The development of metastatic disease in patients with paraganglioma is an unusual and challenging event. This case report and review describes the specific features of this disease and the multiple therapeutic options.
Paragangliomas are usually low-grade neoplasms with a benign natural history. While the treatment of paraganglioma has historically been controversial, surgery and radiotherapy have become standardized as therapies of choice for primary therapy. More recently, stereotactic radiosurgery has been used effectively against this rare tumor. The development of metastatic disease in patients with paraganglioma is an unusual and challenging event. This case report and review describes the specific features of this disease and the multiple therapeutic options.
Paragangliomas, also known as glomus tumors and chemodectomas, are usually low-grade neoplasms of neural crest origin that arise in various locations within the autonomic nervous system. These tumors generally have a benign natural history, but in up to 3% of cases, they may metastasize. Although paragangliomas are rare, clinicians should understand the potentially aggressive biology of these tumors when they result in metastatic disease.
A 64-year-old male presented with an asymptomatic right midneck mass in early 1993. The patient underwent a computed tomography (CT) scan, which demonstrated a vascular tumor near the carotid body, and he underwent a primary surgical resection of what was diagnosed as a glomus jugulare paraganglioma of the right carotid bifurcation. No adjuvant therapy was performed at that time, as the neoplasm was thought to have been totally excised. The following year, he presented with right true vocal cord paralysis and pharyngeal incompetence. A magnetic resonance imaging (MRI) scan of the neck and base of skull demonstrated a hypervascular right carotid body lesion extending superiorly to the level of the jugular foramen. He underwent a subtotal surgical resection, with pathologic confirmation of a recurrent paraganglioma.
Subsequently the patient was treated with three-dimensional postoperative radiotherapy to the gross residual disease. He received 54.0 Gy at 1.8 Gy per fraction over 7 weeks, completing radiotherapy in December 1994.
In 1996, the patient developed pain in his lower thoracic spine. An MRI scan demonstrated a hypervascular lesion in the 11th thoracic vertebra without spinal cord compression and suggestive of metastasis. CTs of the thorax, abdomen, and pelvis along with a craniospinal MRI failed to reveal any other focus of disease, and the patient underwent posterior thoracic laminectomy with T11 corpectomy. The resultant surgical specimen was interpreted as metastatic paraganglioma, incompletely excised. He received palliative postoperative radiotherapy from T9-L1, consisting of 39 Gy in 13 fractions.
In 2003, he developed superior visual field compromise, but no intracranial pathology was identified at that time despite serial contrast-enhanced MRI scanning. [Editor's note: To this point in the case, the majority of care was delivered by clinicians in another state, and consequently, specific details about management decisions are not available.]
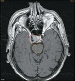
In late 2004, the patient developed progressive headaches without associated symptomatology and underwent an MRI of the brain at our institution. The MRI demonstrated a hypervascular suprasellar mass measuring 2.0 cm in greatest dimension, involving the right cavernous sinus, adjacent pituitary fossa, and medial right petrous bone. No other lesions were identified on this MRI or on the follow-up CT scans of the thorax, abdomen, and pelvis.
FIGURE 1

Brain MRI
The case was reviewed by a multidisciplinary tumor board, at which it was decided that surgical resection was not feasible and tissue diagnosis would carry a high risk of potentially fatal hemorrhage. The patient then received intensity-modulated radiation therapy (IMRT) to this lesion, utilizing 6 MV photons at 180 cGy per fraction to a total dose of 5,040 cGy to the 90% isodose line in 37 elapsed days (Figure 1). This protracted IMRT regimen was chosen to minimize neurotoxicity, as the treatment field potentially overlapped the previous cervical field treated 10 years prior. Unfortunately, the patient developed midthoracic spine pain during the course of IMRT.
An MRI scan of the entire spine demonstrated a hypervascular lesion in the T6 vertebral body suggestive of metastatic paraganglioma, which had not been visible on an MRI scan done only 6 months prior. The prior operative site in the thoracolumbar spine demonstrated relative stability. No tissue confirmation was felt necessary in view of the patient's history. A course of palliative irradiation of the thoracic spine was begun, and 3,750 cGy was delivered at 250 cGy per fraction over 20 elapsed days.
In January 2005, repeat MRI scanning demonstrated partial regression of the disease in both the cavernous sinus and the thoracic spine, and the patient's clinical symptomatology stabilized. He experienced no further headaches but did exhibit chronic lower extremity weakness requiring a cane for stability during ambulation. The patient expired approximately 6 months later from unrelated medical problems, with his disease remaining stable until his death.
