The patient is a 39-year-old man who presents with pelvic lymphadenopathy. He has a history of ureteral reflux disease, recurrent nephrolithiasis, right nephrectomy, ileal loop diversion of the left ureter, and radical cystectomy for “bladder cancer,” which he underwent 3 years ago. The lymphadenopathy was discovered incidentally during recent imaging.
SECOND OPINION
Multidisciplinary Consultations on Challenging Cases
The University of Colorado Denver School of Medicine faculty holds weekly second opinion conferences focusing on cancer cases that represent most major cancer sites. Patients seen for second opinions are evaluated by an oncologic specialist. Their history, pathology, and radiographs are reviewed during the multidisciplinary conference, and then specific recommendations are made. These cases are usually challenging, and these conferences provide an outstanding educational opportunity for staff, fellows, and residents in training.
The second opinion conferences include actual cases from genitourinary, lung, melanoma, breast, neurosurgery, gastrointestinal, and medical oncology. On an occasional basis,
ONCOLOGY
will publish the more interesting case discussions and the resultant recommendations. We would appreciate your feedback; please contact us at
second.opinion@uchsc.edu
.
E. David Crawford, MD
Al Barqawi, MD
Guest Editors
University of Colorado Health Sciences Center
and Univeristy of Colorado Cancer Center
Denver, Colorado
The patient is a 39-year-old man who presents with pelvic lymphadenopathy. He has a history of ureteral reflux disease, recurrent nephrolithiasis, right nephrectomy, ileal loop diversion of the left ureter, and radical cystectomy for “bladder cancer,” which he underwent 3 years ago. The lymphadenopathy was discovered incidentally during recent imaging.
Dr. Thomas Flaig: This patient has a complex medical and surgical history that is remarkable for several urologic problems and procedures. As a young child, he had severe ureteral reflux disease, and 30 years ago, he underwent a right nephrectomy to remove a nonfunctioning kidney that was damaged by the reflux. At the same time, he had an ileal loop diversion on the left side, presumably to prevent similar damage to the left kidney. The patient also has a history of recurrent nephrolithiasis requiring extracorporeal shock-wave lithotripsy on multiple occasions.
Three years ago, as part of a workup for hematuria, cystoscopic evaluation revealed a bladder mass. The patient reports that he was diagnosed with “bladder cancer” and had a radical cystectomy. He is now seen in our center for evaluation of nephrolithiasis and was found to have lymphadenopathy in the pelvis.
His past medical history is notable for multiple sclerosis. A review of his family history is significant for multiple sclerosis in his mother, but no history of cancer in any first-degree relatives. His social history reveals ongoing tobacco use.
Dr. Flaig: On physical exam, the patient’s temperature is 96.6°F, pulse rate is 66/min, respiratory rate is 16/min, and his blood pressure is 132/72 mm Hg. He is in no acute distress. His lungs are clear to auscultation bilaterally. The cardiac exam reveals a regular rhythm without murmur. His abdomen is soft and nontender. Surgical scars are present and consistent with previous operative procedures. An ostomy site is present on the left side of the abdomen. His extremities are without any sign of infection or gross inflammation.
Dr. Flaig: Laboratory findings include the following: sodium, 140 mMol/L; creatinine, 1.0 mg/dL; ALT, 26 U/L; total bilirubin, 0.5 mg/dL; albumin, 4.2 g/dL; white blood cell count, 10.9 × 109/L; hemoglobin, 16.3 g/dL; and platelets, 266 × 109/L.
Dr. Flaig: Dr. La Rosa, would you please review the patient’s pathologic findings?
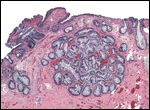
FIGURE 1

Specimen #1-
Histologic examination of a 3-year-old cystectomy specimen showed extensive proliferation of glands in the lamina propria (H&E, 4x objective).
