Medical oncologsts discuss the case of a 70-year old woman with synchronous multiple primary lung cancer.
Dr. Copur is a Medical Oncologist/ Hematologist at Morrison Cancer Center, Mary Lanning Healthcare in Hastings, Nebraska, and is a Professor at the University of Nebraska Medical Center in Omaha, Nebraska. He is also Editor-at-Large and a Community Oncology Advisory Board member at ONCOLOGY.

Dr. Ganatra is Board Certified in Pulmonary and Critical Care Medicine and Internal Medicine; a Diplomate with the American Board of Sleep Medicine (D, ABSM); a member of the American College of Chest Physicians, American Thoracic Society and American Academy of Sleep Medicine.

Dr. Lackner is currently the Vice Chief of Cardiothoracic Surgery and Chief of the section of Thoracic Surgery. He is also the Director of the Comprehensive Thoracic Oncology Program at the University of Nebraska Medical Center.

Dr. Lintel is practicing pathology at Mary Lanning Healthcare in Hastings Nebraska.

Dr. Wedel is a staff pathologist at Mary Lanning Healthcare.

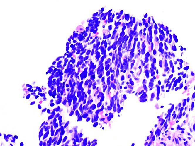
Figure 1 CT-guided needle biopsy, left upper lobe: small cell neuroendocrine carcinoma (H&E, 400X magnification).

Figure 1B: Immunoperoxidase stain for synaptophysin (400x magnification).

Figure 2A: 2.5 cm left upper lobe lesion with an SUV of 12.7.

Figure 2B: 1.1 cm right upper lobe lesion with SUV of 2.1.

Figure 3. Left Upper Lobe Lobectomy specimen.

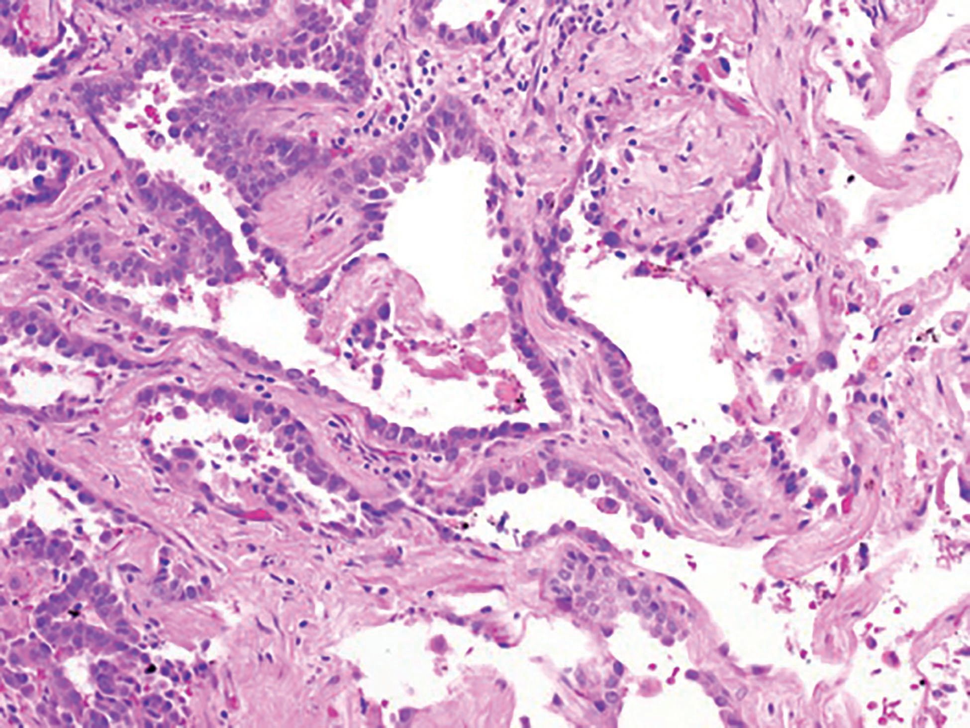
Figure 4A: Right upper lobe wedge resection: adenocarcinoma, lepidic pattern predominant (H&E, 200X magnification)

