Treatment optimization for centrally located lung cancers requires special considerations for determining resectability and patient selection.
Table 1: Changes to AJCC TNM Staging for NSCLC

Table 2: Clinical Staging of T3/T4 Tumors by Computerized Tomography

Table 3: Comparison of Sleeve Lobectomy and Pneumonectomy

Table 4: Surgical Outcomes for Sleeve Lobectomy

Table 5: Induction Chemoradiotherapy for Superior Sulcus Tumors

Figure 1: Approaches to Management of Centrally Located Non–Small-Cell Lung Cancer

Figure 2: Management of a Superior Sulcus Tumor

Figure A: Bronchoscopic View of a Central Airway Tumor Involving the Right Upper Lobe of the Lung.

Figure B: CT of Central Pulmonary Artery Invasion.

Treatment optimization for centrally located lung cancers requires special considerations for determining resectability and patient selection. Evaluation involves an experienced multidisciplinary team performing careful clinical and invasive-disease staging to identify the best management approach and ascertain the need for multimodality therapy. Preoperative imaging alone is often inaccurate in its ability to determine whether the patient is at an advanced clinical T stage that might preclude curative surgical resection. Therefore, other modalities are often necessary to complete the clinical staging. In the absence of irrefutable evidence of unresectability, however, surgical exploration should be undertaken with curative intent. Long-term outcomes can be favorable in select patients, and most of the procedures, including complex reconstructions, can be performed with acceptable morbidity and mortality.
In the treatment of locally advanced lung cancers, special consideration is required in order to achieve optimal clinical outcomes. Tumors that are centrally located or have demonstrated invasion into the pulmonary hila or mediastinal structures represent an even more select category. The current American Joint Committee on Cancer Staging Manual (AJCC 7th edition) classifies these lesions as T3 or T4 tumors.[1-4] Historically, many such tumors were considered unresectable and uniformly fatal. Major improvements in survival were first reported by Shaw and Paulson in 1961, in a series of patients undergoing surgery following induction radiotherapy.[5] Since then, further advancement in surgical techniques and the combination of surgery with chemotherapy and/or radiation have resulted in continued improvement in outcomes, and patients are now afforded the opportunity to undergo surgery with curative intent.
Most of what is reported in the literature is based upon the AJCC tumor, node, metastasis (TNM) classification published prior to its most recent revision.[2] However, in 2010 major changes were made to the tumor classification category (T) with implications for comparing outcomes between historical and contemporary studies (Table 1). The 6th edition of the AJCC manual classified tumors with separate nodules within the same lobe as T4, whereas the 7th edition now downstages these tumors to T3. Thus, prior published reports may have included T4 patients whom we would now classify as T3, with the potential for bias toward improved outcomes. The definition of T3 lesions in the 7th edition still includes tumors with invasion of the chest wall, diaphragm, mediastinal pleura, or pericardium, or with lesions less than 2 cm from the carina. In general, T3 lesions include local invasion of structures that are resectable under most circumstances. By contrast, T4 lesions are defined by local invasion of structures traditionally seen as unresectable. These include involvement of the heart, great vessels, esophagus, trachea, carina, recurrent laryngeal nerve, or vertebral body. Although a majority of T4 lesions are truly unresectable, there are many important exceptions that are the subject of this review.
Appropriate patient selection is critical to minimize risk and maximize outcomes for those being considered for surgical resection. Resection of central T3 or T4 tumors often carries more morbidity than standard anatomic lung resections, and this must be factored into the surgical risk–clinical benefit ratio for the individual patient. History and clinical examination may provide clues as to the degree of local invasion, as in the presence of hoarseness (recurrent laryngeal nerve involvement), Horner’s syndrome (Pancoast tumors), or chest wall pain (chest wall invasion). Targeted inquiry to investigate areas of clinical suspicion should always be undertaken. Additionally, given the high surgical complexity, longer anesthetic time, and greater physiologic insult involved in resection of central lung tumors, it is important to perform a robust preoperative workup and a risk assessment that includes consideration of comorbidities.
