Antibody-based targeting of the immune suppressor molecule cytotoxic T-lymphocyte antigen 4 (CTLA-4) with ipilimumab has been studied in metastatic melanoma in a number of clinical trials, including a recent phase III trial. This marks the first randomized clinical trial reporting an overall survival benefit using immune modulation in metastatic melanoma. Along with its therapeutic benefits, ipilimumab presents unique challenges to clinicians; these are related to the monitoring of treatment response and the management of drug-related toxicities. This drug is currently being investigated in various cancers, and its indications are likely to be expanded.
Antibody-based targeting of the immune suppressor molecule cytotoxic T-lymphocyte antigen 4 (CTLA-4) with ipilimumab has been studied in metastatic melanoma in a number of clinical trials, including a recent phase III trial. This marks the first randomized clinical trial reporting an overall survival benefit using immune modulation in metastatic melanoma. Along with its therapeutic benefits, ipilimumab presents unique challenges to clinicians; these are related to the monitoring of treatment response and the management of drug-related toxicities. This drug is currently being investigated in various cancers, and its indications are likely to be expanded.
Melanoma is the most aggressive form of skin cancer. The incidence of melanoma has increased considerably in the United States in recent decades and has been accompanied by a rise in mortality from metastatic disease.[1] In 2010, an estimated 68,130 new cases of melanoma will have been diagnosed (38,870 males and 29,260 females), and 8,700 deaths are expected (5,670 male and 3,030 female).[2] Five-year survival rates for patients with metastatic melanoma are less than 10%, with a median survival of approximately 7 months.[3] Despite innumerable clinical trials for advanced melanoma, the options for these patients are limited.
A vast body of literature from clinical and laboratory studies indicates that melanoma cells are relatively resistant to standard chemotherapeutic agents; response rates with single or combined agents are only in the range of 10% to 20%.[1] Dacarbazine is the only FDA-approved chemotherapy for melanoma, and it has not shown a survival benefit in randomized clinical trials.[4]
Immunological therapies for metastatic melanoma have been heavily studied. Multiple clinical trials of immune modulation strategies-including cytokines, tumor vaccines, adoptive immunotherapy, and combinations of the foregoing-have been conducted over the last few decades.[5] However, until very recently no randomized clinical trial showed an overall survival difference. Treatment with high-dose interleukin-2 (IL-2) results in prolonged responses in a minority of patients.[1,6] Biochemotherapy (combinations of chemotherapy, interferon, and IL-2) is associated with an improved response rate but has not been shown to improve overall survival compared with chemotherapy in randomized trials.[7-11] Because of an unfavorable side effect profile, high-dose IL-2 and biochemotherapy require excellent cardiovascular and pulmonary function; the majority of elderly patients are thus ineligible.[11-13] Given the paucity of well-tolerated, effective therapies for this disease, clinical trials have remained a good choice for the majority of patients.
A recently published phase III trial by Hodi and colleagues clearly offers hope after the multi-decade quest to develop immunotherapy for metastatic melanoma.[5,14] Ipilimumab, a monoclonal antibody to cytotoxic T-lymphocyte antigen 4, CD152 (CTLA-4), is the first agent to show an overall survival benefit in metastatic melanoma in a randomized clinical trial. Ipilimumab is expected to be approved by the FDA. In this article, we provide an overview of the rationale for targeting CTLA-4 as a method for treating melanoma, and we summarize the majority of the clinical trials involving ipilimumab. We have focused on salient issues in the clinical management of patients receiving ipilimumab, including interpretation of scans and management of toxicities.
