The case of a 64-year-old white woman with hepatitis C virus infection-related well-compensated cirrhosis with hepatocellular carcinoma recuurence.
Dr. Gabutti earned his medical degree in 2012 at the National University of Mexico (UNAM) and completed a radiology residency in 2015 and Interventional Radiology fellowship in 2018 at the National Institute of Medical Sciences Salvador Zubiran in Mexico City. He will complete his Interventional Oncology internship at the National Cancer Institute (Istituto Nazionale dei Tumori) in Milan Italy later this year. Alejandro's expertise relays mainly on liver interventional procedures in the oncology field and portal hypertension. Other than Millan, he has previous study experiences in countries like USA, Switzerland and Italy.

Dr. Bhoori was born a Parsee Zoroastrian in India in 1973. Italy adopted her and her Family and Milan is where she was trained and achieved her medical degree in 1996 and her speciality in Gastroenterology and Hepatology in 2004. After having won several scholarships, she soon became active member of professor Vincenzo Mazzaferro’s staff, training and specializing in hepatocellular carcinoma in all stages, liver transplantation and its management. Dr Bhoori is co-investigator of several trials focusing on primary liver cancer and enjoys educational activity at all levels.

Dr. Cascella earned his degree in medicine and surgery at Pavia's University in 2007, and completed a fellowship at San Matteo Hospital in Pavia in 2012. He then moved to Milan at National Cancer Institute and continued his activity focusing on embolotherapy as chemoembolization with drug eluting beads and yttrium radioembolization. Since 2014 he is permanent staff radiologist and referent for kidney and liver interventions.

Dr. Bongini was born in Milan in 1980. He got his medical degree by the University of Milan in 2005. Thereafter he finished his general surgery training in 2010 and in 2015 his master on liver transplant both by the University of Milan. Marco has been working in the National Institute of Cancer in Milan since 2010. His expertise mainly relies on surgery and liver transplantation as treatments for hepatocelular carcinoma. Dr. Bongini is an active researcher with several publications in the Hepatology-onoclogical field.

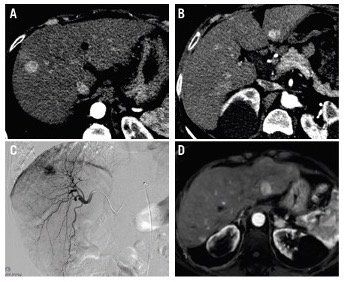
Figure 1. Arterial phase CT scan shows 2 nodules located in segment 8 and 2, the biggest one with a 13-mm diameter. (A & B). Right hepatic lobe DSA depicts the hypervascular tumor and DEB-TACE was performed in a super-selective way. (C) In the 42 months post OLT, MRI showed (T1+Gd FatSat arterial phase) multiple hypervascular hepatic nodules (arrows) and a left adrenal metastasis (arrowhead) were documented. (D)

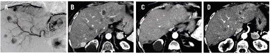
Figure 2 Liver DSA. Multiple hypervascular bilobar nodules are visualized. Post surgical hepatic artery loop (arrow). (A) Arterial phase CT scan after left lobe DEB-TACE shows hypodense residual tumors (arrows) with no enhancement. A viable right lobe lesion (arrowhead) and left adrenal metastasis (*) are noticed. (B) Follow up CT scan after right lobe DEB-TACE and sorafenib therapy onset. Right lobe HCC nodule shows complete response (arrow). Adrenal metastasis diameter remained unmodified with slightly decreased enhancement (*). Mild dilation of left bile ducts is present, probably due to post TACE ischemia (arrow). (C) and (D)

Table 1. Different selection criteria for liver transplantation.

• Recurrent HCC after OLT management is challenging and
notoriously difficult.
• High oncologic-risk patient identification and close follow-up
are essential.
• Recurrences diagnosed within the first 2 years after OLT can be
classified as early-onset and are associated with poor prognosis.
• Surgical resection should be the first curative attempt when it is
technically feasible.
• TACE in patients who have undergone OLT appears to be
effective and safe.
• Sorafenib can be used as systemic
therapy in cases with multi-organ
recurrence; newer therapies are
emerging.
