Central nervous system (CNS) cancers are the second most frequent malignancy in childhood. In recent years, significant advances in surgery, radiotherapy, and chemotherapy have improved survival in children with these tumors. However, a significant proportion of patients with CNS tumors suffer progressive disease despite such treatment.
ABSTRACT: Central nervous system (CNS) cancers are the second most frequent malignancy (and the most common solid tumor) in childhood. In recent years, significant advances in surgery, radiotherapy, and chemotherapy have improved survival in children with these tumors. However, a significant proportion of patients with CNS tumors suffer progressive disease despite such treatment. Advances in the understanding of the nature of the blood-brain/tumor barrier, chemotherapy resistance, tumor biology, and the role of angiogenesis in tumor progression and metastases have led to the advent of newer therapeutic strategies that circumvent these obstacles or target specific receptors that control signal transduction and/or angiogenesis in tumor cells. Ongoing clinical trials will determine whether these novel treatment modalities will improve outcomes for children with brain tumors.
FIGURE 1

Tumor Incidence Rates
Each year in the United States, an estimated 11,000 children between the ages of 0 and 15 years are diagnosed with cancer, of which 2,200 suffer from invasive central nervous system (CNS) tumors.[ 1,2] Brain tumors are second only in frequency to acute lymphoblastic leukemia in children. The incidence of CNS tumors in children under age 20 years in this country is 3 to 4 cases per 100,000/year. Just over half of all pediatric brain tumors (52%) are low-grade cerebellar astrocytomas, followed by primitive neuroectodermal tumors (PNETs), other gliomas (21%), and ependymomas (9%), as illustrated in Figure 1.[1] The incidence of low-grade astrocytomas, PNETs, and ependymomas is inversely proportional to age, whereas that of malignant glioma is relatively constant between birth and age 20 years.[2] The incidence of CNS tumors in children has been increasing in recent years, which is partlyattributed to the advent of better imaging technology including magnetic resonance imaging (MRI).[3]
TABLE 1

Genetic Syndromes in Children With Brain Tumors
The risk factors for the development of brain tumors in children are mostly unknown. Less than 10% of CNS malignancies are related to distinct genetic syndromes (Table 1).[4] While radiation exposure is a recognized risk factor for brain tumors, the role of other environmental toxins is relatively unclear.[1] Although the annual mortality rate of pediatric cancers has steadily decreased over the past 2 decades, the proportion of deaths from CNS tumors in the same population has increased from 18% to 30%.[2] These figures clearly highlight the less than optimal outcomes in children with CNS malignancies, compared to other pediatric tumors.
While surgery and radiotherapy have long been established as treatment modalities for patients with brain tumors, the role of chemotherapy in this population is far from clear. Nevertheless, chemotherapy has continued to play a significant part in the therapeutic armamentarium against these tumors and may contribute to disease stabilization and cure in some patients. Concurrently, it has also become obvious that a significant proportion of patients with brain tumors suffer progressive disease during or following chemotherapy. The causes for such therapeutic failure have been extensively explored and reported. Lack of response to chemotherapy has invariably been due to the presence of the blood-brain barrier and drug resistance.[5-7]
TABLE 2

Mechanisms of Cellular Drug Resistance in Brain Tumors
The refractoriness of brain tumors to chemotherapy stems from a multitude of factors that can be broadly classified as those caused by apparent or inherent cellular resistance.[5,8] Apparent drug resistance to a chemotherapeutic agent is usually due to the presence of the blood-brain barrier,[6,7] or the cell kinetics of a large tumor that has a smaller growth fraction (larger number of cells in the G0 fraction of the cell cycle) and hypoxic areas that limit the effect of chemotherapy.[8] Inherent drug resistance can be either de novo or acquired. Mechanisms of resistance to chemotherapeutic agents that are typically used in brain tumors are listed in Table 2.
FIGURE 2

Blood-Tumor Barrier Showing the Location of MDR-1-Coded Pgp in Human Brain Tumors
The blood-brain barrier is composed of endothelium and covers almost the entire capillary network supplying the brain. The endothelium in the blood-brain barrier is nonfenestrated and has high-resistance tight junctions. Additional components of the blood-brain barrier include the astroglial processes, basement membrane, and pericytes (Figure 2).[4,5]
The proliferation and invasion of tumor cells in the brain generally results in disruption of the brain microvasculature, breach of the blood-brain barrier, and development of vasogenic edema, even in small tumors.[4] The interstitial edema resulting from this increased capillary permeability can in turn influence cerebral blood flow, brain metabolism, and intracranial pressure. Tumor cells also secrete proangiogenic factors including basic fibroblast growth factor (b-FGF) and vascular endothelial growth factor (VEGF), resulting in the influx of new blood vessels into the tumor-a process called tumor angiogenesis.[9,10] These tumor capillaries are differentfrom the capillaries of the normal brain in that they are hyperplastic, have frequent fenestrations, lax intercellular junctions, and less well-developed glial processes abutting on the abluminal surface of the endothelium.[6]
Thus, the continuing proliferation of tumor cells in the brain actually results in disruption of the blood-brain barrier.[7] However, it is possible that such disruption can vary between tumors and even within a given tumor. Also, it is likely that small tumors (eg, the infiltrative edge of a malignant glioma) might have a relatively intact blood-brain barrier that may lead to chemotherapy failure.[7]
In the ongoing search for more effective chemotherapeutic agents for patients with brain tumors, there is a general bias toward choosing lipophilic agents with a high octanol-water partition coefficient (a measure of the lipidsolubility of the drug) to enable rapid transfer of these drugs from the blood to the tumor cells and overcome the blood-brain barrier. However, as indicated above, it appears that the bloodbrain barrier might be disrupted even in small tumors. In addition, studies have shown that the average concentration of chemotherapeutic agents in brain tumors does not significantly differ from their extracranial counterparts, although the homogeneity of drug distribution varies both within and between brain tumor deposits.[4,7]
While lipophilic drugs do penetrate the blood-brain barrier better, this does not necessarily translate into equal efficacy in all patients with brain tumors[7]; there are clearly other reasons for chemotherapy failure in such patients.[4,6] Nevertheless, it is possible that disruption of the blood-brain barrier may not be uniform in brain tumors, and areas of the brain surrounding the main tumor may have a relatively intact blood-brain barrier. This concept has led to an increasing trend toward devising methods thatfurther disrupt the blood-tumor barrier to facilitate entry of chemotherapy into brain tumors. Such increased disruption could potentially increase drug concentration in areas where the barrier has not been completely disrupted by the tumor.[7] Moreover, disrupting the blood-brain barrier might help chemotherapy reach areas of adjacent tumor invasion of the normal brain, wherein the barrier may be relatively intact.[7,11]
In 1971, Dr. Judah Folkman proposed that continued tumor growth after the initial tumor take (up to 2 mm3) is dependent on the growth of blood vessels into the tumor.[12] The influx of new capillaries into the tumor was termed "angiogenesis." This hypothesis has since led to many studies that have resulted in the discovery of several proangiogenesis and antiangiogenesis molecules in the laboratory.[ 10,12,13] The principal proangiogenesis molecules include alpha and beta fibroblast growth factors (b-FGF), VEGF, and angiogenin.[ 10,13] The principal negative regulators of new capillary growth are thrombospondin and angiostatin.[13]
Tumor growth is generally dependent on a balance of the positive and negative regulators of angiogenesis. These factors can be produced by tumor cells, mobilized from the extracellular matrix, or released by macrophages attracted to the tumor.[14] The angiogenic process itself leads not only to further tumor growth, but also to tumor invasion and, ultimately, metastasis to other body sites.[9,10]
A feature of many brain tumors is the presence of neovascularization. Immunohistochemical studies have demonstrated the presence of angiogenic factors including b-FGF in high concentrations in brain tumors.[15] This peptide stimulates vascular endothelial cell proliferation, and such cells either produce or possess receptors for b-FGF. Li et al have detected b-FGF in the cerebrospinal fluid (CSF) in 62% of children with brain tumors but in none of a group of controls.[15] The CSF specimens with elevated b-FGF increased the DNA synthesis of capillary endothelial cells in vitro, and such activity was blocked by neutralizing antibody to b-FGF. The concentration of b-FGF in CSF was also correlated with density of microvessels in histologic sections of the brain tumors, and the microvessel density was negatively correlated with prognosis. Although b-FGF was the only proangiogenic factor studied in this report, it is possible that other angiogenic peptides could mediate the growth of brain tumors.
