Two case reports and a review of PCP in patients with solid tumors.
Dr. Duarte is a second year internal medicine resident at the University of Colorado School of Medicine. She hopes to pursue fellowship in the field of hematology/oncology.

Ms. Gilbert is a rising first year medical student at the University of Colorado School of Medicine. Her research interests are in novel therapies for cutaneous malignancies.

Dr. Weisdack is a Clinical Oncology Pharmacist in the Urologic Oncology clinic at UCHealth University of Colorado Cancer Center and an Affiliate Faculty at Regis University School of Pharmacy.

Dr. Sheridan is an Assistant Professor in Abdominal Imaging at the University of Colorado School of Medicine. Her clinical and research interests include pelvic floor imaging and oncologic imaging.

Dr. Lam is an Associate Professor at the University of Colorado School of Medicine. A board certified medical oncologist, Dr. Lam has extensive experience in the treatment of patients with genitourinary cancers.

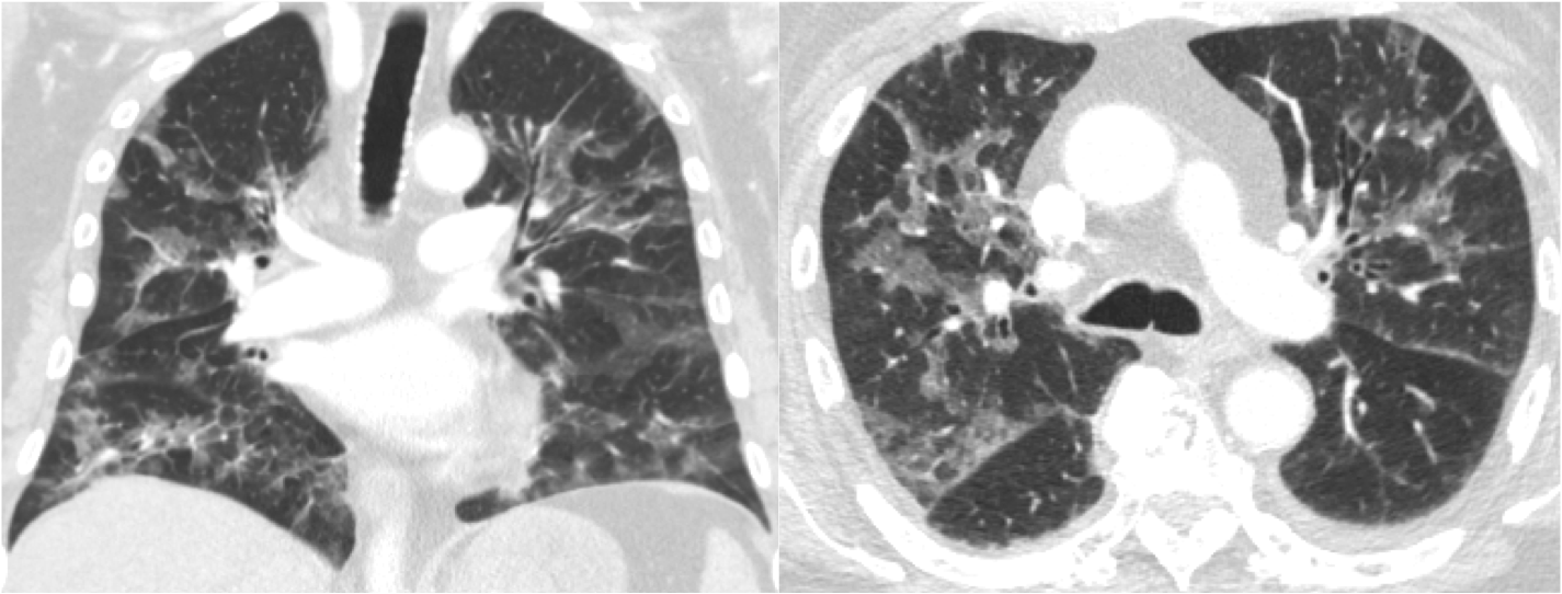
Figure 1Case 1: Coronal and axial computed tomography scans of the chest after administration of contrast demonstrate bilateral ground-glass opacities with associated septal thickening, the absence of pleural effusion, and no hilar adenopathy.

