The technique provides a new and continuously evolving tool in oncologic imaging for lesion detection, characterization, and therapy assessment.
ABSTRACT: The technique provides a new and continuously evolving tool in oncologic imaging for lesion detection, characterization, and therapy assessment.
MRI developments over recent years have allowed researchers to explore water molecule motion between cells using diffusion-weighted imaging to indirectly measure cellular density within a tissue.
Diffusion has not yet been studied in large enough samples to provide a sound basis for the use of functional biomarkers. Within three to five years, larger studies may well validate parameters extracted by diffusion-weighted imaging (DWI), and diffusion will be used alongside RECIST to routinely assess tumor response.
Traditionally, shrinking was deemed the most definite tumor "response" post-treatment. But now, diffusion imaging measuring the apparent diffusion coefficient (ADC, representing the mm2/sec that water molecules are able to move between cells) may show that intercellular water movement changes after treatment, even if the size of the tumor does not change.

"Using DWI, future treatments can be more personalized and doctors will have more information to decide whether to continue or increase treatment," said Filipe Caseiro-Alves, MD, PhD, head of the imaging department at the University of Coimbra, Portugal, and chair of a special focus session on DWI of the abdomen at the 2010 European Congress of Radiology meeting in Vienna.
Being able to systematically solve problems using diffusion is related to repeatability and standardization of the technique. "Not all vendors approach MRI sequences in the same way, and the results obtained on one machine may be very different on another. A [Siemens Medical Solutions] machine, for example, may not yield the same ADC results as a [GE Healthcare] machine," Dr. Caseiro-Alves said.


Figure 1 - Follow-up MRI study of cirrhotic patient with previous right hepatectomy for hepatocellular carcinoma. Left: Arterial-phase image does not clearly depict tumor in left liver lobe. Right: Two small recurrent hepatocellular carcinoma foci are evident on fused T1/diffusion-weighted image. Images courtesy of Dr. Caseiro-Alves.
An ADC value measurement of 1.0 × 10-3 mm2/sec might indicate metastasis on one machine but mean something different on another machine, making direct extrapolations hard. For standardization to occur, hardware needs to produce identical measurements. Science meanwhile needs to come up with values that signify likelihood of malignancy or benign tissue.
"Without machines yielding the same results, studies cannot be transposable to develop standard measurements. There need to be internal standards for equipment, while radiologists should work to agree on values and protocols through larger clinical studies," he said.
Some standardization has been achieved. In benign lesions, water movement is freer, but in malignant lesions it is more impeded. Therefore, at extreme values it is possible to differentiate between benign and malignant tissue. For example, 0.9 or 1.0 × 10-3 mm2/sec would indicate a greater likelihood of malignancy and 2.5 × 10-3 mm2/sec would favor benign tissue. However, in the middle, there lies a gray area where measurements are indeterminate and liable to vary depending on the type of scanner and the way in which a sequence is obtained.
Moreover, false positives may occur due to lesions appearing to have restricted diffusion in the case of fibrotic benign tumors. Another problem relates to liver patients with hemochromatosis because iron changes the signal received, leading to different visual impressions, and thus interfering with interpretation.
"Because it is not 100% specific, DWI should be interpreted in conjunction with other information from other techniques such as T2-weighted images and contrast enhancement, as well as morphological imaging," he said (see Figure 1).
Current problems in DWI technology, such as low signal-to-noise ratio (SNR) and limited spatial resolution, are likely to be overcome in part through the more widespread use of higher magnetic field strengths, such as 3-tesla, Dr. Caseiro-Alves added.

A technique with 'very little penalty'
"The technique can be unforgiving," warned Dow-Mu Koh, MBBS, consultant radiologist in functional imaging at the Royal Marsden NHS Foundation Trust in Sutton, UK. "If the scan factors are not optimal, image quality will be poor. There is a danger that doctors will rush to do these new techniques but then not do them well." Because the technique is relatively new, Dr. Koh's presentation was practical, outlining the broader principles of DWI and how protocols can be optimized to get consistently high-quality images for diagnostic purposes.




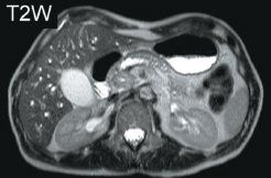
Figure 2 - Adenocarcinoma of head of pancreas. Comparative T2-weighted and diffusion-weighted imaging including fusion imaging and ADC map. Images courtesy of Dr. Matos.
"As far as I can see, it is a technique with very little penalty: No contrast is needed and it is quick and radiation-free. DWI now has a variety of clinical applications, including whole-body imaging, which is being widely investigated," Dr. Koh said.
A useful tool in the pancreas
In pancreatic imaging, DWI is more sensitive for detection of pancreatic lesions than conventional MRI (see Figure 2). If DWI reveals no unusual pathology, it can be confidently stated that the examination is normal, but with conventional imaging this is not always the case, according to Celso Matos, MD, an associate professor and head of the MRI division at Erasme Hospital at the Free University of Brussels.
DWI may be used as a baseline reference in follow-up studies of patients who are not surgical candidates. Or, if a lesion is not visualized with conventional MRI, DWI can be used to detect any possible lesion present. In a study at Erasme Hospital involving 209 patients presenting with the full range of pancreatic disease, including cancer and inflammatory disease, adding DWI to conventional MRI increased the sensitivity and negative predictive value of MRI.
CT is still considered the first-line modality to image the pancreas. However, MRI is more appropriate for follow-up studies, particularly in younger patients, for whom contrast and radiation from conventional techniques could be an issue; and it is also better able to detect some lesions, Dr. Matos said. He describes MRI as a useful tool in suspected cases of neuroendocrine lesions in the pancreas, and also for detection of malignant transformations in cystic tumors.
"If a patient is suspected of having a pancreatic cancer and MRI is scheduled, then the scan should also include DWI. In chronic pancreatitis, where there is increased likelihood of developing cancer, DWI should also be included," he said.
However, in positive examinations, it can be difficult to differentiate the pathology visualized in DWI from cancer or pancreatitis. To increase specificity, DWI of the pancreas should always be part of a comprehensive study that includes conventional T2-weighted, MR cholangiopancreatography, and contrast-enhanced T1-weighted sequences, Dr. Matos said. He underlined the need for more validation. "We don't know if we are measuring cancer cell death through fibrosis or necrosis. We need to validate DWI techniques by comparing results with histopathology," Dr. Matos said.
This article originally appeared in ECR Today, the ECR 2010 newspaper.
Prolaris in Practice: Guiding ADT Benefits, Clinical Application, and Expert Insights From ACRO 2025
April 15th 2025Steven E. Finkelstein, MD, DABR, FACRO discuses how Prolaris distinguishes itself from other genomic biomarker platforms by providing uniquely actionable clinical information that quantifies the absolute benefit of androgen deprivation therapy when added to radiation therapy, offering clinicians a more precise tool for personalizing prostate cancer treatment strategies.