The decision regarding resectability should be made with a multidisciplinary approach in mind and must be made only after consultation with an experienced thoracic surgeon. Surgeons performing lung cancer resections may include general surgeons, cardiothoracic surgeons who predominantly practice cardiac surgery, and dedicated general thoracic surgeons who are board-certified by the American Board of Thoracic Surgery or its foreign equivalent. The National Comprehensive Cancer Network (NCCN) makes the following recommendation regarding surgical evaluation of lung cancer patients: “determination of resectability, surgical staging, and pulmonary resection should be performed by a board-certified thoracic surgeon who performs lung cancer surgery as a prominent part of [his or her] practice.”[6] This recommendation is due to clear evidence that dedicated thoracic surgeons achieve improved patient outcomes in terms of perioperative morbidity and mortality, as well as improvements in long-term survival compared with nonspecialist surgeons performing lung cancer resections.[7,8] Although substantial evidence exists to support specialized surgical care of patients undergoing all resections for lung cancer, in no situation is this more important than in evaluation and resection of patients with centrally located tumors. The surgical judgments regarding resectability are more complex and require a broad depth of surgical experience in order to avoid nontherapeutic thoracotomy, incomplete resections, or decisions against surgery for patients in whom resection could have been accomplished by a more experienced surgeon.
The process of clinical staging may be limited by available imaging modalities, but perhaps more often it is limited by the experience of the interpreting providers. Patients with T3 and T4 lesions are frequently directed away from surgical resection. Many patients never present for surgical consultation and thus may lose an opportunity for improved long-term outcome. Clinical overstaging is even more important and ominous than understaging, as overstaging may result in a lost opportunity for curative-intent surgery. Because the consequences of overstaging are more harmful than those of understaging, wherever there is clinical uncertainty, one should err on the side of the patient rather than the tumor, and consider surgical exploration to provide definitive staging and give the patient the benefit of the doubt in terms of management.
Central lung cancers have a higher rate of mediastinal lymph node involvement, with an incidence of 20% in the setting of superior sulcus tumors.[9] This is an important consideration given that the presence of mediastinal lymph nodes has been the factor most universally associated with lower overall survival, and is an accurate barometer of tumor biology.[10-12] As such, it is important to identify patients with mediastinal lymph node disease as a predictor of systemic failure. Should mediastinal lymph nodes be involved with tumor, surgical resection provides no survival advantage and is best avoided. Imaging is the cornerstone of clinical staging for lung cancer and provides critical information, which can be used to determine resectability and the presence of mediastinal disease. Equally important is the ability to plan ahead for complex surgical procedures that may involve uncommonly used surgical equipment or additional surgical expertise.[13]
CT usually provides the first view for clinical staging in the management of lung cancer patients. Confirming T3 or T4 stage based on CT alone can be challenging in the absence of clear bone destruction, rib erosion, or infiltration of the mediastinum. Commonly central tumors abut important mediastinal structures yet the sensitivity and specificity for true invasion is poor (Table 2). Accordingly, CT staging can result in either overstaging or understaging. Retrospective comparisons between clinical staging with CT and pathologic staging have favored understaging by CT. However, this has been mostly attributed to older CT technology and lower sensitivity for CT to detect nodal or distant metastatic disease. More contemporary studies demonstrate an overall accuracy between 35% and 91% for T3 and T4 tumors.[4,14,15] For mediastinal nodal staging, data from pooled analyses estimate an overall sensitivity of 51% and a specificity of 86% if using CT criteria alone for lymph nodes greater than 1 cm on their short axis.[16] Overstaging of T4 tumors by CT is estimated at 38% to 45%, implying that a large number of patients may be denied potentially curative-intent surgery when they are clinically staged based on CT staging alone.[14,17] Despite its limitations, evaluation of patients by CT is still one of the mainstays of clinical staging.
Because of its lack of resolution, PET has little utility in determining local invasion, even when it is combined with CT. PET does provide important information regarding mediastinal nodal staging, and its detection of distant metastatic disease is markedly improved compared with CT alone. Use of PET/CT has been associated with a reduction in nontherapeutic thoracotomies and with superior detection of occult bone metastases compared with results achieved with bone scan.[18,19] However, the highest frequency of occult N2 mediastinal nodal disease has been associated with the presence of centrally located tumors, which also carry the highest false-negative rate for PET scan.[20,21] False positivity by PET is also seen commonly in central tumors as a result of their local mass effects, local invasion, and postobstructive sequelae that produce inflammatory changes with direct impact on image interpretation. Reactive lymph nodes can appear misleading in PET scans, resulting in upstaging unless followed by confirmatory testing with direct sampling of suspicious findings.