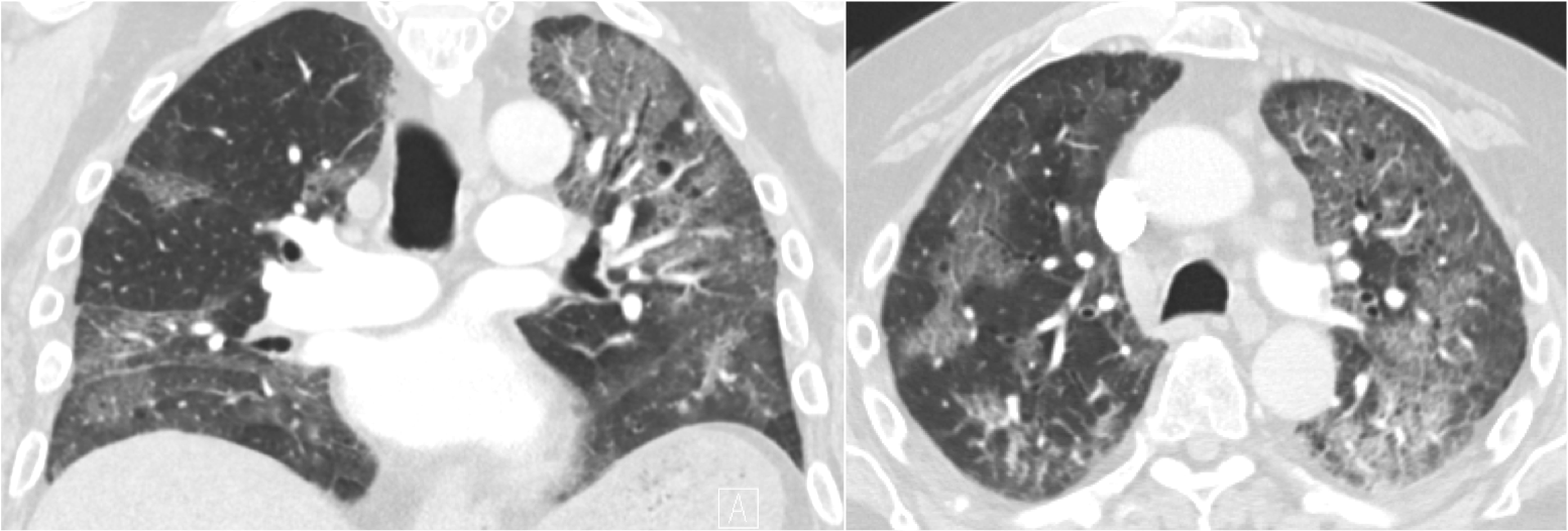
Figure 2Case 2: Coronal and axial computed tomography scans of the chest after the administration of contrast demonstrate bilateral ground-glass opacities with associated septal thickening, small pleural effusions, and the absence of hilar adenopathy.

Table 1. Current Guidelines From Major Specialty Groups on Glucocorticoids and PCP Prophylaxis in Patients With Cancer

Table 2. Preferred Regimens for PCP Prophylaxis

Pneumocystis jirovecii, formerly known as Pneumocystis carinii, is an atypical fungal pathogen best known for causing Pneumocystis jirovecii pneumonia (PCP). The epidemiology of PCP is changing such that patients without HIV infection now comprise the largest subset of individuals diagnosed with PCP. While those with hematologic malignancies and organ transplants are at greatest risk for non-HIV-related PCP, this review will focus on PCP in patients with solid tumors. They are at risk for PCP due to their chemotherapy regimens and use of steroids in the management of various complications of treatment, and possibly because of the immunosuppressive effect of the cancer itself. In particular, patients with solid tumors being treated for metastatic spinal cord compression are at great risk for PCP. Patients with solid tumors and PCP face greater mortality than those with HIV infection. Multiple reviews have attempted to describe the ideal regimen of corticosteroids for metastatic spinal cord compression, but there is little consensus. We present 2 cases of patients with metastatic spinal cord compression due to prostate cancer undergoing radiation therapy and treatment with corticosteroids. These cases highlight the difficulties in predicting the length of corticosteroid therapy and the dangers that patients face without appropriate prophylaxis. This article will also provide a review of the current guidelines for PCP prophylaxis in patients undergoing treatment for metastatic spinal cord compression. We recommend empiric treatment with trimethoprim-sulfamethoxazole or dapsone in those patients with a sulfa allergy in all patients with solid tumors when any high-dose steroids are started for the treatment of metastatic spinal cord compression. Further research is needed to assess the epidemiology of PCP in patients with solid tumors and additional trials are necessary to refine PCP prophylaxis.
