A 79-year-old white man presented with an ulcerated chest wall lesion developing from an existing mole.
Dr. Corey is a Board Certified Dermatologist since 2009. She is a diplomate of the American Board of Dermatology and a member of the American Academy of Dermatology, the American Society of Dermatologic Surgery, and the American Contact Dermatitis Society.

Dr. Copur is a Medical Oncologist/ Hematologist at Morrison Cancer Center, Mary Lanning Healthcare in Hastings, Nebraska, and is a Professor at the University of Nebraska Medical Center in Omaha, Nebraska. He is also Editor-at-Large and a Community Oncology Advisory Board member at ONCOLOGY.

Figure 1: A 79-year-old man presenting with itchy erythematous patches

Figure 2a: x20 Magnification

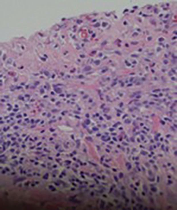
Figure 2b: x100 Magnification

Figure 2c: x400 Magnification

A 79-year-old white man presented with an ulcerated chest wall lesion developing from an existing mole. After definitive surgery, it proved to be a malignant melanoma and staged as T4N1M0. He received 1 year of adjuvant therapy with nivolumab. Starting on the last month of adjuvant nivolumab treatment, he developed itchy erythematous patches on his left posterior shoulder that spread over his trunk, arms, and thighs (Figure 1). Gradually, he began to develop more urticarial pink plaques, tense bullae, and erosions in the same locations. There was no involvement of mucosal surfaces. Punch biopsy of 1 of these lesions was performed and sent to pathology for evaluation by hematoxylin and eosin (H&E) staining and direct immunofluorescence (DIF).
What is your diagnosis?
A. Recurrent malignant melanoma
B. Erythema multiforme
C. Drug rash
D. Bullous pemphigoid
Correct Answer: D. Bullous pemphigoid
Immunotherapy is associated with a unique set of immune reactions known collectively as immune-related adverse events (irAEs). Cutaneous toxicity is among the most common irAEs in patients treated with immunotherapy. Although often mild, dermatologic toxicity can occasionally be high grade and potentially life-threatening. In cancer patients treated with immunotherapy, physicians should have a greater index of suspicion for cutaneous irAEs. Bullous pemphigoid is an autoimmune subepidermal blistering disease characterized by the development of tense bullae. It is most frequently seen in the elderly. The skin lesions and biopsy results of this patient are consistent with bullous pemphigoid. H&E staining showed perivascular lymphocytic and eosinophilic infiltrate. DIF revealed linear immunoglobulin G and complement component 3 along the basement membrane zone. Programmed cell death protein 1(PD-1)/programmed death ligand 1(PD-L1)-induced bullous pemphigoid has recently emerged as a potentially serious dermatologic toxicity and has been observed with some degree of frequency. There is no standardized treatment algorithm for management of PD-1/PD-L1 inhibitor-induced bullous pemphigoid, but patients frequently require topical and systemic steroids.1
1. Lopez AT, Geskin L. A case of nivolumab induced bullous pemphigoid: review of dermatologic toxicity associated with programmed cell death protein-1/programmed death ligand-1 inhibitors and recommendations for diagnosis and management. Oncologist. 2018;23(10):1119-1126. doi: 10.1634/theoncologist.2018-0128.
