A 70-year-old woman developed red-to-violaceous papules, plaques, and nodule- like skin lesions several months prior to her presentation. The skin lesions mostly involved her lower neck and abdominal area. What is the most likely diagnosis?
Oncology (Williston Park). 33(6):217-20.

Mehmet Sitki Copur, MD, FACP

Karine Turcotte, MD

Kai Fu, MD, PhD

Pornchai Jonglertham, MD

Figure 1. Skin Lesions Before (Left) and After (Right) Treatment

Figure 2. Skin Biopsy Showing a Dense Lymphoid Infiltrate Involving the Dermis

Figure 3. Immunophenotyping of the Patient’s Cells

Figure 4. Strong Clonal Gene Rearrangement Detected at Framework II and Framework III

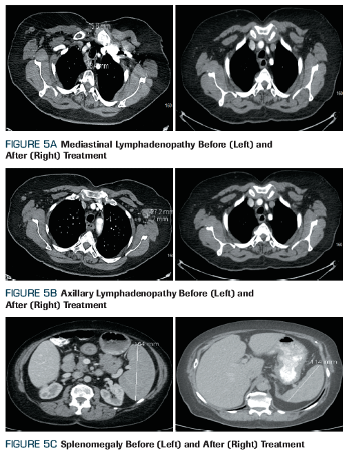
Figure 5. (A) Mediastinal Lymphadenopathy Before (Left) and After (Right) Treatment; (B) Axillary Lymphadenopathy Before (Left) and After (Right) Treatment; (C) Splenomegaly Before (Left) and After (Right) Treatment