• The benefit of immunosuppression
with an mTOR inhibitor has not
been established.
• In the posttransplant setting, a
combination treatment approach is
warranted.
A 64-year-old white woman with hepatitis C virus (HCV) infection-related well-compensated cirrhosis (Child-Pugh score, B7; Model for End-stage Liver Disease, 12 points) was diagnosed with hepatocellular carcinoma (HCC) within the Milan criteria (bilobar disease, 2 nodules, largest diameter of 13 mm) (Figure 1). The patient’s performance status was optimal, without ascites and no associated diseases. She was cataloged as stage A according to the Barcelona Clinic Liver Cancer staging system and received an orthotopic liver transplant (OLT).
Serum alpha-fetoprotein (AFP) level at diagnosis was 16.6 IU/mL (19.6 ng/mL). The patient received 2 cycles of doxirubicin-loaded drug-eluting beads transarterial chemioembolization (DEB-TACE) with 75 to 150 micron particles as bridging therapy. The right lobe was initially treated followed by a second session in the left lobe. Both sessions were performed within a 3-month period. A computed tomography (CT) scan after the first procedure showed a complete tumor response (with modified response evaluation criteria in solid tumors [mRECIST] criteria) while a radiologic evaluation after the second session was not possible as the patient was transplanted less than a month after the procedure. No surgical or medical complications were reported and the patient recovered satisfactorily and was discharged on day 12 post surgery.
Explant liver histology revealed a significant underestimate of radiologic staging with multiple (27) HCC nodules ranging from 1 to 3.3 cm in size, all of which were grade 2. The portal margin was tumor-free with no metastatic lymph nodes and no microvascular invasion. Nodules showed complete or partial necrosis associated with previous embolization.
During the first 38 months after OLT, AFP levels remained within the normal range and no imaging evidence of HCC recurrence was documented on multiphasic CT scans. The patient also received HCV infection treatment 2 months after transplantation with sofosbuvir plus ribavirin and achieving a sustained virologic response.
In a follow-up ultrasound, an ill-defined 1.2-cm pseudonodule was found with no other morphologic or hemodynamic abnormalities. A follow-up magnetic resonance imaging scan in 4 months showed bilobar multiple HCC nodules and a 3-cm left adrenal metastasis. Serum AFP level increased to 43.2 IU/mL (51.1 ng/mL). A CT scan of the thorax and bone scintigraphy were negative for lung or bone metastases. The patient’s Eastern Cooperative Oncology Group performance status was 0.
What is the best treatment option for recurrent HCC in this case?
A. Systemic treatment
B. Locoregional therapy
C. Immunosuppression modulation (wean calcineurin inhibitor [CNI] and add mammalian target of rapamycin [mTOR] ihibitor)
D. All of the Above
Correct Answer: D. All of the Above
OLT is the best curative treatment for HCC1 within the Milan criteria as it achieves complete tumor excision and resolution of the underlying pro-oncogenic cirrhosis.2 Patients transplanted based on the Milan criteria have a posttransplant survival time similar to that of those transplanted for non-oncologic reasons.3
In patients within the Milan criteria, bridging therapies such as TACE or ablation are advisable. As bridging treatments, their main goal is to prevent transplant list drop-off, especially when a waiting time greater than 3 months is expected.4
Other more permissive criteria have also been developed because the Milan criteria can be considered too restrictive (Table).1 In patients outside conventional criteria, a good response to TACE (downstaging treatment) has been associated with a posttransplant survival time comparable to that of patients within the criteria.1,5 This effect is likely because responding tumors have a less aggressive biology.6
Even with a liver transplant, in candidates who strictly fit imaging criteria, up to 60% are incorrectly staged when explants are histologically analyzed.7 Unfortunately, a worrisome high rate (upwards of 30% and 50%) of radiologic/pathologic discrepancies, both overstaging and understaging, have been reported in the literature.8,9
The first case of recurrent HCC after transplant was reported in 199510; thereafter, several prevention strategies were. These strategies rely on the identification of risk factors for recurrent HCC and can be divided into 2 main groups. Pretransplant factors (not considering donor- and graft-related risk factors) include tumor burden, AFP values, and composite inflammatory markers (such as a neutrophil-to-lymphocyte ratio >5).11 Posttransplant risk factors include mostly tumor characteristics at explant pathology: poorly differentiated tumors, vascular invasion, tumor burden, and satellite lesions.12-14 Recently, gene signatures are also being highly considered as predictive factors of recurrence.15
