This is the case of a man, aged 56 years, who presented with urinary intermittency, frequency, urgency, and dysuria 5 months after undergoing focal laser ablation (FLA) of Gleason 3 + 4 = 7 prostate cancer (PC).
Makedon is an MD candidate at the University of Colorado School of Medicine in Aurora, CO.

Maroni is an associate professor of surgery-urology in the Department of Surgery and Urologic Oncology Program Lead at the the University of Colorado Anschutz Medical Campus in Aurora, CO.

This is the case of a man, aged 56 years, who presented with urinary intermittency, frequency, urgency, and dysuria 5 months after undergoing focal laser ablation (FLA) of Gleason 3+4=7 prostate cancer (PC). Cystoscopy revealed a foreign body obstruction of the bladder and the patient experienced immediate relief after its removal. Final pathology confirmed the diagnosis of the foreign body as a piece of necrotic prostatic tissue originating from the median lobe. To our knowledge, this is the first case of intermittent urethral obstruction by a sloughed median prostatic lobe following FLA. FLA is an emerging therapy for low- or intermediate-grade PCs, and this case highlights the need for continued evaluation of long-term outcomes of this procedure.
Oncology (Williston Park). 2021;35(7):422-424.
DOI: 10.46883/ONC.2021.3507.0422
Focal laser ablation (FLA) is a technology whose use is emerging in the management of small, low- or intermediate-risk prostate cancers (PCs). Although the gold-standard therapies for the management of PC are active surveillance, radical prostatectomy, and/or radiation therapy, several contemporary studies have shown the benefit of FLA in the reduction of urinary and erectile adverse effects (AEs) while adhering to oncologic principles.1 FLA uses MRI imaging guidance and temperature monitoring with a laser platform in order to achieve accurate and homogenous prostate tissue ablation.2 In this case report, we describe a patient who presented to our clinic with intermittent obstructive urinary symptoms 5 months after his FLA for Gleason 3 + 4 = 7 PC.
We present a male, aged 56 years, with an elevated prostate-specific antigen (PSA) of 6.2 who was found to have Gleason 6 PC on systematic biopsy. Approximately 6 months later, MRI identified a Prostate Image–Reporting and Data System (PI-RADS) 4 lesion in the right base to mid-gland transition zone, and targeted biopsy upstaged his cancer to Gleason 3 + 4 = 7 (Figure 1). After he consulted with numerous physicians, he underwent uncomplicated FLA of his prostate.
FIGURE 1. Sagittal T2 with PI-RADS-4 lesion in the right base to mid-gland transition zone (arrow).
PI-RADS, Prostate Image – Reporting and Data System.

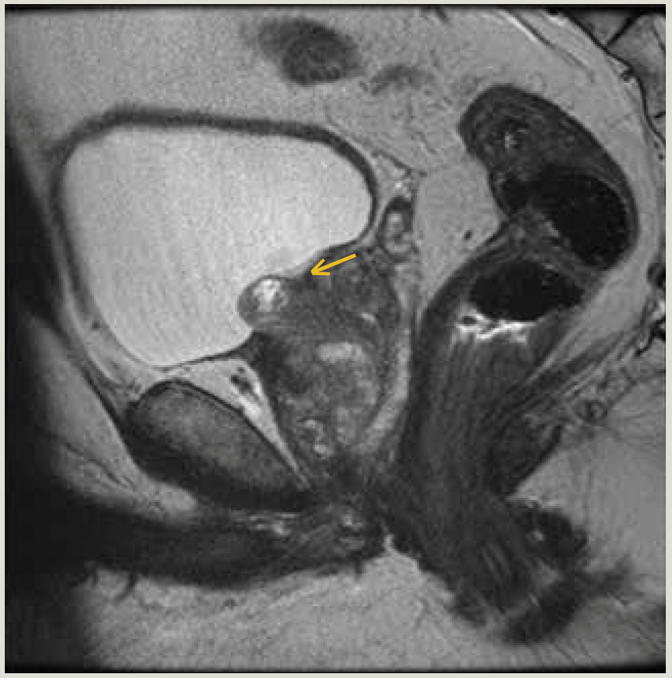
Five months after the procedure, he presented to the clinic with urinary urgency, frequency, dysuria, and a complaint of sudden stoppage of urinary flow midstream. His American Urological Association (AUA) symptom score was 22 on tamsulosin. Cystoscopy revealed a foreign body (FB) with the appearance of partially calcified tissue, measuring approximately 1 cm, in the bladder. Careful inspection of the patient’s pretreatment and posttreatment MRI demonstrated loss of a median prostate lobe after treatment, with a nodular FB in the bladder (Figure 2A and 2B). The FB was removed endoscopically under anesthesia in multiple pieces using cold-cup biopsy forceps. The patient experienced immediate improvement in his urinary complaints. Final pathology demonstrated a small, detached fragment of granulation tissue admixed with fragments of stone. He had immediate resolution of symptoms, and his postoperative AUA symptom score was 6. Seven months after the FLA procedure, he had a PSA of 1.6.
FIGURE 2A. Sagittal T2 after FLA showing ablated prostate (arrow).
FIGURE 2B. Sagittal T2 after FLA showing presence of FB, alternate view (arrow).
FB: foreign body; FLA: focal laser ablation; PI-RADS: Prostate Image – Reporting and Data System.

