Experts discuss the case of a 69-year-old man with a history of metastatic prostate cancer previously treated with androgen deprivation therapy with leuprolide.
Dr. Gonzalez-Ochoa is a Medical Oncology Fellow at Instituto Nacional de Ciencias Médicas y Nutrición Salvador Zubirán.

Dr. Verduzco-Aguirre is a Urologic Oncology Fellow at Instituto Nacional de Ciencias Médicas y Nutrición Salvador Zubirán.

Dr. Crawford is Chairman, Prostate Conditions Education Council; Editor in Chief, Grand Rounds in Urology; and Professor of Urology, University of California San Diego, La Jolla, California.

Dr. Bourlon is Associate Professor, Head Urologic Oncology Clinic, National Researcher. Instituto Nacional de Ciencias Médicas y Nutrición Salvador Zubirán. Mexico City, Mexico. She is also a Member of ASCO’s IDEA Working Group.

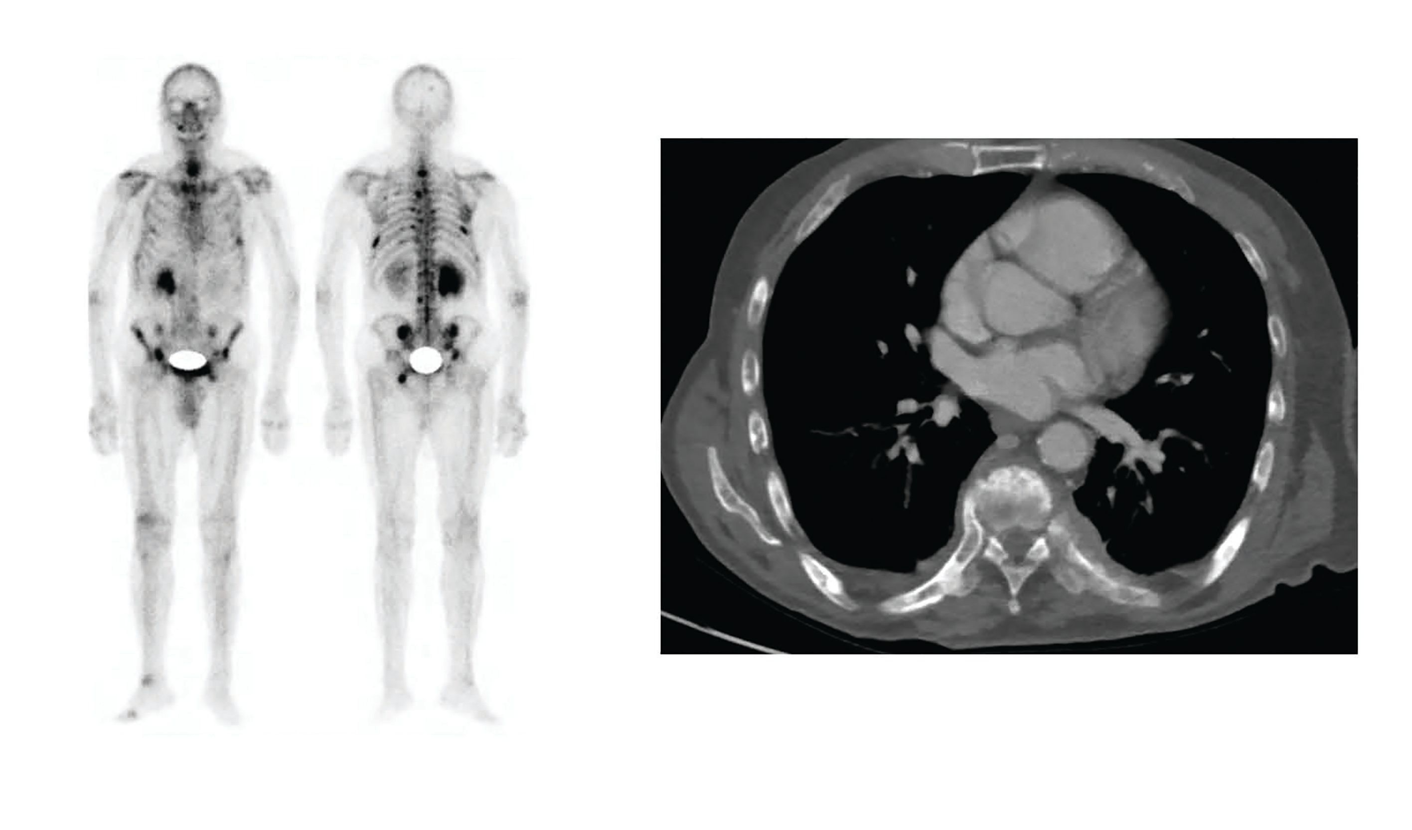
Figure 1. A bone scan showed metastases in both iliac crests, the ischium, cervical spine, and ribs (left). A computed tomography scan showed bilateral subpleural nodules consistent with metastatic disease (right).