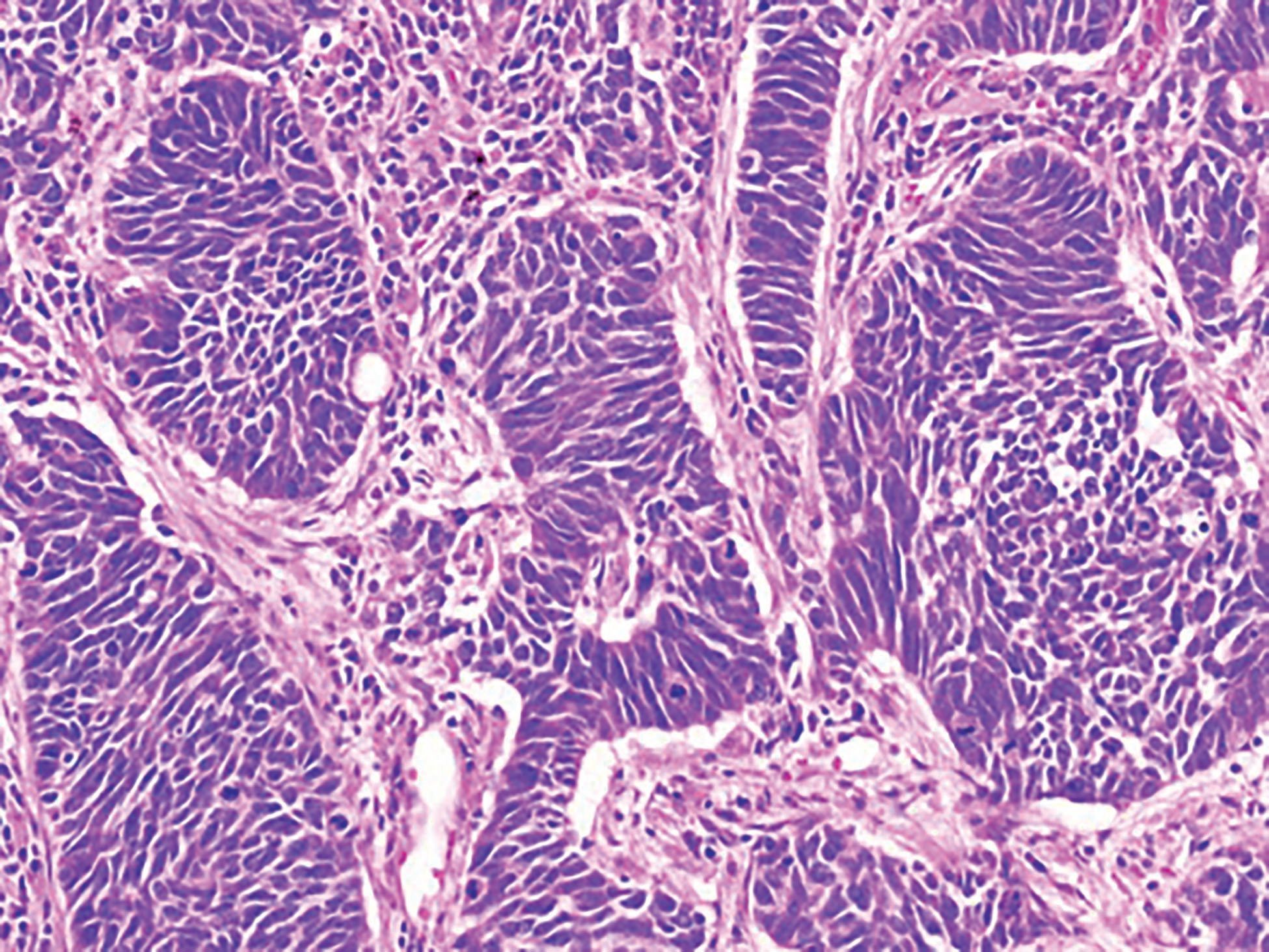
Figure 4B: Left upper lobectomy: small cell neuroendocrine carcinoma (H&E, 200X magnification)

Table 1: Definition of Multiple Primary Lung Cancers.