Overall, there are no well-established surveillance protocols; however, follow-up at close intervals in the first 2 to 3 years is a widely accepted practice and it should not be abandoned after the first few years. Several scores (eg, Risk Estimation of Tumor Recurrence After Transplant score) can help in stratifying the risk of recurrence and designing a personalized follow-up program for each patient.16
Despite all the well-known risk factors, the HCC recurrence rate ranges from 10% to 20%, with a median time to recurrence of 14 months after transplant and a post recurrence median survival of 12.2 months.17-19 Seventy percent of recurrence cases are diagnosed within the first 2 years of follow-up and most (72.9%) of these are extrahepatic.20
Recurrent HCC should be categorized as early or late-onset (ie, within or after 2 years from transplantation), as this is considered the most important factor for long-term survival.21 Early recurrence carries a poor prognosis and is probably the result of pre-existing or undetected tumoral cells at transplantation.22,23 Conversely, late recurrence is associated with a better prognosis.19 Late engrafting of HCC cells that remained latent is a possible explanation for this phenomena.24,25 Some investigators suggest that neo-oncogenesis could be responsible for late hepatic recurrences, especially in patients with untreated viral infections and recurrent cirrhosis.18 However, with current antiviral therapies this is a less likely scenario. Aside from an early recurrence, the most significant adverse factors for survival are not being amenable to curative-intent treatments and an AFP level greater than 100 ng/mL at the time of recurrence.19
In our patient, both hepatic and adrenal recurrences were late onset and diagnosed simultaneously. This synchronism can be explained by the theory previously exposed of late-engrafting tumoral cells. The circulating clones may find the liver’s environment more favorable to engraft in than extrahepatic ones. This tropism can explain the predominant hepatic disease. However, an alternative hypothesis is that the adrenal recurrence was consequence of an undetected pretransplant metastasis with subsequent liver involvement. Nevertheless, an earlier diagnosis of recurrence would favor this hypothesis.
Once a diagnosis is established, a therapeutic decision should be made. Extrapolation of the data from case series and trials of non-transplanted patients with HCC frequently cannot be applied to this particular population largely due to the presence of immunosuppression and several comorbidities. This is the main reason why transplanted patients are an orphan population for clinical trials investigating mainly systemic treatments.
Currently, there are no established consensus guidelines addressing the management of HCC recurrence after OLT. Therapeutic decisions should involve a multidisciplinary team.
Treatment options can be divided into 3 groups: (1) potentially curative interventions (surgery/ablation); (2) locoregional treatments (especially transarterial); and (3) systemic therapies. Each one is not mutually exclusive, and most of the time, a combination of all 3 may be employed depending on the clinical scenario.
Resection of recurrent HCC should be considered the first-line approach. It provides the longest median survival (42 ± 24.45 months) compared with other treatment modalities, and it is suitable in patients with isolated hepatic or extrahepatic metastases.18,24-26 However, its good outcome is probably due to selection bias influenced by the fact that ideal candidates have a good performance status, optimal liver function, and a favorable location for resection.18
Surgical morbidity and mortality does not appear to be increased in post OLT patients.18 Technical factors, such as the presence of peritoneal adhesions in patients with multiple previous abdominal surgeries, should always be taken into account. Unfortunately, only 10% to 30% of patients with recurrent HCC can be treated with resection or ablation.13,19 Radiofrequency ablation is a curative-intent therapy, especially for single hepatic recurrences. Indeed, it can be used as an alternative to surgery in patients with an increased surgical risk.
TACE has been reported as a first-line treatment for HCC recurrence by several investigators, with a median survival of 11.2 ± 8.81 months.18,27-29 Multinodular disease and an unfavorable location for resection/ablation are the 2 key factors to be considered when selecting patients as TACE candidates.