A 70-year-old woman developed red-to-violaceous papules, plaques, and nodule- like skin lesions several months prior to her presentation. The skin lesions mostly involved her lower neck and abdominal area (Figure 1). Initial topical and/or systemic treatments with antibiotic, antifungal, and allergy medications failed to provide a definitive clinical improvement, so a skin biopsy was performed. Hematoxylin and eosin staining of the skin biopsy revealed a dense lymphoid infiltrate involving the dermis, with small- to intermediate-sized lymphoid cells (Figure 2). Immunophenotyping confirmed the presence of B cells with positive CD20 and BCL2, as well as partially positive MUM1. Tests for CD3, CD10, BCL6, cyclin D1, CD5, CD23, CD30, terminal deoxynucleotidyl transferase, kappa, lamda, and CD34 were negative (Figure 3). The Ki-67 proliferative index was 20%, and the clonality of B lymphocytes was analyzed on paraffin-embedded, unstained slides from the skin biopsy. DNA amplification by polymerase chain reaction using consensus primers to the heavy locus (IGH) gene variable and joining regions was performed. A strong clonal gene rearrangement was detected to the framework II (FR2) region at 282 base pairs, and to the framework III (FR3) region at 142 base pairs (Figure 4).
Based on the clinical presentation and pathology of the skin biopsy, what is the most likely diagnosis?
A. Primary cutaneous follicle center lymphoma
B. Primary cutaneous marginal zone lymphoma
C. Primary cutaneous large B-cell lymphoma
D. Secondary involvement of skin by noncutaneous marginal zone lymphoma
E. Both B and D
CORRECT ANSWER: E. Both B and D
The pathology of the skin biopsy was reported to be extranodal marginal zone lymphoma. The patient denied any palpable lumps, night sweats, fevers, or weight loss. A somewhat limited physical examination due to her overweight condition did not reveal lymphadenopathy or organomegaly. Further workup with CT scans of the chest, abdomen, and pelvis revealed axillary, hilar, and mediastinal lymphadenopathy, as well as splenomegaly (Figure 5). A unilateral bone marrow aspiration and biopsy showed involvement by marginal zone lymphoma. The patient was treated with 6 cycles of combination chemotherapy with rituximab, cyclophosphamide, vincristine sulfate, and prednisone (R-CVP) and achieved a complete response.
Cutaneous lymphomas are the second most frequent form of extranodal lymphomas and have unique characteristics.[1] They can be defined as lymphoproliferative skin infiltrates of T cell, B cell, or natural killer cell lineage occurring on and remaining confined to the skin in most patients.[2] At the time of diagnosis, cutaneous lymphomas do not cause detectable extracutaneous manifestations. Primary cutaneous B-cell lymphomas represent 20% to 25% of all cutaneous lymphomas and have an overall favorable prognosis.[3,4] Proper recognition is vital in order to select the appropriate therapy and avoid overtreatment. An Italian Study Group reported data for 467 patients with primary cutaneous B-cell lymphoma in order to evaluate prognostic factors. They found that follicle center lymphoma (FCL) accounted for most occurrences (56.7%), followed by marginal zone B-cell lymphoma (31.4%) and diffuse large B-cell lymphoma (DLBCL), leg type (10.9%). The histopathologic tumor type and the extent of cutaneous involvement were the two most relevant prognostic factors.[5,6]
The diagnosis of cutaneous B-cell lymphoma is established via an analysis of the skin biopsy specimen, using histomorphology, cytomorphology, immunohistochemistry, phenotypic features, genotyping, and cytogenetic studies. Marginal zone lymphoma can occur as a primary cutaneous condition or as the result of secondary involvement from noncutaneous marginal zone lymphoma. Distinguishing primary cutaneous marginal zone lymphoma from secondary cutaneous marginal zone lymphoma is of utmost importance to determine the optimal prognostic and therapeutic approach. The histopathological and immunohistochemical features of primary cutaneous marginal zone lymphoma and secondary cutaneous marginal zone lymphoma can be indistinguishable.[7] While both primary cutaneous marginal zone lymphoma and secondary cutaneous marginal zone lymphoma are exceedingly rare and it is difficult to devise reliable criteria to discern the differences between the two, some variances in clinical presentation have been reported by a small case series.[7,8] While primary cutaneous marginal zone lymphoma tends to be seen in younger patients and favors the trunk and extremities, secondary cutaneous marginal zone lymphoma seems to favor the head/neck regions and is limited to older patients. However, there may be considerable overlap in the clinical presentations of patients with primary and secondary cutaneous disease. The distinction between primary cutaneous marginal zone lymphoma and secondary cutaneous marginal zone lymphoma can often not be made until a thorough clinical systemic examination and imaging studies, including a bone marrow aspiration and biopsy, are conducted. Primary cutaneous marginal zone lymphoma can be confirmed only when there is no evidence of extracutaneous disease. [7,8]