Synchronous multiple primary lung cancer (SMPLC) is a rare occurrence affecting 0.5% to 2% of patients with lung cancer. Synchronous discordant histology with small cell and non–small cell lung carcinoma is an even less common entity. There have been several presentations of synchronous or metachronous multiple primary lung cancers in the literature. However, reports discussing treatment options and prognosis in patients with SMPLC of discordant histology with small cell and non–small cell carcinoma in the same patient are scarce. We report a case of SMPLC presenting with a limited stage left upper lobe small cell lung cancer and an operable right upper lobe non–small cell lung adenocarcinoma. Diagnostic, surgical, and medical treatment options for the patient along with a review of SMPLC topics are presented.
A 70-year-old white woman with a 40 pack-year history of smoking has been on follow-up for previously detected abnormal lung nodules during the past 3 years. The most recent computed tomography (CT) scan revealed an increase in the size of the left upper lobe nodule-from 4 mm a year ago to 2 cm on the current CT scan. A CT-guided needle biopsy of this nodule revealed small cell lung carcinoma (Figures 1A and 1B). Further work-up with a positron emission tomography (PET) scan confirmed the left upper lobe lesion with a standard uptake value (SUV) of 12.7, and also revealed a right upper lobe nodule (1.1 cm in size) with an SUV of 2.1 (Figures 2A and 2B). Following multidisciplinary evaluation at the thoracic oncology tumor conference, the patient underwent initial bronchoscopy with ultrasound (endobronchial ultrasound [EBUS]) and biopsy of lymph node levels 10, 7, and 4, followed by a right-sided video-assisted thoracoscopic surgery (VATS) and a wedge resection of the right upper lobe nodule, and a left upper lobe lobectomy (Figure 3). Mediastinal lymph node dissection revealed no lymph node involvement. Pathology of the right upper lobe wedge resection revealed a 1.3-cm non–small cell lung adenocarcinoma, and pathology of the left upper lobe lobectomy revealed a 2.5-cm small cell lung carcinoma (Figures 4A and 4B). Both tumors had visceral pleural involvement and were resected with clear margins. The right upper lobe tumor was staged as pT2N0 and the left upper lobe tumor was staged as pT2N0 (per the 8th edition of the American Joint Committee on Cancer staging system).
Lung cancer is the second most common cancer in both women and men (excluding skin cancer) and the leading cause of cancer-related death in both sexes.1 Occasionally, patients with a typical clinical presentation of lung cancer may exhibit a second lesion with similar appearance at initial presentation or later. Since first described in 1924 by Beyreuther,2 synchronous multiple primary lung cancers (SMPLCs) have been associated with a poor prognosis. Subsequent studies of SMPLCs have been difficult to interpret due to a small number of cases and little information regarding the tumor characteristics and stage. SMPLCs are presumably uncommon; however, its true incidence seems to be increasing as a result of the widespread availability and use of early detection tools such as multislice spiral CT, PET, advanced interventional radiology, and thoracic surgery techniques. It is important to determine whether the multiple lung lesions are metastases or separate primary lung tumors. Traditionally, multiple primary lung cancers have been defined by the clinical criteria initially developed by Martini and Melamed in 1975, refined later in 1995 by Antakli et al, and more recently updated in 2007 by the American College of Chest Physicians (Table 1).3-6 Multiple primary lung cancers can present as synchronous or metachronous cases with concordant or discordant histology.7 The incidence has been reported to be approximately 1.5% to 2% per patient per year but true incidence may be as high as 20%.8,9 The majority of tumors classified in this way have revealed the same histologic type with similar survival results regardless of the histologic type, suggesting that the traditional definition of second primary lung cancers based on clinical features may be acceptable.8 As more information including genetic and molecular analyses of lung cancer is becoming available, accuracy of this diagnosis may improve and can mitigate the problems of differential diagnosis.