Regarding the different embolization techniques, there are no comparative studies that provide information on superiority, with conventional TACE the most common technique. However, technical difficulties may be present because of postsurgical arterial anatomic changes due to stenosis, loops, or kinks.30 Concerns about symptomatic biliary ischemia secondary to poor arterial collaterality may be present, especially with lobar embolizations. In spite of this, higher complication rates have not been reported in transplanted patients.18 Other vascular procedures, such as selective internal radioembolization therapy with yttrium-90, have been reported in the literature with favorable results.30,31
HCC is a chemotherapy-resistant tumor. In 2008, sorafenib was approved as a first-line treatment for advanced stage HCC.32 The effectiveness of this tyrosine kinase inhibitor in HCC recurrence after OLT has not been tested in randomized clinical trials. Only case series have reported the use of this drug as a first-line therapy and regorafenib as a second-line therapy.33,34
A study from Italy reported better outcomes in patients with recurrent HCC after liver transplantation given sorafenib than in those given best supportive care (median patient survival from recurrence: 21.3 months vs 11.8 months; hazard ratio, 5.2; ç = .0009).33 Similar results have been published, with stable disease the most frequent response obtained.18 Nevertheless, some data suggest an increased intolerance to sorafenib, especially in combination with mTOR inhibitors, leading to dose reduction or discontinuation.35-37
The recent introductions of other tyrosine kinase inhibitors (lenvatinib in the first line and cabozantinib in the second and third line) and monoclonal antibodies (ramucirumab in the second line) into the therapeutic armamentaria will likely be adopted soon in the transplant setting (excluded in registration trials) in real life series, as previously done for sorafenib and regorafenib.
On the other hand, several safety issues still significantly impede the use of immunotherapy (atezolizumab plus bevacizumab in the first line) in patients who have undergone transplants, even when promising preliminary results from the IMbrave150 clinical trial have been announced (ClinicalTrials.gov identifier: NCT03434379). This is because of the unpredictable risk of graft rejection once the immune system is reactivated.
Immunosuppression is believed to significantly contribute to HCC recurrence in transplant recipients.13,38 Therefore, it is highly recommended to gradually wean patients off immunosuppression39,40 to improve the immune system’s ability to detect and eliminate HCC cells while maintaining enough immunosuppression to minimize the risk of graft rejection.
In patients with HCC recurrence, it has been proposed to switch the immunosuppression regimen to mTOR inhibitors.18,21,41 This is because sirolimus has shown a potential antineoplastic effect on HCC cells in vitro and in vivo.42,43 Clinically, the use of sirolimus as a prevention strategy for HCC recurrence in transplanted patients was explored by the SiLVER study. This phase III randomized clinical trial compared sirolimus-containing versus mTOR inhibitor-free immunosuppression in patients who underwent liver transplantation for HCC. The results did not suggest any significant differences in overall recurrence rate or survival in the five years after OLT, surprisingly even in high-risk patients.44 An initial concern about mTOR inhibitor safety was present because phase II trials prompted a black box warning regarding an increased incidence of hepatic artery early thrombosis post OLT,42 but this was not confirmed in further studies.41,45
Our patient can be categorized as having a late recurrence of HCC. She was approached with a combination of locoregional treatments (as she presented with predominantly unresectable liver disease) and systemic treatment because of extrahepatic spread. Two cycles of lobar doxorubicin-loaded DEB-TACE were performed within a 2-month interval; the super-selective left TACE was technically challenging because of a postsurgical loop in the hepatic artery, making microcatheter navigation difficult (Figure 2). A complete response (per mRECIST criteria) in all liver nodules was achieved. Sorafenib was started (and reduce to 400 mg daily because of adverse events) and the last follow-up CT scan (6 months after recurrence) showed stable adrenal disease and no further sites of recurrence. At 4 years and 4 months following OLT, the patient’s performance status and liver functions are optimal. Although there is a good response to combined treatment with the radiologic assessment, AFP levels are increasing. The patient will continue sorafenib; TACE will be reconsidered in the case of intrahepatic disease. The current immunosuppression regime scheme is CNI based; a shift to an mTOR inhibitor will be considered depending on the patient’s tolerance to combination treatment (sorafenib plus mTOR inhibitor).
Financial Disclosure: The authors have no significant financial interest in or other relationship with the manufacturer of any product or provider of any service mentioned in this article.