Overall, PET has accuracy for clinical staging of the mediastinum of 74% to 81%, sensitivity of 54% to 84%, and specificity of 89% to 94%.[22-25]
MRI can be a useful adjunct in the evaluation of centrally located tumors. It is superior to CT for discerning soft tissue planes in locally advanced lesions, given its high-contrast resolution and multiplanar capability, yet still suffers from clinically unacceptable errors in both sensitivity and specificity.[18,26] The addition of gadolinium contrast allows enhanced visualization that can be particularly useful in the setting of post-treatment fibrosis. The technique can also be performed with respiratory or cardiac gating to minimize motion and pulse artifact in examination for direct mediastinal invasion. MRI is most helpful in evaluating superior sulcus tumors to determine involvement of the neural foramina, spinal canal, brachial plexus, or great vessels.[18,26,27]
Use of other staging modalities should be done selectively according to the structures of interest for a given tumor. Bronchoscopy is an invaluable tool in the evaluation of centrally located tumors. It aids in determining the extent of surgical resection by direct evaluation of the degree of airway involvement, which is critical for determination of resectability and consideration of bronchoplastic techniques (Figure A). The procedure should be performed at the time of planned surgical resection by the operating surgeon so that the endoscopic examination contributes the greatest value in surgical planning. Bronchoscopy combined with ultrasonography (endobronchial ultrasound [EBUS]) can yield additional important staging information. Fine-needle aspiration may be performed with the aid of EBUS or endoscopic ultrasound via esophagoscopy, and offers the opportunity for direct sampling of suspicious mediastinal lymph nodes and evaluation of the esophagus for local invasion. Sensitivity and specificity of endoscopic ultrasound for detecting metastatic mediastinal disease on pooled analyses are 78% and 71%, respectively, with an overall accuracy of 80% if one includes lesions visible on CT but not on ultrasound.[28] Echocardiography can be used in the preoperative clinical staging period to assess for cardiac or great vessel involvement, and it can also be used for real-time assessment via intraoperative transesophageal echocardiography (TEE). In small series, TEE has an accuracy of 100% for predicting cardiac involvement in patients undergoing surgical exploration.[29]
A significant number of tumors located within 2 cm of the carina, or encroaching on the mainstem bronchi, will require bronchoplastic techniques either to allow resection with clear surgical margins or to limit the extent of parenchymal resection. (Sleeve lobectomy is strongly preferred over pneumonectomy due to lower morbidity and improved physiologic outcomes.) Margins will be determined largely by the bronchoscopic examination performed at the time of surgery. Mediastinoscopy takes on an enhanced role in the case of central airway involvement as compared to standard lung resection. As in the case of bronchoscopy, mediastinoscopy should be performed on the same day as the proposed resection. In addition to evaluating mediastinal lymph nodes, mediastinoscopy is useful for assessing the extent of extraluminal airway involvement, and for mobilization of the airway to assist in the surgical resection itself. Conversely, if mediastinoscopy is not done concomitant to the planned resection, the resulting mediastinal scarring and adhesions may further complicate or preclude an already complex airway reconstruction. The incidence of micrometastatic mediastinal disease in central tumors ranges from 22% to 41% and is associated with significantly reduced 5-year survival in the setting of primary carinal or tracheal tumors (70% for N0, 35% for N1, and 9% for N2 disease).[21,30,31]
Historically, patients considered for bronchoplastic lung resections via sleeve lobectomy were those who had tumors that could only be excised by pneumonectomy yet who lacked the pulmonary reserve to tolerate such a resection. However, it is clear now that a sleeve lobectomy is far superior to pneumonectomy in any patient with suitable anatomy, even in those with the physiologic reserve to tolerate pneumonectomy. Studies have demonstrated increased postoperative predicted forced expiratory volume in 1 second and ventilation-perfusion matching in patients undergoing sleeve lobectomy compared with pneumonectomy (Table 3).[32-34] Sleeve lobectomy is also associated with reduced morbidity, including a lower incidence of postoperative acute respiratory distress syndrome, bronchopleural fistula, empyema, and arrhythmias compared with patients treated with pneumonectomy. Oncologic outcomes are comparable for patients undergoing sleeve lobectomy compared with pneumonectomy, with 5-year survival of 40% to 62%[34-41] (Table 4). In some circumstances, sleeve lobectomy is considered more advantageous than a pneumonectomy, given the fact that a sleeve lobectomy protects the bronchial stump with an anastomosis in comparison to the large mainstem bronchial stump closure from a high pneumonectomy. Paradoxically, a sleeve lobectomy may yield a superior bronchial margin compared with pneumonectomy in these cases (Figures 1A, 1B, 1C). Furthermore, survival following incomplete resection for even stage I or II patients is much worse than for those undergoing radical excision with complete resection. Residual peribronchial disease carries a 1-year survival of 20% to 50% and 5-year survival of 0% to 20%.[42] Thus, in cases with central airway involvement, sleeve resection offers an enhanced ability to obtain a clear proximal margin, with improved oncologic outcome.