The demonstration of the role of angiogenesis in sustaining tumor growth has led to the exploration of inhibitors of angiogenesis as a means of curtailing tumor progression. Elegant preclinical studies in mouse tumor xenograft models have shown dramatic tumor regression and cure of animals bearing tumors.[16] Currently, several phase I studies of novel angiogenesis inhibitors in patients with a wide variety of tumors are under way both in the United States and Europe, and should help our understanding of the toxicity, dose schedules, and possibly the usefulness of these agents in these malignancies.[13]
TABLE 3

Distribution of Low-Grade Gliomas in Children FIGURE 3

Resectable Low-Grade Glioma
Pediatric low-grade gliomas are a heterogenous group of tumors that constitute the most frequent CNS neoplasia encountered in children (30%- 40% of all CNS tumors diagnosed in the United States).[17] They can be classified based on histology or location (Table 3).[16] Patients with neurofibromatosis type I frequently develop low-grade gliomas (typically piloyctic astrocytoma, WHO grade I), particularly of the optic pathways.[18] Neurofibromatosis type I patients with low-grade glioma have a more favorable prognosis than patients without the genetic disease.[19]
• Surgery-Because these tumors only rarely metastasize through the neuraxis, local control using surgery and/or radiotherapy have been the traditional components of therapy for patients with low-grade glioma. Due to a direct positive correlation between extent of resection and progression-free and overall survival, aggressive surgery should be attempted in tumor locations where feasible.[17] The cystic cerebellar astrocytoma is an example of a low-grade glioma that can be resected completely without causing neurologic deficits, resulting in cure rates of over 90% (Figure 3).[17] Similarly, exophytic tumors of the brain stem including the cervicomedullary region are typically pilocytic astrocytomas, amenable to complete surgical removal with an excellent prognosis.[17] Tectal plate gliomas usually present with hydrocephalus due to early compression of the cerebral aqueduct. Patients with these tumors are observed without any treatment after controlling hydrocephalus with a third ventriculostomy.
The operating microscope and ultrasonic surgical aspirator allows the surgeon to perform an adequate tumor resection without compromisingthe adjacent normal brain. Preoperative imaging can be correlated with intraoperative observation using a frame-based or frameless system that also helps in guiding the surgeon with trajectories to deep-seated lesions. Functional MRI, positron-emission tomography, and electrode grids for mapping areas of the cerebral cortex have helped the surgeon to accurately delineate tumor margins and improve surgical morbidity in these patients.
However, about 30% of all lowgrade gliomas-including those in the optic pathway, diencephalon (hypothalamus and thalamus), and intrinsic portion of the brain stem-remain unsafe for surgical resection. For tumors in such locations as well as those that recur after initial surgical resection and are associated with functional impairment, tumor control can be obtained with chemotherapy and/or radiotherapy.
• Radiotherapy-There are no reported prospective randomized trials assessing the benefits of adjuvant radiotherapy in children with low-grade gliomas.[17] Extrapolating data from adult phase III trials, it seems appropriate to use focal radiotherapy in doses of 45 to 54 Gy in 1.8- to 2.0-Gy fractions. Three-dimensional (3D) conformal radiotherapy, intensity-modulated radiotherapy, and proton-beam therapy are new radiation delivery techniques that are designed to minimize damage to normal brain but await validation in larger studies.[17]
• Chemotherapy-In view of the deleterious effect of radiotherapy on the growing brain in young children, chemotherapy agents including vincristine, dactinomycin (Cosmegen), cyclophosphamide (Cytoxan, Neosar), carboplatin (Paraplatin), lomustine (CCNU [CeeNu]), and etoposide have been employed individually or in combination in patients with progressive low-grade gliomas to delay or avoid irradiation.[19] Following preliminary clinical evidence of activity, carboplatin, either alone or in combination with vincristine, has been used as a front-line therapy for children with low-grade glioma, particularly thosewith optic pathway tumors.[19-21]
Objective responses and disease stabilization have been observed in 25% to 58% and 80% to 90% of patients, respectively, in these studies. The 3-year progression-free survival in patients with recurrent low-grade glioma following this chemotherapy regimen has been reported to be 64% to 68%.[19,21] Myelosuppression is the main toxicity related to carboplatin followed by hypersensitivity reactions in about 10% to 30% of patients.
An alternative nitrosourea-based chemotherapy regimen reported by Prados et al was shown to produce prolonged disease stabilization in children with progressive low-grade gliomas.[ 22] This treatment combination is being evaluated in comparison with the carboplatin-based regimen in an ongoing Children's Oncology Group (COG) phase III trial in recurrent lowgrade gliomas. Recently, we and others have also reported on the efficacy of temozolomide (Temodar) in both adults and children with low-grade gliomas.[23,24]
Primitive neuroectodermal tumors of the CNS are a group of aggressive embryonal neoplasias that occur in both adults and children. Under this broad rubric, three tumors are mainly recognized based on their location: medulloblastoma, which occurs exclusively in the cerebellum; pineoblastoma, in the region of the pineal gland; and supratentorial PNET, in the cerebral hemispheres or suprasellar region.
Although histologically similar with a propensity for aggressive neuraxis dissemination, these tumors markedly differ in terms of genetic makeup and prognosis. In recent years, much controversy has been generated in the histologic classification of PNET.[25] Simultaneously, considerable progress has been made in identifying the molecular characteristics of these tumors, particularly medulloblastoma.[26-32] Also, significant strides have been made in the treatment of patients with these malignancies.
