Once thought a risk for malignancy, septated ovarian cystic tumors are actually mostly benign. A study at the University of Kentucky changes the standard of care for those patients.
ABSTRACT: Once thought a risk for malignancy, septated ovarian cystic tumors are actually mostly benign. A study at the University of Kentucky changes the standard of care for those patients.

BROOK A. SAUNDERS, MD
Certain complex ovarian tumors may be safely monitored using ultrasound without raising the risk of ovarian cancer, according to a study conducted at the University of Kentucky Markey Medical Center in Lexington. In the past, septated ovarian cystic tumors were deemed complex and the patients were sent immediately to surgery.
Brook A. Saunders, MD, and colleagues followed 29,829 women from 1987 to 2009 as part of the university's ovarian cancer screening program. Among the screened women, 1,319 had complex cystic ovarian tumors with septation. Provided there are no solid areas, or papillary projections evident on transvaginal sonography, these women do not require surgery, he said.



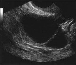
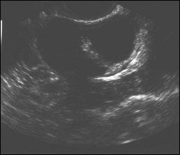
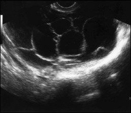
Ultrasound images of a single thin septated cyst (top); a single thick septated cyst (middle); and multiple septated cysts (bottom). Image courtesy of Edward J. Pavlik, director of research in gynecologic oncology, UK Ovarian Screening Research Program.
Dr. Saunders was a fellow at the university at the time of the study. His co-investigator was John R. van Nagell, Jr., MD, director of the division of gynecologic oncology.
"For septated cysts physicians used their clinical judgment but they could not guarantee they were benign," said Dr. Saunders, who is now a gynecologic oncologist at Knoxville Gynecologic Cancer Specialists in Knoxville, Tenn. "This study shows you still have to use your clinical judgment, but you have a much better idea these cysts are benign."
Asymptomatic women older than 50, or women 25 and older with a family history of ovarian cancer, came in for ovarian cancer screening once a year. If the ultrasound findings were abnormal the women came back for a transvaginal ultrasound in four to six weeks. If the cyst was considered simple, follow-up transvaginal ultrasound was conducted every three to six months. If the cyst was not considered simple-for instance it was septated-follow-up transvaginal ultrasound was conducted every four to six weeks.
In the 1,319 women with septated cystic ovarian tumors, 38.8% of the septated tumors resolved on their own. The researchers removed 128 septated tumors from the women but none were found to be malignant.
There were no statistical differences between the women who had tumors removed and those who did not. The only differences were the removal group had tumors greater than approximately 5 cm, and they had multiple septations, according to Dr. Saunders (2010 Society of Gynecologic Oncologists abstract 53).
"If the radiologist is seeing a septated cyst, it is more than likely a benign septated cyst as long as there are no papillary areas or solid areas," Dr. Saunders said. "If you have a good ultrasound where you can see that, you can reliably relay that information to the clinician who ordered the test."
VANTAGE POINT

SUSAN MODESITT, MD Reiterating the low risk of malignancy for postmenopausal masses
The University of Kentucky study provides strong evidence due to the large cohort and extended follow up, said Dr. Modesitt, division director of gynecologic oncology at the University of Virginia School of Medicine in Charlottesville.
"I remember when I was a medical student, or a resident, if any post-menopausal mass was detected it was felt it needed to be removed because of the risk of malignancy," she said. "However, in the intervening years, we've discovered, largely through screening programs like the one at the University of Kentucky, that many of these can be observed, and they have very low risk of malignancy."
The current study by Dr. Saunders and colleagues reinforces that finding, she said.