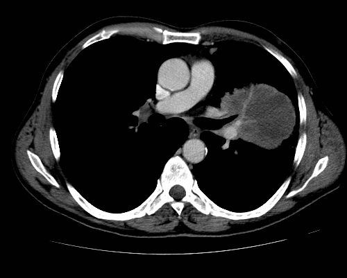
Many patients with tumors involving the central airways will also have involvement of central vascular structures, with an estimated incidence of combined involvement of 13% to 80%.[43-45] Surgical resection of tumors with vascular invasion is often an option for patients with limited involvement of the superior vena cava (SVC) or pulmonary artery (PA) (Figure B). Resection of tumors with invasion of the subclavian vessels is considered for Pancoast tumors involving these vessels. PA resections are limited to tumors involving < 1–1.5 cm of the intrapericardial PA in order to obtain negative margins and avoid cardiopulmonary bypass. PA sleeve resections and vascular reconstruction can also allow distal parenchymal preservation for tumors involving the PA in the hilum or fissure. Five-year survival for vascular sleeve resections involving the SVC or PA ranges from 29% to 52% and is highly influenced by the presence of mediastinal nodal disease.[44-48] Under most circumstances, central vascular involvement that requires the use of cardiopulmonary bypass should be considered a contraindication for resection. Likewise, tumors involving the aorta are rarely amenable to resection, although there are published reports of segmental excisions with partial cardiopulmonary bypass support or excision of tumors with aortic arch involvement that is performed with the patient under hypothermic circulatory arrest.[49,50]
Experience with resection of tumors involving the esophagus and vertebral body is largely confined to small series and case reports. In general, involvement of the esophagus or vertebral bodies is considered a contraindication for resection.
Superior sulcus tumors are centered at the thoracic inlet and include the special category of Pancoast tumors. The classic description of a Pancoast tumor is that of a tumor arising from the lung apex and invading the costovertebral groove in the posterior thoracic inlet. Invasion of local structures gives rise to the symptoms of Pancoast syndrome, which include Horner’s syndrome (ptosis and miosis from invasion of the stellate ganglion) and left shoulder and arm pain with atrophy of the intrinsic muscles of the hand (from involvement of the C8 and T1 nerve roots of the brachial plexus). Although previously considered unresectable, surgical resection can be performed via a posterior approach[5] or an anterior approach popularized by Dartevelle.[51] Preoperative assessment of the subclavian vessels can be challenging, even with the use of MRI (Figure 2A). In the setting of subclavian involvement, however, the vein can often be ligated and the artery can be managed with segmental resection or carotid subclavian bypass (Figure 2B). Unequivocal involvement of the brachial plexus above T1, carotid, or vertebral arteries is generally considered a contraindication for resection.
Induction chemoradiotherapy for lung cancer patients is most frequently applied to stage IIIA patients with N2 nodal disease. Use of induction therapy for locally invasive T3 and T4 tumors is attractive given the preoperative uncertainty about the ability to achieve a safe complete resection in some cases. However, induction therapy also results in tissue fibrosis that often complicates the surgical resection and makes intraoperative assessment of cancer margins difficult for both the surgeon and pathologist. One must weigh the potential benefit with the possibility for increased surgical morbidity following postinduction therapy in an already complex surgical field. As such, the decision regarding induction therapy must be carefully considered within the context of a multidisciplinary discussion that should include a surgeon in addition to the medical and radiation oncologists. It is mandatory to have a surgical consultation prior to initiating induction therapy, as this allows careful consideration of the pros and cons of induction for a given patient, and ensures that the patient receives the most appropriate regimen. This can help avoid a situation in which induction doses are given to someone for whom surgical resection is clinically inappropriate. Most of the evidence in support of induction therapy for locally advanced lung cancer comes from experience with superior sulcus tumors, for which it is now the standard of care. The rate of complete surgical resection following induction therapy for superior sulcus tumors ranges from 76% to 93%, with 5-year survival of 59% to 74% (Table 5).[52-57] The rate of surgical morbidity associated with resection of superior sulcus tumors following induction chemoradiotherapy ranges from 11% to 45%, which is not significantly different from rates seen without induction therapy.[10,54,57,58] The use of induction therapy for lung cancer patients outside the setting of N2 nodal disease or locally advanced superior sulcus tumors remains controversial.