Melanoma is considered an “immunogenic” cancer because of its ability to undergo spontaneous regression.[5,15,16] Melanoma tumors are often associated with lymphocyte infiltration correlating with areas of histologic regression.[15] Furthermore, a higher incidence of melanoma has been reported in organ transplant patients receiving immunosuppressive therapy.[17] Patients with immunosuppression have an increased risk of dying of melanoma, indicating that melanoma cells might be susceptible to surveillance by the immune system.[15,17] Previous clinical studies have shown an association between autoimmunity and survival in patients with resected melanoma.[16]
The most convincing evidence that melanoma can be immunogenic is derived from preclinical research on the fundamental aspects of T-cell biology and antigen recognition.[15] Although the fundamentals of tumor immunology can be broadly applied to all types of tumors, many of these principles were first demonstrated in melanoma, and the clinical application of immunotherapy for cancer has been most widely studied in melanoma.[15] Use of IL-2 and interferon-α result in tumor shrinkage, and a small percentage of patients with metastatic melanoma who are treated with IL-2 have a durable response and possibly a cure. Melanoma is not the only tumor to respond to immune-based therapy; encouraging results have been seen in lung cancer, renal cell carcinoma, prostate cancer, and others.[18-20]
CTLA-4, a member of the immunoglobulin super-family, is a negative regulator of the immune system and plays a key role in endogenous and vaccine-induced antitumor immunity.[21-23] With the exception of T-regulatory cells (CD4+CD25+, Foxp3+), resting lymphocytes do not constitutively express CTLA-4 on their surface; however, expression is transiently up-regulated after the binding of the T-cell receptor. Up-regulation of CTLA-4 on the surface of cytotoxic T cells results in inhibition of proliferation of these cells. Cytotoxic T lymphocytes (CTLs) are key to a melanoma-specific antitumor response, and various melanoma-specific clones of CTLs have been identified.[15,24,25]
CTLA-4, when expressed on the surface of CTLs, binds to both members of the B7-1 and B7-2 (CD80 and CD86) ligand pair, which are expressed on the surface of antigen-presenting cells (APCs). The binding affinity of CTLA-4 for B7-1/B7-2 is higher than the affinity of CD28 for this ligand pair. The interaction between CTLA-4 and B7-1/B7-2 activates a cell-signaling cascade that results in cell cycle arrest of the CTLs.[21,23] This leads to T-cell anergy and interferes with IL-2 secretion and IL-2 receptor expression. This phenomenon leads in turn to inhibition of T-cell priming and immune escape, thereby allowing tumor growth.[26] In contrast, the binding of CD28 on the CTLs to B7-1 and B7-2 leads to stimulation of T-cell proliferation and production of IL-2. Because of its expression on dendritic cells, effecter T cells, and regulatory T cells, CTLA-4 has a multidimensional role in the various stages of immune response; it produces immune homeostasis by inhibiting T-cell responses and contributing to tolerance to self antigens.[27,28] Blocking of CTLA-4 is thought to shift the dynamic balance of the immune response, enhancing recognition of tumor antigens and tumor eradication.[26] Consequently, this strategy also decreases tolerance to self antigens, leading to autoimmunity.[25,29]
Blocking CTLA-4/B7 interactions in preclinical murine models has shown to induce rejection of several types of established transplantable tumors in mice, including colon cancer, prostate cancer, lymphoma, and renal cancer.[23] It has been shown in murine models that blockade of CTLA-4 expressed on CD4+CD25+ regulatory T cells abrogates the function of these cells and induces autoimmune colitis.[22] CTLA-4 blockade causes a dynamic shift in the ratio of Foxp3+ regulatory T cells (Tregs) to CD8+ cytotoxic T cells, culminating in effective immune recognition of tumor.[21] This phenomenon is well documented in vivo in post-treatment tumor biopsies of patients treated with CTLA-4 blockade and correlates with therapy-induced tumor necrosis.[21,30]
TABLE 1

Select Clinical Trials of Ipilimumab in Metastatic Melanoma
Ipilimumab (MDX-010: Medarex, Inc./Bristol-Myers Squibb Co.) is a fully humanized IgG1 monoclonal antibody to CTLA-4. In Table 1, we have summarized select clinical trials of ipilimumab in metastatic melanoma. Objective response rates (complete response [CR] + partial response [PR]) have been in the range of 5% to 20%. Disease control rates (CR + PR + stable disease [SD]) of 15% to 30% have been reported. Studies involving higher doses of ipilimumab have shown higher response rates with increased toxicities.[3,29,31,32]
In most phase II and III clinical trials, induction therapy with doses ranging from 3 mg/kg to 10 mg/kg were given at 3-week intervals for four cycles.[14,29,31-35] Subsequent maintenance and reinduction schedules varied.[12,14, 5] A phase II study with multiple doses of ipilimumab by Wolchok and colleagues demonstrated dose-dependent efficacy; the best overall response rate-11.1%-was seen with the 10-mg/kg dose, compared with 4.2% with the 3-mg/kg dose.[12] Hodi and colleagues used a dose of 3 mg/kg in a phase III trial, with response rates of 11% (for ipilimumab alone) and 5.7% (for ipilimumab with a gp100 vaccine).[14]
Rates of adverse reactions, particularly autoimmune events, appear to be dose- and schedule-dependent.[12,32] Drug-related grade 3-4 toxicities were reported (primarily skin, gastrointestinal, and endocrine) in 20% to 40% of patients. Bowel perforation due to immune colitis, and mortality related to treatment, have been reported in a small percentage of patients (less than 2%) in the majority of trials.
