drugs. Cancer Treat Rev. 2010;36(suppl 3):S16-20.
25. Hudes G, Carducci M, Tomczak P, et al. Temsirolimus, interferon alfa, or both for advanced renal-cell carcinoma. N Engl J Med. 2007;356:2271-81.
26. Wolff N, Kabbani W, Bradley T, et al. Sirolimus and temsirolimus for epithelioid angiomyolipoma. J Clin Oncol. 2010;28:e65-8.
27. Brugarolas JB, Vazquez F, Reddy A, et al. TSC2 regulates VEGF through mTOR-dependent and -independent pathways. Cancer Cell. 2003;4:147-58.
28. Wagner AJ, Malinowska-Kolodziej I, Morgan JA, et al. Clinical activity of mTOR inhibition with sirolimus in malignant perivascular epithelioid cell tumors: targeting the pathogenic activation of mTORC1 in tumors. J Clin Oncol. 2010;28:835-40.
29. Bissler JJ, McCormack FX, Young LR, et al. Sirolimus for angiomyolipoma in tuberous sclerosis complex or lymphangioleiomyomatosis. N Engl J Med. 2008; 358:140-51.
Episode 14: Multidisciplinary Care Insights Across World GU 2025
Panelists and presenters attending World GU 2025 shared their perspectives on optimizing the management of prostate, kidney, and bladder cancers.