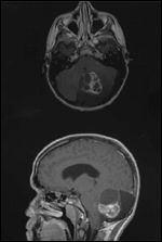
FIGURE 4

Medulloblastoma
• Medulloblastoma-Medulloblastoma is the most common malignant brain tumor in children. About 400 children are diagnosed with this tumor each year in the United States.[1] The peak age of onset is between 5 and 9 years. Over 90% of medulloblastomas typically arise from the superior medullary velum, growing to fill the cavity of the fourth ventricle (Figure 4).[33] The tumor mass can encroach on to the cisterna magna and sometimes infiltrates the floor of the fourth ventricle or brain stem. A minority of tumors, particularly in patients over 16 years of age, arise more laterally in the cerebellar hemispheres.[33] Macroscopically, these tumors are soft, friable, and moderately demarcated from the cerebellar tissue. Areas of central necrosis may be present.
The microscopic structure of medulloblastoma is characterized by increased cellular density. The main pathologic subtypes of medulloblastoma recognized in the 2000 World Health Organization (WHO) classification of brain tumors include classic, desmoplastic, extensive nodularity with advanced neuronal differentiation, and the large cell/anaplastic varieties.[ 34-36] The tumor typically arises in the roof of the fourth ventricle, quickly fills this cavity, and invades the surrounding neural structures including the brain stem. Hence, the predominant presenting symptoms in patients with these tumors are those of raised intracranial pressure including irritability, headache, lethargy, vomiting, and poor school performance.[ 37] Additional symptoms due to invasion of other local structures include truncal ataxia, nystagmus, neck stiffness, and cranial nerve palsies.
Dissemination of tumor to the leptomeninges occurs in about 10% to 30% of cases, with infants suffering this complication more frequently than older children. In less than 10% of cases, the tumor can spread outside of the neuraxis.[37] Patients with certain genetic disorders including Gorlin (nevoid-basal cell carcinoma syndrome), p53 germline mutation, and Turcot syndromes have a higher risk of developing medulloblastoma (see Table 1).[37]
Patients with medulloblastoma are classified as average or high risk to enable the assignment of appropriate treatment based on the extent of tumor following surgery. Those with average-risk disease have < 1.5 cm2 of tumor in the primary site and no brain stem involvement or metastatic disease.[37] Patients with high-risk medulloblastoma include children < 3 years old at the time of diagnosis, and those who have gross residual disease postsurgery or metastatic disease at diagnosis.[37]
Conventional therapy for patients with average-risk medulloblastoma is surgical resection followed by craniospinal irradiation (24-36 Gy) and a focal boost to the primary site (54- 56 Gy), which produces a 5-year eventfree survival rate of approximately 60%.[37,38] The addition of chemotherapy (vincristine, cisplatin, and lomustine or cyclophosphamide) appears to benefit patients with high-risk features and might help to decrease the dose of neuraxis irradiation in patients with average-risk disease.[37,38]
Infants with medulloblastoma farepoorly with standard chemotherapy and irradiation and have a higher incidence of neurocognitive deficits following radiotherapy.[39,40] Evidence suggests that some infants can be successfully treated with high-dose chemotherapy alone, without neuraxis irradiation.[41] 3D conformal radiotherapy is currently being utilized in children with medulloblastoma in an attempt to deliver radiation boost to the tumor bed and residual tumor and decrease radiation scatter to the cochlea, supratentorial brain, and hypothalamus. Preliminary results from single-institution studies appear promising, with no increased failures documented in the posterior fossa.[ 42,43] The validity of these results will be further tested in a randomized fashion in the next COG trial for children with average-risk medulloblastoma.
Patients with recurrent tumors fare very poorly despite conventional retrieval therapy, with few or no longterm survivors. The use of high-dose chemotherapy with stem cell rescue has been useful in prolonging progression- free survival in a proportion of patients with tumors that are localized and sensitive to standard chemotherapy.[ 44,45] Intrathecal chemotherapy with thiotepa (Thioplex), mafosfamide, or busulfan (Myleran, Busulfex) is being tested in phase I/II clinical trials in patients with leptomeningeal disease at recurrence.[4]
A profusion of studies have described the molecular characteristics of medulloblastoma-including the sonic hedgehog and WNT signaling pathways, Trk-C expression, c-Myc amplification, presence of isochromosome 17q, erbB-3 and -4 overexpression, and platelet-derived growth factor receptor (PDGFR)-alpha and RAS/MAP-kinase activation-that can predict biologic behavior and outcome independently of clinical characteristics.[ 37,46] At least one clinical trial is attempting to prospectively validate the usefulness of some of these molecular markers and, in the future, could help to reduce the need for therapy in patients with favorable biologic features (personal communication, A. Gajjar, 2003). These markers might also serve as rational targetsfor specific small molecule tyrosine kinase inhibitors, including imatinib mesylate (Gleevec) and epidermal growth factor receptor (EGFR) inhibitors, and targeted therapy can be developed for medulloblastoma patients who overexpress these receptors.
Recently, retinoids including cisretinoic acid have been found to mediate apoptosis in medulloblastoma cells and decrease tumor growth in xenograft models.[47] On this basis, an upcoming COG trial will test the efficacy of cis-retinoic acid in a randomized fashion along with maintenance chemotherapy in children with high-risk medulloblastoma.
• Pineoblastoma and Cerebral PNET-The incidence of pineoblastoma is approximately 3% to 10% of all primary malignant brain tumors in all age groups, constituting approximately 45% of all pineal parenchymal tumors. They usually occur in the first 2 decades of life, with most cases occurring in the first 10 years of life. A familial tendency for PNET to occur in the pineal or suprasellar region has been observed in patients with familial retinoblastoma, also called the trilateral retinoblastoma syndrome.[ 48,49] Cerebral PNETs constitute 1% to 2% of all CNS tumors and about 6% of all CNS PNETs. These tumors occur commonly in young children, with a median age at diagnosis of 5.5 years (range: 4 weeks to 10 years) and a male predominance. No specific genetic associations have been noted in patients with these tumors.
The histologic features of these tumors are similar to those of medulloblastoma. The clinical features of pineoblastoma include those caused by hydrocephalus, due to early compression of the aqueduct, and pressure on the tectum of the midbrain, which produces Parinaud syndrome. Cerebral PNETs typically cause headache, vomiting, and seizures depending on the location of the tumor.
The treatment of these tumors includes surgical resection, chemotherapy, and radiotherapy. However, survival for patients with these tumors is far inferior to that of patients with medulloblastoma. Infants with supratentorial PNET have a dismal prognosis withstandard chemotherapy and irradiation.[ 39,50] In contrast, a progressionfree survival of over 60% has been observed in older children with pineoblastoma treated with lomustine, vincristine, and prednisone or the "8 in 1" drug regimen (methylprednisolone, vincristine, lomustine, procarbazine [Matulane], hydroxyurea, cisplatin, cytarabine, dacarbazine [DTICDome]) following neuraxis irradiation and a focal boost to the pineal region.[ 50] The use of high-dose che-motherapy with stem cell rescue has also resulted in improved survival in some children with these tumors, particularly infants and those with metastatic disease.[41,51,52]
FIGURE 5

High-Grade Glioma
High-grade glioma including anaplastic astrocytoma (WHO grade III) and glioblastoma multiforme constitute about 14% of CNS tumors in children. These tumors can occur anywhere in the brain. In a recent Children's Cancer Group (CCG) study report of 131 evaluable children with high-grade glioma, over 90% of tumors occurred in a supratentorial location (63% in the superficial cerebral hemisphere and 38% in the deep or midline cerebrum) and only 8% occurred in the posterior fossa, including the brain stem and cerebellum (Figure 5).[53]
The principal histologic features of anaplastic astrocytoma are increased cellularity, nuclear atypia, and marked mitotic activity. The neoplastic cells are consistently positive for glial fibrillary acidic protein and have a proliferative index of 5% to 10%. Glioblastoma multiforme on the other hand is made up of pleomorphicastrocytic cells with brisk mitotic activity, nuclear atypia, vascular proliferation, and areas of necrosis.
