The Case: A 48-year-old perimenopausal woman noted a lump in her left breast. She had had a mammogram 9 months earlier without abnormality. After ultrasound imaging confirmed a solitary mass measuring about 1.5 cm, a core needle biopsy demonstrated a poorly differentiated mammary carcinoma with chondroid features.
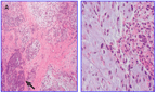
The Case: A 48-year-old perimenopausal woman noted a lump in her left breast. She had had a mammogram 9 months earlier without abnormality. After ultrasound imaging confirmed a solitary mass measuring about 1.5 cm, a core needle biopsy demonstrated a poorly differentiated mammary carcinoma with chondroid features (Figure). Estrogen receptor (ER), progesterone receptor (PR), and human epidermal growth factor receptor 2 (HER2) status were tested by immunohistochemistry (IHC), and were all negative. The patient then underwent a lumpectomy and sentinel lymph node biopsy. A 1.4-cm poorly differentiated metaplastic carcinoma with chondroid was removed with negative margins. This time, ER was weakly staining in 2% of cells, and PR was weakly staining in 5% of cells; HER2 remained negative. The lymph nodes were uninvolved. Because the histology was unusual, the slides were reviewed at three institutions. Two of the three pathologists agreed that the tumor was metaplastic with evidence of chondroid differentiation; the third pathologist felt the tumor was just an unusual, poorly differentiated invasive ductal carcinoma. The patient plans to receive radiation therapy to her whole breast, but she presented to two medical oncologists to discuss adjuvant therapy. Both recommended chemotherapy with docetaxel plus cyclophosphamide for 4–6 cycles, although one felt that the addition of doxorubicin (“TAC” regimen) would be worthwhile. Endocrine therapy was discussed, with one oncologist strongly recommending tamoxifen, and the other recommending tamoxifen but without any enthusiasm. An Oncotype DX test was performed; the resulting reverse transcriptase polymerase chain reaction (RT-PCR) levels of ER, PR, and HER2 were all considered to be in the negative range.
Metaplastic carcinomas are a heterogeneous group of tumors that exhibit a classic carcinomatous component derived from mammary epithelium, and at least one metaplastic component. The morphologic phenotype of the metaplasia is broad; the most common types are squamous and heterologous or pseudosarcomatous.[1,2] Metaplastic breast cancers are considered very high grade, and are almost always ER-, PR-, and HER2-negative (“triple negative” breast cancer [TNBC]); those with sarcomatoid features are perhaps even more ominous.[3] Only ~5% express any ER. The metaplastic breast cancers typically fit into the mesenchymal subtypes of TNBC as described by Lehmann et al.[4,5] At the molecular level, the metaplastic tumors have frequent BRCA1 gene promoter methylation, upregulation of epithelial-mesenchymal transition (EMT) genes, and increased activation of the PI3K pathway (greater downregulation of PTEN, increased PI3K mutations, and increased copy numbers of AKT1 and AKT2.[6-8]
FIGURE

Metaplastic Carcinoma
We will discuss two aspects of the medical oncologists’ decision making: (1) whether doxorubicin should be included in the chemotherapy regimen, and (2) whether an endocrine therapy, such as tamoxifen, should be used in the adjuvant setting.
First, let us consider just what this patient’s risk is for the development of metastatic breast cancer. By several techniques, I would estimate the patient’s risk of developing and then dying of metastatic breast cancer within 10 years as roughly 20% to 25%. Her Recurrence Score (RS) demonstrated a TNBC, and therefore official results were not reported. Risk reduction with tamoxifen is likely to be small. Average risk reduction with a third-generation anthracycline/taxane–containing regimen would be estimated at 55%, thus leaving a residual risk of about 12% to 13%.
