Melanoma of the skin is the 19th most common malignant neoplasm worldwide, with 287,723 new cases estimated for 2018 and metastatic melanoma accounting for 4% of all new cases. In recent years, the prognosis of this stage has undergone a dramatic transformation with the advent of immunotherapy and BRAF/MEK targeted therapy.
FIGURE 1: 18F-FDG PET/CT; (A) and (B)

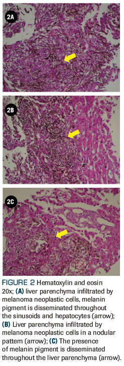
FIGURE 2

TABLE: Selected immunotherapy clinical trials for advanced melanoma

Hugo E. Velazquez, MD

Francisco J. Castro-Alonso, MD

Christianne Bourlon,MD, MS

Alejandro Gabutti, MD

Cecilia Gallegos, MD

Maria T. Bourlon, MD, MS

An 83-year-old man presented with significant weight loss, progressive abdominal distension, and discomfort. His past medical history included resection of a localized, invasive primary cutaneous malignant melanoma in the right shoulder 5 years ago.
A physical examination revealed normal vital signs, and no skin lesions were observed. The liver was palpable 8 cm below the right costal margin. He had no signs of jaundice, and no signs of encephalopathy were found. His Eastern Cooperative Oncology Group (ECOG) performance status score was 2 during evaluation and all of the workup.
Laboratory tests at presentation showed abnormal liver function parameters: aspartate aminotransferase (AST) 81.7 IU/L (normal, 13–39 IU/L); alanine aminotransferase (ALT), 83.2 IU/L (normal, 7–52 IU/L); γ-glutamyl transferase (GGT), 488 IU/L (normal, 9–64 IU/L); alkaline phosphatase (ALP), 441 IU/L (normal, 34–104 IU/L); total bilirubin (TBIL), 1.13 mg/dL (normal, 0.3–1 mg/dL); and direct bilirubin (DBIL), 0.71 mg/dL (normal, 0.03–0.18 mg/dL). Lactate dehydrogenase (LDH) was 1,125 IU/L (normal, 140–271 IU/L). No other significant abnormalities in laboratory tests were found.
An abdominal CT scan showed hepatomegaly and a diffusely infiltrated liver, with no ascites or lymphadenopathies. F-18-fluorodeoxyglucose (18F-FDG) with PET and CT (18F-FDG PET/CT) revealed an enlarged liver with very heterogeneous hypermetabolism and some areas of photopenia due to necrosis (Figure 1-A and 1-B). Additionally, a hypermetabolic nodule in the right lung and multiple nodular lesions in the spleen were noted. A complementary liver ultrasound showed multiple hyperechogenic foci due to diffuse metastatic infiltration (Figure 1-C).
The patient underwent a percutaneous liver biopsy, and the histologic examination revealed liver parenchyma infiltrated by melanoma neoplastic cells. The melanin pigment was diffusely disseminated throughout the sinusoids (Figure 2-A) but also showed a nodular pattern (Figure 2-B and 2-C). Immunohistochemistry revealed 0% expression of programmed death ligand 1 (PD-L1) in tumor cells and in tumor infiltrative lymphocytes. The tumor was negative for BRAF-V600 mutations.
What is the best therapy to start in a patient with PD-L1–negative (0%) BRAF wild-type metastatic melanoma?
A. Chemotherapy
B. BRAF/MEK inhibitors combination
C. Ipilimumab monotherapy
D. Single anti–PD-L1 agent (ie, nivolumab or pembrolizumab) or combined immunotherapy with an anti–CTLA-4 antibody (ie, nivolumab plus ipilimumab)
Correct Answer: D. Single anti–PD-L1 agent (ie, nivolumab or pembrolizumab) or combined immunotherapy with an anti–CTLA-4 antibody (ie, nivolumab plus ipilimumab)
Melanoma of the skin is the 19th most common malignant neoplasm worldwide, with 287,723 new cases estimated for 2018.[1] Metastatic melanoma accounts for 4% of all new cases.[2] In recent years, the prognosis of this stage has undergone a dramatic transformation with the advent of immunotherapy and BRAF/MEK targeted therapy.[3] Although hepatic metastases are a common event in metastatic melanoma, from 14% to 20% of clinical series and 54% to 77% of autopsy series,[4] diffuse hepatic infiltration (DHI) of the liver is an exceptional event, with only 12 cases reported in the literature.[5–15] Due to the rarity of this entity, there is not a uniform definition of DHI.
