Key points: Patients with disorders of sex development (DSDs) are at an increased risk of malignant germ cell tumors (GCTs). In adulthood, the partial form of androgen insensitivity syndrome confers the greatest risk of developing malignant GCTs. Gonadoblastoma is the most common gonadal GCT arising in patients with DSDs. Despite being a benign neoplasm, it can undergo malignant transformation in up to 60% of patients with a DSD. Oncologic treatment in patients with disorders of sex development and malignant GCTs does not differ from the standard treatment for testicular GCTs. Treatment of patients with DSDs requires a multidisciplinary team, including a psychiatric, genetic, and reproductive assessment as well as the involvement of an ethics committee. An early diagnosis of DSDs is crucial to avoid the development of potentially serious complications in adulthood.
Araujo-Meléndez is a medical oncology fellow at Instituto Nacional de Ciencias Médicas y Nutrición Salvador

Verduzco-Aguirre is a urologic oncology fellow at Instituto Nacional de Ciencias Médicas y Nutrición Salvador Zubirán.

Morales Genetics Department at Instituto Nacional de Ciencias Médicas y Nutrición Salvador Zubirán

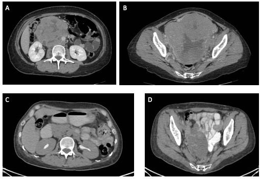
A woman aged 44 years presented at the general oncology outpatient clinic with bloating, abdominal pain, and significant unintended weight loss. Her past medical history included a bilateral inguinal hernia surgical repair at age 6, and primary amenorrhea since age 15. The patient never underwent additional studies to identify the cause of the primary amenorrhea. She resided in a community of low socioeconomic status and completed middle school education. On physical examination, she was phenotypically female, with Tanner stage III-IV breast development and female genitalia with Tanner stage II pubic hair development. A palpable ~10-cm abdominal mass was also found. Complete blood cell count and biochemistry profiles were requested and reported mild normocytic normochromic anemia, without other relevant findings. A CT scan revealed a 10 x 9 cm retroperitoneal tumor, with involvement of the aorta and inferior vena cava; a 16 x 16 cm pelvic tumor in close contact with the common, external, and internal iliac vessels; and absence of uterus and ovaries. There was no evidence of metastatic disease outside the abdomen (Figure 1A/B).
Tumor markers were requested and revealed lactate dehydrogenase (LDH) 712 (normal range [NR], 140-271 U/L) , alpha fetoprotein (AFP) 9.8 (NR, 0-9.0) ng/mL, and beta subunit of human chorionic gonadotrophin (hCG) 158 (NR, 0.5-2.9 mIU/mL). Hormonal profile was requested as well, and revealed follicle stimulating hormone 43.2 (NR for postmenopausal women 16.7-113.5 mUI/mL), luteinizing hormone 44.4 (NR for postmenopausal women 10.8-58.6 mUI/mL), testosterone 2.17 (NR, 0.1-0.75 ng/mL), and dehydroepiandrosterone sulfate 191 (NR, 35-430 mcg/dL). An ultrasound-guided core needle biopsy of the pelvic tumor was obtained and histopathological analysis reported a seminomatous germ cell tumor (GCT) (Figure 2). A G-banding karyotype was performed and reported as 46,XY (Figure 3).
Salama is an adjunct assistant professor of obstetrics & gynecology (OBGYN); American Oncofertility Consortium; Feinberg School of Medicine; Northwestern University, Chicago, IL, USA.

Bourlon is an associate professor, Head Urologic Oncology Clinic, National Researcher. Instituto Nacional de Ciencias Médicas y Nutrición Salvador Zubirán. Mexico City, Mexico. She is also a Member of ASCO’s IDEA Working Group.

A. Malignant ovarian GCT
B. Good-risk seminoma in a patient with a complete androgen insensitivity syndrome
C. Gonadal dysgenesis with a good-risk nongerminomatous tumor
D. Sex chromosome disorder of sex development
Figure 1: Retroperitoneal (A) and pelvic tumor (B) at diagnosis. Partial response of both tumors after 3 cycles of BEP (C, D).