Pneumocystis jirovecii, formerly known as Pneumocystis carinii, is an atypical fungal pathogen best known for causing Pneumocystis jirovecii pneumonia (PCP), the most common opportunistic infection in people with HIV infection. However, the epidemiology of PCP is changing, such that individuals without HIV infection now comprise the largest subset of patients diagnosed with PCP in resource-rich countries.1 Among those without HIV infection who are at greatest risk for PCP include patients with hematologic malignancies, hematopoietic stem cell transplant recipients, individuals with solid tumors, and those with various rheumatologic conditions on immunosuppressive therapy.2-4 These patients are at high risk for PCP not only due to chemotherapy, but also due to the complications of novel immunotherapies and cancer complications that require the use of high-dose glucocorticoids.5-7 There has been plentiful research on the risk of PCP in patients with hematologic malignancies and recipients of stem cell transplants.8,9 This review focuses on PCP in patients with solid tumors, an under-examined population.
Individuals with solid tumors are a unique population of patients at risk for PCP due to chemotherapy regimens and the use of high-dose glucocorticoids in treatment.10 The incidence of PCP in individuals with solid malignancies, compared with other risk factors, is increasing. Sepkowitz notes that 47% of patients without HIV infection diagnosed with PCP had underlying malignancies, compared with an incidence of 3.6% described in a previous review.11 Patients with solid tumors, compared with those with hematologic malignancies, face higher rates of death from PCP, have higher rates of mechanical ventilation, and are more often treated in the intensive care unit.12,13 It is well documented that patients with PCP without HIV infection have death rates greater than 30% when compared with patients with HIV infection and PCP (who have a mortality rate of about 4%).13,14
Patients with solid tumors receive glucocorticoids for the treatment of complications of metastatic disease including bowel obstructions, spinal cord compression, vasogenic edema in the brain, and bone pain.5-7 Metastatic spinal cord compression occurs in 5% to 10% of patients with cancer.15 Patients with breast, prostate, and lung cancers make up approximately 60% of all metastatic spinal cord compression cases.16 Treatment of metastatic spinal cord compression is comprised of glucocorticoids followed by radiation therapy or surgical decompression to avoid irreversible neurologic deficits associated with significant morbidity and mortality.
In a recent review, Kumar and colleagues sought to determine the effect of glucocorticoid administration before definitive therapy on patient outcomes and establish the glucocorticoid-dosing regimen associated with the best patient outcomes. Based on a case series totaling 504 patients, glucocorticoid administration resulted in improved patient outcomes if administered at the time of diagnosis. The glucocorticoid regimen that balanced patient outcomes with adverse effects was a 10-mg intravenous bolus of dexamethasone followed by oral administration of 16 mg twice daily for 7 to 14 days.17 The investigators of this study acknowledged the paucity of high quality data available for glucocorticoid administration for metastatic spinal cord compression, as only 6 studies met criteria for the review. Additionally, the investigators commented extensively on the use of proton pump inhibitors to prevent adverse events related to gastric bleeding and perforation but there was no mention of PCP prophylaxis.17 A second review on metastatic spinal cord compression focused specifically on the use of glucocorticoids. This review of seven studies determined that glucocorticoids were beneficial for the treatment of metastatic spinal cord compression, but that individuals undergoing high-dose glucocorticoid therapy had a much higher rate of adverse events including infection.18 This information is validated in a more recent review article.19
Patients receiving prolonged corticosteroids are at increased risk for PCP. In a study of patients without HIV infection diagnosed with PCP, over 90% had undergone therapy with glucocorticoids prior to PCP diagnosis.20 The average daily steroid dose was 30 mg of prednisone, but 25% of patients had been on 16 mg of prednisone daily. The average length of steroid treatment prior to PCP diagnosis was 12 weeks; however, 25% of patients developed PCP after 8 weeks or less.20 We present 2 cases that highlight the development of PCP in patients with prostate cancer undergoing treatment for metastatic spinal cord compression.