Using conventional imaging studies (CT/MRI), hepatomegaly without defined focal lesions is the usual manifestation of DHI.[16] PET/CT scans may show diffuse hepatic tracer uptake, described sometimes as “hepatic superscan,” which, although suggestive of extensive liver infiltration by malignancy, can be caused by ipilimumab-induced hepatitis or infections like tuberculosis or Q fever.[17,18] Microscopically, DHI is characterized by diffuse intrasinusoidal invasion and tumor emboli. Foci of infarction can also be present.[19] DHI is more commonly associated with hematologic malignancies, breast cancer, small-cell lung cancer, and gastric adenocarcinoma.[20] There are no specific treatment recommendations for DHI, as compared to other forms of metastatic disease. Prognosis of DHI is usually fatal, with most patients dying in the first couple of weeks after diagnosis.[20,21]
Until 2010, treatment options for metastatic melanoma were limited to chemotherapy with a dismal prognosis, with median overall survival that ranged from 7 to 11 months. Dacarbazine was considered the standard first-line treatment, as no other chemotherapy regimens, targeted therapy (bevacizumab or sorafenib), or cytokines (interleukin-2 or interferon alfa) achieved an increase in overall survival.[22]
In 2011, two phase III randomized clinical trials changed that landscape, introducing two new treatment modalities for metastatic melanoma. In patients with the BRAF-V600E mutation, the BRIM-3 trial demonstrated an improvement in overall survival with the use of vemurafenib, a BRAF inhibitor, as compared to dacarbazine in the first-line therapy setting (median, 13.6 vs 9.7 months).[23,24] The CA184-024 clinical trial showed an improvement in overall survival with the anti–cytotoxic T-lymphocyte-associated antigen-4 (CTLA-4) antibody (ipilimumab) when added to dacarbazine, vs dacarbazine alone, in previously untreated patients (median, 11.2 vs 9.1 months).[25] Further analysis of published studies demonstrated that ipilimumab monotherapy preserved its benefits with less toxicity than in combination with dacarbazine.[26] Thus, chemotherapy is no longer the standard of care in the first-line setting of metastatic melanoma.
The addition of MEK inhibitors to anti-BRAF therapies increases overall response rate, progression-free survival, and overall survival. Three BRAF inhibitors (vemurafenib, dabrafenib, and encorafenib) and three MEK inhibitors (cobimetinib, trametinib, and binimetinib) have gained US Food and Drug Administration (FDA) approval for metastatic melanoma. Their use, however, is restricted to the BRAF-V600E/K population, which accounts for approximately 50% of melanoma patients. The implementation of these therapies outside those mutations (ie, NRAS mutations) remains investigational.[27]
Anti–PD-L1 therapies revolutionized the treatment of metastatic melanoma. Two anti–PD-1 antibodies are available for the treatment of this disease: pembrolizumab and nivolumab. These therapies first demonstrated superiority to chemotherapy in terms of overall survival in the second-line setting in the phase III CheckMate 037 trial (nivolumab) and in the phase II KEYNOTE-002 study (pembrolizumab).[28,29] Nivolumab further showed superiority over chemotherapy in the first-line scenario in the phase III CheckMate 066 trial.[30] A selection of this and other practice-changing anti–PD-1-based clinical trials is shown in the Table.
Two landmark clinical trials positioned anti–PD-1 therapies over ipilimumab. The KEYNOTE-006 was a 3-arm trial that randomized patients to two different schedules of pembrolizumab 10 mg/kg every 2 weeks or every 3 weeks or to 4 doses of ipilimumab 3 mg/kg every 4 weeks. Most patients had not received treatment for advanced disease: 12% were given chemotherapy, 3% immunotherapy, and 18% BRAF/MEK inhibitors. Both pembrolizumab arms had similar outcomes and outperformed ipilimumab. Moreover, the pembrolizumab patients experienced less grade 3–5 adverse events, compared to those who received ipilimumab (13.3% and 10.1% vs 19.9%).[31,32]
CheckMate 067 was another 3-arm phase III study that randomized patients to nivolumab 3 mg/kg every 2 weeks, nivolumab 1 mg/kg plus ipilimumab 3 mg/kg every 3 weeks for 4 doses, followed by nivolumab 3 mg/kg every 2 weeks, or ipilimumab 3 mg/kg every 3 weeks for 4 doses. Compared to ipilimumab, the nivolumab monotherapy arm experienced better overall response rate, progression-free survival, and overall survival. The grade 3/4 adverse events were similar to those of pembrolizumab in the KEYNOTE-006 trial.[33–35] Taken together, the improvement in outcomes alongside the less-toxicity profile support the use of anti–PD-L1 inhibitors over CTLA-4 inhibitors, even in the PD-L1–negative population.