Figure 2: Initial core needle biopsy of the pelvic tumor. A) seminomatous germ cell tumor (hematoxylin and eosin, 400x), B) nuclear expression for OCT3/4 (400x)

Introduction:
Disorders of sex development (DSDs) are congenital conditions in which development of the chromosomal, gonadal, or anatomic sex is atypical. DSDs may affect approximately up to 1 in 4500 individuals.1
DSDs include a wide spectrum of presentations including normally virilized males or undervirilized males, patients with ambiguous genitalia, and normal phenotypic females.2 There are 3 main groups of DSDs based on karyotype: 46,XY DSD, 46,XX DSD, and sex chromosome DSD, according to the classification and new nomenclatures proposed by the Chicago consensus (Table 1).3 Each main group further contains genetic diseases, hormonal disorders, and/or syndromic forms.
GCTs are relatively rare in the general population, with an estimated incidence of testicular cancer in 5.9 per 100,000 men per year4 and of ovarian GCTsin 1.9 to 9.8 per 1 million women per year.5 However, children and adults with a DSD have increased risk for a gonadal GCT, especially gonadoblastoma and germ cell neoplasia in situ.6 Gonadoblastoma is a benign neoplasm that exclusively occurs in dysgenetic gonads of children and young adults. Transformation of gonadoblastoma to malignant GCTs is reported in up to 60% of patients with DSDs. Most case series have small numbers of patients and describe pure seminoma as the predominant malignant histology.7,8 The precursor lesion of seminoma frequently is a carcinoma in situ (also called germ cell neoplasia in situ), which is characterized by positivity of OCT3/4, placenta-like alkaline phosphatase, and cKIT. Most testicular GCTs that are derived from germ cell neoplasia in situ also possess the isochromosome 12p.9
Cryptorchidism is defined as the absence of 1 or both testes from the scrotum. It is the most common congenital genitourinary abnormality occurring in male patients and occurs unilaterally in about 6% of all newborn male infants. Nevertheless, in ~80% of cases, cryptorchid testes with abdominal (retroperitoneal) positions descend through the inguinal canal into the scrotum during the first year after birth.10 Undescended testis is a well-known risk factor for testicular cancer both in patients with and without DSDs. An ectopic position of the dysgenetic testis adds to this risk.
Figure 3: 46,XY karyotype.

To estimate the prevalence of GCTs in patients with DSDs, patients are divided into 3 major groups based on the underlying pathophysiological mechanism in each: hypervirilization syndromes, gonadal dysgenesis, and undervirilization syndromes.
Hypervirilization syndromes include 46,XX individuals who have been exposed to androgens of both endogenous and exogenous origin. These patients are not at risk for the development of GCTs.11 Gonadal dysgenesis (GD) is defined as an incomplete or defective formation of the gonads, which confers the risk of GCT development. In contrast to those of patients with undervirilization syndromes, GCTs in patients with GD are frequently found at a very young age or may even be present at birth.12,13
Undervirilization syndromes are caused by defects in androgen biosynthesis or in androgen action on androgen-dependent target tissues, resulting in an ambiguous or female phenotype in a patient with a 46,XY karyotype.
Androgen insensitivity syndrome (AIS) is an undervirilization syndrome caused by defects in androgen action on androgen-dependent target tissues. AIS is subclassified into 3 clinical entities14: complete AIS (CAIS), partial AIS (PAIS), and mild AIS (MAIS).
Figure 4. Postchemotherapy bilateral orchiectomy. The pelvic tumor (A) corresponded to the right prepuberal testis with xanthogranulomatous necrosis, consistent with a complete pathological response (B). The left gonad (C) corresponded to an atrophic prepuberal testis (D).