FIGURE 2

Specimen #2-
Cystectomy specimen showing submucosal glands lined by columnar epithelium, including goblet cells and Paneth cells (intestinal metaplasia) (H&E, 20x objective).
Dr. Francisco La Rosa: We reviewed for second opinion diagnosis the outside surgical pathology case established for this patient, consisting of a urinary bladder biopsy and a cystectomy specimen from 3 years ago. Histologic examination of the cystectomy specimen showed extensive proliferation of glands in the lamina propria (Figure 1), which were lined by columnar epithelium, including goblet cells and Paneth cells (Figure 2). Some sections showed pools of mucinous material with extravasation into the stroma (Figure 3).
FIGURE 3

Specimen #3-
Cystectomy specimen showing pools of submucosal mucinous material with extravasation into the stroma (H&E 20x objective).
Even though the diagnosis in the outside pathology report for the biopsy specimen was of an “adenocarcinoma,” we found no evidence of significant nuclear atypia, mitotic activity, necrosis, or signet ring cells. In addition, no evidence of stromal reaction or significant chronic inflammation was present around the glands and the mucinous pools. The muscularis propria had no evidence of invasion. Also submitted for our review were three right iliac lymph nodes taken at the time of the cystectomy, which showed no evidence of malignancy.
Tumors of the urinary bladder are mostly (> 90%) derived from the urothelium (transitional cell mucosa) and are usually composed of papillary formations with different grades of malignant differentiation and potential for invasion.[1] Some of these tumors may present with areas of squamous and/or glandular differentiation. In contrast, cystitis cystica and cystitis glandularis are rare benign metaplastic changes of the urinary bladder characterized by an increased growth of the normal glandular elements within the bladder mucosa (Brunn glands). These are primarily reactive changes usually associated with chronic inflammatory processes, and should not be considered premalignant lesions. The histologic features are nests of von Brunn glands with cystic changes, which define cystitis cystica, and mucin-filled goblet cell metaplasia, which defines cystitis glandularis. In our discussion case, we observed these changes, both in the biopsy and in the cystectomy specimens.
Cystitis glandularis is found mostly in the trigone. The cystic dilatation of the glands is followed by progressive flattening of the glandular epithelium, giving origin to the morphologic changes known as cystitis cystica. Cystitis glandularis may be seen with microscopic changes in small aggregates of mucosal glands, but it may also occur as grossly identifiable polypoid masses suggesting a neoplastic process.
The histopathologic findings of cystitis glandularis and cystica should not present a diagnostic problem. The issue arises when we need to differentiate between these benign lesions and adenocarcinoma.[2,3] Cystitis glandularis and cystica are characterized by only minimal nuclear atypia without the observation of any stromal reaction, as is seen in invasive adenocarcinoma. The glands in cystitis glandularis and cystica show a well defined outline, whereas the glands in cases of adenocarcinoma are irregular and show an infiltrative behavior. Thus, invasiveness, irregular glandular contours, desmoplastic stromal reaction, and nuclear atypia are the main features that define an adenocarcinoma. Extravasation of mucinous material into the stroma may be seen in the intestinal type of cystitis glandularis-as an isolated finding, it may be difficult to differentiate from a malignant process.[4,5]
Dr. Flaig: Dr. McKinney, would you please review this patient’s radiographic findings?
Dr. Kristin McKinney: This patient’s past medical history and surgical interventions would make his imaging difficult to interpret. Differentiating cystitis glandularis from bladder carcinoma would not have been feasible with imaging alone. On traditional excretory urography or computed tomography (CT), both entities may present as irregular bladder thickening with or without nodular masses.[6,7] In addition, both entities have a predilection for the bladder neck and trigone regions and both may present with hydronephrosis.