Clinical features can be different between the two entities. Primary cutaneous marginal zone lymphoma tends to follow a very indolent course, while nodal marginal zone lymphomas may have a median survival of 5 years.[9] Staging is critical for decision making in the management of patients with lymphoma. In 2007, the International Society for Cutaneous Lymphomas (ISCL) and the Cutaneous Lymphoma Task Force of the European Organisation for Research and Treatment of Cancer (EORTC) proposed a new Tumor, Node, Metastasis (TNM) staging system for primary cutaneous lymphomas other than mycosis fungoides (MF) and Sezary syndrome (SS).[6] Due to the clinical and pathologic heterogeneity of cutaneous lymphomas, this proposed TNM system was intended to be primarily an anatomic documentation of disease extent rather than a prognostic guide.
The ISCL/EORTC recommendation for staging evaluation in cutaneous lymphomas other than MF/SS included proper clinical staging evaluations, beginning with a complete history and review of systems. It also suggested that a thorough physical examination; laboratory studies; appropriate imaging studies assessing at least the chest, abdomen, and pelvis; and a bone marrow biopsy, as indicated by staging assessments, be obtained.[10]
While gastric marginal zone lymphoma is associated with Helicobacter pylori and salivary gland marginal zone lymphoma is associated with hepatitis C infection, primary cutaneous marginal zone lymphoma has been shown to be associated with Borrelia burgdorferi infection in 20% of cases.[11] Due to the different disease associations, treatment options, and prognoses, it is important to distinguish primary cutaneous lymphomas from systemic lymphomas secondarily involving the skin. Considerable overlap in the clinical presentations of patients with primary and secondary cutaneous disease makes it crucial to perform a systemic evaluation for all patients.[7,12]
Marginal zone lymphoma can be a primary cutaneous condition or represent a secondary involvement from noncutaneous marginal zone lymphoma. Distinguishing primary cutaneous marginal zone lymphoma from secondary cutaneous marginal zone lymphoma is of utmost importance in determining the proper prognostic and therapeutic approach. However, there are no reliable histopathological and immunohistochemical features to accurately distinguish between the two entities.[4] The case presented here exemplifies this challenge. While the older age of the patient suggested secondary marginal zone lymphoma, distribution of the skin lesions mainly in the trunk indicated primary cutaneous marginal zone lymphoma. Similarly, histopathological and immunohistochemical examination of the skin biopsy specimen was not helpful to differentiate between primary vs secondary marginal zone lymphoma. Only after a complete systemic workup with imaging studies, bone marrow aspiration, and a biopsy, was it possible to establish the diagnosis of secondary cutaneous marginal zone lymphoma of the skin, which then guided the appropriate systemic therapy. The patient achieved a complete response to systemic therapy and remains in complete remission to date.
Financial Disclosure:The authors have no significant financial interest in or other relationship with the manufacturer of any product or provider of any service mentioned in this article.
1. Newton R, Ferlay J, Beral V, Devesa SS. The epidemiology of non-Hodgkins lymphoma: comparison of nodal and extra-nodal sites. Int J Cancer. 1997;72:923-30.
2. Willemze R, Hodak E, Zinzani PL, et al. Primary cutaneous lymphomas: ESMO Clinical Practice Guidelines for diagnosis, treatment and follow-up. Ann Oncol. 2018;29(Suppl 4):30-40.
3. Bradford PT, Devesa SS, Anderson WF, et al. Cutaneous lymphoma incidence patterns in the United States: a population-based study of 3884 cases. Blood. 2009;113:5064-73.
4. Willemze R. Primary cutaneous B-cell lymphoma: classification and treatment. Curr Opin Oncol. 2006;18:425-31.
5. Zinzani PL, Quaglino P, Pimpinelli N, et al. Prognostic factors in primary cutaneous B-cell lymphoma: the Italian Study Group for Cutaneous Lymphomas. J Clin Oncol. 2006;24:1376-82.
6. Chan SA, Shah F, Chaganti S, et al. Primary cutaneous B-cell lymphoma: systemic spread is rare while cutaneous relapses and secondary malignancies are frequent. Br J Dermatol. 2017;177: 287-9.
7. Gerami P, Wickless SC, Querfeld C, et al. Cutaneous involvement with marginal zone lymphoma. J Am Acad Dermatol. 2010;63:142-5.
8. Bailey EM, Ferry JA, Harris NL, et al. Marginal zone lymphoma (low-grade B-cell lymphoma of mucosa-associated lymphoid tissue type) of skin and subcutaneous tissue: a study of 15 patients. Am J Surg Pathol. 1996;20:1011-23.
9. Arcaini L, Paulli M, Burcheri S, et al; Intergruppo Italiano Linformi. Primary nodal marginal zone B-cell lymphoma: clinical features and prognostic assessment of a rare disease. Br J Haematol. 2007;136:301-4.
10. Kim YH, Willemze R, Pimpinelli N, et al; ISCL and the EORTC. TNM classification system for primary cutaneous lymphomas other than mycosis fungoides and Sezary syndrome: a proposal of the International Society for Cutaneous Lymphomas (ISCL) and the Cutaneous Lymphoma Task Force of the European Organization11 of Research and Treatment of Cancer (EORTC). Blood. 2007;110:479-84.
11. de la Fouchardiere A, Vandenesch F, Berger F. Borrelia-associated primary cutaneous MALT lymphoma in a nonendemic region. Am J Surg Pathol. 2003;27:702-3.
12. Haverkos B, Tyler K, Gru AA, et al. Primary cutaneous B-cell lymphoma: management and patterns of recurrence at the multimodality cutaneous lymphoma clinic of The Ohio State University. Oncologist. 2015; 20:1161-6.

Navigating AE Management for Cellular Therapy Across Hematologic Cancers
A panel of clinical pharmacists discussed strategies for mitigating toxicities across different multiple myeloma, lymphoma, and leukemia populations.