Malignant pleural mesothelioma (MPM) is a disease with a poorprognosis, related in part to the aggressiveness of this disease, and inpart due to the lack of drugs that have demonstrated tumor activity.Historically, antifolates such as methotrexate have been the most activedrugs in the treatment of mesothelioma. Newer antifolates haverecently demonstrated higher efficacy than older regimens in the treatmentof this rare disease. One of these agents, pemetrexed (Alimta),has been evaluated both as a single agent and as part of a combinationregimen. Pemetrexed has been studied in three trials in patients withMPM, and two phase I trials included patients with MPM. In a phaseII trial, pemetrexed was studied as a single agent in patients with MPM.Seven of 64 patients achieved partial responses, with a median overallsurvival of 10.7 months. A large, randomized, phase III trial was conductedto compare pemetrexed/cisplatin with cisplatin. The responserate was 41.3% compared with 16.7%, median survival was 12.1 monthscompared with 9.3 months, and 1-year survival was 50.3% vs 38% inthe pemetrexed/cisplatin and cisplatin arms, respectively. The combinationof pemetrexed/cisplatin also demonstrated superiority in qualityof life and pulmonary functioning analysis when compared withcisplatin.
ABSTRACT: Malignant pleural mesothelioma (MPM) is a disease with a poorprognosis, related in part to the aggressiveness of this disease, and inpart due to the lack of drugs that have demonstrated tumor activity.Historically, antifolates such as methotrexate have been the most activedrugs in the treatment of mesothelioma. Newer antifolates haverecently demonstrated higher efficacy than older regimens in the treatmentof this rare disease. One of these agents, pemetrexed (Alimta),has been evaluated both as a single agent and as part of a combinationregimen. Pemetrexed has been studied in three trials in patients withMPM, and two phase I trials included patients with MPM. In a phaseII trial, pemetrexed was studied as a single agent in patients with MPM.Seven of 64 patients achieved partial responses, with a median overallsurvival of 10.7 months. A large, randomized, phase III trial was conductedto compare pemetrexed/cisplatin with cisplatin. The responserate was 41.3% compared with 16.7%, median survival was 12.1 monthscompared with 9.3 months, and 1-year survival was 50.3% vs 38% inthe pemetrexed/cisplatin and cisplatin arms, respectively. The combinationof pemetrexed/cisplatin also demonstrated superiority in qualityof life and pulmonary functioning analysis when compared withcisplatin.
Malignant pleural mesothelioma(MPM) is a rare, aggressivemalignancy that has beenlinked with exposure to one or moretypes of asbestos fibers. Asbestos exposureis associated with 70% to 80%of all cases of mesothelioma; 60% ofthese cases are directly related to occupationand 20% are paraoccupational.[1] Because of the relationship tooccupational exposure, mesotheliomais seen predominately in males (5:1),as they are more likely to be employedin occupations that have an increasedexposure to asbestos.Asbestos fibers all have uniquephysical, chemical, and biologicalproperties and are divided into twomajor groups. The serpentine groupof asbestos fibers includes the crysotilefibers, and the amphibole groupof fibers includes crocidolite, amosite,anthophyllite, and tremolite fibers.[2]The carcinogenic effects of asbestosappear to be related to its physicalproperties,[3] and crocidolite is themost oncogenic type of asbestos fiber.[2] The long needlelike amphibolefibers appear to lodge in the distalrespiratory system more readily thanshort fibers[4]; after inhalation, fibersthat remain tend to accumulate in thelower third of the lungs adjacent tothe visceral pleura.[1]The latency period from time ofasbestos exposure to onset of malignantmesothelioma is long, and maybe 30 to 40 years.[5] In the UnitedStates, the first ban on the use of asbestoswas in 1971. Because of thelong latency period, incidence wasexpected to peak at 2,300 cases peryear around 2000.[6] In Europe, wherethe elimination of the use of asbestosdid not occur as quickly as in theUnited States, there will be an estimated250,000 deaths from mesotheliomain the next 30 to 35 years,[7]and the peak incidence is expected tooccur in 2020. There is some evidencethat suggests that genetics, radiation,and viruses may interact withenvironmental carcinogens, such asasbestos, causing malignancy.