We have presented the first case of a patient with metastatic ATGCT with peritoneal carcinomatosis, who responded to treatment with a VEGFR tyrosine kinase inhibitor. Because of the relative paucity of such cases in the literature, no clear treatment strategy exists. For patients with metastatic ATGCT, enrollment in clinical trials testing novel therapies, including angiogenesis inhibitors, is a reasonable option.
ABSTRACT: As granulosa cell tumors of the adult type are extremely uncommon testicular neoplasms, relatively few case reports and case series have been published. Treatment for localized, small-volume, or oligometastatic disease is generally surgical resection alone. Visceral or widely metastatic disease is relatively rare, so there is no consensus approach to treatment. We report the case of an advanced granulosa cell tumor of the testis with a confirmed partial response to an angiogenesis inhibitor after initial resistance to cytotoxic chemotherapy.
Testicular stromal cell tumors, including Leydig cell tumors, Sertoli cell tumors and granulosa cell tumors, originate from the stromal and supporting cells surrounding the germ cells. Of this group accounting for 4% to 6% of all testicular neoplasms, granulosa cell tumors of the adult type represent the rarest subgroup.[1,2] Only 26 cases of adult-type granulosa cell tumors (ATGCTs) of the testis have been reported in the literature. The majority of ATGCTs appear to be benign and slow-growing, but they do have the potential to metastasize to distant sites.[3] There is no standard treatment for metastatic, unresectable ATGCT of the testis.
FIGURE 1

Pathology Review of an Adult-Type Granulosa Cell Tumor-
The tumor has mixed
(A)
microfollicular,
(B)
macrofollicular,
(C)
insular, and
(D)
solid patterns. Frequent nuclear grooves and mitoses (18/20 high-power fields) are observed. Immunohistochemically, the tumor is positive for
(E)
inhibin and
(F)
calretinin,
(G)
focally weakly positive for epithelial membrane antigen, and
(H)
negative for cytokeratin 5/6 and CD10. Magnification of the photomicrographs: × 1,000. Photos courtesy of Wei Huang, MD.
A 65-year-old man with a history of left hydrocele repair 1 year prior presented with left scrotal swelling and was diagnosed with epididymitis. The swelling initially resolved with antibiotics but then returned. Testicular ultrasound demonstrated granulation tissue and a fluid collection in the paratesticular area. A left epididymectomy was performed 9 months later. Pathology review of the surgical specimen was consistent with a granulosa cell tumor of the adult type (Figure 1). By immunohistochemistry, tumor cells were positive for inhibin and calretinin. Epithelial membrane antigen (EMA) was weakly focally positive. Cytokeratin 5/6 and CD10 were negative.
A left radical orchiectomy was subsequently performed via an inguinal approach, completely excising a 5 × 3 × 3 cm paratesticular adnexal tumor that appeared to arise from the non–germ cell lining of the epididymis. Proximal spermatic cord and capsule margins were free of tumor involvement, and there was no evidence of lymphatic or vascular invasion. On further staging, a computed tomography (CT) scan of the abdomen revealed left-sided retroperitoneal lymph nodes measuring 1.5 and 1.6 cm, respectively. CT-guided needle biopsy confirmed tumor involvement consistent with the patient’s paratesticular primary tumor. CT scan of the chest and bone showed no evidence of distant metastasis.
The patient was referred to the authors’institution, and his case was discussed in our Multidisciplinary Genitourinary Oncology Clinic. During institutional referrals, 7 months had elapsed since his orchiectomy. Recommendation was made for standard template retroperitoneal lymph node dissection (RPLND).
The patient underwent RPLND and excision of the left spermatic cord 1 month after initial consultation at the authors’ institution. Intraoperatively, there was no evidence of liver metastasis or of carcinomatosis, and the bowel was normal to palpation. Pathology revealed two lymph nodes largely replaced by tumor (5 cm and 4 cm in size, respectively), similar to the initial paratesticular tumor. The left spermatic cord had a 1.2-cm tumor deposit also consistent with the initial pathology. Five interaortocaval lymph nodes were negative for metastasis. The patient had a difficult postoperative recovery, complicated by a partial small bowel obstruction. He was followed with expectant observation.