It is essential to determine the histology of the lung tumor. Infection and other benign diseases, such as inflammatory granulomas, must be ruled out. Non-small cell lung cancers (NSCLCs) display a variety of morphological and molecular features. Accurate subtyping has been shown to predict response rates and toxicities of specific drugs as well as patient survival. Assessment of multifocal lung tumors and the distinction of synchronous primary tumors from intrapulmonary metastases is crucial in determining the staging of these tumors and subsequent treatment approaches. The reported frequency of multiple anatomically separate lung tumors with the same histology ranges from 0.2% to 8% in patients with NSCLC. The majority of these cases seem to be clonally related.10-13 Distinguishing SMPLC from intrapulmonary metastases originating from a single pulmonary neoplasm or other neoplasms in different organs can be challenging. Careful clinical assessment along with utilization of recent advances in imaging, surgical, and pathological techniques, and ultimately the use of genetic and molecular analyses, may offer valuable resources in evaluation and differentiation of SMPLCs from metastatic lesions.
In addition to identifying the morphological characteristics of subtypes of NSCLC and small cell neuroendocrine tumors, immunohistochemical staining for cytokeratin (5, 6, 7, and 20), p63, thyroid transcription factor-1, chromogranin, synaptophysin, and Ki-67 have been widely utilized as initial diagnostic tools. While the diagnosis of SMPLC with different histologies may be straightforward, distinguishing second primary lung cancer versus intrapulmonary metastasis in synchronous tumors of the same histology can be hard. The ability to determine the clonal origin of SMPLC may be essential in differentiating between the possibility of a single clonal event resulting in a tumor with subsequent spread into other parts of the lungs versus multiple independent tumors arising in an area due to a common carcinogen exposure or a genetic predisposition. To address this challenge, different molecular approaches have been explored. Currently, this is an area of ongoing research. In a series of 14 patients with synchronous NSCLC, Shimuzu et al reported a clonal relationship in 11 (79%) of cases by analyzing the loss of heterozygosity (LOH) and p53 mutations.14 Similarly, Wang et al documented a clonal relationship in 77% of 30 patients with multifocal lung tumors utilizing LOH, p53 mutations, and X chromosome inactivation status.15 More recently, Warth et al evidenced that at least 64% of patients with synchronous multiple primary NSCLC had a clonal relationship by utilizing a combined assessment of LOH (using a panel of 14 polymorphic microsatellite markers) and KRAS and endothelial growth factor receptor mutations.16 This is an area of burgeoning research and new discoveries are eagerly waited.
Our patient had bilateral discordant histology at presentation making the diagnosis of SMPLC relatively straightforward. The right upper lobe nodule was an adenocarcinoma with a predominant lepidic pattern and involvement of visceral pleura and the left upper lobe tumor was a small cell carcinoma with lymphovascular invasion and visceral pleura involvement.
Although some criteria have been defined for diagnosing multiple lung cancers, no definitive guidelines for the selection and treatment of patients with this presentation are currently available. Pretreatment workup should focus on excluding any extrathoracic disease and select the fit candidates for multidisciplinary management. When patients with SMPLC present with identical histology, in the absence of easily available and reliable genetic and molecular markers to differentiate between second primary lung cancer versus isolated pulmonary metastatic disease, management decisions will be challenging. It will be difficult to reconcile 2 opposite treatment approaches; for example, any resectable disease should be removed in multiple primary lung cancer, whereas surgery is futile in metastatic lung cancer. Unless a pneumonectomy or bilateral lung resection is required, which would limit cardiopulmonary reserve, curative resection can be attempted for multiple primary lesions in the same lobe or in the same lung.