• Standard Treatment-Treatment of high-grade glioma in any site includes adequate surgical resection, radiotherapy, and chemotherapy. The efficacy of this combined-modality approach was recently demonstrated in a CCG phase III randomized study (CCG-945) in which children with high-grade glioma received surgical resection followed by either vincristine, lomustine, and prednisone (control arm) or the "8 in 1" chemotherapy regimen (experimental arm).[53] Although there was no difference in 5-year progression-free survival between the two arms, the extent of surgical resection (> 90% vs ≤ 90% resection) as assessed by postoperative imaging was highly predictive of outcome. Patients who underwent a complete resection (> 90%) had a significantly better 5-year progressionfree survival, compared to those with less extensive resection (anaplastic astrocytoma plus glioblastoma multiforme, 35% vs 17%, P = .006; anaplastic astrocytoma, 44% vs 22%; and glioblastoma multiforme, 29% vs 4%).
Children with midline high-grade glioma, including neoplasms in the thalamus and diffuse intrinsic lesions withinthe brain stem (eg, diffuse pontine glioma), are unresectable based on location and have an extremely grave prognosis.[54,55] Although patients with thalamic tumors have typically undergone biopsy to confirm histology of high-grade glioma, it is no longer deemed necessary in patients with MRI findings of a diffuse intrinsic brain stem glioma. The use of radiotherapy and chemotherapy has had little impact on the dismal outcome of these patients in recent years.[54]
Other chemotherapeutic agents including temozolomide and irinotecan (Camptosar) have been utilized in children with high-grade glioma, but with only modest benefit.[56-58] The combination of carmustine (BiCNU) or temozolomide with topoisomerase I inhibitors such as irinotecan has demonstrated synergism in preclinical studies[8] and is currently being tested in clinical trials at our institution.
• Newer Drug Strategies-Because drug resistance and the blood-brain barrier are considered to be the most important impediments to effective chemotherapy in brain tumors, strategies have been devised to circumvent these barriers.[4] For locally invasive tumors such as high-grade glioma, therapies that circumvent the blood-brain barrier include intracavitary implantation of carmustine wafers (Gliadel), use of agents that disrupt the barrier, intra-arterial chemotherapy with or without barrier disruption, and convection-enhanced delivery.[4]
A modest but significant efficacy was noted with the use of polymers impregnated with carmustine in a phase III randomized double-blind trial in adults with malignant glioma.[59] Intra-arterial chemotherapy using agents such as carmustine, cisplatin, and etoposide, despite some theoretical advantages, has not proven to be useful but has some prohibitive neurotoxicities.[4] Transient disruption of the blood-brain barrier can be achieved with chemical agents including mannitol, prostaglandin, histamine, and bradykinin, which subsequently facilitates chemotherapy entry into the brain tumor.[4]
Recently, labradimil (Cereport), an investigational bradykinin analog, hasbeen used as a blood-brain barrier- disrupting agent prior to carboplatin chemotherapy. Preliminary results with this combination appear to be promising, and ongoing pediatric clinical trials in patients with recurrent brain tumors including high-grade glioma[4] will help further assess the effectiveness of this strategy.
Convection-enhanced delivery is a recently described method of delivering large molecules via a microinfusion pump directly into the tumor using strategically placed catheters.[ 60,61] The solution containing the large molecules (typically a tumor toxin) diffuses through the tumor by convection and reaches several centimeters beyond the tumor.[4] Both phase I adult and pediatric trials are under way using fusion proteins made up of Pseudomonas exotoxin and either transforming growth factor or interleukin-13.[60,61] The latter molecules are designed to target the glioma cells and spare normal brain tissue. Once the glioma cells are targeted, the exotoxin is internalized and causes cytotoxicity.
• O6Benzylguanine-The problem of drug resistance to alkylating agents has been extensively addressed in our laboratory and is predominantly caused by overexpression of alkylguanine alkyltransferase (AGAT) in tumor cells. The cellular enzyme AGAT is responsible for removing the alkyl groups from the O6 position of deoxyguanosine and prevents cross-linking of DNA.[62] Increased expression of this DNA repair protein is the major mechanism of resistance to nitrosoureas.[ 62] O6-benzylguanine (O6-BG) is a modulating agent that demonstrates high affinity for AGAT and effectively enhances nitrosourea activity in vitro and in vivo.[62]
Friedman et al at Duke University Medical Center conducted a phase I trial of O6-BG in patients with malignant glioma and determined the maximum tolerated dose to be 100 mg/m2.[63] This dose of O6-BG has been subsequently used in combination with carmustine in a phase I trial in adults with recurrent high-grade glioma. The maximum tolerated dose of carmustine when used in this combination was 40 mg/m2 given every 6 weeks.
A similar pediatric phase I study conducted through the Pediatric Oncology Group (POG) in children with recurrent brain tumors is being completed. The maximum tolerated dose of carmustine in the pediatric trial appears to be 33 mg/m2 (personal communication, D. Adams, 2000). However, a phase II trial of this combination in adults with recurrent malignant glioma and prior failure on a nitrosourea regimen did not demonstrate any objective response, suggesting that elevation of AGAT is not the only mechanism for treatment failure in these patients.[64]
Inadequate tumor responses in this setting could also be related to limitations of achieving adequate concentrations of carmustine in the tumor through systemic administration of carmustine plus O6-BG. Hence, ongoing studies are exploring the use of O6-BG prior to implantation of Gliadel wafers into the tumor cavity.[65,66] Because resistance to temozolomide, a methylating agent, is also mediated through increased AGAT, a phase I study of temozolomide with O6-BG in adults with recurrent malignant glioma is currently under way at our center to identify a safe dose of temozolomide that can be given with O6-BG. The Pediatric Brain Tumor Consortium (PBTC) is conducting a similar trial in children with recurrent pediatric brain tumors including highgrade glioma.
• Antiangiogenesis Agents and Small Molecule Inhibitors-Since the initial description of tumor angiogenesis by Dr. Folkman almost 3 decades ago, there has been a virtual explosion of studies describing several pro- and antiangiogenesis factors. Several clinical trials of angiogenic inhibitors are under way in both adults and children with solid malignancies including CNS tumors. The PBTC is conducting a phase I study of cilengitide (EMD121974) in children with recurrent brain tumors. Cilengitide is an RGD pentapeptide and an αvβ3/ αvβ5 integrin receptor antagonist that has been shown in preclinical studies to inhibit tumor angiogenesis.[67]
The most common molecular alterations in high-grade glioma include p53 mutations, EGFR amplification, loss oheterozygosity on chromosome 10 (involving the phosphatase and tensin homology gene [PTEN]) and 19, and PDGFR-alpha gene amplification.[68] Some of these molecular markers of disease have been chosen as targets for inhibition using small molecule protein kinase inhibitors, including gefitinib (Iressa) targeting EGFR, and imatinib targeting PDGFR.[68] It is likely that these small molecule inhibitors have some indirect negative effect on tumor angiogenesis by affecting downstream targets that are involved in new blood vessel formation.