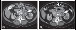
FIGURE 2

Response of Tumor to Pazopanib-
Computed tomography scan showing (white arrows) the renal vascular pedicle lesion
(A)
at baseline and
(B)
after 4 months of treatment with pazopanib. The patient had a confirmed partial response by RECIST (defined as ≥ 30% decrease in the sum of the largest diameter of target lesions). RECIST = Response Evaluation Criteria in Solid Tumors.
Seven months later, the patient was found to have a new 2.5 × 1.5 cm soft-tissue mass at the left aspect of the RPLND field, posterior to the left renal vein. Fine-needle aspiration of the mass was performed and cytologic examination was consistent with the initial paratesticular tumor. Exploratory laparotomy for excision of the left retroperitoneal mass was performed 1 month later. The mass was identified inferior and posterior to the left renal hilum. However, frozen section analyses in the vicinity of the tumor suggested complete resection would not be possible. After intraoperative discussion between the urologic oncologist and medical oncologist, the decision was made to spare the left kidney so the patient could better tolerate systemic therapy. All grossly visible disease was resected.
Given the tumor’s adherence to adjacent structures and the presumption of residual microscopic disease, consideration was given to postoperative radiotherapy with radiosensitizing chemotherapy. Unfortunately, CT scans performed for radiotherapy planning 1 month after the prior debulking surgery led to the finding of recurrent disease in the operative field as well as peritoneal metastases. Because of a significant prior smoking history, the patient was treated systemically with VIP (etoposide [VePesid], ifosfamide, and cisplatin [Platinol]). He went on to receive doxorubicin plus ifosfamide followed by docetaxel (Taxotere) plus gemcitabine (Gemzar). During these 6 months of systemic treatment, no response was observed and his disease progressed on all three cytotoxic regimens.
The patient subsequently enrolled in a phase I study of pazopanib (GW-786034, GlaxoSmithKline), an oral multitargeted receptor tyrosine kinase inhibitor of vascular endothelial growth factor receptor (VEGFR)-1, -2, and -3; platelet-derived growth factor receptor (PDGFR)-β; and c-kit. He was treated at the recommended phase II dose (800 mg by mouth daily) and tolerated this therapy well.
FIGURE 3

Response of Lymphadenopathy to Pazopanib-
Computed tomography scan showing (white arrows) retroperitoneal lymphadenopathy
(A)
at baseline and
(B)
after nearly complete resolution with 4 months of pazopanib treatment. The patient had a confirmed partial response by Response Evaluation Criteria in Solid Tumors (RECIST).
At the time of enrollment on study, he had measurable lesions in the left renal vascular pedicle as well as left retroperitoneal and iliac lymphadenopathy (Figures 2A and 3A). After 2 months of treatment with pazopanib, he had evidence of antitumor response with a decrease in his measurable lesions. A second CT scan 4 months after baseline confirmed a partial response by the Response Evaluation Criteria in Solid Tumors (greater than 30% decrease in the sum of the largest diameter of target lesions) and showed resolution of the retroperitoneal lymphadenopathy (Figures 2B and 3B).
Almost exactly 5 months after beginning therapy with pazopanib, the patient presented with abdominal pain and increasing abdominal girth. Diagnostic and therapeutic paracentesis was performed. Analysis of the ascitic fluid showed an exudative process, presumed to be secondary to recurrence of his granulosa cell tumor. Although cytology was negative for ATGCT cells, an ensuing workup ruled out competing diagnoses. He was admitted to the palliative care unit of the hospital for placement of an indwelling peritoneal catheter.
The patient was discharged home with hospice services. One month later and approximately 32 months after his initial diagnosis, the patient died of his disease.
The first case of ATGCT, a 20-year-old man with a 15-year history of gradual testicular enlargement, was reported in 1952 by Laskowski.[1] The 26 cases of ATGCT in total that have been reported in the literature were summarized recently by Hammerich et al.[3] Initial clinical presentation was most commonly testicular swelling, as in the case of our patient. Increased mitotic activity, necrosis, hemorrhage, tumor size (> 7 cm), and lymphatic or vascular invasion appear to be malignant histologic features.[1,4] Immunohistochemistry, although not done in all cases, was positive in the majority of cases for vimentin, inhibin, smooth muscle actin (SMA), and S-100.[3] Leukocyte common antigen, calretinin, CD 99, and cytokeratin AE1/3 were only sporadically positive; whereas almost all reported ATGCTs were negative for cytokeratins and EMA. In our patient, inhibin and calretinin stained positive, with EMA weakly focally positive and cytokeratins negative.