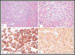
FIGURE 2

Immunohistochemical Staining
As noted earlier, paragangliomas are usually low-grade neoplasms with a benign natural history. The largest clusters of these neuroectodermal cells occur in the adrenal medulla, although other sites of involvement include the jugular foramen, the middle ear, the vagal nerve, the carotid bifurcation, and the periaortic regions. Paragangliomas are believed to store and secrete catecholamines in response to neuronal or chemical stimuli.[1] They are hypervascular tumors that present at various sites, including the carotid body, glomus vagale, and glomus tympanicum. Much less common sites of disease presentation are the ciliary ganglion, nasal cavity, larynx, trachea, periaortic region, and fallopian canal. Paragangliomas are the most common tumors of the middle ear and the second most common tumors of the temporal bone. Rare case reports have been published describing metastatic spread to, among other sites, the lung[2] and spine.[3]
The glomus jugulare was first described in 1840 by Valentin[4] as the "ganglia tympanica." However, it was not until 1945 that Rosenwasser[5] described the first "glomus tumor." Paragangliomas occur with an estimated annual incidence of 1 case per 1.3 million people.[3] These tumors occur predominantly in women, with a female-to-male ratio of 4:1 in the 5th and 6th decades of life.[6] They have also been noted to be more common on the left side, and multicentric in 3% to 10% of sporadic cases.[7,8] However, the rate of multicentricity increases to 25% to 50% of patients with a familial history. Although most paragangliomas are sporadic, they can be familial with autosomal dominant inheritance and incomplete penetrance. These tumors are usually nonchromaffin paragangliomas and are dependent on the age (rarely occurring in children) and gender of the affected parent, as only children of men possessing the gene (localized to band 11q23) develop tumors.[9,10]
Paragangliomas tend to expand within the temporal bone, foramina of the skull base, the acoustic meatus, and the eustachian tube. Because of the insidious onset of symptoms, these tumors often go unnoticed, and diagnosis is frequently delayed. Additionally, because of the location and extent of involvement, glomus jugulare tumors present a challenging diagnostic and management dilemma.
Up to 4% of paragangliomas are functional and produce clinically significant levels of catecholamines such as norepinephrine or dopamine with symptoms mimicking a pheochromocytoma.[11-14] Pheochromocytoma, parathyroid adenoma, and thyroid carcinoma have been reported in association with these tumors.[15-17]
The differential diagnosis of paragangliomas as they occur in the neck includes carotid artery aneurysm, branchial cleft cyst, benign tumors, and malignancy.[18] The differential diagnosis of tumors occurring in the temporal bone includes polyp of the auditory canal, acoustic neurinoma, malignancy (either primary or metastatic), cholesteatoma, histiocytosis, chronic serous otitis media, and mastoiditis.
A reduction in the proportion of type II cells and a poorer staining of type I sustentacular cells for S-100 and glial fibrillary acidic protein are reported to be correlated with an increased tumor grade.[6] Metastases from paragangliomas occur in approximately 1% to 3% of cases.[19] A metastatic lesion is distinguished from a multicentric lesion based on location. Metastases have been found in the lung, lymph nodes, liver, vertebrae, ribs, and spleen. Chemotherapy has been used with limited response rates.[2,20,21]
TABLE 1

Glasscock-Jackson Classification of Glomus Jugulare Tumors
The clinical course of paragangliomas reflects the insidious nature of their symptoms. Often, a significant delay in diagnosis occurs, and tumors may be quite large when first identified.
The most common symptoms are conductive hearing loss and pulsatile tinnitus. Other aural signs are otorrhea, hemorrhage, vertigo, and the presence of a middle-ear mass. Significant otalgia is uncommon. Cranial nerve involvement may produce hoarseness and dysphagia. The presence of jugular foramen syndrome (paresis of cranial nerves IX–XI) is pathognomonic for this tumor, but it usually follows 1 year after the initial symptoms of hearing loss and pulsatile tinnitus. Less commonly, paragangliomas produce a palsy of cranial nerves VI and XI, or Horner syndrome. Headache, hydrocephalus, and elevated intracranial pressure may be produced by intracranial extension of the tumor. Ataxia and brainstem symptoms may also develop.
In about 2% to 4% of cases, the initial symptomatology is hypertension and tachycardia produced by catecholamines, norepinephrine, or dopamine secreted by the tumor. Somatostatin, vasoactive intestinal polypeptide, and calcitonin may also be produced by these tumors. Other related symptoms include headache, perspiration, pallor, and nausea.
Otoscopic examination may reveal a pulsatile, reddish-blue tumor medial to the tympanic membrane, and the audiologic exam may reveal a sensorineural hearing loss. CT scanning is superior for demonstrating the extent of bone destruction while MRI with gadolinium-diethylenetriamine pentaacetic acid contrast is best for delineating the soft-tissue tumor limits. A combination of CT scanning and contrast-enhanced MRI is the imaging regimen of choice.