1. Galle PR, Forner A, Llovet JM, et al. EASL Clinical Practice Guidelines: management of hepatocellular carcinoma. J Hepatol. 2018;69(1):182-236. doi: 10.1016/j.jhep.2018.03.019.
2. Nicolini D, Agostini A, Montalti R, et al. Radiological response and inflammation scores predict tumor recurrence in patients treated with transarterial chemoembolization before liver transplantation. World J Gastroenterol. 2017; 23(20):3690-370 doi: 10.3748/wjg.v23.i20.3690.
3. Mazzaferro V, Bhoori S, Sposito C, et al. Milan criteria in liver transplantation for hepatocellular carcinoma: an evidence-based analysis of 15 years of experience. Liver Transpl. 2011;17(suppl 2):S44–S57. doi: 10.1002/lt.22365.
4. Llovet JM, Mas X, Aponte JJ, et al. Cost effectiveness of adjuvant therapy for hepatocellular carcinoma during the waiting list for liver transplantation. Gut. 2002;50(1):123-128. doi: 10.1136/gut.50.1.123.
5. Millonig G, Graziadei IW, Freund MC, et al. Response to preoperative chemoembolization correlates with outcome after liver transplantation in patients with hepatocellular carcinoma. Liver Transpl. 2007;13(2):272-279. doi: 10.1002/lt.21033.
6. Otto G, Herber S, Heise M, et al. Response to transarterial chemoembolization as a biological selection criterion for liver transplantation in hepatocellular carcinoma. Liver Transpl. 2006;12(8):1260-1267. doi: 10.1002/lt.20837.
7. Kaihara S, Kiuchi T, Ueda M, et al. Living-donor liver transplantation for hepatocellular carcinoma. Transplantation. 2003;75(3 suppl):S37-S40. doi: 10.1097/01.TP.0000047029.02806.16.
8. Yao FY, Ferrell L, Bass NM, et al. Liver transplantation for hepatocellular carcinoma: expansion of the tumor size limits does not adversely impact survival. Hepatology. 2001;33(6):1394-1403. doi: 10.1053/jhep.2001.24563.
9. Ng KK, Lo CM, Chan SC, Chok KS, Cheung TT, Fan ST. Liver transplantation for hepatocellular carcinoma: the Hong Kong experience. J Hepatobiliary Pancreat Sci. 2010;17(5): 548-554. doi: 10.1007/s00534-009-0165-8.
10. Ringe B, Böker K, Schlitt HJ, et al. Recurrence of hepatitis B virus cirrhosis and hepatocellular carcinoma: an indication for retransplantation? Clin Transplant. 1995;9(3 Pt 1):190-196.
11. Sotiropoulos GC, Molmenti EP, Lösch C, Beckebaum S, Broelsch CE, Lang H. Meta-analysis of tumor recurrence after liver transplantation for hepatocellular carcinoma based on 1,198 cases. Eur J Med Res. 2007;12(10):527-534.
12. Shetty K, Timmins K, Brensinger C, et al. Liver transplantation for hepatocellular carcinoma validation of present selection criteria in predicting outcome. Liver Transpl. 2004;10(7):911-918. doi: 10.1002/lt.20140.
13. Zimmerman M et al. Recurrence of hepatocellular carcinoma following liver transplantation: a review of preoperative and postoperative prognostic indicators. Arch Surg. 2008;143(2):182-188. doi: 10.1001/archsurg.2007.39.
14. Pawlik TM, Delman KA, Vauthey JN, et al. Tumor size predicts vascular invasion and histologic grade: implications for selection of surgical treatment for hepatocellular carcinoma. Liver Transpl. 2005;11(9):1086-1092. doi: 10.1002/lt.20472.
15. Schwartz M, Dvorchik I, Roayaie S, et al. Liver transplantation for hepatocellular carcinoma: extension of indications based on molecular markers. J Hepatol. 2008;49(4):581-588. doi: 10.1016/j.jhep.2008.03.032
16. Mehta N, Heimbach J, Harnois DM, et al. Validation of a Risk Estimation of Tumor Recurrence After Transplant (RETREAT) score for hepatocellular carcinoma recurrence after liver transplant. JAMA Oncol. 2017;3(4):493-500. doi: 10.1001/jamaoncol.2016.5116.