• The prognosis for patients with mCRPC has improved over the last few years due to the introduction of novel agents.
• The optimal sequence of administering these therapeutic agents remains as a moving target and is not well established. Decisions are usually made according to patients’ clinical conditions and disease characteristics, and the safety profile and availability of new drugs.
• Recently, cabazitaxel improved outcomes in the third-line setting after docetaxel and an ARTA. Olaparib is an additional option for second- and third-line treatment in those with alterations in BRCA1, BRCA2, and ATM.
• Understanding the mechanisms of resistance may provide a rationale for suggesting specific strategies.
• A subset of patients may benefit from molecularly targeted therapies, which highlights the importance of genomic testing in the castration-resistant setting.
• Immunotherapy may provide benefit to some subsets of patients, such as those with MSI-high tumors. Studies regarding combination therapy with immune checkpoint inhibitors are ongoing.
A 69-year-old man with a past medical history of metastatic prostate cancer treated with androgen deprivation therapy (ADT) with leuprolide for 18 months presented with new lumbar pain and a prostate-specific antigen (PSA) level that increased from a nadir of 3 ng/mL to 75 ng/mL with adequate testosterone suppression. A computed tomography (CT) scan and bone scan showed new bone lesions, without visceral involvement. Therefore, the diagnosis of castration-resistant prostate cancer (CRPC) was made and he started treatment with docetaxel and zoledronic acid with clinical benefit and adequate tolerance. Response evaluation after 6 cycles showed that PSA level decreased to 7 ng/mL and there was stable disease on imaging.
However, after 9 cycles of docetaxel, the patient complained of pain in his left hip and lumbar spine. Bone scintigraphy confirmed new bone metastases in the left iliac bone. At this time, his PSA level was 63 ng/mL. He received palliative radiotherapy to the left pelvis and started abiraterone with prednisone. He had symptomatic improvement and a biochemical response with a PSA level of 10 ng/mL.
Six months later, disease progression was documented with a PSA level of 262 ng/mL, an increase in number of bone lesions, and new metastatic bilateral subpleural nodules (Figure 1).
What is the best treatment option for this patient?
A. Enzalutamide
B. Docetaxel rechallenge
C. Cabazitaxel
D. Radium-223
E. Sipuleucel-T
C. Cabazitaxel improves clinical outcomes in patients with metastatic CRPC (mCRPC) previously treated with docetaxel and an androgen receptor-targeting agent (ARTA).
Prostate cancer is the second most common malignancy in men and the fifth cause of cancer death worldwide, with an estimate of more than 1.2 million new cases and over 350,000 deaths in 2018.1 In the United States, prostate cancer is the most common cancer, comprising 21% of the new cases of cancer, and the second cause of cancer death, with over 30,000 annual deaths projected for 2020.2
ADT with bilateral orchiectomy or a luteinizing hormone-releasing hormone agonist or antagonist has been the backbone of treatment for metastatic castration-naïve prostate cancer since the 1940s.3 The addition of docetaxel or an androgen rector-targeting agent (ARTA), such as abiraterone or enzalutamide, to ADT has become a standard of care for these patients based on data from randomized phase III trials showing the superiority of combined treatment over ADT alone in terms of overall survival (OS) and progression-free survival (PFS).4-6 Selected patients with low-volume disease may also benefit from local treatment with radiation to the primary tumor.7
Despite high rates of response, virtually all patients ultimately progress to CRPC in an average time of 2 years after diagnosis.4 Over the past few years, several agents have demonstrated improved clinical outcomes in this setting: docetaxel,8 cabazitaxel,9 abiraterone,10,11 enzalutamide,12,13 sipuleucel-T,14 and radium-223.15 These agents can be administered to improve survival, but determining the best sequencing strategy is often challenging because of the scarcity of direct, prospective, randomized comparisons and the movement of many of these agents to use in earlier states of the disease, and cross-resistance between agents.