Phase I trials of these two drugs are ongoing in children with newly diagnosed and recurrent high-grade glioma (including diffuse pontine glioma) through the PBTC institutions. Since it is unlikely that these drugs will be efficacious as single agents, future studies will address whether such small molecule protein kinase inhibitors work additively or synergistically with chemotherapeutic or antiangiogenic agents.
FIGURE 6

Intracranial Tumors
Ependymomas are the third most common CNS neoplasm, developing in about 10% of all children with brain tumors. The tumor typically arises from the neuroepithelial cells lining the ventricles. The incidence of ependymomas is inversely related to age, with the peak incidence occurring in children less than 6 years of age.[69] Over 90% of all childhood ependymomas are intracranial, and less than 10% occur in the spinal cord. Of the intracranial tumors, 66% are infratentorial and 34% supratentorial in location (Figure 6). No specific risk factors are associated with ependymomas except for the increased frequency of spinal cord ependymomas in patients with neurofibromatosis type II.
Ependymomas are soft and friable and grayish-red in appearance. Microscopically, they are extremely cellular, with the tumor cells forming pseudorosettes around blood vessels. Specific histologic variants include clear cell, papillary, myxopapillary, and anaplastic (WHO grade III). About 20% of patients with ependymomas have metastatic spread of disease either at the time of diagnosis or relapse.
• Treatment-The current standard of care for patients with ependymomas includes adequate surgical resection followed by focal radiotherapy to the site of tumor.[69,70] Survival rates range from 40% to 60% at 5 years posttreatment. Poor prognostic factors include young age and inadequate surgical resection.[71] Although leptomeningeal spread of disease can occur at the time of recurrence, it is almost always associated with progression at the primary site, indicating that local disease control is of paramount importance in achieving cure.
Chemotherapy has been found to be an ineffective treatment modality for patients with ependymomas, and this might be explained partly by the overexpression of p-glycoprotein in over 80% of these tumors.[72] Currently, this approach is used primarily in infants (children < 4 years of age), in whom even focal radiotherapy to areas of the brain can have devastating consequences on neurocognitive function. Platinum compounds (cisplatin or carboplatin) and cyclophosphamide are the most effective agents to be used against ependymoma.[71]
Molecular alterations in ependymomas have not been as well characterized as in medulloblastomas but include loss of heterozygosity for chromosome 22 in a subset of spinal ependymomas associated with neurofibromatosis type II and deletion of chromosome 6q.[73] Recently, Gilbertson et al showed that overexpression of the EGF receptors erbB-2 and erbB-4 occurred in 75% of analyzed pediatric ependymomas and was independently correlated with a worse survival in these patients.[74,75] Studies are being planned to assess the toxicity and efficacy of small EGFR tyrosine kinase inhibitors in children with ependymomas.
CNS germ cell tumors in children are rare, constituting about 2% to 5% of all pediatric brain tumors. Intracranial germ cell tumors are typically classified as either germinomas or nongerminomatous germ cell tumors. The former includes pure germinomas and germinomas with syncytiotrophoblastic cells, and the latter, yolk sac tumors (secreting alpha-fetoprotein [AFP]), choriocarcinomas (secreting the beta subunit of human chorionic gonadotropin [beta-HCG]), embryonal carcinoma (secreting carcinoembryonic antigen), teratomas (mature and immature), and mixed germ cell tumors (including varying components of germinoma and nongerminomatous germ cell tumors).[76]
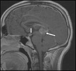
FIGURE 7

Central Nervous System Germ Cell Tumors
The incidence of these tumors is higher in Asia (15%-18% of all childhood brain tumors) compared to western countries.[76] The peak age of onset is 10 to 12 years of age, but occasionally such lesions emerge in the second to third decade of life.[76] There is a sex predilection for tumor site and histologic type, with female predominance for tumors that originate in the suprasellar region and nongerminomatous germ cell tumors. CNS germ cell tumors occur commonly in the pineal region (45%), suprasellar region (35%), both (10%), and other sites including intraventricular, basal ganglia, thalamus, medulla oblongata, and cerebral hemispheres (10%); see Figure 7.[76]
• Assessment and Diagnosis-Presenting symptoms in patients with germ cell tumors depend on the location of tumor. Suprasellar germ cell tumors can present with isolated diabetes insipidus caused by pituitary stalk thickening, hydrocephalus, visual disturbances, delayed growth, or precocious puberty.[76,77] Pineal tumors can cause hydrocephalus due to early compression of the aqueduct, and paralysis of upward gaze and visual convergence due to pressure on the tectum of the midbrain (Parinaud syndrome). Leptomeningeal seeding occurs in about 10% to 15% of patients and can cause symptoms of spinal cord compression due to mass effect from tumor.[77]
Histologically, germinoma consistsof a uniform sheet of cells that have vesicular nuclei, prominent nucleoli, and a glycogen-rich cytoplasm. Additional features include lymphocytic infiltration and scattered syncytiotrophoblastic cells.[76] Teratomas recapitulate somatic development from the three embryonic germ layers, with mature forms demonstrating adult tissue including cartilage, bone, and teeth, and the immature variety composed of primitive neuroepithelial cells arranged in an abortive formation of neural tubes.[76]
Yolk sac tumors are composed of primitive-appearing epithelial cells in a loose myxoid matrix and eosinophilic hyaline globules immunoreactive for AFP.[76] The histologic diagnosis of a choriocarcinoma requires the identification of cytotrophoblastic and syncitiotrophoblastic giant cells that are positive for beta-HCG and human placental lactogen.[76] Embryonal carcinoma consists of large cells that proliferate in nests and sheets, forming abortive papillae and embryoid bodies with germinal discs and miniature amniotic cavities, large nucleoli, and a high mitotic index. The cells are positive for cytokeratin and human placental alkaline phosphatase.[76]
In addition to neuroimaging studies and biopsy confirmation, patients with intracranial germ cell tumors usually have serum and CSF estimated for protein markers including AFP and beta- HCG, for diagnosis and assessment of tumor response.[78] If the markers are elevated in CSF samples, diagnosis can be made and treatment initiated without the need for a biopsy.[78]
• Treatment-The standard treatment for patients with pure germinoma is usually radiotherapy.[77] This tumor is exquisitely sensitive to irradiation, and excellent survival has been obtained with this modality alone. Germinomas typically spread via the ventricular wall, and it is extremely important to include the whole ventricular volume (radiotherapy dose up to 24 Gy) in addition to the primary site (up to 45 Gy) in the radiation field for patients with localized disease, and the craniospinal axis (up to 24 Gy) in those with metastatic disease. The use of 3D conformal radiotherapy technique canminimize long-term side effects of irradiation. Using this strategy, cure can be achieved in over 90% of these patients.[77]
Germinoma is very responsive to chemotherapy as well, with excellent objective responses reported for single- agent cyclophosphamide or carboplatin.[ 77] In recent years, there have been several clinical trials in the United States, Japan, and Europe that have attempted to use chemotherapy combinations (carboplatin/etoposide, carboplatin/etoposide/bleomycin [Blenoxane] ± cyclophosphamide), or ifosfamide [Ifex]/carboplatin/etoposide) with the aim of avoiding or reducing the dose and extent of radiotherapy and its associated neuropsychological sequelae on the brain. This strategy has been reasonably successful, although the progression-free survival rate with chemotherapy alone is only 50% to 60%.[77]
However, most of the patients who fail chemotherapy can be salvaged with radiotherapy, underscoring the importance of the latter modality in the cure of patients with germinoma. While some series have indicated that patients with germinoma with beta-HCG elevation up to 50 IU have an inferior outcome, recent reports have demonstrated that with adequate doses of radiotherapy, these patients do just as well as those with pure germinoma.[79]
It must be emphasized that the use of chemotherapy alone in patients with germinoma is effective in only a proportion of patients and is not the standard of care.[77] Only large randomized trials of standard radiotherapy alone vs chemotherapy plus reduced dose irradiation will clearly establish the efficacy of chemotherapy and whether patients who receive the latter treatment along with reduced dose irradiation will have fewer neurocognitive deficits. The COG is planning such a trial, and the results of this study should be available in the next few years.