[5]Malignant mesothelioma arisesfrom the surface serosal cells of thepleural, peritoneal, and pericardialcavities.[8] Of the three morphologic types of pleural mesothelioma, epithelialis the most common morphologictype and is seen in 60% of cases,mixed or biphasic types occurs in 30%of cases and the sarcomatoid type occursin 10% of cases. Sarcomatoidtumors have a poorer differentiationphenotype and are associated with apoorer prognosis than epithelial ormixed tumors.[5]The most common symptoms atpresentation are dyspnea and/or chestpain. Patients commonly have largeunilateral pleural effusions on chestx-ray, and over 50% of patients havepleural calcifications on computerizedtomography (CT) scan and often coalescingnodules and plaques on visceraland parietal pleura are seen.Mesothelioma can involve the chestwall, pericardium, interlobar fissuresand diaphragm, as well as the pleura.The prognosis for patients withmesothelioma is dismal due to limitedtherapeutic options; few drugs havedemonstrated activity in this tumor.Numerous agents, as monotherapy andcombination therapy, have been studiedin patients with malignant pleuralmesothelioma, with no drug or regimenemerging as the clear standard ofcare. In these studies, anthracyclines,platinum compounds, alkylatingagents, topoisomerase agents, antimicrotubuleagents, platinum agents, andantimetabolites have demonstratedactivity in this tumor. Response ratesin these studies were generally below15%, with a few exceptions.The antimetabolites, as singleagents, consistently produced responserates of 15% to 20%. Of allthe antimetabolites, the antifolateshave produced the highest responserates as single agents in the treatmentof malignant mesothelioma. Numerouscombination regimens have alsobeen investigated. Combinations witha platinum agent and an antimetabolitehave produced response rates of16% to 45%.[9-15] The antifolatesappear to be the most active class ofagents investigated in the treatmentof MPM to date. Trials investigatingthe efficacy of trimetrexate, edatrexate,raltitrexed (Tomudex) and methotrexatehave demonstrated activity,with response rates up to 40%. Table1 shows studies of antifolates in mesothelioma.[16-19]Several ongoing clinical trials areevaluating the activity of newer agentsincluding gemcitabine (Gemzar),pemetrexed (Alimta), ranpirnase, raltitrexed/oxaliplatin (Eloxatin) combination,and anti-EGFR agents such asgefitinib (Iressa) and erlotinib (OSI-774, Tarceva). Of these, pemetrexedseems to be the most promising drug.In addition, data suggest that gemcitabineis active in patients with MPM.Pemetrexed has been studied in threetrials in patients with MPM, and twophase I trials included patients withMPM. In a phase II trial, pemetrexedwas studied as a single agent in patientswith MPM. This study includedmore than 60 MPM patients; nearly60% of patients in this trial receivedfull vitamin supplementation and 30%of patients received partial or no vitaminsupplementation.[20]Phase II Single-AgentPemetrexed Trial in MPMDistribution of patient characteristicswas well balanced between thetwo groups (supplemented and nonsupplementedpatients); most patientshad advanced disease, good performancestatus (Karnofsky performancestatus of 80 to 100), and an epithelialhistologic subtype of MPM.[21] Theresponse and survival data are shownin Table 2. Because it can be difficultto obtain objective tumor measurementsin MPM, two determinationsof best response were performed oneach patient: one by the investigatorand one by an external expert panel.The investigator-assessed responserate was as 14.1% in all patients. Supplementedpatients had higher responserates than nonsupplementedpatients-16.3% compared with9.5%, respectively. Survival was longerin supplemented patients than nonsupplementedpatients. Mediansurvival was 13 and 8 months, median time to disease progression was4.8 and 3 months, and 1-year survivalwas 54.2% and 34.2% in supplementedand nonsupplemented patients, respectively.For the entire patientpopulation, the 1-year survival of47.8% and median survival of 10.7months seems promising, despite thefact that this was a phase II study.