Evaluation of centrally located lung tumors requires an experienced multidisciplinary team for careful clinical and invasive staging, as well as to determine the need for multimodality therapy. Preoperative imaging is often inaccurate in its ability to determine advanced T stage that might preclude curative surgical resection, so in the absence of irrefutable evidence of unresectability, the patient should be given the benefit of the doubt and considered for surgical resection. Long-term outcomes can be very favorable in select patients, and most of the procedures, including complex reconstructions, can be performed with acceptable morbidity and mortality.
Financial Disclosure: The authors have no significant financial interest or other relationship with the manufacturers of any products or providers of any service mentioned in this article.
1. Muehling B, Wehrmann C, Oberhuber A, et al. Comparison of clinical and surgical-pathological staging in IIIA non-small cell lung cancer patients. Ann Surg Oncol. 2012;19:89-93.
2. Edge SB, Byrd DR, Compton CC, et al. AJCC Cancer Staging Manual. 7th ed. New York: Springer; 2010.
3. Venuta F, Rendina EA, Ciriaco P, et al. Computed tomography for preoperative assessment of T3 and T4 bronchogenic carcinoma. Eur J Cardiothorac Surg. 1992;6:238-41.
4. Cangemi V, Volpino P, Drudi FM, et al. Assessment of the accuracy of diagnostic chest CT scanning. Impact on lung cancer management. Int Surg. 1996;81:77-82.
5. Shaw RR, Paulson DL, Kee JL. Treatment of superior sulcus tumor by irradiation followed by resection. Ann Surg. 1961;154:29-40.
6. National Comprehensive Cancer Network (NCCN). NCCN Clinical Practice Guidelines in Oncology 2013:V.2.2014. Available from: http://www.nccn.org.
7. Farjah F, Flum DR, Varghese TK, Jr, et al. Surgeon specialty and long-term survival after pulmonary resection for lung cancer. Ann Thorac Surg. 2009;87:995-1004.
8. Wood DE, Farjah F. Surgeon specialty is associated with better outcomes: the facts speak for themselves. Ann Thorac Surg. 2009;88:1393-5.
9. Vallières E, Karmy-Jones R, Mulligan MS, Wood DE. Pancoast tumors. Curr Probl Surg. 2001;38:293-376.
10. Yildizeli B, Dartevelle PG, Fadel E, et al. Results of primary surgery with T4 non-small cell lung cancer during a 25-year period in a single center: the benefit is worth the risk. Ann Thorac Surg. 2008;86:1065-75.
11. Ilhan M, Demir A, Akin H, et al. Characteristics and prognosis of resected T3 non-small cell lung cancer. Minerva Chirurgica. 2008;63:101-8.
12. Lucchi M, Viti A, Melfi F, et al. IIIB-T4 non-small cell lung cancer: indications and results of surgical treatment. J Cardiovasc Surg. 2007;48:369-74.
13. Backhus L, Puneet B, Bastawrous S, et al. Radiographic evaluation of the patient with lung cancer: surgical implications of imaging. Curr Probl Diagn Radiol. 2013;42:84-98.
14. Gdeedo A, Van Schil P, Corthouts B, et al. Comparison of imaging TNM [(i)TNM] and pathological TNM [pTNM] in staging of bronchogenic carcinoma. Eur J Cardiothorac Surg. 1997;12:224-7.
15. Sioris T, Jarvenpaa R, Kuukasjarvi P, et al. Comparison of computed tomography and systematic lymph node dissection in determining TNM and stage in non-small cell lung cancer. Eur J Cardiothorac Surg. 2003;23:403-8.
16. Silvestri GA, Gould MK, Margolis ML, et al. Noninvasive staging of non-small cell lung cancer: ACCP evidenced-based clinical practice guidelines (2nd edition). Chest. 2007;132:178S-201S.
17. Cetinkaya E, Turna A, Yildiz P, et al. Comparison of clinical and surgical-pathologic staging of the patients with non-small cell lung carcinoma. Eur J Cardiothorac Surg. 2002;22:1000-5.