A variety of infective, inflammatory, and fibrotic conditions can result in bladder wall thickening on imaging.[8] To differentiate between these possibilities, a biopsy is necessary for definitive diagnosis. Pelvic lipomatosis is associated with adenocarcinoma of the bladder and cystitis glandularis, speculating that the chronic inflammatory changes in the bladder may be the result of lymphatic obstruction created by the pelvic fat proliferation. However, its absence in this case is not helpful.[9]
FIGURE 4

CT Scan-
Contrast-enhanced computed tomography (CT) scan demonstrating prominent bilateral external iliac lymph nodes
An outside CT report from 1 year ago did not mention pelvic adenopathy, but mildly enlarged lymph nodes measuring from 1.5 to 2 cm were demonstrated in CT imaging in the last 3 months and confirmed with follow-up imaging (Figure 4). These nodes were in the para-aortic and retroperitoneal regions as well as in the bilateral external iliac and inguinal distributions. Typically, lymph nodes greater than 1 cm in short axis are considered suspicious on CT. However, benign entities such as hyperplasia, infection, or inflammation may also result in lymph node enlargement, confounding the diagnosis. If necessary, nodal involvement may be confirmed with needle biopsy.
Dr. Flaig: Considering this patient’s radiographic findings, can you discuss the clinical entity of cystitis glandularis and the implications of this finding in this case?
Dr. Shandra Wilson: Patients who undergo urinary diversion are not only at risk for pyocystitis and recurrent urinary tract infections, they are also at risk for glandular metaplasia as we see here, and even adenocarcinoma of the bladder. Thus, as urologists, we generally recommend removing the bladder when diverting the urine away from it. Many patients with multiple sclerosis were treated with ileal conduits in the past. However, with the advance of urodynamics to monitor bladder pressure, we now know that these patients with high bladder pressure can do very well with bladder augmentation or even Botox, avoiding the potential complications seen in this patient.
Dr. Flaig: What is known about cystitis glandularis and its potential to progress to an invasive cancer?
Dr. La Rosa: The extent of cystitis glandularis in this case appears to correlate with the duration of urinary stasis. Diverting the urine, but leaving the bladder in place likely produced recurrent infection of the urinary bladder due to inadequate drainage. Lin et al postulate that the intensity of the infection may be responsible for the development of adenocarcinoma in such circumstances.[2] Cystitis glandularis, especially the diffuse type, can undergo malignant degeneration under constant irritation, but this is a rare and long-term process.
Dr. Flaig: What would be the differential diagnostic and treatment considerations with respect to the pelvic lymphadenopathy at this time?
Dr. Paul Maroni: The differential diagnosis would include regional metastasis from a pelvic malignancy, adenitis from a local inflammatory event, and, less commonly, other diseases causing enlargement of lymph nodes, such as lymphoma. A percutaneous biopsy would be indicated to determine the nature of the nodal enlargement, especially if this is a new finding. If a percutaneous biopsy would not be feasible, either a laparoscopic or open biopsy may be entertained. Given this patient’s other abdominal operations, a laparoscopic procedure may not be the best choice. Certainly, if these lymph nodes harbor metastatic adenocarcinoma, the prognosis would be quite grim, and chemotherapy of some sort-preferably on an experimental protocol-would be the best choice.
Dr. Flaig: Returning to this case, we have a patient status post cystectomy for cystitis glandularis with intestinal metaplasia. He now has lymphadenopathy of the pelvis, which is a new finding in the past year. At this point, we are planning to discuss the merits of a lymph node biopsy with the patient.
Dr. Flaig: Cystitis glandularis with this degree of intestinal metaplasia is a rare finding in the bladder. At the outside institution, the original biopsy was diagnosed as an invasive adenocarcinoma, and the patient proceeded to cystectomy. Upon our review of the cystectomy sample, the case appears most consistent with florid cystitis glandularis with intestinal metaplasia. The pathologic discrimination between invasive adenocarcinoma and cystitis glandularis with intestinal or glandular metaplasia may be difficult.[3,10] There is a long-standing debate over whether cystitis glandularis is a precancerous lesion,[11] but individual case reports describe this transition, and the risk of malignant transformation may be associated with the degree of replacement of normal urothelium by intestinal features.[12]
While cystitis glandularis has been associated with chronic inflammation as seen with recurrent infections, outflow obstruction, indwelling catheterization, pelvic lipomatosis, and urolithiasis,[13,14] the potential predisposing condition in our current case may be attributed to an approximately 30-year history of a blind, nonirrigated bladder.