Randomized Phase III Study ofPemetrexed/Cisplatin vsCisplatinA randomized phase III study ofpemetrexed/cisplatin vs cisplatin wasconducted in patients with MPM. Patientswere randomly assigned to receivepemetrexed at 500 mg/m2 followedby cisplatin at 75 mg/m2 on day1, every 21 days, or cisplatin at 75 mg/m2 on day 1, every 21 days. Patientswere stratified according to pain level,analgesic consumption, and dyspnea atstudy entry, treatment center and country,degree of disease measurability,performance status, gender, histologicsubtype, baseline white blood cell count,and baseline homocysteine levels. Duringthe course of the study, three treatment-related deaths were noted in thefirst 43 patients.Other studies of pemetrexed demonstratedthat severe toxicities maybe linked to high levels of homocysteineand methymalonic acid. A largemultivariate analysis suggested thatsuch toxicity and possibly some deathsmay be related to reduced folic acidand vitamin B12 pools. The protocolwas amended in December 1999, requiringfolic acid and vitamin B12 supplementationfor all patients receivingpemetrexed.As a result of this change, this studyhad three patient populations: patientswho were enrolled in the study priorto the protocol amendment and neverreceived vitamin supplementation;partially supplemented patients whowere enrolled at the time this changewas made and received vitamin supplementationafter the protocol wasamended; and fully supplemented patientswho received vitamin supplementationfrom the time of studyenrollment. The sample size of thestudy was increased to ensure adequatestatistical power of the fullysupplemented group of patients. Ofthe patients enrolled, 70 patients neverreceived vitamin supplementation,47 patients were partially supplemented,and 331 patients were fully supplemented.The primary objective ofthis trial was survival; secondary objectives included time to progressivedisease, time to treatment failure, tumorresponse rate, duration of response,pulmonary function testing,lung density analysis, and quality-oflifeoutcomes.

Patient Characteristics
Patient characteristics were wellbalanced between the two arms: pemetrexed/cisplatin (n = 226) vs singleagentcisplatin (n = 222). Nearly 70%of patients had an epithelial tumortype, approximately 10% had the sarcomatoidtype, and 16% of patientshad a mixed type in both groups. Ineach arm the majority of patients, almost80%, had stage III or IV disease.Over 80% of patients enrolled had aKarnofsky performance status of atleast 80. The median number of cyclesof therapy received depended onwhether or not patients received vitaminsupplementation. In patients whowere never supplemented, a medianof only two cycles of therapy couldbe administered. In fully supplementedpatients, the median number ofcycles of therapy increased to six inthe combination arm and four in thecisplatin arm. Supplemented patientwere well balanced between the arms:pemetrexed/cisplatin (n = 168) vs single-agent cisplatin (n = 163).

Toxicity
Differences in hematologic toxicitywere significant between the twoarms of the study. Patients who receivedpemetrexed/cisplatin experiencedmore anemia, leukopenia,neutropenia, and thrombocytopeniathan did patients who received single-agent cisplatin. The incidence offebrile neutropenia was l.8% in thepemetrexed/cisplatin arm, and no febrileneutropenia was reported in thesingle-agent cisplatin arm. Amongnonhematologic toxicities, nausea,vomiting, fatigue, diarrhea, dehydration,and stomatitis were significantlyhigher in the pemetrexed/cisplatin armthan in the single-agent cisplatin arm.Comparing the toxicities seen inpatients who received pemetrexed/cisplatinwith and without vitamin supplementationrevealed that patientswho received vitamin supplementation from the start of the study experiencedless toxicity than those who receivedpartial or no vitaminsupplementation. The incidence ofgrades 3/4 neutropenia decreased from38% to 23%, anemia 9% to 4%, andthrombocytopenia 9% to 5%, respectively,in nonsupplemented and fullysupplemented patients.

Efficacy
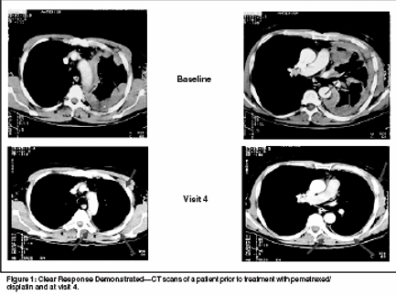