A 75-year-old male presented with metastatic hormone-sensitive prostate cancer. He underwent treatment with leuprolide, abiraterone acetate, and prednisone 5 mg twice daily for 1.5 years until his cancer became castrate resistant. He was subsequently started on enzalutamide, and abiraterone acetate and prednisone were discontinued. Six months later, he developed back pain and weakness in his upper extremities. Magnetic resonance imaging (MRI) of the thoracic spine was performed, revealing a metastatic tumor circumferentially involving the spinal cord from thoracic vertebrae 3 to 5. He was started on 8 mg dexamethasone twice daily and referred to radiation oncology for definitive treatment. He was maintained on this steroid regimen throughout his radiation therapy. During the course of radiation therapy, he developed some left eye irritation for which he was prescribed ofloxacin drops. He also developed a dry cough initially thought to be radiation pneumonitis. He was maintained on 8 mg dexamethasone twice daily (>100 mg prednisone equivalent/day) for a total of 49 days, at which point he was tapered to 4 mg twice daily. Three days into the steroid taper, he was febrile (temperature up to 102° F), hypotensive with a new oxygen requirement, and had diarrhea. He was admitted to the hospital and found to have norovirus gastroenteritis. Additionally, a direct fluorescent antibody test was positive for Pneumocystis jirovecii. He also had elevated lactate dehydrogenase and (1,3)-beta-D glucan levels. A computed tomography (CT) scan of the chest demonstrated diffuse bilateral ground-glass opacities (Figure 1). Despite maximum medical treatment, the patient’s respiratory status continued to decline and he was ultimately transitioned to comfort care, succumbing to PCP and its subsequent complications. During hospitalization, it was discovered that he had herpes zoster virus keratitis in his left eye; thus, his cough and eye irritation were in retrospect the first signs of his compromised immune status.
A 76-year-old male with a history of prostate cancer treated with radical prostatectomy presented years later with dysphagia, hoarseness, facial droop, and tongue deviation. Brain MRI revealed metastatic disease with a large skull base mass extending from the left occipital bone to the left hypoglossal canal and jugular foramen. The mass also involved cervical vertebrae 1. Given his neurologic symptoms, the patient was started on 8 mg dexamethasone twice daily and underwent evaluation by radiation oncology for palliative radiation. He was also started on bicalutamide and leuprolide for metastatic prostate cancer. At the time of discharge, he was tapered from 8 mg dexamethasone twice daily to 4 mg dexamethasone twice daily and received follow-up in the outpatient setting with radiation therapy for the metastases in the base of his skull. During this time, he was maintained on dexamethasone 4 mg twice daily (>50 mg prednisone equivalent/day) for a total of 34 days until radiation therapy was complete. While tapering dexamethasone at a daily dose of 2 mg, the patient experienced sudden onset lethargy and weakness. On arrival to the emergency department, he was found to be in acute hypoxic respiratory failure and was admitted to the medical intensive care unit for workup. A CT scan of the chest revealed diffuse bilateral ground-glass opacities and multiple subsegmental pulmonary emboli (Figure 2). He was initially treated with therapeutic anticoagulation; however, given the lack of improvement in his respiratory status, he underwent bronchoscopy with bronchoalveolar lavage (BAL). The BAL fluid tested positive for Pneumocystis jirovecii. The patient was treated with high-dose prednisone and pentamidine and was discharged with improvement in his respiratory status.