The role of maintenance and reinduction treatment has been explored in phase II and III trials.[12,14,35] In a phase III study, patients with confirmed PR, CR, or SD for 3 months’ duration after completion of initial therapy (12 weeks) were offered reinduction with their assigned treatment regimen if they had experienced progression of disease (PD).[14] Of the 31 patients who were given reinduction therapy in this study, one achieved a CR, five achieved a PR, and 15 had SD. In other studies, patients who responded to induction ipilimumab received maintenance doses every 3 months until PD or development of severe toxicities.[12,29,35] Currently, the role of maintenance therapy is unclear, and further randomized clinical trials are needed to address this issue.
Reference Guide
Therapeutic Agents
Mentioned in This Article
Budesonide
Dacarbazine
Dexamethasone
gp100 Vaccine
Infliximab (Remicade)
Interferon-α
Interleukin-2
Ipilimumab
Methylprednisolone
Prednisone
Brand names are listed in parentheses only if a drug is not available generically and is marketed as no more than two trademarked or registered products. More familiar alternative generic designations may also be included parenthetically.
World Health Organization (WHO) and Response Evaluation Criteria in Solid Tumors (RECIST) criteria are radiological measurement tools developed primarily to define the objective response to cytotoxic chemotherapy.[36-39] Through clinical experience, it has become increasingly clear that these criteria are not suitable tools for assessing response to immune-based therapies.[36] For cytotoxic chemotherapy, the mechanism of action is primarily direct cancer cell death; thus, the effect can typically be quantified by measuring the decrease in tumor size. Hence, SD after cytotoxic chemotherapy is usually transient and does not signify consequential antitumor activity.
The mechanism by which immunotherapy works is complex; in vivo studies and post-treatment biopsies indicate that tumor can be infiltrated by CD8+ CTLs, resulting in tumor inflammation.[21,30] Therefore, tumor size may remain unchanged or may even increase before eventual regression is detectable by objective response criteria.[36,37] In various clinical trials with immune-based therapies, it has been shown that CR, PR, or SD can occur after an obvious increase in the size of the tumor, which would qualify as PD by WHO or RECIST criteria. A measurable response can be more delayed than with conventional chemotherapies. Therefore, SD or even small increases in tumor size can be seen in the setting of a meaningful therapeutic effect.
Wolchok and colleauges have proposed a new set of criteria to assess response in patients treated with ipilimumab; these are called the immune-related response criteria (irRC). irRC include total tumor burden, which is calculated by summation of the product of the perpendicular diameters of measurable index lesions and new lesions. Transient increases in the size of individual lesions and the transient appearance of new lesions are not considered PD. irRC include the following four categories:
• irCR: decrease of total tumor burden from baseline by 100%.
• irPR: decrease from baseline by > 50% but < 100%.
• irPD: increase from nadir by > 25%.
• irSD: < 50% decrease or < 25% increase in tumor burden.
Further details of irRC are described elsewhere.[29,35,36]
Although these proposed definitions have not been tested prospectively in a randomized clinical trial, they are helpful in patient management, as RECIST or WHO criteria can underestimate the antitumor activity of ipilimumab. Treating physicians, however, should also be mindful that irRC can potentially overestimate response to therapy and lead to unnecessary prolongation of potentially toxic treatment without benefit.[37]
The toxicities associated with ipilimumab differ from those typically seen with cytotoxic chemotherapy, and they create unique challenges in diagnosis and clinical management. CTLA-4 plays a critical role in native immune tolerance to self antigens, and the ability of ipilimumab to exacerbate autoimmunity in experimental models is well established.[22,23] Hence, the majority of adverse events reported in clinical trials are immune mediated-the so called “immune-related adverse events (irAEs),” which are consistent with the mechanism of action of ipilimumab.[6,14,31,40] These irAEs affect a range of organs, but the skin, gastrointestinal tract, and endocrine glands are most commonly involved. Antinuclear antibodies (ANA) have not been associated with irAEs, and they have no diagnostic value in this setting, since many patients with melanoma have baseline elevations of ANA titers.[32] We have summarized the reported immune- and nonimmune-related adverse effects of ipilimumab in Table 2.