However, treatment of multiple lung cancers will more likely depend on the status of the lymph nodes and whether the patients are symptomatic or at high risk of becoming symptomatic.17-20 Some of the multiple lung nodules detected on CT scans can be followed with imaging, whereas others need to be biopsied or excised. All patients should be evaluated in a multidisciplinary tumor conference involving experts from radiology, pathology, pulmonology, surgery, and medical and radiation oncology. For patients with early-stage SMPLC who are eligible for definitive local therapy, parenchymal-sparing resection is preferred. VATS is a minimally invasive surgical technique and it is a reasonable option depending on the number and distribution of lung lesions in patients with adequate lung volumes. With annual CT screening on the rise, more and more early-stage tumors are being detected and treated with curative-intent surgery as appropriate for their stage. Because the risk of lung cancer is a continuous threat in patients with prior heavy tobacco exposure for the remainder of their lives, preservation of the pulmonary parenchyma becomes a very crucial surgical consideration. Recent surgical series reports have supported the value of limited VATS resections as an important consideration. In addition, the original practice of 3 access ports in a “baseball diamond” pattern has been modified to suit operational needs, and has gradually developed into next generation approaches, including needlescopic and 2-port VATS.21 For patients with limited lung function, stereotactic ablative radiotherapy (SABR) is an option and has become a treatment choice.17, 20, 22
Provided that there is a multidisciplinary and appropriate selection and evaluation process in place, most patients with SMPLC benefit from the local treatment options of surgery and/or SABR. In a single-institution experience, Trousse et al reported surgical outcomes in 125 consecutive patients with SMPLC. Tumors were bilateral (n = 34) or unilateral (n = 91) and optimal surgical treatment was possible in 65.6% of the cases. Two- and 5-year overall survival rates were 61.6% and 34%, respectively, with a median survival of 35 months. Bilateral disease, location in the same lobe, and pN0 disease were favorable factors.23 A limited resection has been associated with increased local recurrence rates (up to 15%) in several studies when a more extensive surgical procedure is not possible due to compromised pulmonary function.24, 25 The Lung Cancer Study Group reported higher locoregional recurrence after wedge or segmental resection compared with lobectomy.26 However, overall survival rates in these studies were not significantly different, so limited resections are often preferred because they allow major conservation of lung tissue.
Similar outcomes have been reported after SABR and surgical treatment for early-stage NSCLC.27-29 The feasibility, safety, and efficacy of this approach have been well established and it is now considered a standard of care for patients with medically inoperable lung cancer. In studies evaluating the role of SABR in early-stage multiple primary lung cancers, median overall and progression-free survival rates comparable to surgical treatment were reported.30-32 However, in these studies, most patients with synchronous or metachronous lung cancer who underwent SABR were ineligible for surgery.
Our patient had bilateral upper lobe disease, underwent initial bronchoscopy with ultrasound (EBUS) with biopsy of lymph node levels of 10, 7, and 4, a right-sided VATS wedge resection for adenocarcinoma on the right upper lobe, and a left upper lobe lobectomy for a small cell neuroendocrine tumor on the left side along with mediastinal lymph node dissection. Both tumors had visceral pleural involvement, but they were resected with clear margins. All mediastinal nodes were negative.
Similar to the lack of definitive guidelines in detailing recommendations for the local treatment of patients with SMPLC, there are no established guidelines for the adjuvant or systemic treatment of this entity. Most reports suggest that patients received no additional therapy after complete resection or local therapy. Finley et al reported results of 175 patients who underwent surgical resection for SMPLC33. Twenty-five patients (14%) were given adjuvant therapy; 17 underwent chemotherapy and 8 received external beam radiotherapy. It is difficult to conclude the value of adjuvant therapy because of the small numbers of patients and the retrospective nature of these data.
National Comprehensive Cancer Network (NCCN) guidelines34 recommend observation for patients with T2a-bN0 NSCLC after curative-intent surgical resection with a clear margin. However, postoperative adjuvant chemotherapy is a category 2A recommendation for patients with T2a-bN0 tumors and negative surgical margins who have high-risk features such as poorly differentiated histology, lymphovascular invasion, wedge resection, tumors larger than 4 cm in size, visceral pleural involvement, and unknown nodal status. Right upper lobe adenocarcinoma necessitating wedge resection in our patient meets the high-risk criteria for adjuvant chemotherapy based on visceral pleural involvement and wedge resection.
