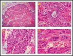
The review of the histology slides revealed predominantly decidual tissue with exaggerated placental site and a small focus of trophoblastic tissue composed of cytotrophoblast and syncytiotrophoblast with mild atypia (Figure 1). However, no necrosis or tissue invasion was identified. No villi were seen.
SECOND OPINION
Multidisciplinary Consultations on Challenging Cases
The University of Colorado Health Sciences Center holds weekly second opinion conferences focusing on cancer cases that represent most major cancer sites. Patients seen for second opinions are evaluated by an oncologist. Their history, pathology, and radiographs are reviewed during the multidisciplinary conference, and then specific recommendations are made. These cases are usually challenging, and these conferences provide an outstanding educational opportunity for staff, fellows, and residents in training.
The second opinion conferences include actual cases from genitourinary, lung, melanoma, breast, neurosurgery, and medical oncology. On an occasional basis, ONCOLOGY will publish the more interesting case discussions and the resultant recommendations. We would appreciate your feedback; please contact us at second.opinion@uchsc.edu.
E. David Crawford, MD
Al Barqawi, MD
Guest Editors
Professor of Surgery and Radiation Oncology
University of Colorado Health Sciences Center
Univeristy of Colorado Cancer Center, Denver, Colorado
A 36-year-old woman (gravida 2, para 1-1-0-2) had a positive pregnancy test 1 week before she began to have heavy vaginal bleeding with passage of tissue. She brought in a sample of the passed tissue to her primary care physician, which was read at an outside institution as "gestational trophoblastic disease, highly suspicious for choriocarcinoma."
The patient was referred to the University of Colorado Hospital for further evaluation and treatment. Review of her histology slides was not convincing for choriocarcinoma, and the university team favored a diagnosis of early abortus. Since this would make a huge clinical difference in the management of this patient, these physicians decided to send the slides for an extramural consultation to the Johns Hopkins Hospital, where Drs. Russell Vang, Brigitte Ronnett, and Robert Kurman reviewed the slides.
Further work-up was performed at the University of Colorado Hospital. A pelvic ultrasound showed no uterine or endometrial abnormality. A computed tomography (CT) scan of the pelvis, abdomen, and chest revealed no evidence of metastatic disease. When the patient presented to the University of Colorado Hospital, the quantitative beta-human chorionic gonadotropin (HCG) was 3 mIU/mL (normal < 5 mIU/mL) and creatinine was 0.7 mg/mL. Two weeks later, a repeat beta-HCG was < 1 mIU/mL.
Dr. Ali Akalin: What did the microscopic examination of the slides reveal?
FIGURE 1

Histologic Findings
Drs. Meenakshi Singh and Russell Vang: The review of the histology slides revealed predominantly decidual tissue with exaggerated placental site and a small focus of trophoblastic tissue composed of cytotrophoblast and syncytiotrophoblast with mild atypia (Figure 1). However, no necrosis or tissue invasion was identified. No villi were seen.
Dr. Akalin: What is your differential diagnosis in this case?
Dr. Singh: The differential diagnosis includes early placenta, choriocarcinoma, hydatiform mole, placental site trophoblastic tumor, and exaggerated placental site.
The characteristic histologic finding in hydatiform mole is enlarged, hydropic villi and trophoblastic proliferation. The fact that no villi are seen in this case argues against a molar disease although the absence of villi on the tissues examined does not completely rule out a molar disease since the villi may have all been passed with the abortus, leaving only implantation site trophoblast, cytotrophoblast, and syncytiotrophoblast. Therefore, appropriate clinical, radiologic, and laboratory follow-up is required to completely rule out this possibility.
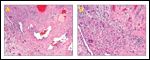
FIGURE 2

Exaggerated Placental Site From an Endometrial Curettage (Different Case)
The histologic findings in exaggerated placental site and its neo-plastic counterpart, placental site trophoblastic tumor, are similar and would show infiltrative proliferation of monomorphic intermediate-type trophoblastic cells between myometrial smooth muscle bundles without destruction, invasion into blood vessel walls with endothelial permeation, and abundant extracellular, eosinophilic, fibrinoid deposition (Figure 2A and 2B). Therefore, exaggerated placental site and placental site trophoblastic tumor may be confused with one another in a biopsy or curettage specimen.