Patients with CAIS present usually as females; they can be diagnosed as infants, adolescents, and young adults. Commonly, patients with CAIS present as females with primary amenorrhea shortly after puberty, or with an incidental finding of undescended testes during inguinal hernia repair before puberty. The physical examination usually reveals a female phenotype, which is a mismatch from the results of karyotyping (46,XY). Gynecological examination usually reveals a false blind-ending vagina with no uterus or ovaries. Undescended testes are usually found in the abdomen (retroperitoneal) or in the pelvis (inguinal canal).
Patients with PAIS have varied phenotypes due to varying levels of residual androgen receptor function. Different clinical forms of PAIS range from severe undermasculinization with female genitalia to gynecomastia or infertility in a patient with male genitalia. The physical examination of the external genitalia may reveal hypospadias, bifid scrotum, and micropenis.
Patients with MAIS usually have normal male phenotype and isolated micropenis. Later in adulthood, MAIS may be associated with gynecomastia and infertility.
AIS is associated with the greatest risk of development of GCTs, particularly PAIS with a reported prevalence of 15%. The GCT risk is markedly increased after puberty and reaches 33% by age 50 years.6 The principal difference in the risk level between PAIS and CAIS is explained by the rapid and total loss of germ cells in CAIS, starting at age 1 year, whereas in PAIS, patients maintain their germ cell population at about two-thirds of the normal number at puberty.15,16The estimated GCT prevalence in patients with DSDs and different types of precursor lesions are summarized in Table 2. Other causes of undervirilization, such as 17β-hydroxysteroid dehydrogenase deficiency, 5α-reductase deficiency, and Leydig cell hypoplasia, do not appear to confer significant risk but the patient populations of studies have been too small to draw definitive conclusions.
Option B (good-risk seminoma in a patient with CAIS): Our patient presented as an adult female whose history included inguinal hernia surgical repair before puberty and primary amenorrhea that had not been investigated since puberty. The patient suffered from bloating, abdominal pain, and significant unintended weight loss as well as a palpable abdominal mass on physical examination. The patient’s female phenotype mismatched the results of karyotyping (46,XY). CT scan revealed a 10 x 9 cm retroperitoneal tumor and a 16 x 16 cm pelvic tumor (undescended testes), in addition to absent uterus and ovaries. In our case, the clinical picture in addition to karyotyping results (46,XY), CT findings, the elevated testosterone, the elevated tumor markers (LDH, AFP, hCG), as well as the histopathological analysis of the pelvic tumor biopsy altogether confirm a germinomatous GCT (seminoma) in a patient with a CAIS. Therefore, option B is the correct answer.
Option A (malignant ovarian GCT): The diagnostic approach of a malignant GCT in patients with a DSD includes laboratory and imaging, similar to patients without a DSD. In our patient, the CT scan reported absence of female internal genitalia (uterus and ovaries). Therefore, option A is not a correct answer.
Option C (gonadal dysgenesis with a good-risk nongerminomatous tumor):The patient did not have complete information on the hernia repair surgery she underwent at age 6, so the pelvic tumor could correspond either to an ectopic gonad or a markedly enlarged iliac lymphadenopathy. Useful serum tumor markers for diagnosis and classification of GCTs include LDH, AFP, and hCG. Most seminomatous and germinomatous tumors do not produce tumor markers, but modest elevations of hCG can occur in a small proportion of cases due to the presence of syncytiotrophoblastic giant cells.17 An elevation of AFP is always compatible with a nonseminomatous GCT component, even if this component cannot be identified histologically.18 Pathology and tumor markers were not compatible with a nongerminomatous GCT in our patient. Therefore, option C is not a correct answer.