The treatment of paraganglioma has historically been controversial. It was not until the 1960s that diagnostic imaging devices (ie, arteriography and tomography) became sophisticated enough to accommodate surgical anatomic needs. Following the technologic imaging enhancements, multiple authors reported on various innovative surgical techniques.[22-27] Coincident with the development of improved surgical techniques, two staging systems were developed (Tables 1 and 2).[28,29] The Glasscock-Jackson and Fisch classifications are both accepted classifications, but the Fisch classification is more closely related to mortality and morbidity.
TABLE 2

Fisch Classification of Glomus Tumors of the Temporal Region (revised)
Proponents of surgical treatment for paraganglioma argue from a historic standpoint and cite local control rates of 60% to 72%[30,31] or higher depending on location. Surgery is typically difficult (due to the characteristic involvement of intracranial structures) and bloody (due to the structural nature of the tumor). However, this modality remains a viable option for properly selected patients.
More recently, radiation therapy has demonstrated local control rates equal to, or surpassing that of surgery.[32-36] Multiple institutions have reported excellent local control rates (82%–100%) with moderate doses of 30 to 50 Gy[33,35,37,38] and without the operative morbidity noted previously. However, doses of 4,500 to 5,040 cGy have recently become standardized.[18] Most recurrences are also amenable to radiotherapy. Many authors also cite radiation as the treatment of choice for lesions with extensive bony involvement. Newer studies have advocated for stereotactic radiosurgery in appropriately selected patients, with doses of 12 to 18 Gy producing local control rates of 94% to 100%.[38-40]
The management of systemic metastatic disease has been quite variable and site-specific. Multiple authors have reported on systemic therapy using agents such as gemcitabine (Gemzar) and cisplatin, with varying results.[2,3,41]
The development of metastatic disease in patients with paraganglioma is an unusual and challenging event. However, treating physicians should consider this possibility in the management of patients with a known diagnosis of paraganglioma who present with metastatic lesions.
This review demonstrates the need for multidisciplinary management of these patients, primarily with surgery and radiation, to optimize outcomes. Considering the excellent local control rates with primary irradiation alone, a nonsurgical definitive approach should initially be considered. We need a better understanding of the aggressive biology of these tumors and the development of metastatic disease as well as better and more effective systemic therapy. Additional data collection and study of paraganglioma is necessary to further elucidate the variable natural histories of these tumors and to define radiation dose-volume response characteristics.
References
1. Wasserman PG, Savargaonkar P: Paragangliomas: Classification, pathology, and differential diagnosis. Otolaryngol Clin North Am 34:845-862, 2001.
2. Tan KL, Mah PK, Rajasoorya C, et al: Paraganglioma with pulmonary metastases: A case report. Ann Acad Med Singapore 25:592-595, 1996.
3. Mertens WC, Grignon DJ, Romano W: Malignant paraganglioma with skeletal metastases and spinal cord compression: Response and palliation with chemotherapy. Clin Oncol (R Coll Radiol) 5:126-128, 1993.
4. Bickerstaff ER, Howell JS: The neurological importance of tumours of the glomus jugulare. Brain 76:576-593, 1953.
5. Rosenwasser H: Carotid body tumor of the middle ear and mastoid. Arch. Otolaryngol 41:64-67, 1945.
6. Wasserman PG, Savargaonkar P: Paragangliomas: Classification, pathology, and differential diagnosis. Otolaryngol Clin North Am 34:845-862, 2001.
7. Schwaber MK, Glasscock ME, Nissen AJ, et al: Diagnosis and management of catecholamine secreting glomus tumors. Laryngoscope 94:1008-1015, 1984.
8. Woods CI, Strasnick B, Jackson CG: Surgery for glomus tumors: The Otology Group Experience. Laryngoscope 103(suppl 60):65-70, 1993.
9. Heutink P, van der Mey AG, Sandkuijl LA, et al: A gene subject to genomic imprinting and responsible for hereditary paragangliomas maps to chromosome 11q23-qter. Hum Mol Genet 1:7-10, 1992.
10. Heth J: The basic science of glomus jugulare tumors. Neurosurg Focus 17(2):E2, 2004.
11. Schwaber MK, Glasscock ME, Nissen AJ, et al: Diagnosis and management of catecholamine secreting glomus tumors. Laryngoscope 94:1008-1015, 1984.
12. Netterville JL, Jackson CG, Miller FR, et al: Vagal paraganglioma: A review of 46 patients treated during a 20-year period. Arch Otolaryngol Head Neck Surg 124:1133-1140, 1998.
13. Jackson CG, Harris PF, Glasscock ME III, et al: Diagnosis and management of paragangliomas of the skull base. Am J Surg 159:389-393, 1990.