The features that would favor exaggerated placental site include an absence of mass-forming lesion in the uterus on macroscopic examination and imaging studies, low or absent mitotic activity, intermediate trophoblastic cells admixed evenly with multinucleate trophoblastic cells and the presence of normal chorionic villi. However, the mere absence of chorionic villi in small tissue samples should not exclude the diagnosis of exaggerated placental site when all the other features support this diagnosis, as sampling error may account for this finding.
The absence of villi and the presence of an intimate admixture of cytotrophoblast and syncytiotrophoblast with a dimorphic arrangement and mild cytologic atypia in trophoblastic cells suggest the possibility of choriocarcinoma in this case. However, similar microscopic findings can also be seen in abortus material from very early gestation, as the earliest chorionic villi do not form until day 13 of pregnancy.[1] In addition, although one would expect the presence of villi after day 13, the villi might have been lost with the abortus, leaving only residual implantation site trophoblastic cells, cytotrophoblast, and syncytiotrophoblast in small tissue samples brought in to the clinician.
The histologic requirement for a diagnosis of choriocarcinoma is the presence of tissue invasion. Therefore, appropriate clinical, radiologic, and laboratory follow-up may be required to confidently distinguish between choriocarcinoma and early abortus in small tissue samples. Choriocarcinoma usually manifests as single or multiple well-circumscribed hemorrhagic nodular lesions that may extend deeply into the myometrium in the uterus.
Unlike choriocarcinoma, no mass within the myometrium is seen in early placenta on macroscopic examination and imaging studies. The serial determination of serum beta-HCG is also very important in differentiating choriocarcinoma from early placenta. In choriocarcinoma, one would see very high levels of beta-HCG for the estimated gestational age and a gradual rise during follow-up, whereas, in early placenta, the serum beta-HCG levels would be at the expected reference range for the estimated gestational age and would show a gradual decline to undetectable levels on follow-up, as observed in our case.
Dr. Akalin: What is the role of immunostains in the diagnosis of gestational trophoblastic diseases?
Dr. Vang: In the majority of cases, the diagnosis of different types of gestational trophoblastic disease can be easily made based on microscopic examination of hematoxylin and eosin (H&E)-stained sections. In rare cases where a diagnostic challenge arises, immunohistochemistry can be very helpful. Recently, a number of immunostains have been put into use for the work-up of gestational trophoblastic diseases.
TABLE 1

Immunostains Used for the Differential Diagnosis of Hydropic Villi
A cell-cycle inhibitor and tumor suppressor, p57 (kip2) has been shown to be very useful in the distinction between complete and partial hydatiform mole because this is a paternally imprinted yet maternally expressed gene.[2] Unlike the trophoblastic cells in partial hydatiform mole, those in complete hydatioform mole have only paternally derived chromosomes. Therefore, the trophoblastic cells in complete hydatiform mole cannot express p57, which can be demonstrated by the absence of nuclear p57 immunostaining in trophoblastic cells in complete hydatiform mole (Table 1).[2,3]
The p57 protein also has utility in the distinction between complete hydatiform mole and miscarriage in cases where severely hydropic villi from abortuses of various types can resemble the villi in hydatiform mole on microscopic examination (Table 1).[3,4] However, p57 is not useful in the distinction of edematous villi seen in partial hydatiform mole and abortus since the trophoblastic cells in the villi of both conditions would have maternal and paternal chromosomes and thus express p57 (Table 1).[3,4]