Figure 1 illustrates a CT scan of astudy patient prior to treatment withpemetrexed/cisplatin and at visit 4.These graphically illustrate a clear responseassociated with pemetrexed/cisplatin. Overall, the tumor responserate was significantly higher on thepemetrexed/cisplatin arm (41.3%)than in the patients who received cisplatin(16.7%). Differences in responserates were also significantbetween fully supplemented patientswho received pemetrexed/cisplatincompared with those who receivedcisplatin (45.5% vs 19.6%, respectively).Table 3 contains efficacy data forall patients and for fully supplementedpatients. Survival between the pemetrexed/cisplatin and cisplatin armswas also statistically significant, 12.1vs 9.3 months, respectively. Time todisease progression was 5.7 monthsin patients who received pemetrexed/cisplatin vs 3.9 months in patients whoreceived cisplatin monotherapy. Thisdifference was also statistically significant.[22]An analysis of this phase III studywas conducted by Symanowsi etal,[23] on prognostic variables affectingsurvival. Vitamin supplementation,good Karnofsky performanceptatus, early-stage disease, and epithelialsubtype were associated withimproved survival. This analysis demonstratedthat Karnofsky status, diseasestage, and histology werepowerful predictors of survival in patientswith MPM.[23]Another analysis of this trial includedevaluation of lung function andits correlation to tumor response.[24]Patients who experienced a tumor responsehad consistently better pulmonaryfunction tests than did patientswith stable disease; patients with stabledisease had better pulmonary functiontests than those with progressivedisease. Figure 2 shows changes inforced vital capacity of patients onthe pemetrexed/cisplatin and cisplatinsingle-agent arms of the study oversix cycles of therapy.Quality-of-life data in this studydemonstrated an advantage for thecombination of pemetrexed/cisplatinover single-agent cisplatin.[25] Usingthe LCSS-Meso instrument, globalquality of life, pain, dyspnea,fatigue, anorexia, and cough werecompared between the two arms. Themajority of these parameters reachedstatistical significance between thetwo arms by week 15, in favor of thepemetrexed/cisplatin arm (Figure 3).Manegold and colleagues identifiedthe incidence of post study chemotherapyamong patients in this trialand determined that 38% of patientswho received pemetrexed/cisplatinreceived post study chemotherapycompared with 48% of patients whoreceived cisplatin monotherapy. Themost commonly identified second-linetherapy was gemcitabine followed byvinorelbine and doxorubicin.[26] Aphase III trial of pemetrexed plus bestsupportive care (BSC) vs BSC as second-line therapy in patients with MPMis ongoing.DiscussionMany agents have been investigatedin the treatment of MPM with noclear standard of care emerging. Theantifolate class of agents shows themost promise of the agents investigatedin the treatment of this aggressivedisease. Recent data havedemonstrated that pemetrexed, as asingle agent and in combination withcisplatin, is an active agent with manageabletoxicity when folic acid andvitamin B12 supplementation is administeredconcurrently.Pemetrexed has demonstrated efficacywith toxicity that is manageablewith the addition of vitaminsupplementation. The combination ofpemetrexed/cisplatin significantlyimproved the survival in comparisonto cisplatin alone. Other analyses demonstratedsignificantly improved lungfunction and quality of life in patientswho received pemetrexed/cisplatincompared with patients who receivedcisplatin monotherapy. Supplementationwith vitamins demonstrated animprovement in toxicity and efficacy.
Dr. Gatzemeier hasacted as a consultant and received research supportfrom AstraZeneca, Lilly, Roche, andNovartis. He has received research support fromLigand.
1.
Antman KH, Pass HI, Schiff PB: Managementof mesothelioma, in DeVita VT,Hellman S, Rosenberg SA (eds): Cancer: Principlesand Practice of Oncology, 6th ed, pp1943-1961. Philadelphia, Lippincott Williams& Wilkins, 2001.
2.
Carbone M, Kratzke RA, Testa JR: Thepathogenesis of mesothelioma. Semin Oncol29(1):2-17, 2002.
3.
Miller BG, Searl A, Davis JM, et al: Influenceof fibre length, dissolution andbiopersistence on the production of mesotheliomain the rate peritoneal cavity. Ann OccupHyg 43:155-166, 1999.
4.
Stanton MF, Layard M, Tegeris A, et al:Carcinogenicity of fibrous glass: Pleural responsein relation for fiber dimension. J NatlCancer Inst 58:589, 1977.
5.
Vogelzang NJ: Emerging insights into thebiology and therapy of malignant mesothelioma.Semin Oncol 29(suppl 18):35-42, 2002.
6.
Price J: Analysis of current trends inUnited States mesothelioma incidence. Am JEpidemiol 145:211-218, 1997.
7.
Peto J, Decarli A, La Vecchia C, et al:The European mesothelioma epidemic. Br JCancer 79(3-4):666-672, 1999.
8.
Testa JR, Pass HI, Carbone M: Benignand malignant mesothelioma, in DeVita VT,Hellman S, Rosenberg SA (eds): Cancer: Principlesand Practice of Oncology, 6th ed, pp1937-1943. Philadelphia, Lippincott Williams& Wilkins, 2001.
9.
Maisano R, Caristi N, Toscano G, et al:Oxaliplatin and raltitrexed in the treatment ofinoperable malignant pleural mesothelioma:Results of a pilot study. Tumori 87(6):391-393,2001.
10.
Fizazi K, Doubre H, Le Chevalier T, etal: Combination of raltitrexed and oxaliplatinis an active regimen in malignant mesothelioma:Results of a phase II study. J Clin Oncol21(2):349-354, 2003.