TABLE 2

Adverse Reactions to Ipilimumab
These irAEs are dose-dependent, schedule-related, and cumulative.[12, 31, 32, 41] Grade 3/4 immune-related adverse events have been reported in 20% to 30% of patients in various clinical trials. Most irAEs are manageable and generally reversible with corticosteroids; however, life-threatening side effects and treatment-related mortality have been reported in most published trials. Additional immunosuppression is sometimes necessary.[41-45] Up to 50% of treatment-related deaths were associated with irAEs.[14] Close clinical and laboratory monitoring is required for early detection and timely initiation of treatment with immunosuppressive therapies. Long-term residual irAEs requiring treatment have been reported at 2-year follow-up in phase III trials-primarily dermatologic effects (rash, vitiligo, and pruritus), colitis/diarrhea, and endocrine-related adverse events.[14]
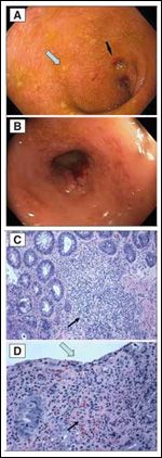
FIGURE 1

Colonoscopy and Histopathological Findings in an Ipilimumab-Treated Patient With Colitis
Diarrhea and colitis. Diarrhea and colitis have been reported in 10% to 35% of study patients and are the most commonly seen grade 3/4 toxicities in the majority of clinical trials. Most patients with colitis present within 2 weeks of starting treatment, although time of onset varies considerably.[46] Diarrhea and colitis often have a rapid onset and can be potentially life threatening when they result in bowel perforation and septicemia. Many refractory or severe cases of colitis have required diverting ileostomy or partial/complete colectomy.[46] Reported mortality in patients in whom colitis develops is as high as 5%.[45] Patients with colitis often have other gastrointestinal manifestations, including apthous ulcers, esophagitis, gastritis, and jejunitis.[41] Colonoscopic evaluation usually reveals diffuse inflammation and ulceration (Figures 1A and 1B). Biopsies of the involved mucosa usually show diffuse infiltration of inflammatory cells, primarily CD4+ T cells (Figure 1C). Histologically, colitis resulting from treatment with ipilimumab shows variable patterns of inflammation that do not correlate with the clinical course.[42-45] Patterns of inflammatory bowel disease with crypt abscesses and diffuse mucosal ulceration are commonly seen (Figure 1D).
Colitis should be managed with bowel rest and supportive care, as well as high doses of corticosteroids and/or infliximab (an anti-TNFα antibody), as detailed below. In cases with a prolonged clinical course and infliximab-refractory disease, features of epithelial cell apoptosis similar to those seen in gastrointestinal graft versus host disease (GVHD) have been reported.[43]
TABLE 3

Management of Diarrhea/Colitis in Patients Treated With Ipilimumab
Table 3 outlines the management of ipilimumab-related diarrhea and colitis. Patients who require corticosteroids should be started on 1 mg/kg of methylprednisolone or prednisone twice daily, and the corticosteroids should be gradually tapered over 30 days or longer.[41] Rapid tapering can lead to relapse and increase complications. Patients with continued symptoms beyond 1 week of initiation of corticosteroids, relapse of symptoms after initial response, or partial response to corticosteroids are considered steroid-refractory.[42,44] Steroid-refractory colitis should be treated with infliximab at a dose of 5 mg/kg.[41-45] Infliximab usually has a rapid onset of action, and a response is typically seen within 1 to 3 days.[42,45] Many patients require additional doses of infliximab at 2-week intervals (use the dose and schedule approved by the FDA for inflammatory bowel disease).[42,47] Bowel rest with parenteral nutrition is required in severe cases, along with supportive care, including hydration, close monitoring for electrolyte imbalance and bowel perforation, and prophylactic antibiotics. In patients with infliximab-refractory colitis, tacrolimus and rapamycin have been used successfully.[43] Although anecdotal reports have suggested no adverse outcome, the impact of the use of infliximab or other immunosuppressive agents on opportunistic infections remains largely unclear. Ongoing follow-up of patients enrolled in various clinical trials will be crucial for streamlining management of this potentially life-threatening adverse event.