Over the last decade, there has been an increase in novel techniques for management of localized PC. FLA, cryoablation (CA), and focal therapy, using high-intensity focused ultrasound (HIFU),3 all offer minimally invasive and organ-sparing options for such low- or intermediate-grade, unifocal cancers. Specifically, FLA embodies many benefits of a minimally invasive procedure for the treatment of localized PC, as it has minimal impact on quality of life and reasonable oncologic control with few AEs.4 Given the novelty of the procedure, some rare complications related to FLA may emerge over time.
Long-term outcomes of focal therapies such as HIFU and cryotherapy have been reported. One such systematic review and meta-analysis of HIFU revealed that following whole-gland HIFU, the incidence rates of urinary obstruction, retention, and infection were 15%, 11%, and 7%, respectively. The incidence rates of urinary obstruction, retention, and infection following partial-gland HIFU were 2%, 9%, and 11%, respectively.5,6 The differences in complication rates between whole- and partial-gland prostate ablation reflect the need for ongoing analysis of therapy options for localized PC. A study of cryosurgical ablation (CSA) for patients with low-grade PC found that the most common AE 1 year post CSA was urinary tract obstruction, sometimes necessitating the removal of necrotic prostatic tissue and calcifications.7 Although FB obstruction of the bladder complications have been reported following HIFU and CSA, they have not been addressed or studied in FLA.
A median lobe bladder FB embolus is an extraordinarily unusual complication after an ablative treatment of the prostate. Presumably, the FLA caused necrosis of the base of the median lobe through destruction of the proximal blood supply, resulting in amputation of the median lobe. This FB intermittently embolized into the prostatic urethra/bladder neck causing sudden cessation of urine flow accompanied by irritative voiding symptoms. We can find no other instance of a similar complication related to ablative therapies of the prostate in the searchable literature.
Given the peculiar nature of this complication and the likely increased utilization of ablative procedures for prostate disease in future care, endoscopic evaluation with cystoscopy may be an earlier step in the management of urinary morbidity after these treatments. Urethral sloughing after HIFU and CA is a more common cause of urethral obstruction, and cystoscopy may be both diagnostic and therapeutic. Checking for urinary infection would be best clinical practice, but medical management would not have helped this patient. We do not think that those patients with protuberant median lobes should be denied ablative treatments for prostate disease, but perhaps a higher index of suspicion would be prudent if patients experience urinary issues post treatment.
This also begs the question of whether FLA would be a reasonable treatment for benign prostate enlargement. The defect present on his posttreatment MRI was similar to a defect related to transurethral resection of the prostate, and, compared with what he was experiencing prior to FLA, the patient had notable improvement in his benign prostatic hyperplasia symptomatology.
To our knowledge, this is the first case of prostatic tissue obstructing the bladder following FLA of the prostate. This case highlights the necessity for long-term assessment of outcomes and complications following emerging focal therapies, specifically laser ablation.
Financial Disclosure: PM: Astellas (investigator), Dendreon (investigator)
References
Connor MJ, Gorin MA, Ahmed HU, Nigam R. Focal therapy for localized prostate cancer in the era of routine multi-parametric MRI. Prostate Cancer Prostatic Dis. 2020;23(2):232-243. doi:10.1038/s41391-020-0206-6
Oto A, Sethi I, Karczmar G, et al. MR imaging-guided focal laser ablation for prostate cancer: phase I trial. Radiology. 2013;267(3):932-940. doi:10.1148/radiol.13121652
Eggener S, Salomon G, Scardino PT, De la Rosette J, Polascik TJ, Brewster S. Focal therapy for prostate cancer: possibilities and limitations. Eur Urol. 2010;58(1):57-64. doi:10.1016/j.eururo.2010.03.034
Lepor H, Llukani E, Sperling D, Fütterer JJ. Complications, recovery, and early functional outcomes and oncologic control following in-bore focal laser ablation of prostate cancer. Eur Urol. 2015;68(6):924-926. doi: 10.1016/j.eururo.2015.04.029
Hostiou T, Gelet A, Chapelon J-Y, et al. Salvage high-intensity focused ultrasound for locally recurrent prostate cancer after low-dose-rate brachytherapy: oncological and functional outcomes. BJU Int. 2019;124(5):746-757. doi:10.1111/bju.14838
He Y, Tan P, He M, et al. The primary treatment of prostate cancer with high-intensity focused ultrasound: a systematic review and meta-analysis. Medicine (Baltimore). 2020;99(41):e22610. doi:10.1097/MD.0000000000022610
Bjerklund Johansen TE. Crioterapia prostática como tratamiento primario en pacientes con cáncer de próstata [Cryosurgical ablation as primary treatment in prostate cancer patients]. Actas Urol Esp. 2007;31(6):651-659. Spanish. doi:10.1016/s0210-4806(07)73702-6

Prolaris in Practice: Guiding ADT Benefits, Clinical Application, and Expert Insights From ACRO 2025
April 15th 2025Steven E. Finkelstein, MD, DABR, FACRO discuses how Prolaris distinguishes itself from other genomic biomarker platforms by providing uniquely actionable clinical information that quantifies the absolute benefit of androgen deprivation therapy when added to radiation therapy, offering clinicians a more precise tool for personalizing prostate cancer treatment strategies.