11.
Favaretto AG, Aversa SM, PaccagnellaA, et al: Gemcitabine combined withcarboplatin in patients with malignant pleuralmesothelioma: A multicentric phase II study.Cancer 97(11):2791-2797, 2003.
12.
Hughes A, Calvert P, Azzabi A, et al:Phase I clinical and pharmacokinetic study ofpemetrexed and carboplatin in patients withmalignant pleural mesothelioma. J Clin Oncol20(16):3533-3544, 2002.
13.
Thodtmann R, Depenbrock H, DumezH, et al: Clinical and pharmacokinetic phase Istudy of multitargeted antifolate (LY231514)in combination with cisplatin. J Clin Oncol17(10):3009-3016, 1999.
14.
Nowak AK, Byrne MJ, Williamson R,et al: A multicentre phase II study of cisplatinand gemcitabine for malignant mesothelioma.Br J Cancer 87(5):491-496, 2002.
15.
Byrne MJ, Davidson JA, Musk AW, etal: Cisplatin and gemcitabine treatment formalignant mesothelioma: A phase II study. JClin Oncol 17(8):2626-2627, 1999.
16.
Vogelzang NJ, Weissman LB, HerndonJE 2nd, et al: Timetrexate in malignant mesothelioma:A Cancer and Leukemia Group Bphase II study. J Clin Oncol 12(7):1436-1442,1994.
17.
Kindler HL, Belani CP, Herndon JE 2nd,et al: Edatrexate (10-ethyl-deaza-aminopterin)(NSC #626715) with or without leukovorinrescue for malignant mesothelioma. Sequentialphase II trials by the Cancer and LeukemiaGroup B. Cancer 86(10):1985-1991, 1999.
18.
Solheim OP, Saeter G, Finnanger AM,et al: High-dose methotrexate in the treatmentof malignant mesothelioma of the pleura. Aphase II study. Br J Cancer 65(6):956-960,1992.
19.
Baas P, Ardizzoni A, Grossi F, et al: Theactivity of raltitrexed (Tomudex) in malignantpleural mesothelioma: An EORTC phase IIstudy (08992). Eur J Cancer 39(3):353-357,2003.
20.
Scagliotti GV, Shin DM, Kindler HL:Phase II study of pemetrexed with and withoutfolic acid and vitamin B
12
as front-line therapyin malignant pleural mesothelioma. J ClinOncol 21(8):1556-1561, 2003.
21.
Shin DM, Scagliotti G, Kindler H, et al:A phase III trial of pemetrexed in malignantpleural mesothelioma (MPM) patients: Clinicaloutcome, role of vitamin supplementation,respiratory symptoms, and lung function (abstract1175). Proc Am Soc Clin Oncol 22:294a,2002.
22.
Vogelzang NJ, Rusthoven JJ,Symanowski J, et al: Phase III study ofpemetrexed in combination with cisplatin versuscisplatin alone in patients with malignantpleural mesothelioma. J Clin Oncol21(14):2636-2644, 2003.
23.
Symanowski JT, Rusthoven J, NguyenB, et al: Multiple regression analysis of prognosticvariables for survival from phase IIIstudy of pemetrexed + cisplatin vs. cisplatin inmalignant pleural mesothelioma (abstract2602). Proc Am Soc Clin Oncol 22:647, 2003.
24.
Paoletti P, Pistolesi M, Rusthoven JJ, etal: Correlation of pulmonary function tests withbest tumor response status: Results from thephase III study of pemetrexed+ cisplatin vs.cisplatin in malignant pleural mesothelioma(abstract 2651). Proc Am Soc Clin Oncol22:659, 2003.
25.
Gralla RJ, Hollen PJ, Liepa AM, et al:Improving quality of life in patients with malignantpleural mesothelioma: Results of therandomized pemetrexed + cisplatin vs. cisplatintrial using the LCSS-meso instrument (abstract2496). Proc Am Soc Clin Oncol 22:621, 2003.
26.
Manegold C, Symanowski J, GatzemeierU, et al: Secondary (post-study) chemotherapyin the phase III study of pemetrexed + cisplatinvs. cisplatin in malignant pleural mesotheliomais associated with longer survival (abstract2684). Proc Am Soc Clin Oncol 22:667, 2003.
Late Hepatic Recurrence From Granulosa Cell Tumor: A Case Report
Granulosa cell tumors exhibit late recurrence and rare hepatic metastasis, emphasizing the need for lifelong surveillance in affected patients.