Based on the NCCN guidelines35, all patients with small cell lung cancer require systemic therapy as an essential component of their treatment. Adjuvant chemotherapy is recommended for patients who have undergone surgical resection or SABR for early-stage disease. Pathologic mediastinal staging for early clinical stage small cell lung cancer determines the necessity of adding chest radiation therapy. If mediastinal lymph nodes are negative (N0), systemic adjuvant chemotherapy with etoposide and cisplatin is recommended. If mediastinal nodes are positive (N1), adjuvant chemotherapy with or without concurrent or sequential radiation therapy is a category 2A recommendation. If mediastinal nodes are positive (N2), then chemotherapy with concurrent or sequential radiotherapy is a category 1 recommendation.
Our patient had a small cell carcinoma with negative mediastinal nodes but there was lymphovascular invasion and visceral pleural involvement. Adjuvant chemotherapy with or without concurrent radiation might be considered depending on her performance status. Prophylactic cranial radiation is also a consideration after completion of systemic therapy.
The differentiation between multiple primary lung cancers and intrapulmonary metastases is crucial for accurate staging and management of SMPLC. The arbitrary nature of the conventional histomorphological criteria and lack of well-established diagnostic and treatment guidelines make management decisions in these patients somewhat difficult. Implementing genetic and/or molecular testing criteria for accurate identification of these tumors could provide more valid information for definite diagnosis and may guide accurate treatment decisions. Surgical treatment is beneficial for selected patients with multiple primary lung lesions and may offer long-term survival, provided that the clinical stage of the second tumor and the patient’s cardiopulmonary reserves permit it. Postoperative surveillance with medical history, physical examination, and imaging studies is mandatory to monitor for recurrence of the original tumor or screen for potentially curable, early-stage metachronous cancers.
Financial Disclosure:The authors have no significant financial interest in or other relationship with the manufacturer of any product or provider of any service mentioned in this article.
References
1.American Cancer Society. Cancer Facts & Figures 2019. https://www.cancer.org/research/cancer-facts-statistics/all-cancer-facts-figures/cancer-facts-figures-2019.html. Accessed January 26, 2020.
2. Beyreuther H. Multiplicität von Carcinomen bei einem Fall von sog. “Schneeberger” Lungenkrebs mit tuberkulose. Virchows Arch. Path Anat. 1924;250:230-243. doi: https://doi.org/10.1007/BF01891568.
3. Martini N, Melamed MR. Multiple primary lung cancers. J Thorac Cardiovasc Surg. 1975;70(4):606-612.
4. Antakli T, Schaefer RF, Rutherford JE, Read RC. Second primary lung cancer. Ann Thorac Surg. 1995;59(4):863-866; discussion 867. doi: 10.1016/0003-4975(95)00067-u.
5. Shen KR, Meyers BF, Larner JM, Jones DR; American College of Chest Physicians. Special treatment issues in lung cancer: ACCP evidence-based clinical practice guidelines (2nd edition). Chest. 2007;132(3 suppl):290S–305S. doi: 10.1378/chest.07-1382.
6. Detterbeck FC, Jones DR, Kernstine KH, Naunheim KS; American College of Physicians. Lung cancer. Special treatment issues. Chest. 2003;123(1 suppl):244S-258S. doi: 10.1378/chest.123.1_suppl.244s.
7. Riquet M, Cazes A, Pfeuty K, et al. Multiple lung cancers prognosis: what about histology? Ann Thorac Surg. 2008;86(3):921-926. doi: 10.1016/j.athoracsur.2008.05.041.
8.Detterbeck FC, Postmus PE, Tanoue LT. The stage classification of lung cancer: Diagnosis and management of lung cancer, 3rd ed: American College of Chest Physicians evidence-based clinical practice guidelines. Chest. 2013;143(5 suppl):e191S-e210S. doi: 10.1378/chest.12-2354.
9. Rea F, Zuin A, Callegaro D, Bortolotti L, Guanella G, Sartori F. Surgical results for multiple primary lung cancers. Eur J Cardiothorac Surg. 2001;20(3):489-495. doi: 10.1016/s1010-7940(01)00858-2.
10 .Gazdar AF, Minna JD. Multifocal lung cancers-clonality vs field cancerization and does it matter? J Natl Cancer Inst. 2009;101(8):541-543. doi: 10.1093/jnci/djp059.
11. Mathisen DJ, Jensik RJ, Faber LP, Kittle CF. Survival following resection for second and third primary lung cancers. J Thorac Cardiovasc Surg. 1984;88(4):502-510.
12. Wang X,Wang M, MacLennan GT, et al. Evidence for common clonal origin of multifocal lung cancers. J Natl Cancer Inst. 2009;101(8):560-570. doi: 10.1093/jnci/djp054.