Use of budesonide to prevent colitis in patients receiving ipilimumab was studied in a phase II clinical trial.[34] Prophylactic use of budesonide did not affect the rate of grade 2 or higher diarrhea, which occurred in 32.7% of patients who received budesonide and in 35.0% of patients who did not receive it. Symptomatic residual colitis and diarrhea requiring treatment for up to 2 years have been reported by Hodi and colleagues.[14]
Hepatitis. Hepatitis or transaminitis has been reported in 2% to 20% of patients treated with ipilimumab.[29,35] Asymptomatic rises in aspartate aminotransferase (AST) and alanine aminotransferase (ALT) are usually seen; isolated increases in bilirubin are uncommon.[29] Liver biopsies usually reveal histopathology of autoimmune hepatitis with diffuse lymphocytic infiltrates and ballooning degeneration.[40] For grade 3 liver toxicity (AST and ALT more than five times the institutional upper level of normal), ipilimumab should be discontinued, and oral corticosteroids for a 30-day course or longer are warranted. Patients with grade 4 enzyme elevations require inpatient admission and intravenous corticosteroids. Severe hepatitis leading to fatal liver failure resulting from delay in initiation of corticosteroid treatment has been reported.[35]
FIGURE 2

MRI Findings in a Patient With Ipilimumab-Induced Hypophysitis
Hypophysitis is the most commonly reported endocrine adverse reaction associated with ipilimumab.[14,18] Clinical manifestations of hypophysitis are probably dependent on the rapidity of onset, severity, and relative suppression of the endocrine axes (thyroid vs adrenal vs gonads). Enlargement of the pituitary gland on imaging of the brain has been reported as the earliest sign (Figure 2).[18] Abnormalities in laboratory testing and development of clinical symptoms of hormone deficiency usually follow the radiological changes.[18,48]
Symptoms of hormone deficiency vary and include fatigue, insomnia, loss of libido, anorexia, weight loss, severe hyponatremia, profound hypothyroidism, and/or symptoms mimicking Addison disease.[48-50] Hypophysitis resulting in enlargement of the pituitary gland can present with headache, nausea, vomiting, and/or visual disturbances.[48,50] The presentation can mimic that of bleeding or edema of intracranial metastasis and requires prompt evaluation. Hence, a high index of suspicion is required to diagnose hypophysitis, since signs and symptoms can be very subtle and misleading.
Unlike most other irAEs, where treatment with corticosteroids usually leads to resolution of symptoms, endocrine dysfunction seems to have a protracted course and is irreversible in many cases. Dysfunction of the adrenal axis, whether primary adrenal insufficiency (elevated adrenocorticotropic hormone [ACTH], resulting from adrenalitis) or secondary adrenal insufficiency (low ACTH, resulting from hypophysitis), often seems to be an irreversible irAE, and long-term corticosteroids using physiologic replacement doses are required. [3,14, 18,35,40] Early treatment of subclinical hypophysitis frequently does not change the requirement for eventual hormone replacement.[18,40]
Ocular toxicities associated with ipilimumab treatment also need very vigilant clinical follow-up. Uveitis can lead to permanent vision loss and needs immediate treatment. Patients usually present with decreased visual acuity, photophobia, and painful tearing.[6,31,40] Local treatment with periocular corticosteroid injections and corticosteroid eye drops are generally effective, but systemic corticosteroids are required in severe cases.[40]
Asymptomatic elevation of lipase/amylase and grade 4 ipilimumab-related pancreatitis have been reported.[51] A case of severe constipation, with intestinal biopsy showing inflammation of the mesenteric plexus and accompanied by autonomic neuropathy, has been reported.[52] Other rare side effects, such as lupus-like nephritis,[53] aseptic meningitis,[18] pure red cell aplasia,[54] immune-mediated pancytopenia,[29] and autoimmune inflammatory myopathy[55] have been reported.
Retrospective reports suggest that there is no negative effect in terms of melanoma-related outcome when systemic corticosteroids are used to manage irAEs.[3,31,56] A subset analysis of 23 patients who had treatment response to ipilimumab revealed that corticosteroid administration had no significant effect on duration of clinical response (P = .23).[3] Maker and colleagues have reported a similar observation; use of high-dose corticosteroids to treat irAEs had no impact on the durability of objective clinical responses.[31] However, the safety of corticosteroids has not been established in large-scale trials, and precise algorithms for immunosuppression need to be prospectively validated.
Various phase I/II studies have shown that the development of irAEs, particularly grade 3 or 4 irAEs, is associated with tumor response.[3,29,32,41] Ku and colleagues reported better clinical outcome at 24 weeks in patients with irAEs than in those without irAEs (CR+PR+SD, 60% vs 22%; P < .01) and a better objective response rate in patients with grade 3 or 4 irAEs than in those with irAEs of grade 2 or lower (27% vs 6%, P < .05). Similar observations were reported by Downey and colleagues, who found that out of 50 patients in whom grade 3/4 irAEs developed, 14 (28%) experienced an objective response, with a median duration of response of 34 months. All three patients with CR had grade 3 or 4 irAEs. In subsets of patients experiencing grade 1/2 irAEs, only 8 out of 36 (22%) experienced an objective response-and all of these were partial responses, with a median duration of response of 11 months. The association between development of irAEs and the likelihood of clinical response was significant (P = .0004).[3]
Despite these observations, a phase II study by Maker and colleagues addressing this question failed to establish a correlation between increased adverse reactions and objective response rates.[31] The recently published phase III study did not address this phenomenon.[14]
Most studies of ipilimumab have excluded patients with active/untreated CNS disease.[14] A multi-center phase II study of ipilimumab monotherapy in patients with melanoma metastatic to the brain was recently reported. Ipilimumab was shown to have a similar level of activity in brain and non-CNS lesions.[57] Out of 51 patients, 5 had a PR in CNS lesions, and an additional 6 patients showed stable disease per WHO criteria. Further follow-up of this study with survival analysis has yet to be reported. In the foreseeable future, most patients will require multimodality approaches to control CNS disease in addition to systemic treatment.