17. Roayaie S, Schwartz JD, Sung MW, et al. Recurrence of hepatocellular carcinoma after liver transplant: patterns and prognosis. Liver Transpl. 2004;10 (4):534-540. doi: 10.1002/lt.20128.
18. de'Angelis N, Landi F, Carra MC, Azoulay D. Managements of recurrent hepatocellular carcinoma after liver transplantation: a systematic review. World J Gastroenterol. 2015;21(39): 11185-11198. doi: 10.3748/wjg.v21.i39.11185.
19. Sapisochin G, Goldaracena N, Astete S, et al. Benefit of treating hepatocellular carcinoma recurrence after liver transplantation and analysis of prognostic factors for survival in a large Euro-American Series. Ann Surg Oncol. 2015;22(7):2286-2294. doi: 10.1245/s10434-014-4273-6.
20. Fernandez-Sevilla E, Allard MA, Selten J, et al. Recurrence of hepatocellular carcinoma after liver transplantation: is there a place for resection? Liver Transpl. 2017;23(4):440-447. doi: 10.1002/lt.24742.
21. Toso C, Cade S, Mentha-Dugerdil A, et al. Factors predicting survival after post-transplant hepatocellular carcinoma recurrence. J Hepatobiliary Pancreat Sci. 2013;20(3):342-347. doi: 10.1007 s00534-012-0528-4.
22. Toso C, Mentha G, Majno P. Liver transplantation for hepatocellular carcinoma: five steps to prevent recurrence. Am J Transplant. 2011;11(10):2031-2035. doi: 10.1111/j.1600-6143.2011.03689.x.
23. Kornberg A, Küpper B, Tannapfel A, et al. Long-term survival after recurrent hepatocellular carcinoma in liver transplant patients: clinical patterns and outcome variables. Eur J Surg Oncol. 2010;36(3):275-280. doi: 10.1016/j.ejso.2009.10.001.
24. Marangoni G, Faraj W, Sethi H, Rela M, Muiesan P, Heaton N. Liver resection in liver transplant recipients. Hepatobiliary Pancreat Dis Int. 2008;7(6):590-594.
25. Taketomi A, Fukuhara T, Morita K, et al. Improved results of a surgical resection for the recurrence of hepatocellular carcinoma after living donor liver transplantation. Ann Surg Oncol. 2010;17(9):2283-2289. doi: 10.1245/s10434-010-0999-y.
26. Hwang S, Kim YH, Kim DK, et al. Resection of pulmonary metastases from hepatocellular carcinoma following liver transplantation. World J Surg. 2012;36(7):1592-1602. doi: 10.1007/s00268-012-1533-0.
27. Pfiffer TE, Seehofer D, Nicolaou A, Neuhaus R, Riess H, Trappe RU. Recurrent hepatocellular carcinoma in liver transplant recipients: parameters affecting time to recurrence, treatment options and survival in the sorafenib era. Tumori. 2011;97(4):436-441. doi: 10.1700/950.10394.
28. Chen WT, Yu CY, Huang TL, et al. Does transarterial embolization improve survival for recurrent hepatocellular carcinoma after living donor liver transplantation? Chin J Radiology (Taiwan). 2012;37:101-104.
29. Ko HK, Ko GY, Yoon HK, Sung KB. Tumor response to transcatheter arterial chemoembolization in recurrent hepatocellular carcinoma after living donor liver transplantation. Korean J Radiol. 2007;8(4):320-327. doi: 10.3348/kjr.2007.8.4.320.
30. Chok KSH. Management of Recurrent hepatocellular carcinoma after liver transplant. World J Hepatol. 2015;7(8):1142-1148. doi: 10.4254/wjh.v7.i8.1142.
31. Rivera L, Giap H, Miller W, et al. Hepatic intra-arterial infusion of yttrium-90 microspheres in the treatment of recurrent hepatocellular carcinoma after liver transplantation: a case report. World J Gastroenterol. 2006;12(35):5729-5732. doi: 10.3748/wjg.v12.i35.5729.