13. Ferguson MK, DeMeester TR, DesLauriers J, Little AG, Piraux M, Golomb H. Diagnosis and management of synchronous lung cancers. J Thorac Cardiovasc Surg. 1985;89(3):378-385.
14. Shimizu S, Yatabe Y, Koshikawa T, et al. High frequency of clonally related tumors in cases of multiple synchronous lung cancers as revealed by molecular diagnosis. Clin Cancer Res. 2000;6(10):3994-3999.
15. Wang X, Wang M, MacLennan GT, et al. Evidence for common clonal origin of multifocal lung cancers. J Natl Cancer Inst. 2009;101(8):560-570. doi: 10.1093/jnci/djp054.
16. Warth A, Macher-Goeppinger S, Muley T, et al. Clonality of multifocal nonsmall cell lung cancer: implications for staging and therapy. Eur Respir J. 2012;39(6):1437-1442. doi: 10.1183/09031936.00105911.
17. Nakata M, Sawada S, Yamashita M, et al. Surgical treatments for multiple primary adenocarcinoma of the lung. Ann Thor Surg. 2004;78(4):1194-1199. doi: 10.1016/j.athoracsur.2004.03.102.
18. Chang YL, Wu CT, Lee YC. Surgical treatment of synchronous multiple primary lung cancers: experience of 92 patients. J Thorac Cardiovasc Surg. 2007;134(3):630-637. doi: 10.1016/j.jtcvs.2007.06.001.
19. Tanvetyanon T, Robinson L, Sommers KE, et al. Relationship between tumor size and survival among patients with resection of multiple synchronous lung cancers. J Thorac Oncol. 2010;5(7):1018-1024. doi: 10.1097/JTO.0b013e3181dd0fb0.
20. Gibbs IC, Loo BW Jr. CyberKnife stereotactic ablative radiotherapy for lung tumors. Technol Cancer Res Treat. 2010;9(6):589-596. doi: 10.1177/153303461000900607.
21. Sihoe AD. The evolution of minimally invasive thoracic surgery: implications for the practice of uniportal thoracoscopic surgery. J Thorac Dis. 2014;6(suppl 6):S604-S617. doi: 10.3978/j.issn.2072-1439.2014.08.52.
22. Ginsberg MS, Griff SK, Go BD, Yoo HH, Schwartz LH, Panicek DM. Pulmonary nodules resected at video-assisted thoracoscopic surgery: etiology in 426 patients. Radiology. 1999;213(1):277-282. doi: 10.1148/radiology.213.1.r99oc08277.
23. Trousse D, Barlesi F, Loundou A, et al. Synchronous multiple primary lung cancer: an increasing clinical occurrence requiring multidisciplinary management. J Thorac Cardiovasc Surg. 2007;133(5):1193-1200. doi: 10.1016/j.jtcvs.2007.01.012.
24. Mathisen DJ, Jensik RJ, Faber LP, Kittle CF. Survival following resection for second and third primary lung cancers. J Thorac Cardiovasc Surg. 1984;88(4):502-510.
25. Jensik RJ, Faber LP, Kittle CF, Meng RL. Survival following resection for second primary bronchogenic carcinoma. J Thorac Cardiovasc Surg. 1981;82(5):658-668.
26. Ginsberg RJ, Rubinstein LV. Randomized trial of lobectomy versus limited resection for T1 N0 non-small cell lung cancer. Lung Cancer Study Group. Ann Thorac Surg.1995;60(3):615-622. doi: 10.1016/0003-4975(95)00537-u.
27. Crabtree TD, Denlinger CE, Meyers BF, et al. Stereotactic body radiation therapy versus surgical resection for stage I non-small cell lung cancer. J Thorac Cardiovasc Surg. 2010;140(2):377-386. doi: 10.1016/j.jtcvs.2009.12.054.
28. Chang JY, Liu YH, Zhu Z, et al. Stereotactic ablative radiotherapy: a potentially curable approach to early stage multiple primary lung cancer. Cancer 2013;119(18):3402-3410. doi: 10.1002/cncr.28217.
29. Lagerwaard FJ, Verstegen NE, Haasbeek CJ, et al. Outcomes of stereotactic ablative radiotherapy in patients with potentially operable stage I non-small cell lung cancer. Int J Radiat Oncol Biol Phys. 2012;83(1):348-353. doi: 10.1016/j.ijrobp.2011.06.2003.
30. Creach KM, Bradley JD, Mahasittiwat P, Robinson CG. Stereotactic body radiation therapy in the treatment of multiple primary lung cancers. Radiother Oncol. 2012;104(1):19-22. doi: 10.1016/j.radonc.2011.12.005.
31. Griffioen GH, Lagerwaard FJ, Haasbeek CJ, Smit EF, Slotman BJ, Senan S. Treatment of multiple primary lung cancers using stereotactic radiotherapy, either with or without surgery. Radiother Oncol. 2013;107(3):403-408. doi: 10.1016/j.radonc.2013.04.026.
32. Ridge CA, Silk M, Petre EN, et al. Radiofrequency ablation of T1 lung carcinoma: comparison of outcomes for first primary, metachronous and synchronous lung tumors. J Vasc Interv Radiol. 2014;25(7):989-996. doi: 10.1016/j.jvir.2014.02.021.
33. Finley DJ, Yoshizawa A, Travis W, et al. Predictors of outcomes after surgical treatment of synchronous primary lung cancers. J Thorac Oncol. 2010;5:197–205.
34. National Comprehensive Cancer Network. Non Small Cell Lung Cancer (Version 2.2020). https://www.nccn.org/professionals/physician_gls/pdf/nscl.pdf. Accessed January 27, 2020.
35. National Comprehensive Cancer Network. Small Cell Lung Cancer (Version 2.2020). https://www.nccn.org/professionals/physician_gls/pdf/sclc.pdf. Accessed January 27, 2020.