The expression pattern of p63 protein, a transcription factor belonging to the p53 family, can also be useful in the distinction between various gestational trophoblastic diseases.[5] This protein has various isoforms that are classified into two groups based on the specific promoter usage.[5] It has been shown that chorionic-type intermediate trophoblast in the fetal membranes, placental site nodules and epithelioid trophoblastic tumors express TA isoform of p63 (protein with transcription activation domain), whereas cytotrophoblast expresses ?N isoforms of p63 (protein without transcription activation domain).[5] Intermediate trophoblastic cells in the implantation site and placental site trophoblastic tumors do not express p63 protein.[5] Therefore, the nuclear p63 stain has potential utility in the distinction between epithelioid trophoblastic tumor and placental site trophoblastic tumor and between placental site nodule and exaggerated placental site (Figure 3).[5]
FIGURE 3

Immunostaining Algorithm for Gestational Trophoblastic Diseases
Human placental lactogen (HPL) is a glycoprotein produced mainly by villous syncytiotrophoblast although its expression is also demonstrated in the cytotrophoblast and undifferentiated stem cell of villous trophoblast in very early placenta.[6,7] It shows cytoplasmic staining of implantation-type intermediate trophoblastic cells and has been shown to be useful in confirming the proliferative disorders of these trophoblastic cells, namely, exaggerated placental site and placental site trophoblastic tumor (Figure 3).[8]
Another antibody of use in the diagnosis of trophoblastic lesions is Mel-CAM (melanoma cell adhesion molecule, CD146, MUC18), a cell adhesion molecule belonging to the immunoglobulin supergene family.[9] It reacts strongly against implantation site intermediate trophoblastic cells.[9] Therefore, similar to HPL, Mel-CAM has utility in confirming the diagnosis of exaggerated placental site and placental site trophoblastic tumor (Figure 3).[9,10]
Proliferation marker Ki-67 also can be useful in the diagnosis of trophoblastic lesions. The benign proliferative lesions such as exaggereated placental site (< 1%) and placental site nodule (< 10%) show a low Ki-67 proliferative index compared to their neoplastic counterparts, namely, placental site trophoblastic tumor (> 1%) and epithelioid trophoblastic tumor (> 10%) (Figure 3).[10] Ki-67 immunostain can also assist in the distinction between molar pregnancy and hydropic degeneration in normal placenta because Ki-67 index is significantly higher in the villi present in complete (> 70%) and partial mole (> 70%) compared to the villi in normal abortuses (22%, see Table 1).[11]
Dr. Akalin: What is the final diagnosis on this case?
Dr. Singh: The histologic findings in this case are consistent with early placenta.
Dr. Akalin: How would you manage this patient?
Dr. Susan Davidson: This patient does not require any treatment at this time because her imaging studies, beta-HCG levels and histologic findings are all most consistent with the fact that she had a miscarriage. However, she needs to be closely followed up, and her serum beta-HCG level needs to be frequently checked during the next 3- to 6-month period in order to not miss any type of gestational trophoblastic disease. The fact that her beta-HCG level is < 1 mIU/mL and that no mass lesion is found on her pelvic ultrasound does not completely rule out the possibility of placental site trophoblastic tumor, because beta-HCG levels are not elevated in 20% of patients with palacental site trophoblastic tumor.[12] Therefore, regular imaging studies are essential in this case.
Dr. Akalin: What is the prognosis for this patient?
Dr. Davidson: The prognosis for this patient is excellent. However, it should be kept in mind that any type of gestational trophoblastic disease may arise within 1 or 2 years following a miscarriage, although the risk for any given case is almost impossible to estimate. The history of prior spontaneous abortion varies depending on the type of gestational trophoblastic disease; 25% of choriocarcinoma,[13] 14.2% of epithelioid trophoblastic tumor,[14] and 7.2% to 27%[15,16] of placental site trophoblastic tumors have been reported to develop in patients with a prior history of miscarriage. To our knowledge, however, no data are available on the incidence of these gestational trophoblastic diseases after spontaneous abortion. Therefore, this patient should be closely observed for gestational trophoblastic disease.
Dr. Akalin: How would you treat this patient if the diagnosis were choriocarcinoma or any other malignant gestational trophoblastic disease?