Despite the demonstrated overall survival benefit in ipilimumab-treated patients, response rates reported in various trials with ipilimumab are in the range of 5% to 15%, and durable responses are less frequent. Although the discovery of ipilimumab has shifted the paradigm for evaluating drug efficacy and reinforced hope in immunotherapy, many aspects of ipilmumab use require additional evaluation, including toxicity management, predictive biomarkers, assessment of response to therapy, and optimal use of combination therapies. Further progress in immunotherapy is likely to come from the combination of ipilimumab with other therapies, including cytotoxic chemotherapy and radiation therapy to improve antigen presentation, or with other immune-modulating agents. Moreover, studies are ongoing to assess the role of ipilimumab in the adjuvant setting and in the treatment of other malignancies.[19,20,49]
Financial Disclosure:The authors have no significant financial interest or other relationship with the manufacturers of any products or providers of any service mentioned in this article.
References:
1. Jilaveanu LB, Aziz SA, Kluger HM. Chemotherapy and biologic therapies for melanoma: do they work? Clin Dermatol. 2009;27:614-25.
2. Jemal A, Siegel R, Xu J, Ward E. Cancer statistics, 2010. CA Cancer J Clin. 2010;60:277-300.
3. Downey SG, Klapper JA, Smith FO, et al. Prognostic factors related to clinical response in patients with metastatic melanoma treated by CTL-associated antigen-4 blockade. Clin Cancer Res. 2007;13:6681-8.
4. Hill GJ, 2nd, Krementz ET, Hill HZ. Dimethyl triazeno imidazole carboxamide and combination therapy for melanoma. IV. Late results after complete response to chemotherapy (Central Oncology Group protocols 7130, 7131, and 7131A). Cancer. 1984;53:1299-305.
5. Sznol M. Betting on immunotherapy for melanoma. Curr Oncol Rep. 2009;11:397-404.
6. Maker AV, Phan GQ, Attia P, et al. Tumor regression and autoimmunity in patients treated with cytotoxic T lymphocyte-associated antigen 4 blockade and interleukin 2: a phase I/II study. Ann Surg Oncol. 2005;12:1005-16.
7. Ives NJ, Stowe RL, Lorigan P, Wheatley K. Chemotherapy compared with biochemotherapy for the treatment of metastatic melanoma: a meta-analysis of 18 trials involving 2,621 patients. J Clin Oncol. 2007;25:5426-34.
8. Sasse AD, Sasse EC, Clark LG, et al. Chemoimmunotherapy versus chemotherapy for metastatic malignant melanoma. Cochrane Database Syst Rev. 2007:CD005413.
9. Keilholz U, Goey SH, Punt CJ, et al. Interferon alfa-2a and interleukin-2 with or without cisplatin in metastatic melanoma: a randomized trial of the European Organization for Research and Treatment of Cancer Melanoma Cooperative Group. J Clin Oncol. 1997;15:2579-88.
10. Kaufmann R, Spieth K, Leiter U, et al. Temozolomide in combination with interferon-alfa versus temozolomide alone in patients with advanced metastatic melanoma: a randomized, phase III, multicenter study from the Dermatologic Cooperative Oncology Group. J Clin Oncol. 2005;23:9001-7.
11. Eton O, Legha SS, Bedikian AY, et al. Sequential biochemotherapy versus chemotherapy for metastatic melanoma: results from a phase III randomized trial. J Clin Oncol. 2002;20:2045-52.
12. Wolchok JD, Neyns B, Linette G, et al. Ipilimumab monotherapy in patients with pretreated advanced melanoma: a randomised, double-blind, multicentre, phase 2, dose-ranging study. Lancet Oncol. 2010;11:155-64.
3. Hauschild A, Garbe C, Stolz W, et al. Dacarbazine and interferon alpha with or without interleukin 2 in metastatic melanoma: a randomized phase III multicentre trial of the Dermatologic Cooperative Oncology Group (DeCOG). Br J Cancer. 2001;84:1036-42.
14. Hodi FS, O’Day SJ, McDermott DF, et al. Improved survival with ipilimumab in patients with metastatic melanoma. N Engl J Med. 2010;363:711-23.