Initial treatment of ATGCT is radical orchiectomy. There is no clear role for adjuvant therapy, as ATGCT appears to be relatively chemoresistant. Because ATGCT is usually a slow-growing disease, surgery is the initial treatment of choice for recurrence if feasible. RPLND is an option for small-volume metastatic disease.[4.5] Three cases of metastatic disease at the time of presentation have been reported: two with initial metastases to retroperitoneal lymph nodes[1,6] and one with bilateral pulmonary metastases.[3] Only 3 of the remaining 23 reported patients developed metastases: 2 with multiple metastases (including visceral in 1 patient[1] and “widespread” in the other[7]) and 1 with bony metastasis (ipsilateral tibia).[8] Two case reports of metastatectomy have been published.[3,8] Our patient represents the only reported case of peritoneal carcinomatosis in ATGCT of the testis.
The optimal treatment for disease not amenable to surgical resection or that is metastatic to distant sites is unknown. In the reported cases of ATGCT, three were treated with chemotherapy. One received cisplatin and doxorubicin 121 months after initial diagnosis and died of disease 13 months later. The next was treated with RPLND followed by one cycle of etoposide, had a recurrence treated with radical inguinal lymphadenectomy and radiation therapy; and was alive 2 months after last therapy. The last patient received six cycles of BEP (bleomycin, etoposide, cisplatin) followed by metastatectomy of the right lung and was alive 39 months after initial diagnosis. To our knowledge, there have been no reported cases of ATGCT treated with an antiangiogenesis agent.
We have presented the first case of a patient with metastatic ATGCT with peritoneal carcinomatosis, who responded to treatment with a VEGFR tyrosine kinase inhibitor. Because of the relative paucity of such cases in the literature, no clear treatment strategy exists. For patients with metastatic ATGCT, enrollment in clinical trials testing novel therapies, including angiogenesis inhibitors, is a reasonable option.
Financial Disclosure: The authors have no significant financial interest or other relationship with the manufacturers of any products or providers of any service mentioned in this article.
1. Jimenez-Quintero LP, Ro JY, Zavala-Pompa A, et al: Granulosa cell tumor of the adult testis: A clinicopathologic study of seven cases and a review of the literature. Hum Pathol 24:1120-1125, 1993.
2. Arzola J, Hutton RL, Baughman SM, et al: Adult-type testicular granulosa cell tumor: Case report and review of the literature. Urology 68:1121.e13-1121.e16, 2006.
3. Hammerich KH, Hille S, Ayala GE, et al: Malignant advanced granulosa cell tumor of the adult testis: Case report and review of the literature. Hum Pathol 39:701-709, 2008.
4. Ditonno P, Lucarelli G, Battaglia M, et al: Testicular granulosa cell tumor of adult type: A new case and a review of the literature. Urol Oncol 25:322-325, 2007.
5. Mosharafa AA, Foster RS, Bihrle R, et al: Does retroperitoneal lymph node dissection have a curative role for patients with sex cord-stromal testicular tumors? Cancer 98:753-757, 2003.
6. Marshall FF, Kerr WS Jr, Kliman B, et al: Sex cord-stromal (gonadal stromal) tumors of the testis: A report of 5 cases. J Urol 117:180-184, 1977.
7. Mostofi FK, Theiss EA, Ashley DJ: Tumors of specialized gonadal stroma in human male patients. Androblastoma, Sertoli cell tumor, granulosa-theca cell tumor of the testis, and gonadal stromal tumor. Cancer 12:944-957, 1959.
8. Suppiah A, Musa MM, Morgan DR, et al: Adult granulosa cell tumour of the testis and bony metastasis. A report of the first case of granulosa cell tumour of the testicle metastasising to bone. Urol Int 75:91-93, 2005.
Late Hepatic Recurrence From Granulosa Cell Tumor: A Case Report
Granulosa cell tumors exhibit late recurrence and rare hepatic metastasis, emphasizing the need for lifelong surveillance in affected patients.