Patients with nongerminomatous germ cell tumors do very poorly with radiotherapy alone; only 20% to 60% survive without disease progression when treated using only this modality.[ 77] The addition of chemotherapy, as used for patients withgerminoma, has improved the survival rate to around 45% to 80%.[77] Patients with recurrent germ cell tumors have a poor prognosis. A proportion of patients with chemosensitive disease have been salvaged with highdose chemotherapy and autologous stem cell rescue.[80]
Choroid plexus tumors are rare in children, comprising 2% to 4% of brain tumors in this population.[81] Choroid plexus tumors can either be a choroid plexus papilloma (60%-80%) or carcinoma (20%-40%).[81] The predominant location of these tumors is in the lateral ventricles and, less commonly, the IV and III ventricles. Choroid plexus tumors that occur in the lateral ventricles are invariably diagnosed in infants or young children at a median age of 24 months.[81] These tumors typically arise from the choroid plexus epithelium and are extremely vascular.
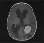
FIGURE 8

Choroid Plexus Tumors
The histologic findings in a choroid plexus papilloma includes a papillomatous component lined by a single layer of columnar or cuboidal epithelium and a central core of vascular stromal tissue, and the absence of mitosis and normal tissue invasion. In contrast, choroid plexus carcinoma consists of sheets of cells without papillary forma-tion, nuclear atypia and pleomorphism, frequent mitoses, and invasion of subependymal brain tissue. Children with choroid plexus tumors frequently present with hydrocephalus due to mechanical obstruction and/or CSF overproduction (Figure 8).[81] Up to 30% of children present with metastatic disease at diagnosis.
• Treatment-Surgical resection of choroid plexus papilloma frequently results in long-term cure.[81] The management of choroid plexus carcinoma is more complex. Although adequate surgical resection is the most important determinant of long-term disease control, tumors can be extremely large and vascular at diagnosis, precluding adequate resection without causing excessive blood loss or neurologic damage.[ 81] In these situations, it might be more beneficial to confirm the diagnosis on a limited stereotactic biopsy and treat patients with chemotherapy prior to definitive surgical resection.[81] The standard chemotherapy regimen used in infants and young children includes vincristine, cisplatin or carboplatin, cyclophosphamide, and etoposide, and can be used in a neoadjuvant or adjuvant setting.[81]
The efficacy of postoperative radiotherapy in patients with choroid plexus carcinoma is unclear.[81,82] The need for craniospinal irradiation for this disease with a high predilection for neuraxis dissemination argues against the use of this modality in young children due to the risk of neurocognitive deficits and endocrine sequelae. In general, it appears that the degree of surgical resection seems to determine the outcome of patients with choroid plexus carcinoma irrespective of the adjuvant chemo/radiotherapy received postsurgery.[82]
Financial Disclosure:The authors have no significant financial interest or other relationship with the manufacturers of any products or providers of any service mentioned in this article.
1.
Gurney JG, Smith MA, Bunin GR: CNSand miscellaneous intracranial and intraspinalneoplasms, in Ries LAG, Sith MA, Gurne yJG,et al (eds): Cancer Incidence and Survivalamong Children and Adolescents: United StatesSEER Program 1975-1995, National CancerInstitute, SEER Program, pp 51-63. Bethesda,Md, NIH Pub No. 99-4649, 1999.
2.
Bleyer WA: Epidemiologic impact of childrenwith brain tumors. Childs Nerv Syst15:758-763, 1999.
3.
Smith MA, Freidlin B, Ries LA, et al:Trends in reported incidence of primary malignantbrain tumors in children in the UnitedStates. J Natl Cancer Inst 90:1269-1277, 1998.
4.
Gururangan S, Friedman HS: Innovationsin design and delivery of chemotherapy forbrain tumors. Neuroimaging Clin N Am 12:583-597, 2002.
5.
Bredel M: Anticancer drug resistance inprimary human brain tumors. Brain Res BrainRes Rev 35:161-204, 2001.
6.
Groothuis DR: The blood-brain and bloodtumorbarriers: A review of strategies for increasingdrug delivery. Neurooncol 2:45-59, 2000.
7.
Stewart DJ: A critique of the role of theblood-brain barrier in the chemotherapy of humanbrain tumors. J Neurooncol 20:121-139,1994.
8.
Scotto KW, Bertino JR: Chemotherapysusceptibility and resistance, in Mendelsohn J,Howley PM, Israel MA, et al (eds): The MolecularBasis of Cancer, pp 387-400. Philadelphia,WB Saunders Co, 2001.
9.
Folkman J: Angiogenesis in cancer, vascular,rheumatoid and other disease. Nat Med1:27-31, 1995.
10.
Pluda JM: Tumor-associated angiogenesis:mechanisms, clinical implications, and therapeuticstrategies. Semin Oncol 24:203-218, 1997.
11.
Englehard HH, Groothuis DG: Theblood-brain barrier: Structure, function, andresponse to neoplasia, in Berger MS, WilsonCB (eds): The Gliomas, pp 115-120. Philadelphia,WB Saunders Co, 1999.
12.
Folkman J: Tumor angiogenesis: Therapeuticimplications. N Engl J Med 285:1182-1186, 1971.
13.
Kerbel R, Folkman J: Clinical translationof angiogenesis inhibitors. Nat Rev Cancer2:727-739, 2002.
14.
Folkman J: Angiogenesis in cancer, vascular,rheumatoid and other disease. Nat Med1:27-31, 1995.
15.
Li VW, Folkerth RD, Watanabe H, et al:Microvessel count and cerebrospinal fluid basicfibroblast growth factor in children withbrain tumours. Lancet 344:82-86, 1994.
16.
Kerbel RS, Viloria-Petit A, Klement G,et al: “Accidental” anti-angiogenic drugs, antioncogenedirected signal transduction inhibitorsand conventional chemotherapeutic agents asexamples. Eur J Cancer 36:1248-1257, 2000.
17.