Sequencing strategies in (mCRPC) are influenced by the choice of first-line treatment which, in the absence of head-to-head comparisons of ARTAs and docetaxel, relies frequently on clinical characteristics of the patient (eg, disease presentation [symptomatic vs mild or asymptomatic], functional status, site of metastases [visceral vs nonvisceral], duration of response to previous treatment, presence of significant comorbidities, toxicity profile of the drug, potential interactions, cost, availability, and patient preferences).16
In patients progressing after first-line docetaxel, several drugs have demonstrated improved OS. In the TROPIC trial, cabazitaxel demonstrated an OS of 15 months and a PFS of 2.8 months.9 Abiraterone was associated with an OS of 14.8 months and a PFS of 5.6 months in the COU-AA-301 trial.10 In the AFFIRM trial, enzalutamide showed an OS of 18.4 months and a PFS of 8.3 months.12 These agents have not been compared head to head, so the superiority of one over another cannot be concluded. Choice of therapy is usually made on an individual basis and physician expertise.
The activity of a subsequent hormonal agent in mCRPC is limited after failure to a first-line ARTA. One prospective phase II trial in Canada compared enzalutamide after progression on abiraterone and the reverse sequence. In patients that received second-line enzalutamide after abiraterone, median time to PSA progression was 3.5 months compared with 1.7 months in those receiving second-line abiraterone after enzalutamide (HR, 0.66; P = .23).17 Both median times to PSA progression were shorter than the 10.2 months recorded in patients treated with abiraterone after docetaxel in the COU-AA-301 trial.10
A post hoc analysis from the COU-AA-302 trial, in which patients received abiraterone in the first line, PFS was less than 4 months in those who given another ARTA in the second line,18 compared with 7.6 months in those given docetaxel in the second line.19 In another retrospective cohort of 546 US patients that progressed after first-line therapy with an ARTA, 340 received another ARTA and 206 received a taxane as second-line therapy. The analysis showed that overall response rate (ORR) was greater in the group given chemotherapy compared with the group given an ARTA (44% vs 24%), but there was no difference in OS (HR, 0.90).20 Therefore, answer A (enzalutamide) may not be the best possible option for this patient since abiraterone was the prior treatment he received.
These findings suggest that the sequential use of ARTAs may lead to a lack of response due to risk of cross-over resistance, whereas docetaxel remains active, although less than when used in the first line. Retreatment with docetaxel after use in the first line has also been described. Retrospective analyses suggest that the efficacy of a rechallenge is associated with the interval between the last cycle of first-line docetaxel-based chemotherapy and progression. Some series report a PFS benefit with a treatment-free interval lasting more than 3 months21,22; other investigators suggest that the clinical benefit is reserved for those with a treatment-free interval lasting more than 6 months, without any benefit in OS. Furthermore, prospective data are lacking, and answer B (docetaxel rechallenge) might be best reserved for when there are no other treatments available.
In the third-line setting, a pooled analysis of 13 retrospective studies including 1016 patients evaluated the best treatment sequencing of novel agents (ARTA-ARTA, ARTA-cabazitaxel, and cabazitaxel-ARTA) after docetaxel failure; none of these strategies showed clear superiority over another, but a sequence that included cabazitaxel suggested a possible OS advantage.23 This was later confirmed in the phase III CARD trial, which randomized 255 patients with mCRPC who progressed in less than 12 months on a prior ARTA, before or after docetaxel therapy, to receive cabazitaxel or the other ARTA (abiraterone or enzalutamide depending on which one was used previously).24 The median imaging-based PFS was 8 months with cabazitaxel versus 3.7 months with an ARTA (HR, 0.54; P ≤.001). Median OS was 13.6 compared with 11 months, respectively (HR, 0.64; P = .008). The benefit of cabazitaxel was maintained regardless of the sequence of ARTA and docetaxel. This robust prospective data suggests that cabazitaxel is now the preferred third-line therapy after docetaxel and 1 ARTA (Table 1). Therefore, answer C (cabazitaxel) is currently the best option for this patient, who has progressive disease after docetaxel and abiraterone.