18. Ravenel JG, Mohammed TL, Movsas B, et al. ACR Appropriateness Criteria®noninvasive clinical staging of bronchogenic carcinoma. J Thorac Imaging. 2010;25:W107-11.
19. Fischer B, Lassen U, Mortensen J, et al. Preoperative staging of lung cancer with combined PET-CT. N Engl J Med. 2009;361:32-9.
20. Lee PC, Port JL, Korst RJ, et al. Risk factors for occult mediastinal metastases in clinical stage I non-small cell lung cancer. Ann Thorac Surg. 2007;84:177-81.
21. Eichhorn F, Storz K, Hoffmann H, et al. Sleeve pneumonectomy for central non-small cell lung cancer: indications, complications, and survival. Ann Thorac Surg. 2013;96:253-8.
22. Kubota K, Murakami K, Inoue T, et al. Additional value of FDG-PET to contrast enhanced-computed tomography (CT) for the diagnosis of mediastinal lymph node metastasis in non-small cell lung cancer: a Japanese multicenter clinical study. Ann Nucl Med. 2011;25:777-86.
23. Darling GE, Maziak DE, Inculet RI, et al. Positron emission tomography-computed tomography compared with invasive mediastinal staging in non-small cell lung cancer: results of mediastinal staging in the early lung positron emission tomography trial. J Thorac Oncol. 2011;6:1367-72.
24. Bille A, Pelosi E, Skanjeti A, et al. Preoperative intrathoracic lymph node staging in patients with non-small-cell lung cancer: accuracy of integrated positron emission tomography and computed tomography. Eur J Cardiothorac Surg. 2009;36:440-5.
25. Cerfolio RJ, Bryant AS, Ojha B, Eloubeidi M. Improving the inaccuracies of clinical staging of patients with NSCLC: a prospective trial. Ann Thorac Surg. 2005;80:1207-13.
26. Bruzzi JF, Komaki R, Walsh GL, et al. Imaging of non-small cell lung cancer of the superior sulcus: part 2: initial staging and assessment of resectability and therapeutic response. Radiographics. 2008;28:561-72.
27. Imai K, Minamiya Y, Saito H, et al. Diagnostic imaging in the preoperative management of lung cancer. Surg Today. 2013 Jul 10. [Epub ahead of print]
28. Vazquez-Sequeiros E, Levy MJ, Van Domselaar M, et al. Diagnostic yield and safety of endoscopic ultrasound guided fine needle aspiration of central mediastinal lung masses. Diagn Ther Endosc. 2013;2013:150492.
29. Caterino U, Dialetto G, Covino FE, et al. The usefulness of transesophageal echocardiography in the staging of locally advanced lung cancer. Monaldi Arch Chest Dis. 2007;67:39-42.
30. Liu XY, Liu FY, Wang Z, Chen G. Management and surgical resection for tumors of the trachea and carina: experience with 32 patients. World J Surg. 2009;33:2593-8.
31. Macchiarini P, Altmayer M, Go T, et al. Technical innovations of carinal resection for nonsmall-cell lung cancer. Ann Thorac Surg. 2006;82:1989-97.
32. Khargi K, Duurkens VA, Verzijlbergen FF, et al. Pulmonary function after sleeve lobectomy. Ann Thorac Surg. 1994;57:1302-4.
33. Watanabe Y, Shimizu J, Oda M, et al. Results in 104 patients undergoing bronchoplastic procedures for bronchial lesions. Ann Thorac Surg. 1990;50:607-14.
34. Okada M, Yamagishi H, Satake S, et al. Survival related to lymph node involvement in lung cancer after sleeve lobectomy compared with pneumonectomy. J Thorac Cardiovasc Surg. 2000;119:814-9.
35. Porhanov VA, Poliakov IS, Selvaschuk AP, et al. Indications and results of sleeve carinal resection. Eur J Cardiothorac Surg. 2002;22:685-94.
36. Takeda S, Maeda H, Koma M, et al. Comparison of surgical results after pneumonectomy and sleeve lobectomy for non-small cell lung cancer: trends over time and 20-year institutional experience. Eur J Cardiothorac Surg. 2006;29:276-80.
37. Berthet JP, Paradela M, Jimenez MJ, et al. Extended sleeve lobectomy: one more step toward avoiding pneumonectomy in centrally located lung cancer. Ann Thorac Surg. 2013;96:1988-97.