As there are no formal contrasts between anti–PD-1 monotherapy and anti–PD-1 plus CTLA-4 combination therapy, both are considered category 1 first-line options.[36] Treatment selection depends on therapeutic goals, tolerability of adverse events, and the patient’s age and performance status.
Regarding therapeutic goals, objective response rates were slightly better with the anti–PD-1/CTLA-4 combo than with the anti–PD-1 monotherapy; however, the onset of response was the same for both treatments, at approximately 2.8 months.[31,33] In the aforementioned CheckMate 067 trial, the combination nivolumab plus ipilimumab arm performed the best in every survival outcome, with median overall survival not reached in this arm in the last published update.[35] Those benefits came with the downside of two times the grade 3/4 adverse effects (compared to ipilimumab) and a triplication of these events (compared to nivolumab). Adverse effects led to the discontinuation of treatment in 40% of the combination group (compared to 13% in the nivolumab and 15% in the ipilimumab arms). It is worth mentioning that the trial was not designed for a formal statistical comparison between the nivolumab and nivolumab plus ipilimumab groups (being powered only to compare either of those arms vs the ipilimumab one), so interpretations of the trial should be taken with caution. The hazard ratio for progression-free survival with nivolumab plus ipilimumab vs nivolumab was 0.79 (95% CI, 0.65–0.97), and the corresponding hazard ratio for overall survival was 0.84 ( 95% CI, 0.67–1.05).[33–35]
As for the patient’s age and performance status, most checkpoint immunotherapy trials have age subgroup analysis stratified at an age cutoff of age 65 years of age; however, it appears that age 75 years of age is the tipping point when clinical responses are lost.[37] All of the published anti–PD-1-based phase III clinical trials excluded patients with performance status of ≥ 2; nevertheless, combination immunotherapy is preferred by most experts for physically fit patients expected to tolerate adverse events.[37,38]
Key Points
• DHI is a rare, but rapidly fatal presentation of metastatic melanoma.
• Anti–PD-1-based checkpoint blockade (monotherapy or in combination with anti–CTLA- 4 inhibitors) is the fi rst-line treatment option in BRAF wildtype metastatic melanoma.
• Selection of combination checkpoint blockade vs monotherapy depends on the patient’s age, performance status, therapeutic objectives, treatment costs, and tolerability of adverse events.
• PD-L1 expression in tumor cells has not been consistently validated as a predictive biomarker for treatment selection
PD-L1 expression is the cornerstone of treatment selection in non–small-cell lung cancer.[39] In metastatic melanoma, however, results have been inconclusive and many PD-L1–negative tumors respond to anti–PD-1 antibodies.[40] Despite exploratory data from CheckMate 067 that suggested the preplanned PD-L1–negative subgroup derived the greatest benefit from combination immunotherapy, a statistical test for interaction was not positive, and PD-L1 status alone is an insufficient biomarker for overall survival.[33]
With all these things considered, we chose to start pembrolizumab monotherapy in our 83-year-old patient. Combination immunotherapy was discarded due to the patient’s poor performance status and poor tolerability to adverse effects, same onset of response, and increased risk of hepatic toxicity (17.6% in the Checkmate 067 trial).[33] An argument can be made that chemotherapy would have given a more rapid response, although response rates are infrequent with that treatment (9.8%–14.5%) and we believed the patient would not withstand the chemotherapy’s adverse effects.