Both cases demonstrate the consequence of patients developing PCP after receiving high-dose dexamethasone and radiation therapy for metastatic spinal cord compression. While the second patient recovered from PCP, the first passed away from this preventable infection. These cases highlight 2 issues in the management of patients with solid tumors and PCP. The first is the need for clinicians to maintain a heightened awareness of the possibility of PCP in patients receiving high-dose, prolonged steroids. The second is the need to routinely assess whether PCP prophylaxis is warranted in a patient’s treatment.
In patients without HIV infection presenting with respiratory complaints, there is a longer time to diagnosis of PCP and this is an independent risk factor for death.13 Patients with solid tumors are at risk for common causes of pulmonary processes, but Pneumocystis jirovecii should remain on a provider’s differential diagnosis in the appropriate situation. When considering PCP as a differential diagnosis, a thorough review of the patient’s clinical course, medications, and imaging should be done. Imaging can often be nonspecific with perihilar and mid-to-apical predominant ground-glass opacities on radiography and CT. When determining whether a pulmonary infiltrate is PCP versus radiation pneumonitis, it is important to recall that radiation pneumonitis is a more geographic finding with confluent ground-glass opacities that are confined to the path of radiation. For PCP, pneumatoceles without pleural effusion and lymphadenopathy can be seen in 30% of cases.21
Given the complexity of their disease, patients with cancer are often managed by multiple specialties. Multiple organizations have commented on appropriate glucocorticoid therapy for metastatic spinal cord compression and PCP prophylaxis, as listed in Table 1. The American Society of Clinical Oncology (ASCO), Infectious Diseases Society of America, and American Thoracic Society are the only professional organizations that provide clear guidelines on PCP prophylaxis for patients with cancer. All groups recommend prophylaxis for these patients when they will be receiving prolonged high-dose steroids (>20 mg prednisone equivalents for 1 month or more), based on previous epidemiologic research.20 Notably, ASCO recommends prophylaxis when an patient’s risk of PCP is greater than 3.5%. Predicting the risk of PCP in a patient with cancer may prove difficult, thus discouraging providers from prescribing prophylaxis if they are unable to quantify the risk. Additionally, it can be difficult to predict exactly how long a patient will be receiving glucocorticoid therapy.19 One issue with the management of metastatic spinal cord compression is that patients are often managed by multiple specialties and the handoff between services could represent a time when treatment duration is inadvertently prolonged.
Given the lack of rigorous data concerning PCP prophylaxis in patients with solid malignancies undergoing treatment for metastatic spinal cord compression, we recommend starting empiric prophylaxis with trimethoprim-sulfamethoxazole (TMP-SMX) to prevent a possibly life-threatening infection (Table 2). As mentioned previously, among patients undergoing treatment for PCP, those with solid malignancies often have worse outcomes in terms of mortality compared with those with HIV infection.13,14 For this reason, prophylaxis initiation at the onset of steroid therapy is of the utmost importance. There are few risks in starting PCP prophylaxis at the time of steroid initiation. TMP-SMX is fairly well tolerated and is very effective in preventing PCP. The reported rate of discontinuation of TMP-SMX when used for PCP prophylaxis is about 3%. Most patients with cancer who require high-dose steroids will likely be on treatment for longer than 1 month. Therefore, it may be in the patient’s best interest to initiate PCP prophylaxis, similar to gastrointestinal prophylaxis, at the start of corticosteroid treatment. The biggest concern with starting TMP-SMX in patients with solid tumors is an increased risk of myelosuppression due to the medication. However, if the risk of myelosuppression is high, it could be minimized with the use of atovaquone instead of TMP-SMX.
The 2 cases above highlight the difficulty in predicting a priori the duration of steroid therapy when treating patients with solid tumors and with malignant spinal cord compression. In case 1, the patient was continued on high-dose steroids longer than expected due to suspicion of radiation-induced pneumonitis. In case 2, the patient underwent a longer course of radiation than initially expected. Interestingly, neither of these 2 patients had risk factors for PCP other than their steroid use. Since research has demonstrated that metastatic disease in itself can be a risk factor for immunosuppression, 29,30 this raises the question of whether metastatic disease is also a risk factor itself for immunosuppression with regards to PCP.