38. Tedder M, Anstadt MP, Tedder SD, Lowe JE. Current morbidity, mortality, and survival after bronchoplastic procedures for malignancy. Ann Thorac Surg. 1992;54:387-91.
39. Mehran RJ, Deslauriers J, Piraux M, et al. Survival related to nodal status after sleeve resection for lung cancer. J Thorac Cardiovasc Surg. 1994;107:576-82.
40. Fadel E, Yildizeli B, Chapelier AR, et al. Sleeve lobectomy for bronchogenic cancers: factors affecting survival. Ann Thorac Surg. 2002;74:851-8.
41. Deslauriers J, Gregoire J, Jacques LF, et al. Sleeve lobectomy versus pneumonectomy for lung cancer: a comparative analysis of survival and sites or recurrences. Ann Thorac Surg. 2004;77:1152-6.
42. Wind J, Smit EJ, Senan S, Eerenberg JP. Residual disease at the bronchial stump after curative resection for lung cancer. Eur J Cardiothorac Surg. 2007;32:29-34.
43. Yildizeli B, Fadel E, Mussot S, et al. Morbidity, mortality, and long-term survival after sleeve lobectomy for non-small cell lung cancer. Eur J Cardiothorac Surg. 2007;31:95-102.
44. Kojima F, Yamamoto K, Matsuoka K, et al. Factors affecting survival after lobectomy with pulmonary artery resection for primary lung cancer. Eur J Cardiothorac Surg. 2011;40:e13-20.
45. Yamashita M, Komori E, Sawada S, et al. Pulmonary angioplastic procedure for lung cancer surgery. Gen Thorac Cardiovasc Surg. 2010;58:19-24.
46. Politi L, Crisci C, Montinaro F, et al. Prosthetic replacement and tangential resection of the superior vena cava in chest tumors. J Cardiovasc Surg. 2007;48:363-8.
47. Spaggiari L, Leo F, Veronesi G, et al. Superior vena cava resection for lung and mediastinal malignancies: a single-center experience with 70 cases. Ann Thorac Surg. 2007;83:223-9.
48. Obuchi T, Miyahara S, Higuchi T, et al. Prognosis of patients after pulmonary artery plasty for non-small cell lung cancer. Thorac Cardiovasc Surg. 2009;57:484-8.
49. Shiraishi T, Shirakusa T, Miyoshi T, et al. Extended resection of T4 lung cancer with invasion of the aorta: is it justified? Thorac Cardiovasc Surg. 2005;53:375-9.
50. Misthos P, Papagiannakis G, Kokotsakis J, et al. Surgical management of lung cancer invading the aorta or the superior vena cava. Lung Cancer. 2007;56:223-7.
51. Dartevelle PG, Chapelier AR, Macchiarini P, et al. Anterior transcervical-thoracic approach for radical resection of lung tumors invading the thoracic inlet. J Thorac Cardiovasc Surg. 1993;105:1025-34.
52. Rusch VW, Giroux DJ, Kraut MJ, et al. Induction chemoradiation and surgical resection for non-small cell lung carcinomas of the superior sulcus: initial results of Southwest Oncology Group Trial 9416 (Intergroup Trial 0160). J Thorac Cardiovasc Surg. 2001;121:472-83.
53. Martinez-Monge R, Herreros J, Aristu JJ, et al. Combined treatment in superior sulcus tumors. Am J Clin Oncol. 1994;17:317-22.
54. Foroulis CN, Zarogoulidis P, Darwiche K, et al. Superior sulcus (Pancoast) tumors: current evidence on diagnosis and radical treatment. J Thorac Dis. 2013;5:S342-58.
55. De Leyn P, Vansteenkiste J, Lievens Y, et al. Survival after trimodality treatment for superior sulcus and central T4 non-small cell lung cancer. J Thorac Oncol. 2009;4:62-8.
56. Wright CD, Menard MT, Wain JC, et al. Induction chemoradiation compared with induction radiation for lung cancer involving the superior sulcus. Ann Thorac Surg. 2002;73:1541-4.
57. Fischer S, Darling G, Pierre AF, et al. Induction chemoradiation therapy followed by surgical resection for non-small cell lung cancer (NSCLC) invading the thoracic inlet. Eur J Cardiothorac Surg. 2008;33:1129-34.
58. Gonzalez M, Litzistorf Y, Krueger T, et al. Impact of induction therapy on airway complications after sleeve lobectomy for lung cancer. Ann Thorac Surg. 2013;96:247-52.