The patient was started on pembrolizumab monotherapy as first-line treatment. After receiving 2 cycles, his performance status (ECOG) worsened to grade 3 and liver function parameters deteriorated rapidly (AST, 496.1 IU/L; ALT, 533.6 IU/L; GGT, 988.0 IU/L; ALP, 1068.2 IU/L; TBIL, 2.15 mg/dL; DBIL 0.71 mg/dL). LDH was 1915 IU/L, while platelets and coagulation tests remained in the normal range. The patient’s clinical course continued to worsen. He went to best supportive care, and he died 3 weeks after his last dose of pembrolizumab. This case exemplifies that DHI is a rapidly fatal condition, regardless of the treatment you choose.
Financial Disclosure:Dr. Castro-Alonso received a travel grant from Bristol-Myers Squibb (BMS). Dr. M. Bourlon has been a speaker for MSD and BMS. She has also been an advisor and received a grant from BMS. The other authors have no significant financial interest in or other relationship with the manufacturer of any product or provider of any service mentioned in this article.
1. International Agency for Research on Cancer, Global Cancer Observatory. Estimated number of incident cases worldwide, both sexes, all ages, 2018. Available at: http://gco.iarc.fr/. Accessed June 17, 2019.
2. National Cancer Institute, Surveillance, Epidemiology, and End Results Program. Cancer Stat Facts – Melanoma of the Skin, 2019. Available at: https://seer.cancer.gov/statfacts/html/melan.html. Accessed June 17, 2019.
3. Luke JJ, Flaherty KT, Ribas A, Long GV. Targeted agents and immunotherapies: optimizing outcomes in melanoma. Nat Rev Clin Oncol. 2017;14:463-82.
4. Rastrelli M, Tropea S, Pigozzo J, et al. Melanoma m1: diagnosis and therapy. In Vivo. 2014;28:273-85.
5. Schlevogt B, RehkÓmper J, Hild B, Schmidt HH. Hepatobiliary and pancreatic: fulminant liver failure from diffuse leukemoid hepatic infiltration of melanoma. J Gastroenterol Hepatol. 2017;32:1795.
6. Tanaka K, Tomita H, Hisamatsu K, et al. Acute liver failure associated with diffuse hepatic infiltration of malignant melanoma of unknown primary origin. Intern Med. 2015;54:1361-4.
7. Bellolio E, Schafer F, Becker R, Villaseca MA. Fulminant hepatic failure secondary to diffuse melanoma infiltration in a patient with a breast cancer history. J Postgrad Med. 2013;59:164-6.
8. Mashayekhi S, Gharaie S, Hajhosseiny R, Patel K. A rare presentation of malignant melanoma with acute hepatic and consecutive multisystem organ failure. Int J Dermatol. 2014;53:e330-1.
9. Shan GD, Xu GQ, Chen LH, et al. Diffuse liver infiltration by melanoma of unknown primary origin: one case report and literature review. Intern Med. 2009;48:2093-6.
10. Kaplan GG, Medlicott S, Culleton B, Laupland KB. Acute hepatic failure and multi-system organ failure secondary to replacement of the liver with metastatic melanoma. BMC Cancer. 2005;5:67.
11. Rubio S, Barbero-Villares A, Reina T, et al. Rapidly-progressive liver failure secondary to melanoma infiltration. Gastroenterol Hepatol. 2005;28:619-21.
12. Pichon N, Delage-Corre M, Paraf F. Hepatic metastatic miliaria from a malignant melanoma: 2 case reports. [In French] Gastroenterol Clin Biol. 2004;28:593-5.
13. Montero JL, Muntané J, de las Heras S, et al. Acute liver failure caused by diffuse hepatic melanoma infiltration. J Hepatol. 2002;37:540-1.
14. Te HS, Schiano TD, Kahaleh M, et al. Fulminant hepatic failure secondary to malignant melanoma: case report and review of the literature. Am J Gastroenterol. 1999;94:262-6.
15. Bouloux PM, Scott RJ, Goligher JE, Kindell C. Fulminant hepatic failure secondary to diffuse liver infiltration by melanoma. J R Soc Med. 1986;79:302-3.
16. Shang SS, Furlan A, Almusa O, et al. Regional presentation of hepatic diseases: CT and MR imaging findings of differential diagnosis. Acta Radiol. 2010;51:832-41.
17. Luk WH, Au-Yeung AW, Loke TK. Imaging patterns of liver uptakes on PET scan: pearls and pitfalls. Nucl Med Rev Cent East Eur. 2013;16:75-81.
18. Muteganya R, Karfis I, Artigas C, et al. Unusual diffuse liver 18F-FDG uptake in melanoma patient treated by ipilimumab. Hell J Nucl Med. 2017;20:179-81.
19. Allison KH, Fligner CL, Parks WT. Radiographically occult, diffuse intrasinusoidal hepatic metastases from primary breast carcinomas: a clinicopathologic study of 3 autopsy cases. Arch Pathol Lab Med. 2004;128:1418-23.