Considering this history, the putative link between cystitis glandularis with intestinal metaplasia and adenocarcinoma, and the new appearance of pelvic lymphadenopathy, we will now discuss the merits of lymph node biopsy with the patient. This case, and the multidisciplinary input exchanged, highlights the benefit of a multidisciplinary review, especially in cases with uncommon features and diagnostic dilemmas.
A percutaneous biopsy was pursued after discussion with the patient, revealing a heterogeneous population of lymphoid cells. Given this information, we will continue to follow the patient radiographically, with consideration of surgical lymph node sampling at the time of any significant growth or systemic symptoms of disease.
Financial Disclosure:The participants in this conference have no significant financial interest or other relationship with the manufacturers of any products or providers of any service mentioned in this article.
References:
1. Eble JN, Young RH: Carcinoma of the urinary bladder: A review of its diverse morphology. Semin Diagn Pathol 14:98-108, 1997.
2. Lin JI, Yong HS, Tseng CH, et al: Diffuse cystitis glandularis. Associated with adenocarcinomatous change. Urology 15:411-415, 1980.
3. Young RH, Bostwick DG: Florid cystitis glandularis of intestinal type with mucin extravasation: A mimic of adenocarcinoma. Am J Surg Pathol 20:1462-1468, 1996.
4. Wells M, Anderson K: Mucin histochemistry of cystitis glandularis and primary adenocarcinoma of the urinary bladder. Arch Pathol Lab Med 109:59-61, 1985.
5. Newbould M, McWilliam LJ: A study of vesical adenocarcinoma, intestinal metaplasia and related lesions using mucin histochemistry. Histopathology 17:225-230, 1990.
6. Kundra V, Silverman PM: Imaging in oncology from the University of Texas
M. D. Anderson Cancer Center. Imaging in the diagnosis, staging, and follow-up of cancer of the urinary bladder. AJR Am J Roentgenol 180:1045-1054, 2003.
7. Hughes MJ, Fisher C, Sohaib SA: Imaging features of primary nonurachal adenocarcinoma of the bladder. AJR Am J Roentgenol 183:1397-1401, 2004.
8. Wong-You-Cheong JJ, Woodward PJ, Manning MA, et al: From the archives of the AFIP: Inflammatory and nonneoplastic bladder masses: Radiologic-pathologic correlation. Radiographics 26:1847-1868, 2006.
9. Gordon NS, Sinclair RA, Snow RM: Pelvic lipomatosis with cystitis cystica, cystitis glandularis and adenocarcinoma of the bladder: First reported case. Aust N Z J Surg 60:229-232, 1990.
10. Jacobs LB, Brooks JD, Epstein JI: Differentiation of colonic metaplasia from adenocarcinoma of urinary bladder. Hum Pathol 28:1152-1157, 1997.
11. Nesbit RM: Is cystitis cystica an innocent or a malefic lesion? J Urol 75:443-447, 1956.
12. Bullock PS, Thoni DE, Murphy WM: The significance of colonic mucosa (intestinal metaplasia) involving the urinary tract. Cancer 59:2086-2090, 1987.
13. Davies G, Castro JE: Cystitis glandularis. Urology 10:128-129, 1977.
14. Hochberg DA, Motta J, Brodherson MS: Cystitis glandularis. Urology 51:112-113, 1998.
Late Hepatic Recurrence From Granulosa Cell Tumor: A Case Report
Granulosa cell tumors exhibit late recurrence and rare hepatic metastasis, emphasizing the need for lifelong surveillance in affected patients.