Treatment with docetaxel + cyclophosphamide (“TC” regimen) achieved a hazard ratio (HR) of 0.67 compared with doxorubicin + cyclophosphamide (“AC” regimen) with respect to disease-free survival.[9] A similar average relative risk reduction was achieved when TAC was compared with AC in cross-study comparisons, thus sparking a controversy as to whether doxorubicin is worth its risks. We won’t belabor this controversy; the current state of the art is reflected in a randomized trial (US Oncology 06090/National Adjuvant Breast and Bowel Project [NSABP] B46) comparing TC, TC plus bevacizumab (Avastin), and TAC, each for 6 cycles. Unfortunately (for science), this trial was closed prior to completion of accrual because of the US Food and Drug Administration revocation of approval of bevacizumab for breast cancer treatment. NSABP B46 was replaced by NSABP B49, with a similar trial design but with expansion of the eligible choices of third-generation anthracycline-containing regimens. This trial is ongoing. It is hoped that tissues obtained prospectively will provide clues as to which patients will benefit from doxorubicin.
All these comparisons reflect the typical tumor biology present in the clinical trial. Is it possible that certain tumors will benefit more from the addition of doxorubicin-for example, tumors with overexpression of topoisomerase II?[10] Breast cancers with BRCA1/2 mutations, or certain subtypes of TNBC, including metaplastic cancers, that have defects in DNA damage repair, may possess increased sensitivity to DNA-damaging agents such as anthracyclines and cyclophosphamide, as well as platins.
Is this patient likely to benefit from tamoxifen? In the original description of the Allred score, patients with ER-positive Allred 3 tumors (eg, weak staining in 1% to 10% of cells, or moderate staining in 1%) appeared to derive benefit from tamoxifen.[11] In the neoadjuvant trials of ER-positive tumors reported by Ellis et al, the Allred 3 tumors did appear to respond to aromatase inhibitors, but not to tamoxifen.[12,13] In the analysis of NSABP B14 results of the 21-gene assay, patients with RS > 30 did not appear to benefit from tamoxifen adjuvantly, although further testing of this hypothesis has not been carried out.[14]
Is the IHC assay reliable? The reproducibility of ER IHC is good, but it is estimated to have at least a 10% error rate, and there is a lack of consensus regarding the reporting of hormone receptor status. Should we believe the IHC-or the RT-PCR assessment that this patient’s tumor is ER- and PR-negative? Several studies have shown high concordance between IHC and RT-PCR, ranging from 85% to 99%, with IHC being slightly more sensitive.[15-17] Variations in preanalytical variables, including fixation time, specimen processing, and choice of hormone receptor antibodies, are known to influence results by IHC; however RT-PCR assays are likewise susceptible to external factors, including differences in RNA extraction methods, machines, primer/probe, reagents, and cutoff thresholds. A sample from the Eastern Cooperative Oncology Group (ECOG) study E2197 found a difference in the distribution of discrepant cases, describing more IHC–ER-negative/RT-PCR–positive cases than IHC–ER-positive/RT-PCR–negative cases. The investigators noted that the few IHC–ER-positive/RT-PCR–negative cases tended to cluster within two units (four-fold range) of the RT-PCR cutoff.[16]
In a retrospective analysis of NSABP trials B14 and P1, mRNA levels correlated well with benefit from tamoxifen.[18] Are reference labs better? In the big North American trastuzumab (Herceptin) adjuvant trials, patients with tumors that tested positive for HER2 locally, but that were deemed negative centrally, tended to derive benefit from trastuzumab,[19] suggesting that some tumors may be heterogeneous for expression of HER2, and prompting a randomized clinical trial (NSABP B47) to test trastuzumab in breast cancers that are weakly HER2-positive on IHC (scoring 1+ to 2+).
This is a young premenopausal woman with a T1cN0 metaplastic breast cancer that is ER/PR Allred score 3, but negative by mRNA. Our recommendations are: adjuvant chemotherapy with TAC × 6 or dose-dense doxorubicin and cyclophosphamide followed by paclitaxel (ddAC-T). Whole-breast radiation therapy would follow. The patient could try tamoxifen, although the likelihood of benefit is very small.
Financial Disclosure:The authors have no significant financial interest or other relationship with the manufacturers of any products or providers of any service mentioned in this article.
1. Tavassoli FA. Classification of metaplastic carcinomas of the breast. Pathol Annu. 1992;27:89-119.
2. Wargotz ES, Norris HJ. Metaplastic carcinoma of the breast: matrix producing carcinoma. Human Pathol. 1989;20:628-35.
3. Lester TR, Hunt KK, Nayeemuddin KM, et al. Metaplastic sarcomatoid carcinoma of the breast appears more aggressive than other triple receptor-negative breast cancers. Breast Cancer Res Treat. 2012;131:41-8.