Watson GA, Kadota RP, Wisoff JH:Multidisciplinary management of pediatriclow-grade gliomas. Semin Radiat Oncol11:152-162, 2001.
18.
Reed N, Gutmann DH: Tumorigenesisin neurofibromatosis: New insights and potentialtherapies. Trends Mol Med 7:157-162, 2001.
19.
Gururangan S, Cavazos CM, Ashley D,et al: Phase II study of carboplatin in childrenwith progressive low-grade gliomas. J ClinOncol 20:2951-2958, 2002.
20.
Friedman HS, Krischer JP, Burger P, etal: Treatment of children with progressive orrecurrent brain tumors with carboplatin oriproplatin: A Pediatric Oncology Group randomizedphase II study. J Clin Oncol 10:249-256, 1992.
21.
Packer RJ, Ater J, Allen J, et al:Carboplatin and vincristine chemotherapy forchildren with newly diagnosed progressive lowgradegliomas. J Neurosurg 86:747-754, 1997.
22.
Prados MD, Edwards MS, Rabbitt J, et al:Treatment of pediatric low-grade gliomas witha nitrosourea-based multiagent chemotherapyregimen. J Neurooncol 32:235-241, 1997.
23.
Quinn JA, Reardon DA, Friedman AH,et al: Phase II trial of temozolomide in patientswith progressive low-grade glioma. J ClinOncol 21:646-651, 2003.
24.
Kuo DJ, Weiner HL, Wisoff J, et al:Temozolomide is active in childhood, progressive,unresectable, low-grade gliomas. J PediatrHematol Oncol 25:372-378, 2003.
25.
Rorke LB: The cerebellar medulloblastomaand its relationship to primitive neuroectodermaltumors. J Neuropathol Exp Neurol42:1-15, 1983.
26.
Janss AJ, Yachnis AT, Silber JH, et al:Glial differentiation predicts poor clinical outcomein primitive neuroectodermal brain tumors.Ann Neurol 39:481-489, 1996.
27.
Grotzer MA, Hogarty MD, Janss AJ, etal: MYC messenger RNA expression predictssurvival outcome in childhood primitive neuroectodermaltumor/medulloblastoma. ClinCancer Res 7:2425-2433, 2001.
28.
Grotzer MA, Janss AJ, Phillips PC, etal: Neurotrophin receptor TrkC predicts goodclinical outcome in medulloblastoma and otherprimitive neuroectodermal brain tumors. KlinPadiatr 212:196-199, 2000.
29.
Pomeroy SL, Tamayo P, Gaasenbeek M,et al: Prediction of central nervous system embryonaltumour outcome based on gene expression.Nature 415:436-442, 2002.
30.
Wechsler-Reya R, Scott MP: The developmentalbiology of brain tumors. Annu RevNeurosci 24:385-428, 2001.
31.
Wetmore C, Eberhart DE, Curran T: Thenormal patched allele is expressed in medulloblastomasfrom mice with heterozygous germlinemutation of patched. Cancer Res 60:2239-2246, 2000.
32.
Wetmore C, Eberhart DE, Curran T: Lossof p53 but not ARF accelerates medulloblastomain mice heterozygous for patched. CancerRes 61:513-516, 2001.
33.
McLendon RE, Enterline DS, Tien RD,et al: Tumors of central neuroepithelial origin,in Bigner DD, McLendon RE, Bruner JM (eds):Russell & Rubinstein’s Pathology of Tumors ofthe Nervous System, pp 308-571. London,Arnold, 1998.
34.
Giangaspero F, Bigner SH, Kleihues P,et al: Medulloblastoma, in Kleihues P, CaveneeWK (eds): Pathology & Genetics Tumors of theNervous System, pp 129-137. Lyon, IARCPress, 2000.
35.
Giangaspero F, Perilongo G, FondelliMP, et al: Medulloblastoma with extensivenodularity: A variant with favorable prognosis.J Neurosurg 91:971-977, 1999.
36.
Leonard JR, Cai DX, Rivet JR, et al: Largecell/anaplastic medulloblastomas andmedullomyoblastomas: Clinicopathological andgenetic features. J Neurosurg 95:82-88, 2001.
37.
Packer RJ, Cogen P, Vezina G, et al:Medulloblastoma: Clinical and biologic aspects.Neurooncol 1:232-250, 1999.
38.
Freeman CR, Taylor RE, Kortmann RD,et al: Radiotherapy for medulloblastoma in children:A perspective on current internationalclinical research efforts. Med Pediatr Oncol39:99-108, 2002.
39.
Duffner PK, Horowitz ME, Krischer JP,et al: Postoperative chemotherapy and delayedradiation in children less than three years of agewith malignant brain tumors. N Engl J Med328:1725-1731, 1993.
40.
Walter AW, Mulhern RK, Gajjar A, etal: Survival and neurodevelopmental outcomeof young children with medulloblastoma at StJude Children’s Research Hospital. J ClinOncol 17:3720-3728, 1999.
41.
Mason WP, Grovas A, Halpern S, et al:Intensive chemotherapy and bone marrow rescuefor young children with newly diagnosedmalignant brain tumors. J Clin Oncol 16:210-221, 1998.
42.
Merchant TE, Happersett L, Finlay JL,et al: Preliminary results of conformal radiationtherapy for medulloblastoma. Neurooncol1:177-187, 1999.
43.
Wolden SL, Dunkel IJ, Souweidane MM,et al: Patterns of failure using a conformal radiationtherapy tumor bed boost for medulloblastoma.J Clin Oncol 21:3079-3083, 2003.
44.
Dunkel IJ, Boyett JM, Yates A, et al:High-dose carboplatin, thiotepa, and etoposidewith autologous stem-cell rescue for patientswith recurrent medulloblastoma. Children’sCancer Group. J Clin Oncol 16:222-228, 1998.
45.
Guruangan S, Dunkel IJ, Goldman S, etal: Myeloablative chemotherapy with autologousbone marrow rescue in young childrenwith recurrent malignant brain tumors. J ClinOncol 16:2486-2493, 1998.
46.
MacDonald TJ, Brown KM, LaFleur B,et al: Expression profiling of medulloblastoma:PDGFRA and the RAS/MAPK pathway astherapeutic targets for metastatic disease. NatGenet 29:143-152, 2001.
47.
Hallahan AR, Pritchard JI, ChandraratnaRA, et al: BMP-2 mediates retinoid-inducedapoptosis in medulloblastoma cells through aparacrine effect. Nat Med 9:1033-1038, 2003.
48.
Singh AD, Shields CL, Shields JA: Newinsights into trilateral retinoblastoma. Cancer86:3-5, 1999.
49.
Paulino AC: Trilateral retinoblastoma:Is the location of the intracranial tumor important?Cancer 86:135-141, 1999.
50.
Jakacki RI: Pineal and nonpineal supratentorialprimitive neuroectodermal tumors.Childs Nerv Syst 15:586-591, 1999.
51.
Gururangan S, McLaughlin C, Quinn J,et al: High-dose chemotherapy with autologousstem-cell rescue in children and adults withnewly diagnosed pineoblastomas. J Clin Oncol21:2187-2191, 2003.
52.