Future research specifically on the epidemiology of PCP in patients with solid malignancies would be useful to characterize which tumor types warrant prophylaxis. This research would also provide insight into what biomarkers could be used to predict which patients are at risk and need prophylaxis. For example, CD4 count is used in patients with HIV infection to guide PCP prophylaxis. Some research has been done concerning the use of CD4 count to guide PCP prophylaxis in patients without HIV infection. In these patients, there is an association between CD4 counts less than 300 cells/microliter and the incidence of PCP.31
The exact duration of PCP prophylaxis remains an area of research. The National Comprehensive Cancer Network guidelines recommend continuing PCP prophylaxis until at least the completion of steroid therapy. There are various recommendations for tapering steroid therapy. Steroid taper regimens are generally based upon dose and duration of corticosteroid treatment. Concerns for steroid withdrawal are related to suppression of the hypothalamic–pituitary–adrenal axis, which can result in symptoms of adrenal insufficiency during steroid tapering. In addition to symptoms of adrenal insufficiency, tapering steroids could also result in the potential for disease flare-exacerbating symptoms of bowel obstruction and brain metastases, among others. Typical recommendations suggest dose reductions by 2.5 to 5 mg every 3 to 7 days until a physiologic dose is reached. Slower tapering may be recommended if the risk of disease relapse or recurrence of symptoms is a concern.28
In this review, we presented 2 cases of PCP in patients with prolonged steroid use due to treatment of malignant spinal cord compression. Given the complexity of malignant disease manifestations, immunosuppressive chemotherapies, and immune-mediated complications of contemporary immunotherapies that all require long-term glucocorticoid use, the development of PCP actually affects a much broader population of patients with cancer. Strategies such as the routine use of PCP prophylaxis at the initiation of high-dose steroids, close monitoring for PCP symptoms, and early identification of PCP in patients receiving high-dose or prolonged steroids are paramount.
PCP continues to be a pervasive opportunistic infection that affects patients with solid tumors. This review provides a detailed account of the varied reasons why patients with solid tumors and metastatic spinal cord compression are at increased risk of PCP and provides a thorough examination of the literature available on ideal treatment regimens. Additionally, through 2 case reports, the diagnostic evaluation of patients with solid tumors is examined. Finally, the recommendations for PCP prophylaxis from multiple subspecialty organizations are examined. We recommend that all patients with solid tumors being initiated on high-dose steroids for any reason warrant PCP prophylaxis.ν
Declarations
Ethics approval and consent to participate –unfortunately both patients highlighted in the cases are either deceased or lost to follow up and unable to consent.
Consent for publication – unfortunately both patients highlighted in the cases are either deceased or lost to follow up and unable to consent.
Availability of data and materials – not applicable
Competing interests – The authors declare that they have no competing interests.
Funding – This was an unfunded review
Authors’ contributions: CD performed the literature review and authored the majority of the paper; DG authored case 1; AS assisted with obtaining images and radiologic expertise; SW assisted with pharmacologic recommendations and provided expertise in this area; EL provided manuscript guidance, editing, and the original research question. All authors read and approved the final manuscript.
Acknowledgements – Not applicable
1. Morris A, Norris KA. Colonization by Pneumocystis jirovecii and its role in disease. Clin Microbiol Rev. 2012;25(2):297-317. doi: 10.1128/CMR.00013-12.
2. Stern A, Green H, Paul M, Vidal L, Leibovici L. Prophylaxis for Pneumocystis pneumonia (PCP) in non-HIV immunocompromsed patients. Cochrane Database Syst Rev. 2014;10:CD005590. doi: 10.1002/14651858.CD005590.pub3.
3. Fillatre P, Decaux O, Jouneau S, et al. Incidence of Pneumocystis jiroveci pneumonia among groups at risk in HIV-negative patients. Am J Med. 2014;127(12):1242.e11-1242.e17. doi: 10.1016/j.amjmed.2014.07.010.