4. Lehmann BD, Bauer JA, Chen X et al. Identification of human triple-negative breast cancer subtypes and preclinical models for selection of targeted therapies. J Clin Invest. 2011;121:2750-67.
5. Chen X, Li J, Gray WH et al. TNBCtype: a subtyping tool for triple-negative breast cancer. Cancer Inform. 2012;11:147-56.
6. Hennessy BT, Gonzalez-Angulo AM, Stemke-Hale K, et al. Characterization of a naturally occurring breast cancer subset enriched in epithelial-to-mesenchymal transition and stem cell characteristics. Cancer Res. 2009;69:4116-24.
7. Weigelt B, Kreike B, Reis-Filho JS. Metaplastic breast carcinomas are basal-like breast cancers: a genomic profiling analysis. Breast Cancer Res Treat. 2009;117:273-80.
8. Turner NC, Reis-Filho JS, Russell AM, et al. BRCA1 dysfunction in sporadic basal-like breast cancer. Oncogene. 2007;26:2126-32.
9. Jones S, Holmes FA, O’Shaughnessy J, et al. Docetaxel with cyclophosphamide is associated with an overall survival benefit compared with doxorubicin and cyclophosphamide: 7-year follow-up of US Oncology Research Trial 9735. J Clin Oncol. 2009;27:1177-83.
10. Pritchard KI, Messersmith H, Elavathil L, et al. HER-2 and topoisomerase II as predictors of response to chemotherapy. J Clin Oncol. 2008;26:736-44.
11. Harvey JM, Clark GM, Osborne CK, Allred DC. Estrogen receptor status by immunohistochemistry is superior to the ligand-binding assay for predicting response to adjuvant endocrine therapy in breast cancer. J Clin Oncol. 1999;17:1474-81.
12. Ellis MJ, Coop A, Singh B, et al. Letrozole is more effective neoadjuvant endocrine therapy than tamoxifen for ErbB1- and/or ErbB2-positive, estrogen receptor-positive primary breast cancer: evidence from a phase III randomized trial. J Clin Oncol. 2001;19:3808-16.
13. Smith IE, Dowsett M, Ebb SR, et al. Neoadjuvant treatment of postmenopausal breast cancer with anastrozole, tamoxifen, or both in combination: the immediate preoperative anastrozole, tamoxifen, or combined with tamoxifen (IMPACT) multicenter double-blind randomized trial. J Clin Oncol. 2005;23:5108-16.
14. Paik S, Shak S, Tang G, et al. A multigene assay to predict recurrence of tamoxifen-treated, node-negative breast cancer. N Engl J Med. 2004;351:2817-26.
15. O'Connor SM, Beriwal S, Dabbs DJ, et al. Concordance between semiquantitative immunohistochemcial assay and Oncotype DX RT-PCR assay for estrogen and progesterone receptors. Appl Immunohistochem Mol Morphol. 2010;18:268-72.
16. Badve SS, Baehner FL, Gray RP, et al. Estrogen- and progesterone-receptor status in ECOG 2197: comparison of immunohistochemistry by local and central laboratories and quantitative reverse transcription polymerase chain reaction by central laboratory. J Clin Oncol. 2008;26:2473-81.
17. Kraus JA, Dabbs DJ, Beriwal S, Bhargava R. Semi-quantitative immunohistochemical assay versus Oncotype DX qRT-PCR assay for estrogen and progesterone receptors: and independent quality assurance study. Mod Pathol. 2012;25:869-76.
18. Kim C, Tang G, Pogue-Geile KL, et al. Estrogen receptor (ESR1) mRNA expression and benefit from tamoxifen in the treatment and prevention of estrogen receptor-positive breast cancer. J Clin Oncol. 2011;29:4160-7.
19. Perez EA, Press MF, Dueck AC, et al. Immunohistochemistry and fluorescence in situ hybridization assessment of HER2 in clinical trials of adjuvant therapy for breast cancer (NCCTG N9831, BCIRB 006, and BCIRG 005). Breast Cancer Res Treat. 2013;138:99-108.