Strother D, Ashley D, Kellie SJ, et al:Feasibility of four consecutive high-dose chemotherapycycles with stem- cell rescue for patientswith newly diagnosed medulloblastomaor supratentorial primitive neuroectodermal tumorafter craniospinal radiotherapy: Results ofa collaborative study. J Clin Oncol 19:2696-2704, 2001.
53.
Wisoff JH, Boyett JM, Berger MS, et al:Current neurosurgical management and theimpact of the extent of resection in the treatmentof malignant gliomas of childhood: Areport of the Children’s Cancer Group trial no.CCG-945. J Neurosurg 89:52-59, 1998.
54.
Mandell LR, Kadota R, Freeman C, etal: There is no role for hyperfractionated radiotherapyin the management of children withnewly diagnosed diffuse intrinsic brainstem tumors:Results of a Pediatric Oncology Groupphase III trial comparing conventional vshyperfractionated radiotherapy. Int J RadiatOncol Biol Phys 43:959-964, 1999.
55.
Reardon DA, Gajjar A, Sanford RA, etal: Bithalamic involvement predicts poor outcomeamong children with thalamic glial tumors.Pediatr Neurosurg 29:29-35, 1998.
56.
Lashford LS, Thiesse P, Jouvet A, et al:Temozolomide in malignant gliomas of childhood:A United Kingdom Children’s CancerStudy Group and French Society for PediatricOncology Intergroup Study. J Clin Oncol20:4684-4691, 2002.
57.
Gilbert MR, Friedman HS, Kuttesch JF,et al: A phase II study of temozolomide in patientswith newly diagnosed supratentorialmalignant glioma before radiation therapy.Neurooncol 4:261-267, 2002.
58.
Turner CD, Gururangan S, Eastwood J, etal: Phase II study of irinotecan (CPT-11) in childrenwith high-risk malignant brain tumors: TheDuke experience. Neurooncol 4:102-108, 2002.
59.
Brem H, Piantadosi S, Burger PC, et al:Placebo-controlled trial of safety and efficacyof intraoperative controlled delivery by biodegradablepolymers of chemotherapy for recurrentgliomas. The Polymer-brain Tumor TreatmentGroup. Lancet 345:1008-1012, 1995.
60.
Sampson JH, Akabani G, Archer GE, etal: Progress report of a phase I study of theintracerebral microinfusion of a recombinantchimeric protein composed of transforminggrowth factor (TGF)-alpha and a mutated formof the Pseudomonas exotoxin termed PE-38(TP-38) for the treatment of malignant braintumors. J Neurooncol 65:27-35, 2003.
61.
Kunwar S: Convection enhanced deliveryof IL13-PE38QQR for treatment of recurrentmalignant glioma: Presentation of interimfindings from ongoing phase 1 studies. ActaNeurochir Suppl 88:105-111, 2003.
62.
Dolan ME, Pegg AE: O6-benzylguanineand its role in chemotherapy. Clin Cancer Res3:837-847, 1997.
63.
Friedman HS, McLendon RE, Kerby T,et al: DNA mismatch repair and O6-alkylguanine-DNA alkyltransferase analysis andresponse to Temodal in newly diagnosed malignantglioma. J Clin Oncol 16:3851-3857, 1998.
64.
Quinn JA, Dolan ME, Pegg AE, et al:Phase II trial of BCNU plus O6-benzylguaninefor patients with recurrent or progressive malignantglioma (abstract 251). Proc Am Soc ClinOncol 20:64a, 2001.
65.
Rhines LD, Sampath P, Dolan ME, et al:O6-benzylguanine potentiates the antitumoreffect of locally delivered carmustine againstan intracranial rat glioma. Cancer Res 60:6307-6310, 2000.
66.
Sampath P, Brem H: Implantable slowreleasechemotherapeutic polymers for thetreatment of malignant brain tumors. CancerControl 5:130-137, 1998.
67.
MacDonald TJ, Taga T, Shimada H, et al:Preferential susceptibility of brain tumors to theantiangiogenic effects of an alpha(v) integrinantagonist. Neurosurgery 48:151-157, 2001.
68.
Tremont-Lukats IW, Gilbert MR: Advancesin molecular therapies in patients withbrain tumors. Cancer Control 10:125-137, 2003.
69.
Allen JC, Siffert J, Hukin J: Clinicalmanifestations of childhood ependymoma: Amultitude of syndromes. Pediatr Neurosurg28:49-55, 1998.
70.
Robertson PL, Zeltzer PM, Boyett JM,et al: Survival and prognostic factors followingradiation therapy and chemotherapy for ependymomasin children: A report of the Children’sCancer Group. J Neurosurg 88:695-703, 1998.
71.
Duffner PK, Krischer JP, Sanford RA, etal: Prognostic factors in infants and very youngchildren with intracranial ependymomas.Pediatr Neurosurg 28:215-222, 1998.
72.
Chou PM, Barquin N, Gonzalez-CrussiF, et al: Ependymomas in children express themultidrug resistance gene: Immunohistochemicaland molecular biologic study. Pediatr PatholLab Med 16:551-561, 1996.
73.
Biegel JA: Cytogenetics and moleculargenetics of childhood brain tumors. Neurooncol1:139-151, 1999.
74.
Gilbertson RJ, Bentley L, Hernan R, etal: ERBB receptor signaling promotes ependymomacell proliferation and represents a potentialnovel therapeutic target for this disease. ClinCancer Res 8:3054-3064, 2002.
75.
Carter M, Nicholson J, Ross F, et al:Genetic abnormalities detected in ependymomasby comparative genomic hybridisation. BrJ Cancer 86:929-939, 2002.
76.
Rosenblum MK, Matsutani M, Van MeirEG: CNS Germ cell tumors, in Kleihues P,Cavenee WK (eds): Pathology & Genetics Tumorsof the Central Nervous System, pp 208-214. Lyon, France, IARC Press, 2000.
77.
Diez B, Balmaceda C, Matsutani M, etal: Germ cell tumors of the CNS in children:Recent advances in therapy. Childs Nerv Syst15:578-585, 1999.
78.
Gregory JJ Jr, Finlay JL: Alpha-fetoproteinand beta-human chorionic gonadotropin:Their clinical significance as tumour markers.Drugs 57:463-467, 1999.
79.
Shibamoto Y, Takahashi M, Sasai K:Prognosis of intracranial germinoma withsyncytiotrophoblastic giant cells treated by radiationtherapy. Int J Radiat Oncol Biol Phys37:505-510, 1997.
80.
Tada T, Takizawa T, Nakazato F, et al:Treatment of intracranial nongerminomatousgerm-cell tumor by high-dose chemotherapyand autologous stem-cell rescue. J Neurooncol44:71-76, 1999.
81.
Greenberg ML: Chemotherapy of choroidplexus carcinoma. Childs Nerv Syst 15:571-577, 1999.
82.
Fitzpatrick LK, Aronson LJ, Cohen KJ:Is there a requirement for adjuvant therapy forchoroid plexus carcinoma that has been completelyresected? J Neurooncol 57:123-126,2002.
Late Hepatic Recurrence From Granulosa Cell Tumor: A Case Report
Granulosa cell tumors exhibit late recurrence and rare hepatic metastasis, emphasizing the need for lifelong surveillance in affected patients.