32. Llovet JM, Ricci S, Mazzaferro V, et al; SHARP Investigators Study Group. Sorafenib in advanced hepatocellular carcinoma. N Engl J Med. 2008;359(4):378-390. doi: 10.1056/NEJMoa0708857.
33. Sposito C, Mariani L, Germini A, et al. Comparative efficacy of sorafenib versus best supportive care in recurrent hepatocellular carcinoma after liver transplantation: a case-control study. J Hepatol. 2013;59(1):59-66. doi: 10.1016/j.jhep.2013.02.026.
34. Iavarone M, Invernizzi F, Czauderna C, et al. Preliminary experience on safety of regorafenib after sorafenib failure in recurrent hepatocellular carcinoma after liver transplantation. Am J Transplant. 2019;19(11):3176â3184. doi: 10.1111/ajt.15551.
35. Herden U, Fischer L, Schäfer H, Nashan B, von Baehr V, Sterneck M. Sorafenib-induced severe acute hepatitis in a stable liver transplant recipient. Transplantation. 2010;90(1):98-99. doi: 10.1097/TP.0b013e3181daac69.
36. Waidmann O, Hofmann WP, Zeuzem S, Trojan J. mTOR inhibitors and sorafenib for recurrent heptocellular carcinoma after orthotopic liver transplantation. J Hepatol. 2011;54(2):396-398. doi: 10.1016/j.jhep.2010.08.038.
37. De Simone P, Crocetti L, Pezzati D, et al. Efficacy and safety of combination therapy with everolimus and sorafenib for recurrence of hepatocellular carcinoma after liver transplantation. Transplant Proc. 2014;46(1):241-244. doi: 10.1016/j.transproceed.2013.10.035.
38. Hojo M, Morimoto T, Maluccio M, et al. Cyclosporine induces cancer progression by a cell-autonomous mechanism. Nature. 1999;397(6719):530-534. doi: 10.1038/17401.
39. Vivarelli M, Cucchetti A, Piscaglia F, et al. Analysis of risk factors for tumor recurrence after liver transplantation for hepatocellular carcinoma: key role of immunosuppression. Liver Transpl. 2005;11(5):497-503. doi: 10.1002/lt.20391.
40. RodrÃguez-Perálvarez M, Tsochatzis E, Naveas MC, et al. Reduced exposure to calcineurin inhibitors early after liver transplantation prevents recurrence of hepatocellular carcinoma. J Hepatol. 2013;59(6):1193-1199. doi: 10.1016/j.jhep.2013.07.012.
41. Toso C, Meeberg GA, Bigam DL, et al. De novo sirolimus-based immunosuppression after liver transplantation for hepatocellular carcinoma: long-term outcomes and side effects. Transplantation. 2007;83(9):1162-1168. doi: 10.1097/01.tp.0000262607.95372.e0.
42. Toso C, Merani S, Bigam DL, Shapiro AM, Kneteman NM. Sirolimus-based immunosuppression is associated with increased survival after liver transplantation for hepatocellular carcinoma. Hepatology. 2010;51(4):1237-1243. doi: 10.1002/hep.23437.
43. Schumacher G, Oidtmann M, Rueggeberg A, et al. Sirolimus inhibits growth of human hepatoma cells alone or combined with tacrolimus, while tacrolimus promotes cell growth. World J Gastroenterol. 2005;11(10):1420-1425. doi: 10.3748/wjg.v11.i10.1420.
44. Geissler EK, Schnitzbauer AA, Zülke C, et al. Sirolimus use in liver transplant recipients with hepatocellular carcinoma: a randomized, multicenter, open-label phase 3 trial. Transplantation. 2016;100(1):116-125. doi: 10.1097/TP.0000000000000965.
45. Dunkelberg JC, Trotter JF, Wachs M, et al. Sirolimus as primary immunosuppression in liver transplantation is not associated with hepatic artery or wound complications. Liver Transpl. 2003;9(5):463-468. doi: 10.1053/jlts.2003.50079.

Late Hepatic Recurrence From Granulosa Cell Tumor: A Case Report
Granulosa cell tumors exhibit late recurrence and rare hepatic metastasis, emphasizing the need for lifelong surveillance in affected patients.