Option D (sex chromosome DSD): Sex chromosome DSDs are conditions in which there is atypical arrangement of the sex chromosomes: eg, Turner syndrome (also known as 45,X DSD) and Klinefelter syndrome (also known as 47,XXY DSD). About 3% to 39% of patients with Turner Syndrome and a 45,X karyotype may harbor Y chromosomal material. The results of a full genotype evaluation determine the risk of malignancy and the need for prophylactic gonadectomy. Patients with Klinefelter syndrome typically have testicular atrophy, but the results of several studies have indicated that they are not at a higher risk for testicular GCT. However, men with Klinefelter syndrome may be at substantially elevated risk for non-Hodgkin lymphoma, breast cancer, and lung cancer, although the exact mechanisms remain unclear.6 Our patient has a normal karyotype, 46,XY. Therefore, option D is not a correct answer.
Oncologic treatment in patients with DSDs and malignant GCTs does not differ from what is established by the international guidelines for treating any other malignant GCTs, but it has been associated with worse outcomes mainly due to frequently delayed diagnoses in these patients.19 The appropriate management of DSDs recommends gonadectomy in all patients at a higher risk of GCTs (patients with Y-chromosomal material and/or intraabdominal gonads) at the time of diagnosis due to the significant risk of malignancy. Patients with CAIS are classified as a lower-risk group, with later onset of tumors, so they may have gonadectomy deferred until puberty to allow beneficial effects of hormonal secretion to occur.
Managing patients who have DSDs is enormously challenging. A multidisciplinary team—including not only cancer care physicians, but also endocrinology, genetics, and mental health professionals—is very important to achieve the best possible outcomes for this population. For our patient, early involvement of a geneticist and endocrinologist allowed the diagnosis of CAIS, as well as a seminomatous/germinomatous GCT; the correct diagnosis (option B) was made before establishing an oncologic management plan. Importantly, many patients (especially those with a 46,XY DSD) present an ethical dilemma, because there can be a the conflict between the fundamental right of any patient for physical integrity and self-determination and the medical benefit of gonadectomy. Currently, no straightforward recommendations exist for this ethical dilemma; therefore, the management of such cases must always be agreed upon by the members of an ethics committee.20
Primary care physicians should be aware of DSDs as a possibility in the diagnostic approach of several complaints in the pediatric and adolescent population. In our patient, 2 particular events should have prompted an early referral to more specialized care: the surgical repair of a bilateral inguinal hernia at age 6, which perhaps could have been a manifestation of undescended gonads; and the diagnosis of primary amenorrhea at age 15. A timely evaluation and chromosomal analysis by a geneticist and an endocrinologist could have resulted in the determination of a DSD much earlier in the patient’s life, and an early gonadectomy could have prevented the development of a malignant tumor. However, sociocultural barriers, such as a low education level or lack of access to high-quality health care, may contribute to a delay in a DSD diagnosis, as was the case for this patient. The importance of early DSD diagnosis cannot be overstated.
The patient received 3 cycles of combination chemotherapy with bleomycin, etoposide and cisplatin. Tumor markers normalized and a PET/CT scan showed partial response (–34% reduction in size) by RECIST criteria (Figure 4A/B). The patient underwent a laparotomy for resection of the pelvic tumor and retroperitoneal lymphadenectomy. The pelvic tumor corresponded to a prepuberal necrotic testis (Figure 5A/B).Whilethe retroperitoneal tumor could not be completely resected, pathology results showed xanthogranulomatous necrosis and no evidence of malignant cells in either the pelvic tumor or the partially resected retroperitoneal tumor, consistent with a complete pathological response. The contralateral gonad was also resected, corresponding to atrophic prepuberal testis (Figure 5C/D). The patient received external beam radiotherapy (36 Gy) to the remaining retroperitoneal lesion, with further reduction in the size of the lesion. The patient is alive and well, without clinical evidence of disease, 8 months after the surgery. Since the patient had a residual mass after completion of radiotherapy, in her first year of follow-up she has undergone tumor marker testing and CT imaging every 2 months, without any evidence of recurrence.
References

Late Hepatic Recurrence From Granulosa Cell Tumor: A Case Report
Granulosa cell tumors exhibit late recurrence and rare hepatic metastasis, emphasizing the need for lifelong surveillance in affected patients.