Dr. Davidson: This case illustrates the importance of correct diagnosis, as the management of early abortus is completely different from that of choriocarcinoma and other malignant gestational trophoblastic diseases. The management of malignant gestational trophoblastic diseases includes dilatation and curettage, chemotherapy, and occasionally surgical resection, and should be individualized for patients based on their age, health status, and the type and extent of malignant gestational trophoblastic disease.
Financial Disclosure: The authors and participants in this conference have no significant financial interest or other relationship with the manufacturers of any products or providers of any service mentioned in this article.
1. Benirschke K, Kaufmann P: Pathology of the Human Placenta, pp 42-49. New York, Springer-Verlag, 2000.
2. Castrillon DH, Sun D, Weremowicz S, et al: Discrimination of complete hydatidiform mole from its mimics by immunohistochemistry of the paternally imprinted gene product p57KIP2. Am J Surg Pathol 25:1225-1230, 2001.
3. Merchant SH, Amin MB, Viswanatha DS, et al: p57KIP2 immunohistochemistry in early molar pregnancies: Emphasis on its complementary role in the differential diagnosis of hydropic abortuses. Hum Pathol 36:180-186, 2005.
4. Chilosi M, Piazzola E, Lestani M, et al: Differential expression of p57kip2, a maternally imprinted cdk inhibitor, in normal human placenta and gestational trophoblastic disease. Lab Invest 78:269-276, 1998.
5. Shih IM, Kurman RJ: p63 expression is useful in the distinction of epithelioid trophoblastic and placental site trophoblastic tumors by profiling trophoblastic subpopulations. Am J Surg Pathol 28:1177-1183, 2004.
6. Morrish DW, Marusyk H, Bhardwaj D: Ultrastructural localization of human placental lactogen in distinctive granules in human term placenta: Comparison with granules containing human chorionic gonadotropin. J Histochem Cytochem 36:193-197, 1988.
7. Maruo T, Ladines-Llave CA, et al: A novel change in cytologic localization of human chorionic gonadotropin and human placental lactogen in first-trimester placenta in the course of gestation. Am J Obstet Gynecol 167:217-222, 1992.
8. Rhoton-Vlasak A, Wagner JM, Rutgers JL, et al: Placental site trophoblastic tumor: human placental lactogen and pregnancy-associated major basic protein as immunohistologic markers. Hum Pathol 29:280-288, 1998.
9. Shih IM: The role of CD146 (Mel-CAM) in biology and pathology. J Pathol 189:4-11, 1999.
10. Shih IM, Kurman RJ: Ki-67 labeling index in the differential diagnosis of exaggerated placental site, placental site trophoblastic tumor, and choriocarcinoma: A double immunohistochemical staining technique using Ki-67 and Mel-CAM antibodies. Hum Pathol 29:27-33, 1998.
11. Schammel DP, Bocklage T: p53, PCNA, and Ki-67 in hydropic molar and nonmolar placentas: An immunohistochemical study. Int J Gynecol Pathol 15:158-166, 1996.
12. Baergen RN: Manual of Benirschke and Kaufmann's Pathology of the Human Placenta, p 451. New York, Springer, 2005.
13. Genest DR, Berkowitz RS, Fisher RA, et al: Gestational trophoblastic disease, in Tavassoli FA, Devilee P (eds): World Health Organization Classification of Tumours. Pathology and Genetics. Tumors of the Breast and Female Genital Organs, pp 250-256. Lyon, IARC Press, 2003.
14. Shih IM, Kurman RJ: Epithelioid trophoblastic tumor: A neoplasm distinct from choriocarcinoma and placental site trophoblastic tumor simulating carcinoma. Am J Surg Pathol 22:1393-1403, 1998.
15. Baergen RN, Rutgers JL, Young RH, et al: Placental site trophoblastic tumor: A study of 55 cases and review of the literature emphasizing factors of prognostic significance. Gynecol Oncol 100:511-520, 2006.
16. Bonazzi C, Urso M, Dell'Anna T, et al: Placental site trophoblastic tumor: An overview. J Reprod Med 49:585-588, 2004.