4. Patterson L, Coyle P, Curran T, Verlander NQ, Johnston J. Changing epidemiology of Pneumocystis pneumonia, Northern Ireland, UK and implications for prevention, 1 July 2011-31 July 2012. J Med Microbiol. 2017;66(11):1650-1655. doi: 10.1099/jmm.0.000617.
5. Haywood A, Good P, Khan S, et al. Corticosteroids for the management of cancer-related pain in adults. Cochrane Database Syst Rev. 2015(4):CD010756. doi: 10.1002/14651858.CD010756.pub2.
6. Feuer DJ, Broadley KE. Corticosteroids for the resolution of malignant bowel obstruction in advanced gynaecological and gastrointestinal cancer. Cochrane Database Syst Rev. 2000(2):CD001219. doi: 10.1002/14651858.CD001219.
7. Koehler PJ. Use of corticosteroids in neuro-oncology. Anticancer Drugs. 1995;6(1):19-33. doi: 10.1097/00001813-199502000-00002.
8. Pagano L, Fianchi L, Mele L, et al. Pneumocystis carinii pneumonia in patients with malignant haematological diseases: 10 years' experience of infection in GIMEMA centres. British journal of haematology. 2002;117(2):379-386. doi: 10.1046/j.1365-2141.2002.03419.x.
9. Overgaard UM, Helweg-Larsen J. Pneumocystis jiroveci pneumonia (PCP) in HIV-1-negative patients: a retrospective study 2002-2004. Scand J of Infect Dis. 2007;39(6-7):589-595. doi: 10.1080/00365540601150497.
10. Poplin EA, Gordon CJ, Piskorowski TJ, Chandrasekar PH. Pneumocystis carinii pneumonia in patients with solid tumors without acquired immune deficiency syndrome. Cancer. 1991;68(1):193-194. doi: 10.1002/1097-0142(19910701)68:1<193::aid-cncr2820680134>3.0.co;2-u.
11. Sepkowitz KA. Pneumocystis carinii pneumonia in patients without AIDS. Clin Infect Dis. 1993;17(suppl 2):S416-S422. doi: 10.1093/clinids/17.supplement_2.s416.
12. Roblot F, Godet C, Le Moal G, et al. Analysis of underlying diseases and prognosis factors associated with Pneumocystis carinii pneumonia in immunocompromised HIV-negative patients. Eur J Clin Microbiol Infect Dis. 2002;21(7):523-531. doi 10.1007/s10096-002-0758-5.
13. Roux A, Canet E, Valade S, et al. Pneumocystis jirovecii pneumonia in patients with or without AIDS, France. Emerg Infect Dis. 2014;20(9):1490-1497. doi: 10.3201/eid2009.131668.
14. Torres HA, Chemaly RF, Storey R, et al. Influence of type of cancer and hematopoietic stem cell transplantation on clinical presentation of Pneumocystis jiroveci pneumonia in cancer patients. Eur J Clin Microbiol Infect Dis. 2006;25(6):382-388. doi: 10.1007/s10096-006-0149-4.
15. L'espérance S, Vincent F, Gaudreault M, et al; Comité de l’évolution des pratiques en oncologie. Treatment of metastatic spinal cord compression: cepo review and clinical recommendations. Curr Oncol. 2012;19(6):e478-e490. doi: 10.3747/co.19.1128.
16. Loblaw DA, Laperriere NJ. Emergency treatment of malignant extradural spinal cord compression: an evidence-based guideline. J Clin Oncol. 1998;16(4):1613-1624. doi 10.1200/JCO.1998.16.4.1613.
17. Kumar A, Weber MH, Gokaslan Z, et al. Metastatic spinal cord compression and steroid treatment: a systematic review. Clin Spine Surg. 2017;30(4):156-163. doi: 10.1097/BSD.0000000000000528.
18. Skeoch GD, Tobin MK, Khan S, Linninger AA, Mehta AI. Corticosteroid treatment for metastatic spinal cord compression: a review. Global Spine. 2017;7(3):272-279. doi: 10.1177/2192568217699189.