Radium-223 prolongs OS in chemotherapy naïve (unfit or refusing docetaxel) and docetaxel-treated patients and is approved in mCRPC with symptomatic bone metastasis without visceral involvement.15 Given its mechanism of action, there is no theoretical cross-resistance with taxanes and ARTAs, and it could be used in any line in candidate patients. Concomitant administration of abiraterone and radium-223 is not recommended, as data from the ERA 223 trial showed an increased risk of adverse events when both agents were used concurrently.26 Answer D (radium-223) is not appropriate because our patient currently has visceral disease.
Sipuleucel-T is an autologous active cellular immunotherapy that has shown to improve OS in mCRPC, with a benefit of 4.1 months compared with placebo.14 However, the phase III IMPACT trial excluded patients with visceral metastases, and therefore answer E (sipuleucel-T) would not be suitable for this patient.
One of the key points of sequencing treatment is to understand the mechanism of resistance to therapies. CRPC is not androgen independent and continues to rely on androgen signaling.27 Although enzalutamide and abiraterone represent breakthroughs in the treatment of mCRPC, approximately 20% to 40% of patients have no response to these agents, and among those who initially respond, virtually all will acquire secondary resistance.
One of the most studied mechanisms of resistance is the presence of androgen receptor splice variants (AR-Vs). Antonarakis et al28 demonstrated an association between AR-V 7 (AR-V7) in circulating tumor cells and poor prognosis and resistance to enzalutamide and abiraterone in patients with CRPC. However, in the absence of prospective trials designed to test the predictive value of AR-V7 expression when choosing between taxane- and ARTA-based treatment, its detection only has prognostic value.
Genomic studies have identified another potential driver of resistance in ERG rearrangements that involve genes like TMPRSS2, SLC45A3 and NDRG1 that are transcribed by androgen receptors.16 These findings could represent potential therapeutic targets in the future.
CRPC is molecularly heterogeneous, as up to 23% of mCRPC harbor DNA repair pathway aberrations, and 8% harbor germline findings .25 Loss-of-function alterations in homologous recombination repair genes are associated with a response to poly (ADP-ribose) polymerase inhibition.29 The phase III PROfound trial compared olaparib versus enzalutamide or abiraterone in patients with mCRPC with somatic alterations in any of 15 predefined genes with a role in homologous recombination repair whose disease had progressed on a prior ARTA.30 Radiologic PFS in cohort A (included alterations in BRCA1, BRCA2, and ATM) was 7.3 months in the olaparib group versus 3.5 months in the control group (HR, 0.43; P = .0001), and ORR was 33% versus 2.3%. OS results are immature, but an interim analysis suggested a benefit with olaparib (HR, 0.64) despite crossover.
Finally, microsatellite instability-high (MSI-high) and mismatch repair deficient (MRD) tumors are found in 2% to 3% of patients with mCRPC.25 The immune checkpoint inhibitor pembrolizumab is approved for the treatment of patients with solid tumors that harbor these markers. In a prospective trial carried out at Memorial Sloan Kettering Cancer Center, 11 patients with mCRPC with MSI-high disease were treated with anti-programmed cell death protein 1 (PD-1) or programmed cell death-ligand 1(PD-L1) therapy. More that 50% of patients achieved a PSA response and 45% were still on therapy for up to 89 weeks.31 In patients without MSI-high or MRD features, responses to pembrolizumab are more modest. In the phase II KEYNOTE-199 trial that enrolled patients with mCRPC with progression after docetaxel and at least 1 targeted endocrine therapy, ORR was 5% in PD-L1-positive patients and 3% in PD-L1-negative patients. Among a third cohort of patients with bone-predominant disease regardless of PD-L1 status, 22% achieved disease control.32 Pembrolizumab is also being studied in combination with other therapies. In a preliminary report from the KEYNOTE-365 trial, pembrolizumab plus olaparib demonstrated a 9% PSA response rate, a radiographic PFS of 4 months, and an OS of 14 months.33
The potential of molecularly targeted treatment in patients with mCRPC highlights the importance of genomic testing in this population. Our patient was advised to be tested to expand his treatment options.