15. Komenaka I, Hoerig H, Kaufman HL. Immunotherapy for melanoma. Clin Dermatol. 2004;22:251-65.
16. Gogas H, Ioannovich J, Dafni U, et al. Prognostic significance of autoimmunity during treatment of melanoma with interferon. N Engl J Med. 2006;354:709-18.
17. Frankenthaler A, Sullivan RJ, Wang W, et al. Impact of concomitant immunosuppression on the presentation and prognosis of patients with melanoma. Melanoma Res. 2010;20:496-500.
18. Yang JC, Hughes M, Kammula U, et al. Ipilimumab (anti-CTLA4 antibody) causes regression of metastatic renal cell cancer associated with enteritis and hypophysitis. J Immunother. 2007;30:825-30.
19. Small EJ, Tchekmedyian NS, Rini BI, et al. A pilot trial of CTLA-4 blockade with human anti-CTLA-4 in patients with hormone-refractory prostate cancer. Clin Cancer Res. 2007;13:1810-5.
20. Ipilimumab. Drugs R D. 2010;10:97-110.
21. Hodi FS, Butler M, Oble DA, et al. Immunologic and clinical effects of antibody blockade of cytotoxic T lymphocyte-associated antigen 4 in previously vaccinated cancer patients. Proc Natl Acad Sci U S A. 2008;105:3005-10.
22. Read S, Greenwald R, Izcue A, et al. Blockade of CTLA-4 on CD4+CD25+ regulatory T cells abrogates their function in vivo. J Immunol. 2006;177:4376-83.
23. Korman AJ, Peggs KS, Allison JP. Checkpoint blockade in cancer immunotherapy. Adv Immunol. 2006;90:297-339.
24. Nestle FO, Burg G, Dummer R. New perspectives on immunobiology and immunotherapy of melanoma. Immunol Today. 1999;20:5-7.
25. Klein O, Ebert LM, Nicholaou T, et al. Melan-A-specific cytotoxic T cells are associated with tumor regression and autoimmunity following treatment with anti-CTLA-4. Clin Cancer Res. 2009;15:2507-13.
26. Gajewski TF. Improved melanoma survival at last! Ipilimumab and a paradigm shift for immunotherapy. Pigment Cell Melanoma Res. 2010;23:580-1.
27. Ise W, Kohyama M, Nutsch KM, et al. CTLA-4 suppresses the pathogenicity of self antigen-specific T cells by cell-intrinsic and cell-extrinsic mechanisms. Nat Immunol. 2010;11:129-35.
28. Laurent S, Carrega P, Saverino D, et al. CTLA-4 is expressed by human monocyte-derived dendritic cells and regulates their functions. Hum Immunol. 2010;71:934-41.
29. Ku GY, Yuan J, Page DB, et al. Single-institution experience with ipilimumab in advanced melanoma patients in the compassionate use setting: lymphocyte count after 2 doses correlates with survival. Cancer. 2010;116:1767-75.
30. Hodi FS, Oble DA, Drappatz J, et al. CTLA-4 blockade with ipilimumab induces significant clinical benefit in a female with melanoma metastases to the CNS. Nat Clin Pract Oncol. 2008;5:557-61.
31. Maker AV, Yang JC, Sherry RM, et al. Intrapatient dose escalation of anti-CTLA-4 antibody in patients with metastatic melanoma. J Immunother. 2006;29:455-63.
32. Weber JS, O’Day S, Urba W, et al. Phase I/II study of ipilimumab for patients with metastatic melanoma. J Clin Oncol. 2008;26:5950-6.
33. Hersh EM, O’Day SJ, Powderly J, et al. A phase II multicenter study of ipilimumab with or without dacarbazine in chemotherapy-naive patients with advanced melanoma. Invest New Drugs. 2010 Jan 16. [Epub ahead of print]
34. Weber J, Thompson JA, Hamid O, et al. A randomized, double-blind, placebo-controlled, phase II study comparing the tolerability and efficacy of ipilimumab administered with or without prophylactic budesonide in patients with unresectable stage III or IV melanoma. Clin Cancer Res. 2009;15:5591-8.
35. O’Day SJ, Maio M, Chiarion-Sileni V, et al. Efficacy and safety of ipilimumab monotherapy in patients with pretreated advanced melanoma: a multicenter single-arm phase II study. Ann Oncol. 2010;21:1712-7.
36. Wolchok JD, Hoos A, O’Day S, et al. Guidelines for the evaluation of immune therapy activity in solid tumors: immune-related response criteria. Clin Cancer Res. 2009;15:7412-20.
37. Ribas A, Chmielowski B, Glaspy JA. Do we need a different set of response assessment criteria for tumor immunotherapy? Clin Cancer Res. 2009;15:7116-8.