20. Rowbotham D, Wendon J, Williams R. Acute liver failure secondary to hepatic infiltration: a single centre experience of 18 cases. Gut. 1998;42:576-80.
21. Rich NE, Sanders C, Hughes RS, et al. Malignant infiltration of the liver presenting as acute liver failure. Clin Gastroenterol Hepatol. 2015;13:1025-8.
22. Wilson MA, Schuchter LM. Chemotherapy for melanoma. Cancer Treat Res. 2016;167:209-29.
23. Chapman PB, Hauschild A, Robert C, et al; BRIM-3 Study Group. Improved survival with vemurafenib in melanoma with BRAF V600E mutation. N Engl J Med. 2011;364:2507-16.
24. Chapman PB, Robert C, Larkin J, et al. Vemurafenib in patients with BRAFV600 mutation-positive metastatic melanoma: final overall survival results of the randomized BRIM-3 study. Ann Oncol. 2017;28:2581-7.
25. Robert C, Thomas L, Bondarenko I, et al. Ipilimumab plus dacarbazine for previously untreated metastatic melanoma. N Engl J Med. 2011;364:2517-26.
26. Arulananda S, Blackley E, Cebon J. Review of immunotherapy in melanoma. Cancer Forum. 2018;42(1). Available at: https://www.researchgate.net/publication/325141340_Review_of_immunotherapy_in_melanoma. Accessed June 17, 2019.
27. Mackiewicz J, Mackiewicz A. BRAF and MEK inhibitors in the era of immunotherapy in melanoma patients. Contemp Oncol (Pozn). 2018;22:68-72.
28. Weber JS, D’Angelo SP, Minor D, et al. Nivolumab versus chemotherapy in patients with advanced melanoma who progressed after anti-CTLA-4 treatment (CheckMate 037): a randomised, controlled, open-label, phase 3 trial. Lancet Oncol. 2015;16:375-84.
29. Ribas A, Puzanov I, Dummer R, et al. Pembrolizumab versus investigator-choice chemotherapy for ipilimumab-refractory melanoma (KEYNOTE-002): a randomised, controlled, phase 2 trial. Lancet Oncol. 2015;16:908-18.
30. Ascierto PA, Long GV, Robert C, et al. Survival outcomes in patients with previously untreated BRAF wild-type advanced melanoma treated with nivolumab therapy: three-year follow-up of a randomized phase 3 trial. JAMA Oncol. 2018 Oct 25. [Epub ahead of print]
31. Robert C, Schachter J, Long GV, et al; KEYNOTE-006 Investigators. Pembrolizumab versus ipilimumab in advanced melanoma. N Engl J Med. 2015;372:2521-32.
32. Schachter J, Ribas A, Long GV, et al. Pembrolizumab versus ipilimumab for advanced melanoma: final overall survival results of a multicentre, randomised, open-label phase 3 study (KEYNOTE-006). Lancet. 2017;390:1853-62.
33. Larkin J, Chiarion-Sileni V, Gonzalez R, et al. Combined nivolumab and ipilimumab or monotherapy in untreated melanoma. N Engl J Med. 2015;373:23-34.
34. Wolchok JD, Chiarion-Sileni V, Gonzalez R, et al. Overall survival with combined nivolumab and ipilimumab in advanced melanoma. N Engl J Med. 2017;377:1345-56.
35. Hodi FS, Chiarion-Sileni V, Gonzalez R, et al. Nivolumab plus ipilimumab or nivolumab alone versus ipilimumab alone in advanced melanoma (CheckMate 067): 4-year outcomes of a multicentre, randomised, phase 3 trial. Lancet Oncol. 2018;19:1480-92.
36. NCCN Clinical Practice Guidelines in Oncology. Cutaneous melanoma. Version 1.2019 2019. Available at: https://www.nccn.org/professionals/physician_gls/default.aspx. Accessed June 17, 2019.
37. Poropatich K, Fontanarosa J, Samant S, et al. Cancer immunotherapies: are they as effective in the elderly? Drugs Aging. 2017;34:567-81.
38. Warner AB, Postow MA. Combination controversies: checkpoint inhibition alone or in combination for the treatment of melanoma? Oncology (Williston Park). 2018;32:228-34.
39. Sui H, Ma N, Wang Y, et al. Anti-PD-1/PD-L1 therapy for non-small-cell lung cancer: toward personalized medicine and combination strategies. J Immunol Res. 2018;2018:6984948.
40. Hogan SA, Levesque MP, Cheng PF. Melanoma immunotherapy: next-generation biomarkers. Front Oncol. 2018;8:178.
41. Long GV, et al. 4-year survival and outcomes after cessation of pembrolizumab after 2 years in patients with ipilimumab – naïve advanced melanoma in KEYNOTE-006. 2018 ASCO Annual Meeting. Oral Abstract Session. Available at: https://meetinglibrary.asco.org/record/159075/slide. Accessed June 17, 2019.

Late Hepatic Recurrence From Granulosa Cell Tumor: A Case Report
Granulosa cell tumors exhibit late recurrence and rare hepatic metastasis, emphasizing the need for lifelong surveillance in affected patients.