The patient started treatment with cabazitaxel at 25 mg/m2 every 3 weeks. Currently, he has received 2 cycles of chemotherapy with mild toxicity (grade 1 peripheral neuropathy) and his PSA level decreased more than 50%. A control CT scan and bone scan to evaluate response are pending.
Financial Disclosure: The authors have no significant financial interest in or other relationship with the manufacturer of any product or provider of any service mentioned in this article.
1. International Agency for Research on Cancer. Global Cancer Observatory. International Agency for Research on Cancer website. http://globocan.iarc.fr. Published 2018. Accessed March 30, 2020.
2. American Cancer Society. Cancer Facts & Figures 2020. American Cancer Society website.. www.cancer.org/content/dam/cancer-org/research/cancer-facts-and-statistics/annual-cancer-facts-and-figures/2020/cancer-facts-and-figures-2020.pdf. Published 2020. Accessed March 30, 2020.
3. Huggins C, Hodges CV. Studies on prostatic cancer. I. The effect of castration, of estrogen and of androgen injection on serum phosphatases in metastatic carcinoma of the prostate. Cancer Res. 1941;1(4):293-297.
4. Sweeney CJ, Chen YH, Carducci M, et al. Chemohormonal therapy in metastatic hormone-sensitive prostate cancer. N Engl J Med. 2015;373(8):737-746. doi: 10.1056/NEJMoa1503747.
5. Fizazi K, Tran N, Fein L, et al; LATITUDE Investigators. Abiraterone plus prednisone in metastatic, castration-sensitive prostate cancer. N Engl J Med. 2017;377(4):352-360. doi: 10.1056/NEJMoa1704174.
6. Davis ID, Martin AJ, Stockler MR, et al; ENZAMET Trial Investigators and the Australian and New Zealand Urogenital and Prostate Cancer Trials Group. Enzalutamide with standard first-line therapy in metastatic prostate cancer. N Engl J Med. 2019;381(2):121-131. doi: 10.1056/NEJMoa1903835.
7. Parker CC, James ND, Brawley CD, et al; Systemic Therapy for Advanced or Metastatic Prostate cancer: Evaluation of Drug Efficacy (STAMPEDE) investigators. Radiotherapy to the primary tumour for newly diagnosed, metastatic prostate cancer (STAMPEDE): a randomized controlled phase 3 trial. Lancet. 2018;392(10162):2353-2366. doi: 10.1016/S0140-6736(18)32486-3.
8. Tannock IF, de Wit R, Berry WR; TAX 327 Investigators. Docetaxel plus prednisone or mitoxantrone plus prednisone for advanced prostate cancer. N Engl J Med. 2004;351(15):1502-1512. doi: 10.1056/NEJMoa040720.
9. de Bono JS, Oudard S, Ozguroglu M, et al ; TROPIC Investigators. Prednisone plus cabazitaxel or mitoxantrone for metastatic castration-resistant prostate cancer progressing after docetaxel treatment: a randomised open-label trial. Lancet. 2010;376(9747):1147-1154. doi: 10.1016/S0140-6736(10)61389-X.
10. de Bono JS, Logothetis CJ, Molina A, et al; COU-AA-301 Investigators. Abiraterone and increased survival in metastatic prostate cancer. N Engl J Med. 2011;364(21):1995-2005. doi: 10.1056/NEJMoa1014618.
11. Ryan CJ, Smith MR, de Bono JS, et al; COU-AA-302 Investigators. Abiraterone in metastatic prostate cancer without previous chemotherapy. N Engl J Med. 2013;368(2):138-148. doi: 10.1056/NEJMoa1209096.
12. Scher HI, Fizazi K, Saad F, et al; AFFIRM Investigators. Increased survival with enzalutamide in prostate cancer after chemotherapy. N Engl J Med. 2012;367(13):1187-1197. doi:10.1056/NEJMoa1207506.
13. Beer TM, Armstrong AJ, Rathkopf DE, et al; PREVAIL Investigators. Enzalutamide in metastatic prostate cancer before chemotherapy. N Engl J Med. 2014;371(5):424-433. doi: 10.1056/NEJMoa1405095.
14. Kantoff PW, Higano CS, Shore ND, et al; IMPACT Study Investigators. Sipuleucel-T immunotherapy for castration-resistant prostate cancer. N Engl J Med. 2010;363(5):411-422. doi: 10.1056/NEJMoa1001294.