14. Brown JS: Glomus jugulare tumors revisited: A ten-year statistical follow-up of 231 cases. Laryngoscope 95:284-288, 1985.
15. McCaffrey TV, Myssiorek D, Marrinan M: Head and neck paragangliomas: Physiology and biochemistry. Otolaryngol Clin North Am 34:837-844, 2001.
16. Jackson CG: Glomus tympanicum and glomus jugulare tumors. Otolaryngol Clin North Am 34:941–970, 2001.
17. Parry DM, Li FP, Strong LC, et al: Carotid body tumors in humans: Genetics and epidemiology. J Natl Cancer Inst 68: 573-578, 1982.
18. DeVita V, Hellman S, Rosenberg S: Cancer: Principles and Practice of Oncology, 7th ed, pp 1875-1876. Philadelphia, Lippincott Williams & Wilkins, 2005.
19. Zak FG, Lawson W: The Paraganglionic Chemoreceptor System: Physiology, Pathology, and Clinical Medicine. New York, Springer-Verlag, 1982.
20. Shepard RC, Lopez W, Robert NJ: Chemotherapy of glomus jugulare tumors. J Clin Oncol 6:1202-1204, 1988.
21. Patel SR, Winchester DJ, Benjamin RS: A fifteen year experience with chemotherapy of patients with paraganglioma. Cancer 76:1476-1480, 1995.
22. Fisch U: Infratemporal fossa approach for extensive tumors of the temporal bone and base of skull, in Silverstein H, Norrell H (eds): Neurological Surgery of the Ear, pp 34-53. Birmingham, Alabama, Aesculapius, 1977.
23. Gejrot T: Surgical treatment of glomus jugulare tumors with special reference to the diagnostic value of retrograde jugulography. Acta Otolaryngol 60:150-168, 1965.
24. Jenkins HA, Fisch U: Glomus tumors of the temporal region. Technique of surgical resection. Arch Otolarygol 107:209-214, 1981.
25. Shapiro M, Neues D: Technique for removal of glomus jugulare tumors. Arch Otolaryngol 79:219-224, 1964.
26. Kempe L, VanderArk G, Smith D: The neurosurgical treatment of glomus jugulare tumors. J Nerosurg 35:59-64, 1971.
27. Hilding D, Geenberg A: Surgery for large glomus jugulare tumor: The combined suboccipital, transtemporal approach. Arch Otolaryngol 93:227-231, 1971.
28. Jenkins HA, Fisch U: Glomus tumors of the temporal region. Technique of surgical resection. Arch Otolaryngol 107:209-214, 1981.
29. Jackson CG, Glasscock ME, Harris PF: Glomus tumors: Diagnosis, classification, and management of large lesions. Arch Otolaryngol 108:401-406, 1982.
30. Manolidis S, Shohert JA, Jackson CG, et al: Malignant glomus tumors. Laryngoscope 109:30-34, 1999.
31. Grubb WV Jr, Lampe I: The role of radiation therapy in the treatment of chemodectomas of the glomus jugulare. Laryngoscope 75:1861-1871, 1965.
32. Kim J-A, Elkon D, Lim M-L, et al: Optimum dose of radiotherapy for chemodectomas of the middle ear. Int J Radiat Oncol Biol Phys 6:815-819, 1980.
33. Newman H, Rowe JF Jr, Phillips TL: Radiation therapy of the glomus jugulare tumor. AJR 118:663-669, 1973.
34. Thomsen K, Elbrond O, Andersen AP: Glomus jugulare tumors: A series of 21 cases. J Laryngol Otol 89:1113-1121, 1975.
35. Wang M-L, Hussey DH, Doornbos JF, et al: Chemodectoma of the temporal bone: A comparison of surgical and radiotherapeutic results. Int J Radiat Oncol Biol Phys 14:643-648, 1988.
36. Cummings BJ, Beale FA, Garrett PG, et al: The treatment of glomus tumors in the temporal bone by megavoltage radiation. Cancer 53:2635-2640, 1984.
37. Dickens WJ, Million RR, Cassisi NJ, et al: Chemodectomas arising in temporal bone structures. Laryngoscope 92:188-191, 1982.
38. Kondziolka D, Nathoo N, Flickinger J, et al: Long term results after radiosurgery for benign intracranial tumors. Neurosurgery 53:815-822, 2003.
39. Poolock B: Stereotactic radiosurgery in patients with glomus jugulare tumors. Neurosurg Focus 17(2):E10, 2004.
40. Gottfried O, Liu J, Couldwell W: Comparison of radiosurgery and conventional surgery for glomus jugulare tumors. Neurosurg Focus 17(2):E4, 2004.
41. Patel S, Winchester, D, and Benjamin R: A fifteen year experience with chemotherapy of patients with paraganglioma. Cancer 76:1476-1480, 1995.