19. Lawton AJ, Lee KA, Cheville AL, et al. Assessment and management of patients with metastatic spinal cord compression: a multidisciplinary review. J Clin Oncol. 2019;37(1):61-71. doi: 10.1200/JCO.2018.78.1211.
20. Yale SH, Limper AH. Pneumocystis carinii pneumonia in patients without acquired immunodeficiency syndrome: associated illness and prior corticosteroid therapy. Mayo Clin Proc. 1996;71(1):5-13. doi: 10.4065/71.1.5.
21. Müller NL, Franquet T, Lee KS, Silva CIS, eds. Imaging of Pulmonary Infections. 1st ed. Philadelphia, PA: Lippincott Williams & Wilkins; 2006.
22. Expert Panel on Radiation Oncology-Bone Metastases, Lo SS, Ryu S, et al. ACR Appropriateness Criteria® Metastatic Epidural Spinal Cord Compression and Recurrent Spinal Metastasis. J Palliat Med. 2015;18(7):573-584. doi: 10.1089/jpm.2015.28999.sml.
23. Lutz S, Balboni T, Jones J, et al. Palliative radiation therapy for bone metastases: update of an ASTRO Evidence-Based Guideline. Pract Radiat Oncol. 2017;7(1):4-12. doi: 10.1016/j.prro.2016.08.001.
24. Taplitz RA, Kennedy EB, Bow EJ, et al. Antimicrobial prophylaxis for adult patients with cancer-related immunosuppression: ASCO and IDSA Clinical Practice Guideline Update. J Clin Oncol. 2018;36(30):3043-3054. doi: 10.1200/JCO.18.00374.
25. Huang L, Morris A, Limper AH, Beck JM; ATS Pneumocystis Workshop Participants. An Official ATS Workshop Summary: recent advances and future directions in pneumocystis pneumonia (PCP). Proc Am Thorac Soc. 2006;3(8):655-664. doi:
10.1513/pats.200602-015MS.
26. Limper AH, Knox KS, Sarosi GA, et al; American Thoracic Society Fungal Working Group. An official American Thoracic Society statement: treatment of fungal infections in adult pulmonary and critical care patients. Am J Respir Crit Care Med. 2011;183(1):96-128. doi: 10.1164/rccm.2008-740ST.
27. Patchell RA. New developments in the surgical management of spinal cord compression caused by metastatic tumor. Clin Neurosurg. 2005;52:65-67.
28. Liu D, Ahmet A, Ward L, et al. A practical guide to the monitoring and management of the complications of systemic corticosteroid therapy. Allergy Asthma Clin Immunol. 2013;9(1):30. doi: 10.1186/1710-1492-9-30.
29. Dillman RO, Koziol JA. Statistical approach to immunosuppression classification using lymphocyte surface markers and functional assays. Cancer Res. 1983;43(1):417-421.
30. Jaffe ML, Arai H, Nabel GJ. Mechanisms of tumor-induced immunosuppression: evidence for contact-dependent T cell suppression by monocytes. Mol Med. 1996;2(6):692-701.
31. Mansharamani NG, Balachandran D, Vernovsky I, Garland R, Koziel H. Peripheral blood CD4 + T-lymphocyte counts during Pneumocystis carinii pneumonia in immunocompromised patients without HIV infection. Chest. 2000;118(3):712-720. doi: 10.1378/chest.118.3.712.

Prolaris in Practice: Guiding ADT Benefits, Clinical Application, and Expert Insights From ACRO 2025
April 15th 2025Steven E. Finkelstein, MD, DABR, FACRO discuses how Prolaris distinguishes itself from other genomic biomarker platforms by providing uniquely actionable clinical information that quantifies the absolute benefit of androgen deprivation therapy when added to radiation therapy, offering clinicians a more precise tool for personalizing prostate cancer treatment strategies.
Late Hepatic Recurrence From Granulosa Cell Tumor: A Case Report
Granulosa cell tumors exhibit late recurrence and rare hepatic metastasis, emphasizing the need for lifelong surveillance in affected patients.