15. Parker C, Nilsson S, Heinrich D, et al; ALSYMPCA Investigators. Alpha emitter radium-223 and survival in metastatic prostate cancer. N Engl J Med. 2013;369(3):213-223. doi: 10.1056/NEJMoa1213755.
16. Caffo O, Maines F, Kinspergher S, Veccia A, Messina C. Sequencing strategies in the new treatment landscape of prostate cancer. Future Oncol. 2019;15(25):2967-2982. doi: 10.2217/fon-2019-0190.
17. Khalaf DJ, Annala M, Taavitsainen S, et al. Optimal sequencing of enzalutamide and abiraterone acetate plus prednisone in metastatic castration-resistant prostate cancer: a multicenter, randomized, open-label, phase 2, crossover trial. Lancet Oncol. 2019;20(12):1730-1739. doi: 10.1016/S1470-2045(19)30688-6.
18. Smith MR, Saad F, Rathkopf DE, et al. Clinical outcomes from androgen signaling-directed therapy after treatment with abiraterone acetate and prednisone in patients with metastatic castration-resistant prostate cancer: post hoc analysis of COU-AA-302. Eur Urol. 2017;72(1);10-13. doi: 10.1016/j.eururo.2017.03.007.
19. de Bono JS, Smith MR, Saad F, et al. Subsequent chemotherapy and treatment patterns after abiraterone acetate in patients with metastatic castration-resistant prostate cancer: post hoc analysis of COU-AA-302. Eur Urol. 2017;71(4):656-664. doi: 10.1016/j.eururo.2016.06.033.
20. Oh WK, Miao R, Vekeman F, et al. Real-world characteristics and outcomes of patients with metastatic castration-resistant prostate cancer receiving chemotherapy versus androgen receptor-targeted therapy after failure of first-line androgen receptor-targeted therapy in the community setting. Clin Genitourin Cancer. 2018;16(1):50-57. doi:10.1016/j.clgc.2017.06.004.
21. Thomas C, Brandt MP, Baldauf S, et al. Docetaxel-rechallenge in castration-resistant prostate cancer: defining clinical factors for successful treatment response and improvement in overall survival. Int Urol Nephrol. 2018;50(10):1821-1827. doi: 10.1007/s11255-018-1963-1.
22. Loriot Y, Massard C, Gross-Goupil M, et al. The interval from the last cycle of docetaxel-based chemotherapy to progression is associated with the efficacy of subsequent docetaxel in patients with prostate cancer. Eur J Cancer. 2010;46(10):1770-1772. doi: 10.1016/j.ejca.2010.04.010.
23. Maines F, Caffo O, Veccia A, et al. Sequencing new agents after docetaxel in patients with metastatic castration-resistant prostate cancer. Crit Rev Oncol Hematol. 2015;96(3):498-506. doi:10.1016/j.critrevonc.2015.07.013.
24. de Wit R, de Bono J, Sternberg CN, et al. Cabazitaxel versus abiraterone or enzalutamide in metastatic prostate cancer. N Engl J Med. 2019;381(26):2506-2518. doi: 10.1056/NEJMoa1911206.
25. Robinson D, van Allen DM, Wu YM, et al. Integrative clinical genomics of advanced prostate cancer. Cell. 2015;161(5):1215-1228. doi: 10.1016/j.cell.2015.05.001.
26. Smith M, Parker C, Saad F, et al. Addition of radium-223 to abiraterone acetate and prednisone or prednisolone in patients with castration-resistant prostate cancer and bone metastases (ERA 223): a randomised, double-blind, placebo-controlled, phase 3 trial. Lancet Oncol. 2019;20(3):408-419. doi: 10.1016/S1470-2045(18)30860-X.

Prolaris in Practice: Guiding ADT Benefits, Clinical Application, and Expert Insights From ACRO 2025
April 15th 2025Steven E. Finkelstein, MD, DABR, FACRO discuses how Prolaris distinguishes itself from other genomic biomarker platforms by providing uniquely actionable clinical information that quantifies the absolute benefit of androgen deprivation therapy when added to radiation therapy, offering clinicians a more precise tool for personalizing prostate cancer treatment strategies.