38. Shanbhogue AK, Karnad AB, Prasad SR. Tumor response evaluation in oncology: current update. J Comput Assist Tomogr. 2010;34:479-84.
39. Therasse P, Eisenhauer EA, Verweij J. RECIST revisited: a review of validation studies on tumour assessment. Eur J Cancer. 2006;42:1031-9.
40. Attia P, Phan GQ, Maker AV, et al. Autoimmunity correlates with tumor regression in patients with metastatic melanoma treated with anti-cytotoxic T-lymphocyte antigen-4. J Clin Oncol. 2005;23:6043-53.
41. Weber J. Ipilimumab: controversies in its development, utility and autoimmune adverse events. Cancer Immunol Immunother. 2009;58:823-30.
42. Minor DR, Chin K, Kashani-Sabet M. Infliximab in the treatment of anti-CTLA4 antibody (ipilimumab) induced immune-related colitis. Cancer Biother Radiopharm. 2009;24:321-5.
43. Lord JD, Hackman RC, Moklebust A, et al. Refractory colitis following anti-CTLA4 antibody therapy: analysis of mucosal FOXP3+ T cells. Dig Dis Sci. 2010;55:1396-405.
44. Johnston RL, Lutzky J, Chodhry A, Barkin JS. Cytotoxic T-lymphocyte-associated antigen 4 antibody-induced colitis and its management with infliximab. Dig Dis Sci. 2009;54:2538-40.
45. Beck KE, Blansfield JA, Tran KQ, et al. Enterocolitis in patients with cancer after antibody blockade of cytotoxic T-lymphocyte-associated antigen 4. J Clin Oncol. 2006;24:2283-9.
46. Phan GQ, Weber JS, Sondak VK. CTLA-4 blockade with monoclonal antibodies in patients with metastatic cancer: surgical issues. Ann Surg Oncol. 2008;15:3014-21.
47. Rutgeerts P, Sandborn WJ, Feagan BG, et al. Infliximab for induction and maintenance therapy for ulcerative colitis. N Engl J Med. 2005;353:2462-76.
48. Kaehler KC, Egberts F, Lorigan P, Hauschild A. Anti-CTLA-4 therapy-related autoimmune hypophysitis in a melanoma patient. Melanoma Res. 2009;19:333-4.
49. Ansell SM, Hurvitz SA, Koenig PA, et al. Phase I study of ipilimumab, an anti-CTLA-4 monoclonal antibody, in patients with relapsed and refractory B-cell non-Hodgkin lymphoma. Clin Cancer Res. 2009;15:6446-53.
50. Carpenter KJ, Murtagh RD, Lilienfeld H, et al. Ipilimumab-induced hypophysitis: MR imaging findings. AJNR Am J Neuroradiol. 2009;30:1751-3.
51. Di Giacomo AM, Danielli R, Guidoboni M, et al. Therapeutic efficacy of ipilimumab, an anti-CTLA-4 monoclonal antibody, in patients with metastatic melanoma unresponsive to prior systemic treatments: clinical and immunological evidence from three patient cases. Cancer Immunol Immunother. 2009;58:1297-306.
52. Bhatia S, Huber BR, Upton MP, Thompson JA. Inflammatory enteric neuropathy with severe constipation after ipilimumab treatment for melanoma: a case report. J Immunother. 2009;32:203-5.
53. Fadel F, El Karoui K, Knebelmann B. Anti-CTLA4 antibody-induced lupus nephritis. N Engl J Med. 2009;361:211-2.
54. Gordon IO, Wade T, Chin K, et al. Immune-mediated red cell aplasia after anti-CTLA-4 immunotherapy for metastatic melanoma. Cancer Immunol Immunother. 2009;58:1351-3.
55. Hunter G, Voll C, Robinson CA. Autoimmune inflammatory myopathy after treatment with ipilimumab. Can J Neurol Sci. 2009;36:518-20.
56. Harmankaya K, Erasim C, Koelblinger C, et al. Continuous systemic corticosteroids do not affect the ongoing regression of metastatic melanoma for more than two years following ipilimumab therapy. Med Oncol. 2010 Jul 1. [Epub ahead of print].
57. Lawrence DP, Hamid O, McDermott DF, et al. Phase II trial of ipilimumab monotherapy in melanoma patients with brain metastases. J Clin Oncol. 2010;28(suppl; abstr 8523).
Late Hepatic Recurrence From Granulosa Cell Tumor: A Case Report
Granulosa cell tumors exhibit late recurrence and rare hepatic metastasis, emphasizing the need for lifelong surveillance in affected patients.